ゴルゴ線の脂肪注入ができるおすすめ美容クリニックTOP20|評判の良いクリニックを口コミ・料金・人気で比較
全国でゴルゴ線の脂肪注入ができる美容クリニックをまとめました。 ゴルゴ線の脂肪注入ができる美容クリニックは504件あり、平均レビューは4.2点、投稿されたレビュー数は14,585件となっています。 ゴルゴ線の脂肪注入で人気の美容クリニックは、「PRISM Beauty Clinic 町田院(プリズムビューティークリニック)(口コミ60件)」「ピオーネビューティクリニック(PIONE BEAUTY CLINIC)(口コミ86件)」などが挙げられます。 ゴルゴ線の脂肪注入の施術メニュー・金額としては「脂肪注入 ゴルゴ・こめかみ・頬(¥61,900)」「コンデンスリッチ脂肪注入 目の下ゴルゴ/額/こめかみ/頬(¥198,000)」「ナノリッチ脂肪注入 目の下ゴルゴ/目の上/眉間/唇/涙袋(¥98,000)」などがあります。 実体験の口コミやレビューを参考に、なりたい自分になれる美容クリニックをお選びください。
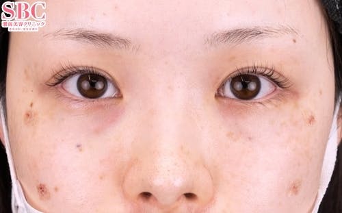
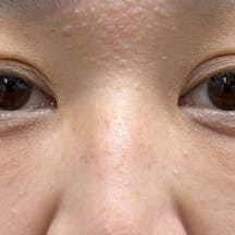
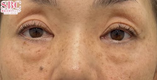
「神症例」とはキレイレポが認定した症例です。全クリニックを対象としていますが、プロモート掲載クリニックは必ず1つ選定しています。
- 美容クリニック・美容皮膚科・美容外科(美容整形)・AGAクリニック・メンズクリニック・レディースクリニック・美容内科・医療ダイエット・痩身クリニック・医療ダイエット・痩身クリニック / 小田急小田原線 町田駅 徒歩3分 JR横浜線 町田駅 徒歩3分




すべて見る直近のご予約可能な日木金土日月火水4TEL5678910おすすめポイント
- ダウンタイムが最小限の脂肪吸引クイック
- お得に美容皮膚科治療を受けられる「肌育クラブ」
- 駅チカで通いやすい!町田駅徒歩3分
月,火,水,木,金,土,日,祝東京都町田市原町田6丁目21-32 Machida ex 4階 オンダリフト・エンブレイスRF・ジュブゼンなどが好評
美容クリニック・美容皮膚科・美容外科(美容整形)・医療脱毛クリニック・AGAクリニック・美容内科・再生医療クリニック・再生医療クリニック・医療ダイエット・痩身クリニック・医療ダイエット・痩身クリニック / ■JR「新宿駅」西口 徒歩5分 ■西武新宿線「西武新宿駅」2番出口 徒歩3分 ■都営地下鉄大江戸線「新宿西口駅」D5出口 徒歩1分








すべて見るコンデンスリッチ脂肪注入 目の下ゴルゴ/額/こめかみ/頬
¥ 198,000 (税込)ナノリッチ脂肪注入 目の下ゴルゴ/目の上/眉間/唇/涙袋
¥ 98,000 (税込)
おすすめポイント
- 話題の最新機器を多数導入
- 痛み最小限の施術
- 最先端の美容医療を通いやすい価格で提供
月,火,水,木,金,土,日,祝東京都新宿区西新宿7-10-1 オーガード新宿6F- 美容クリニック・美容皮膚科・美容外科(美容整形)・医療脱毛クリニック・AGAクリニック・メンズクリニック・レディースクリニック・美容内科・医療ダイエット・痩身クリニック・医療ダイエット・痩身クリニック / JR宇都宮駅西口徒歩1分



脂肪注入 眉間/目の上/ゴルゴライン/ほうれい線/唇/マリオネットライン/こめかみ
¥ 107,800 (税込)脂肪注入 眉間/目の上/ゴルゴライン/ほうれい線/唇/マリオネットライン/こめかみ
¥ 74,800 (税込)
月,火,水,木,金,土,日,祝栃木県宇都宮市駅前通り1-4-6 西口ビル5F - 美容クリニック・美容皮膚科・美容外科(美容整形)・AGAクリニック・メンズクリニック・レディースクリニック・美容内科・医療ダイエット・痩身クリニック・医療ダイエット・痩身クリニック / 広島電鉄「本通駅」徒歩2分 広島バス「本通り」徒歩2分

おすすめポイント
- 安心のカウンセリングで理想の目元を実現
- 学生にも優しいリーズナブルな価格設定
- 駅から徒歩5分のアクセス便利な立地
月,火,水,木,金,土,日,祝広島県広島市中区本通4-7 3F - 美容クリニック・美容皮膚科・美容外科(美容整形)・審美歯科・医療脱毛クリニック・AGAクリニック・メンズクリニック・レディースクリニック・美容内科・再生医療クリニック・再生医療クリニック・医療ダイエット・痩身クリニック・医療ダイエット・痩身クリニック / ・東京メトロ丸の内線西新宿駅直結 ・JR新宿駅西口徒歩10分 ・都営地下鉄大江戸線都庁前駅徒歩5分

すべて見る目の下の切らないクマ・たるみ(ふくらみ)取り|脱脂+脂肪注入
¥ 278,000 (税込)ナチュラル脂肪注射(ほうれい線/ゴルゴ線/こめかみ/目の上/目の下/アゴ先/眉間のしわ/唇※上・下各々)
¥ 82,500 (税込)ナチュラル脂肪注射(目の下~ゴルゴ/頬)
¥ 123,750 (税込)ナチュラル脂肪注射(ナノリッチ) ほうれい線/ゴルゴ線/こめかみ/目の上/目の下/アゴ先/眉間のしわ/唇(上・下各々)/額のシワ1本/首のしわ1本/涙袋
¥ 82,500 (税込)ナチュラル脂肪注射(ナノリッチ) 目の下~ゴルゴ/頬/手の甲
¥ 123,750 (税込)
施術メニューをもっと見るおすすめポイント
- 脂肪注入で自然なふっくら唇に
- ハイフでリフトアップ効果を実感
- ダーマペンでツヤ肌を手に入れる
月,火,水,木,金,土,日,祝東京都新宿区西新宿6-5-1 新宿アイランドタワー 24F - 美容クリニック・美容皮膚科・美容外科(美容整形)・医療脱毛クリニック / 地下鉄日比谷線『広尾駅天現寺1番出口』で降りていただき、向かいのネイルクイックとすし三崎丸の間を右に曲がってすぐ右手に入口がございます。




すべて見る脂肪注入 目の下/ゴルゴ
¥ 330,000 (税込)
おすすめポイント
- 短時間で効果を実感!ショートスレッドリフト
- 駅近で通いやすい!広尾駅から徒歩1分
- 優れた手技で安心!口コミで評判のクリニック
月,火,水,木,金,土,日,祝東京都港区南麻布5-15-20(804) - 美容クリニック・美容皮膚科・美容外科(美容整形)・審美歯科・医療脱毛クリニック・AGAクリニック・メンズクリニック・レディースクリニック・美容内科・再生医療クリニック・再生医療クリニック・医療ダイエット・痩身クリニック・医療ダイエット・痩身クリニック / JR渋谷駅 ハチ公口より 徒歩3分









すべて見る目の下の切らないクマ・たるみ(ふくらみ)取り|脱脂+脂肪注入
¥ 278,000 (税込)ナチュラル脂肪注射(ほうれい線/ゴルゴ線/こめかみ/目の上/目の下/アゴ先/眉間のしわ/唇※上・下各々)
¥ 82,500 (税込)ナチュラル脂肪注射(目の下~ゴルゴ/頬)
¥ 123,750 (税込)ナチュラル脂肪注射(ナノリッチ) ほうれい線/ゴルゴ線/こめかみ/目の上/目の下/アゴ先/眉間のしわ/唇(上・下各々)/額のシワ1本/首のしわ1本/涙袋
¥ 82,500 (税込)ナチュラル脂肪注射(ナノリッチ) 目の下~ゴルゴ/頬/手の甲
¥ 123,750 (税込)
施術メニューをもっと見るおすすめポイント
- 短時間で実感!即効性のある美容施術
- リーズナブルな価格で充実のメニュー
- JR渋谷駅から徒歩3分の好立地
月,火,水,木,金,土,日,祝東京都渋谷区宇田川町20-11 渋谷三葉ビル 5階 - 美容クリニック・美容皮膚科・美容外科(美容整形)・医療脱毛クリニック・AGAクリニック・メンズクリニック・レディースクリニック・美容内科・再生医療クリニック・再生医療クリニック・医療ダイエット・痩身クリニック・医療ダイエット・痩身クリニック / JR恵比寿駅 西口改札 徒歩4分 日比谷線恵比寿駅 5番出口 徒歩1分 代官山駅 中央改札東口出口 徒歩5分






すべて見るコンデンスリッチファット脂肪注入 頬を高く/ゴルゴライン
¥ 148,000 (税込)コンデンスリッチファット脂肪注入 目の下〜ゴルゴ/コメカミ/頬のコケ
¥ 198,000 (税込)オーダーメイド脂肪注入
¥ 848,000 (税込)
施術メニューをもっと見るおすすめポイント
- シミ治療は5回コースで確実に改善
- 痛みを軽減した毛穴治療で自信を取り戻す
- 恵比寿駅から徒歩4分のアクセス便利なクリニック
月,火,水,木,金,土,日,祝東京都渋⾕区恵⽐寿南3丁⽬1-1 恵比寿グリーングラス 3階
- 美容クリニック・美容皮膚科・美容外科(美容整形)・審美歯科・医療脱毛クリニック・AGAクリニック・メンズクリニック・レディースクリニック・美容内科・再生医療クリニック・再生医療クリニック・医療ダイエット・痩身クリニック・医療ダイエット・痩身クリニック / 有楽町線 銀座一丁目駅 7番出口 徒歩1分 銀座線 京橋駅 3番出口 徒歩1分 銀座線・丸の内線・日比谷線 銀座駅 A9番出口 徒歩6分 JR有楽町駅 徒歩7分






すべて見るコンデンスリッチファット脂肪注入 頬を高く/ゴルゴライン
¥ 148,000 (税込)コンデンスリッチファット脂肪注入 目の下〜ゴルゴ/コメカミ/頬のコケ
¥ 198,000 (税込)オーダーメイド脂肪注入
¥ 848,000 (税込)
施術メニューをもっと見る月,火,水,木,金,土,日,祝東京都中央区銀座1-2-4 サクセス銀座ファーストビル 8F - 美容クリニック・美容皮膚科・美容外科(美容整形)・審美歯科・医療脱毛クリニック・AGAクリニック・メンズクリニック・レディースクリニック・美容内科・再生医療クリニック・再生医療クリニック・医療ダイエット・痩身クリニック・医療ダイエット・痩身クリニック / 東横線・JR横浜駅 徒歩3分 相鉄線、地下鉄横浜駅 徒歩5分




すべて見る目の下の切らないクマ・たるみ(ふくらみ)取り|脱脂+脂肪注入
¥ 278,000 (税込)ナチュラル脂肪注射(ほうれい線/ゴルゴ線/こめかみ/目の上/目の下/アゴ先/眉間のしわ/唇※上・下各々)
¥ 82,500 (税込)ナチュラル脂肪注射(目の下~ゴルゴ/頬)
¥ 123,750 (税込)ナチュラル脂肪注射(ナノリッチ) ほうれい線/ゴルゴ線/こめかみ/目の上/目の下/アゴ先/眉間のしわ/唇(上・下各々)/額のシワ1本/首のしわ1本/涙袋
¥ 82,500 (税込)ナチュラル脂肪注射(ナノリッチ) 目の下~ゴルゴ/頬/手の甲
¥ 123,750 (税込)
施術メニューをもっと見るおすすめポイント
- ボトックスでシワを軽減し、肩こりも改善する
- 横浜駅から徒歩3分で通いやすい
- リーズナブルな価格で高品質な施術を提供
月,火,水,木,金,土,日,祝神奈川県横浜市神奈川区鶴屋町2-23-2 TSプラザビル 3F - 美容クリニック・美容皮膚科・美容外科(美容整形)・審美歯科・医療脱毛クリニック・AGAクリニック・メンズクリニック・レディースクリニック・美容内科・再生医療クリニック・再生医療クリニック・医療ダイエット・痩身クリニック・医療ダイエット・痩身クリニック / ・JR大阪駅より徒歩3分 ・阪急梅田駅より徒歩1分 ・御堂筋線梅田駅より徒歩3分 ・谷町線東梅田駅より徒歩5分 ・阪神梅田駅より徒歩5分


目の下の切らないクマ・たるみ(ふくらみ)取り|脱脂+脂肪注入
¥ 278,000 (税込)ナチュラル脂肪注射(ほうれい線/ゴルゴ線/こめかみ/目の上/目の下/アゴ先/眉間のしわ/唇※上・下各々)
¥ 82,500 (税込)ナチュラル脂肪注射(目の下~ゴルゴ/頬)
¥ 123,750 (税込)ナチュラル脂肪注射(ナノリッチ) ほうれい線/ゴルゴ線/こめかみ/目の上/目の下/アゴ先/眉間のしわ/唇(上・下各々)/額のシワ1本/首のしわ1本/涙袋
¥ 82,500 (税込)ナチュラル脂肪注射(ナノリッチ) 目の下~ゴルゴ/頬/手の甲
¥ 123,750 (税込)
施術メニューをもっと見るおすすめポイント
- 短時間で美肌を実感する施術
- 安心のカウンセリングで悩み解消
- JR大阪駅から徒歩3分の好立地
月,火,水,木,金,土,日,祝大阪府大阪市北区茶屋町1‐27 ABCマート梅田ビル 6階 - 美容クリニック・美容皮膚科・美容外科(美容整形)・医療脱毛クリニック・レディースクリニック・美容内科・医療ダイエット・痩身クリニック・医療ダイエット・痩身クリニック / 西鉄天神駅徒歩3分 天神駅徒歩5分








すべて見る脂肪注入 頬を高く/ ゴルゴライン
¥ 148,000 (税込)脂肪注入 目の下〜ゴルゴ/ コメカミ/頬のコケ
¥ 198,000 (税込)
おすすめポイント
- 痛みゼロで美肌を実現するハイドラフェイシャル
- 親身なカウンセリングで安心感を提供
- 西鉄天神駅から徒歩3分の好立地
月,火,水,木,金,土,日,祝福岡県福岡市中央区天神2-5-21 UUR天神西通りビル 3階 - 美容クリニック・美容皮膚科・美容外科(美容整形)・審美歯科・医療脱毛クリニック・AGAクリニック・美容内科・医療ダイエット・痩身クリニック・医療ダイエット・痩身クリニック / JR新宿駅中央東口より徒歩2分



すべて見る目の下の切らないクマ・たるみ(ふくらみ)取り|脱脂+脂肪注入
¥ 278,000 (税込)ナチュラル脂肪注射(ほうれい線/ゴルゴ線/こめかみ/目の上/目の下/アゴ先/眉間のしわ/唇※上・下各々)
¥ 82,500 (税込)ナチュラル脂肪注射(目の下~ゴルゴ/頬)
¥ 123,750 (税込)ナチュラル脂肪注射(ナノリッチ) ほうれい線/ゴルゴ線/こめかみ/目の上/目の下/アゴ先/眉間のしわ/唇(上・下各々)/額のシワ1本/首のしわ1本/涙袋
¥ 82,500 (税込)ナチュラル脂肪注射(ナノリッチ) 目の下~ゴルゴ/頬/手の甲
¥ 123,750 (税込)
施術メニューをもっと見るおすすめポイント
- 30分でスピーディーな施術を実現
- 新宿駅から徒歩2分の好立地
- リーズナブルな価格で高品質な医療脱毛
月,火,水,木,金,土,日,祝東京都新宿区新宿3-27-10 新宿武蔵野ビル 5F - 美容クリニック・美容皮膚科・美容皮膚科・美容外科(美容整形)・美容外科(美容整形)・AGAクリニック・AGAクリニック・メンズクリニック・メンズクリニック・レディースクリニック・レディースクリニック・美容内科・美容内科・医療ダイエット・痩身クリニック・医療ダイエット・痩身クリニック / 錦糸町駅 徒歩2分
- 美容クリニック・美容皮膚科・美容外科(美容整形)・医療脱毛クリニック・AGAクリニック・美容内科・再生医療クリニック・再生医療クリニック・医療ダイエット・痩身クリニック・医療ダイエット・痩身クリニック / 栄駅 徒歩1分


脂肪注入 頬を高く/ ゴルゴライン
¥ 148,000 (税込)脂肪注入 目の下〜ゴルゴ/ コメカミ/頬のコケ
¥ 198,000 (税込)
火,水,金,土,日,祝愛知県名古屋市中区栄3-4-21 TOSHINSAKAEビル 2階 - 美容クリニック・美容皮膚科・美容外科(美容整形)・医療脱毛クリニック・美容内科・再生医療クリニック・再生医療クリニック・医療ダイエット・痩身クリニック・医療ダイエット・痩身クリニック / JR東西線 北新地 11・21番出口 徒歩0分 大阪メトロ四つ橋線 西梅田 徒歩3分 大阪メトロ谷町線 東梅田 徒歩5分







すべて見るコンデンスリッチファット脂肪注入(頬を高く/ ゴルゴライン)
¥ 148,000 (税込)コンデンスリッチファット脂肪注入(目の下〜ゴルゴ/ コメカミ/頬のコケ)
¥ 198,000 (税込)
おすすめポイント
- 安心のカウンセリングで不安を解消する
- 即効性のあるポテンツァダイヤモンドチップ
- JR北新地駅から徒歩0分の好立地
月,火,水,木,金,土,日,祝大阪府大阪市北区曾根崎新地1-5-18 零北新地 3階 - 美容クリニック・美容皮膚科・美容外科(美容整形)・審美歯科・医療脱毛クリニック・AGAクリニック・メンズクリニック・レディースクリニック・美容内科・再生医療クリニック・再生医療クリニック・医療ダイエット・痩身クリニック・医療ダイエット・痩身クリニック / JR池袋駅東口 徒歩1分



目の下の切らないクマ・たるみ(ふくらみ)取り|脱脂+脂肪注入
¥ 278,000 (税込)ナチュラル脂肪注射(ほうれい線/ゴルゴ線/こめかみ/目の上/目の下/アゴ先/眉間のしわ/唇※上・下各々)
¥ 82,500 (税込)ナチュラル脂肪注射(目の下~ゴルゴ/頬)
¥ 123,750 (税込)ナチュラル脂肪注射(ナノリッチ) ほうれい線/ゴルゴ線/こめかみ/目の上/目の下/アゴ先/眉間のしわ/唇(上・下各々)/額のシワ1本/首のしわ1本/涙袋
¥ 82,500 (税込)ナチュラル脂肪注射(ナノリッチ) 目の下~ゴルゴ/頬/手の甲
¥ 123,750 (税込)
施術メニューをもっと見るおすすめポイント
- 顔の脂肪吸引で小顔を実現する
- ヒアルロン酸注入で理想の鼻筋を手に入れる
- 池袋駅から徒歩1分のアクセス便利な立地
月,火,水,木,金,土,日,祝東京都豊島区南池袋1-19-6 オリックス池袋ビル 2F - 美容クリニック・美容皮膚科・美容外科(美容整形)・医療脱毛クリニック・メンズクリニック・レディースクリニック・美容内科・医療ダイエット・痩身クリニック・医療ダイエット・痩身クリニック / JR渋谷駅、京王井の頭線渋谷駅直結 渋谷マークシティー内


脂肪注入 ゴルゴ
¥ 110,000 (税込)脂肪注入 ゴルゴ
¥ 77,000 (税込)脂肪注入 目の下~ゴルゴ
¥ 165,000 (税込)脂肪注入 目の下~ゴルゴ
¥ 110,000 (税込)
施術メニューをもっと見るおすすめポイント
- 人中短縮ボトックスで手軽に美しい口元を実現
- リーズナブルなルメッカでシミ改善を目指す
- 渋谷駅直結でアクセス抜群のクリニック
月,火,水,木,金,土,日,祝東京都渋谷区道玄坂1丁目12-1 渋谷マークシティウェスト 14階 - 美容クリニック・美容皮膚科・美容外科(美容整形)・審美歯科・医療脱毛クリニック・AGAクリニック・メンズクリニック・レディースクリニック・美容内科・再生医療クリニック・再生医療クリニック・医療ダイエット・痩身クリニック・医療ダイエット・痩身クリニック / JR札幌駅直結









すべて見る目の下の切らないクマ・たるみ(ふくらみ)取り|脱脂+脂肪注入
¥ 278,000 (税込)ナチュラル脂肪注射(ほうれい線/ゴルゴ線/こめかみ/目の上/目の下/アゴ先/眉間のしわ/唇※上・下各々)
¥ 82,500 (税込)ナチュラル脂肪注射(目の下~ゴルゴ/頬)
¥ 123,750 (税込)ナチュラル脂肪注射(ナノリッチ) ほうれい線/ゴルゴ線/こめかみ/目の上/目の下/アゴ先/眉間のしわ/唇(上・下各々)/額のシワ1本/首のしわ1本/涙袋
¥ 82,500 (税込)ナチュラル脂肪注射(ナノリッチ) 目の下~ゴルゴ/頬/手の甲
¥ 123,750 (税込)
施術メニューをもっと見るおすすめポイント
- ケミカルピーリングでつるつる卵肌を実現
- 二重埋没法で理想の目元を手に入れる
- JR札幌駅から徒歩5分の好立地
月,火,水,木,金,土,日,祝北海道札幌市中央区北5条西2-5 JRタワーオフィスプラザさっぽろ 13F - 美容クリニック・美容皮膚科・美容外科(美容整形)・審美歯科・医療脱毛クリニック・AGAクリニック・メンズクリニック・レディースクリニック・美容内科・再生医療クリニック・再生医療クリニック・医療ダイエット・痩身クリニック・医療ダイエット・痩身クリニック / 新宿駅 徒歩1分 JR線・京王線・小田急線・都営地下鉄大江戸線 ・都営地下鉄新宿線・東京メトロ丸ノ内線 新宿駅 「4番出口」より直結。雨に濡れずに、お越しいただけます。




すべて見るおすすめポイント
- 理想の二重を実現する埋没法
- 安心のアフターケアとサポート
- 新宿駅から徒歩1分の好立地
月,火,水,木,金,土,日,祝東京都渋谷区代々木2-9-2 久保ビル 7F - 美容クリニック・美容皮膚科・美容外科(美容整形)・医療脱毛クリニック・メンズクリニック・レディースクリニック・美容内科・医療ダイエット・痩身クリニック・医療ダイエット・痩身クリニック / 地下鉄東山線矢場町駅から

脂肪注入 ゴルゴ
¥ 110,000 (税込)脂肪注入 ゴルゴ
¥ 77,000 (税込)脂肪注入 目の下~ゴルゴ
¥ 165,000 (税込)脂肪注入 目の下~ゴルゴ
¥ 110,000 (税込)
施術メニューをもっと見るおすすめポイント
- 自然な仕上がりで自信を取り戻すヒアルロン酸注入
- 痛みを軽減した二重埋没で理想の目元を手に入れる
- 地下鉄東山線矢場町駅から徒歩5分の好立地
月,火,水,木,金,土,日,祝愛知県名古屋市中区栄3-27-24 Gビル名古屋栄01 2階 - 美容クリニック・美容皮膚科・美容外科(美容整形)・審美歯科・医療脱毛クリニック・AGAクリニック・メンズクリニック・レディースクリニック・美容内科・再生医療クリニック・再生医療クリニック・医療ダイエット・痩身クリニック・医療ダイエット・痩身クリニック / JR仙台駅西口 徒歩約1分









すべて見る目の下の切らないクマ・たるみ(ふくらみ)取り|脱脂+脂肪注入
¥ 278,000 (税込)ナチュラル脂肪注射(ほうれい線/ゴルゴ線/こめかみ/目の上/目の下/アゴ先/眉間のしわ/唇※上・下各々)
¥ 82,500 (税込)ナチュラル脂肪注射(目の下~ゴルゴ/頬)
¥ 123,750 (税込)ナチュラル脂肪注射(ナノリッチ) ほうれい線/ゴルゴ線/こめかみ/目の上/目の下/アゴ先/眉間のしわ/唇(上・下各々)/額のシワ1本/首のしわ1本/涙袋
¥ 82,500 (税込)ナチュラル脂肪注射(ナノリッチ) 目の下~ゴルゴ/頬/手の甲
¥ 123,750 (税込)
施術メニューをもっと見るおすすめポイント
- ゴルゴ線解消の新提案
- 目元の若返り施術
- 脂肪注入の魅力体験
月,火,水,木,金,土,日,祝宮城県仙台市青葉区中央1‐2‐3 仙台マークワン 17階 - 美容クリニック・美容皮膚科・美容外科(美容整形)・レディースクリニック・美容内科・再生医療クリニック・再生医療クリニック・医療ダイエット・痩身クリニック・医療ダイエット・痩身クリニック / ■JR山手線・京浜東北線 浜松町駅北口から 徒歩約3分 ■都営大江戸線・浅草線 大門駅A1出口からほぼ直結





すべて見る月,火,水,木,金,土,日,祝東京都港区浜松町2丁目1-20 SVAX大門ビル5階 - 美容クリニック・美容皮膚科・美容外科(美容整形)・メンズクリニック・レディースクリニック・美容内科 / JR「新宿」駅南口より徒歩5分。「新宿三丁目」駅 A2出口より徒歩1分。


引用元:
新宿TAクリニック 公式サイト脂肪注入 目の下~ゴルゴライン/こめかみ/頬
¥ 99,000 (税込)脂肪注入 法令線/ゴルゴライン/目の上/目の下/眉間/鼻筋/口唇/アゴ
¥ 66,000 (税込)脂肪注入(スタンダードリッチフェイス) 目の下~ゴルゴライン/こめかみ/頬
¥ 49,500 (税込)脂肪注入(スタンダードリッチフェイス) 法令線/ゴルゴライン/目の上/目の下/眉間/鼻筋/口唇/アゴ
¥ 33,000 (税込)脂肪注入(ナノファット) 法令線/ゴルゴ/目の上/目の下/涙袋
¥ 82,500 (税込)
施術メニューをもっと見るおすすめポイント
- 目元の若返りを実現する糸リフト
- 新宿駅から徒歩5分のアクセス便利
- 丁寧なカウンセリングで安心感を提供
月,火,水,木,金,土,日,祝東京都新宿区新宿3-1-16 京王新宿追分第二ビル 5階 - 美容クリニック・美容皮膚科・美容外科(美容整形)・審美歯科・医療脱毛クリニック・AGAクリニック・メンズクリニック・レディースクリニック・美容内科・再生医療クリニック・再生医療クリニック・医療ダイエット・痩身クリニック・医療ダイエット・痩身クリニック / ・横浜駅東口直結 ・JR横浜駅徒歩3分

目の下の切らないクマ・たるみ(ふくらみ)取り|脱脂+脂肪注入
¥ 278,000 (税込)ナチュラル脂肪注射(ほうれい線/ゴルゴ線/こめかみ/目の上/目の下/アゴ先/眉間のしわ/唇※上・下各々)
¥ 82,500 (税込)ナチュラル脂肪注射(目の下~ゴルゴ/頬)
¥ 123,750 (税込)ナチュラル脂肪注射(ナノリッチ) ほうれい線/ゴルゴ線/こめかみ/目の上/目の下/アゴ先/眉間のしわ/唇(上・下各々)/額のシワ1本/首のしわ1本/涙袋
¥ 82,500 (税込)ナチュラル脂肪注射(ナノリッチ) 目の下~ゴルゴ/頬/手の甲
¥ 123,750 (税込)
施術メニューをもっと見るおすすめポイント
- 二の腕をスッキリ細くする脂肪吸引
- 痛みを最小限に抑えた医療脱毛
- 横浜駅から徒歩3分の好立地
月,火,水,木,金,土,日,祝神奈川県横浜市西区高島2-19-12 横浜スカイビル 16F - 美容クリニック・美容皮膚科・美容外科(美容整形)・審美歯科・医療脱毛クリニック・AGAクリニック・メンズクリニック・レディースクリニック・美容内科・再生医療クリニック・再生医療クリニック・医療ダイエット・痩身クリニック・医療ダイエット・痩身クリニック / ・JR新宿駅東南口 徒歩5分 ・新宿三丁目駅 徒歩1分 ・JR新宿駅新南改札 徒歩4分







すべて見る目の下の切らないクマ・たるみ(ふくらみ)取り|脱脂+脂肪注入
¥ 278,000 (税込)ナチュラル脂肪注射(ほうれい線/ゴルゴ線/こめかみ/目の上/目の下/アゴ先/眉間のしわ/唇※上・下各々)
¥ 82,500 (税込)ナチュラル脂肪注射(目の下~ゴルゴ/頬)
¥ 123,750 (税込)ナチュラル脂肪注射(ナノリッチ) ほうれい線/ゴルゴ線/こめかみ/目の上/目の下/アゴ先/眉間のしわ/唇(上・下各々)/額のシワ1本/首のしわ1本/涙袋
¥ 82,500 (税込)ナチュラル脂肪注射(ナノリッチ) 目の下~ゴルゴ/頬/手の甲
¥ 123,750 (税込)
施術メニューをもっと見るおすすめポイント
- 涙袋を手軽に作るヒアルロン酸注入
- 医療脱毛で自己処理から解放される
- 新宿三丁目駅から徒歩1分の好立地
月,火,水,木,金,土,日,祝東京都新宿区新宿4丁目2-23 新四curumuビル 6階 - 美容クリニック・美容皮膚科・美容外科(美容整形)・審美歯科・医療脱毛クリニック・AGAクリニック・メンズクリニック・レディースクリニック・美容内科・再生医療クリニック・再生医療クリニック・医療ダイエット・痩身クリニック・医療ダイエット・痩身クリニック / 川崎駅東口徒歩1分









すべて見る目の下の切らないクマ・たるみ(ふくらみ)取り|脱脂+脂肪注入
¥ 278,000 (税込)ナチュラル脂肪注射(ほうれい線/ゴルゴ線/こめかみ/目の上/目の下/アゴ先/眉間のしわ/唇※上・下各々)
¥ 82,500 (税込)ナチュラル脂肪注射(目の下~ゴルゴ/頬)
¥ 123,750 (税込)ナチュラル脂肪注射(ナノリッチ) ほうれい線/ゴルゴ線/こめかみ/目の上/目の下/アゴ先/眉間のしわ/唇(上・下各々)/額のシワ1本/首のしわ1本/涙袋
¥ 82,500 (税込)ナチュラル脂肪注射(ナノリッチ) 目の下~ゴルゴ/頬/手の甲
¥ 123,750 (税込)
施術メニューをもっと見るおすすめポイント
- 医療脱毛で安心・効果的にムダ毛処理を実現
- 清潔感あふれる院内でリラックスした施術を体験
- 川崎駅東口から徒歩1分の好立地で通いやすい
月,火,水,木,金,土,日,祝神奈川県川崎市川崎区日進町1-11 川崎ルフロン 8階 - 美容クリニック・美容皮膚科・美容外科(美容整形)・審美歯科・医療脱毛クリニック・AGAクリニック・メンズクリニック・レディースクリニック・美容内科・再生医療クリニック・再生医療クリニック・医療ダイエット・痩身クリニック・医療ダイエット・痩身クリニック / JR「千葉駅」中央改札から、南口へ進んで徒歩3分









すべて見る目の下の切らないクマ・たるみ(ふくらみ)取り|脱脂+脂肪注入
¥ 278,000 (税込)ナチュラル脂肪注射(ほうれい線/ゴルゴ線/こめかみ/目の上/目の下/アゴ先/眉間のしわ/唇※上・下各々)
¥ 82,500 (税込)ナチュラル脂肪注射(目の下~ゴルゴ/頬)
¥ 123,750 (税込)ナチュラル脂肪注射(ナノリッチ) ほうれい線/ゴルゴ線/こめかみ/目の上/目の下/アゴ先/眉間のしわ/唇(上・下各々)/額のシワ1本/首のしわ1本/涙袋
¥ 82,500 (税込)ナチュラル脂肪注射(ナノリッチ) 目の下~ゴルゴ/頬/手の甲
¥ 123,750 (税込)
施術メニューをもっと見るおすすめポイント
- 短時間で理想の二重を実現する埋没法
- 安心の症例数と丁寧なカウンセリング
- JR千葉駅から徒歩3分の好立地
月,火,水,木,金,土,日,祝千葉県千葉市中央区新町1000番地 センシティビルディング 9階 - 美容クリニック・美容皮膚科・美容外科(美容整形)・審美歯科・医療脱毛クリニック・AGAクリニック・メンズクリニック・レディースクリニック・美容内科・再生医療クリニック・再生医療クリニック・医療ダイエット・痩身クリニック・医療ダイエット・痩身クリニック / JR、名鉄、近鉄、地下鉄「名古屋駅」より徒歩3分






すべて見る目の下の切らないクマ・たるみ(ふくらみ)取り|脱脂+脂肪注入
¥ 278,000 (税込)ナチュラル脂肪注射(ほうれい線/ゴルゴ線/こめかみ/目の上/目の下/アゴ先/眉間のしわ/唇※上・下各々)
¥ 82,500 (税込)ナチュラル脂肪注射(目の下~ゴルゴ/頬)
¥ 123,750 (税込)ナチュラル脂肪注射(ナノリッチ) ほうれい線/ゴルゴ線/こめかみ/目の上/目の下/アゴ先/眉間のしわ/唇(上・下各々)/額のシワ1本/首のしわ1本/涙袋
¥ 82,500 (税込)ナチュラル脂肪注射(ナノリッチ) 目の下~ゴルゴ/頬/手の甲
¥ 123,750 (税込)
施術メニューをもっと見るおすすめポイント
- フラクショナルレーザーで美肌を実現
- 駅近で通いやすい!名古屋駅から徒歩3分
- 安心のカウンセリングと施術
月,火,水,木,金,土,日,祝愛知県名古屋市中村区名駅3丁目26-8 KDX名古屋駅前ビル 12階 - 美容クリニック・美容皮膚科・美容外科(美容整形)・審美歯科・医療脱毛クリニック・AGAクリニック・メンズクリニック・レディースクリニック・美容内科・再生医療クリニック・再生医療クリニック・医療ダイエット・痩身クリニック・医療ダイエット・痩身クリニック / ・小田急線町田駅 東口から徒歩3分 ・JR横浜線町田駅 中央改札から徒歩5分

目の下の切らないクマ・たるみ(ふくらみ)取り|脱脂+脂肪注入
¥ 278,000 (税込)ナチュラル脂肪注射(ほうれい線/ゴルゴ線/こめかみ/目の上/目の下/アゴ先/眉間のしわ/唇※上・下各々)
¥ 82,500 (税込)ナチュラル脂肪注射(目の下~ゴルゴ/頬)
¥ 123,750 (税込)ナチュラル脂肪注射(ナノリッチ) ほうれい線/ゴルゴ線/こめかみ/目の上/目の下/アゴ先/眉間のしわ/唇(上・下各々)/額のシワ1本/首のしわ1本/涙袋
¥ 82,500 (税込)ナチュラル脂肪注射(ナノリッチ) 目の下~ゴルゴ/頬/手の甲
¥ 123,750 (税込)
施術メニューをもっと見るおすすめポイント
- 脇脱毛を3回で完了し、7年後もツルツルを実感する
- 全身脱毛6回コースで面倒な自己処理から解放
- 町田駅から徒歩3分の好立地で通いやすい
月,火,水,木,金,土,日,祝東京都町田市原町田6-9-7 アエタ町田 7階 - 美容クリニック・美容皮膚科・美容外科(美容整形)・医療脱毛クリニック・AGAクリニック・レディースクリニック・美容内科・医療ダイエット・痩身クリニック・医療ダイエット・痩身クリニック / JR山手線「原宿駅」 表参道口より徒歩約10分 東京メトロ各線「表参道駅」 A1出口より徒歩約7分 東京メトロ各線「明治神宮前駅」 4番出口より徒歩約5分


顔の脂肪注入|こめかみ・ゴルゴライン・頬・ほうれい線のいづれか1か所
¥ 198,000 (税込)
おすすめポイント
- 痛みを抑えた安心のボトックス注射で若々しさを取り戻す
- 清潔感あふれる個室でリラックスして施術を受ける
- 表参道駅から徒歩7分の好立地で通いやすい
月,火,水,木,金,土,日,祝東京都渋谷区神宮前5-9−13 喜多重ビル 4階 - 美容クリニック・美容皮膚科・美容外科(美容整形)・審美歯科・医療脱毛クリニック・AGAクリニック・メンズクリニック・レディースクリニック・美容内科・再生医療クリニック・再生医療クリニック・医療ダイエット・痩身クリニック・医療ダイエット・痩身クリニック / 東京メトロ半蔵門線 錦糸町駅:2番出口直結 JR総武線 錦糸町駅:南口から徒歩1分









すべて見る目の下の切らないクマ・たるみ(ふくらみ)取り|脱脂+脂肪注入
¥ 278,000 (税込)ナチュラル脂肪注射(ほうれい線/ゴルゴ線/こめかみ/目の上/目の下/アゴ先/眉間のしわ/唇※上・下各々)
¥ 82,500 (税込)ナチュラル脂肪注射(目の下~ゴルゴ/頬)
¥ 123,750 (税込)ナチュラル脂肪注射(ナノリッチ) ほうれい線/ゴルゴ線/こめかみ/目の上/目の下/アゴ先/眉間のしわ/唇(上・下各々)/額のシワ1本/首のしわ1本/涙袋
¥ 82,500 (税込)ナチュラル脂肪注射(ナノリッチ) 目の下~ゴルゴ/頬/手の甲
¥ 123,750 (税込)
施術メニューをもっと見るおすすめポイント
- 痛みを抑えたVIO脱毛で安心
- 駅近で通いやすい!錦糸町院
- 丁寧なカウンセリングで安心感
月,火,水,木,金,土,日,祝東京都墨田区江東橋4-27-14 楽天地ビル 2F - 美容クリニック・美容皮膚科・美容外科(美容整形)・審美歯科・医療脱毛クリニック・AGAクリニック・メンズクリニック・レディースクリニック・美容内科・再生医療クリニック・再生医療クリニック・医療ダイエット・痩身クリニック・医療ダイエット・痩身クリニック / JR立川駅南口 徒歩3分









すべて見る目の下の切らないクマ・たるみ(ふくらみ)取り|脱脂+脂肪注入
¥ 278,000 (税込)ナチュラル脂肪注射(ほうれい線/ゴルゴ線/こめかみ/目の上/目の下/アゴ先/眉間のしわ/唇※上・下各々)
¥ 82,500 (税込)ナチュラル脂肪注射(目の下~ゴルゴ/頬)
¥ 123,750 (税込)ナチュラル脂肪注射(ナノリッチ) ほうれい線/ゴルゴ線/こめかみ/目の上/目の下/アゴ先/眉間のしわ/唇(上・下各々)/額のシワ1本/首のしわ1本/涙袋
¥ 82,500 (税込)ナチュラル脂肪注射(ナノリッチ) 目の下~ゴルゴ/頬/手の甲
¥ 123,750 (税込)
施術メニューをもっと見るおすすめポイント
- 医療脱毛でツルツル肌を実現する
- 手軽に予約!立川駅から徒歩3分
- リーズナブルな価格で高品質な施術
月,火,水,木,金,土,日,祝東京都立川市柴崎町3-6-23 LXビル 4F - 美容クリニック・美容皮膚科・美容外科(美容整形)・メンズクリニック・レディースクリニック・美容内科・再生医療クリニック・再生医療クリニック・医療ダイエット・痩身クリニック・医療ダイエット・痩身クリニック / 地下鉄銀座駅A3出口を出て、中央通りを新橋方面へ直進します。3つ目の信号「銀座7丁目交差点」左角のモンブラン銀座ビル6Fです。




すべて見る引用元:
東京美容外科 銀座院 公式サイト脂肪注入 ゴルゴ線
¥ 110,000 (税込)
おすすめポイント
- ボトックスで手軽に多汗症改善
- 二重埋没手術で自信を取り戻す
- 地下鉄銀座駅から徒歩5分の好立地
月,火,水,木,金,土,日,祝東京都中央区銀座7-9-11 モンブラン銀座ビル 6F - 美容クリニック・美容皮膚科・美容外科(美容整形)・審美歯科・医療脱毛クリニック・AGAクリニック・メンズクリニック・レディースクリニック・美容内科・再生医療クリニック・再生医療クリニック・医療ダイエット・痩身クリニック・医療ダイエット・痩身クリニック / 東京メトロ有楽町線 銀座一丁目駅 3番出口 徒歩1分 東京メトロ有楽町線 有楽町駅 D9番出口 徒歩2分 JR有楽町駅 徒歩5分 東京メトロ銀座線・丸ノ内線・日比谷線 銀座駅C8出口 徒歩5分

目の下の切らないクマ・たるみ(ふくらみ)取り|脱脂+脂肪注入
¥ 278,000 (税込)ナチュラル脂肪注射(ほうれい線/ゴルゴ線/こめかみ/目の上/目の下/アゴ先/眉間のしわ/唇※上・下各々)
¥ 82,500 (税込)ナチュラル脂肪注射(目の下~ゴルゴ/頬)
¥ 123,750 (税込)ナチュラル脂肪注射(ナノリッチ) ほうれい線/ゴルゴ線/こめかみ/目の上/目の下/アゴ先/眉間のしわ/唇(上・下各々)/額のシワ1本/首のしわ1本/涙袋
¥ 82,500 (税込)ナチュラル脂肪注射(ナノリッチ) 目の下~ゴルゴ/頬/手の甲
¥ 123,750 (税込)
施術メニューをもっと見るおすすめポイント
- 笑顔に自信を!目尻のシワを解消するボトックス
- 安心のカウンセリングで不安を解消
- 銀座一丁目駅から徒歩1分の好立地
月,火,水,木,金,土,日,祝東京都中央区銀座1丁目3-9 マルイト銀座ビル 2階 - 美容クリニック・美容皮膚科・美容外科(美容整形)・医療脱毛クリニック・メンズクリニック・レディースクリニック・美容内科・医療ダイエット・痩身クリニック・医療ダイエット・痩身クリニック / 大阪 「心斎橋駅」より徒歩5分



脂肪注入 ゴルゴ
¥ 110,000 (税込)脂肪注入 ゴルゴ
¥ 77,000 (税込)脂肪注入 目の下~ゴルゴ
¥ 165,000 (税込)脂肪注入 目の下~ゴルゴ
¥ 110,000 (税込)
施術メニューをもっと見るおすすめポイント
- 小顔を叶えるジョールファット除去
- 丁寧なカウンセリングで安心感を提供
- 心斎橋駅から徒歩5分の好立地
月,火,水,木,金,土,日,祝大阪府大阪市中央区博労町3丁目4-15 ACN心斎橋博労町ビル 2F - 美容クリニック・美容皮膚科・美容外科(美容整形)・審美歯科・医療脱毛クリニック・AGAクリニック・メンズクリニック・レディースクリニック・美容内科・再生医療クリニック・再生医療クリニック・医療ダイエット・痩身クリニック・医療ダイエット・痩身クリニック / JR藤沢駅南口徒歩1分









すべて見る目の下の切らないクマ・たるみ(ふくらみ)取り|脱脂+脂肪注入
¥ 278,000 (税込)ナチュラル脂肪注射(ほうれい線/ゴルゴ線/こめかみ/目の上/目の下/アゴ先/眉間のしわ/唇※上・下各々)
¥ 82,500 (税込)ナチュラル脂肪注射(目の下~ゴルゴ/頬)
¥ 123,750 (税込)ナチュラル脂肪注射(ナノリッチ) ほうれい線/ゴルゴ線/こめかみ/目の上/目の下/アゴ先/眉間のしわ/唇(上・下各々)/額のシワ1本/首のしわ1本/涙袋
¥ 82,500 (税込)ナチュラル脂肪注射(ナノリッチ) 目の下~ゴルゴ/頬/手の甲
¥ 123,750 (税込)
施術メニューをもっと見るおすすめポイント
- VIO脱毛で毛量を減少させる効果を実感
- 安心のカウンセリングで施術イメージを明確に
- JR藤沢駅南口から徒歩1分の好立地
月,火,水,木,金,土,日,祝神奈川県藤沢市南藤沢3番12号 クリオ藤沢駅前ビル 4F - 美容クリニック・美容皮膚科・美容外科(美容整形)・審美歯科・医療脱毛クリニック・AGAクリニック・メンズクリニック・レディースクリニック・美容内科・再生医療クリニック・再生医療クリニック・医療ダイエット・痩身クリニック・医療ダイエット・痩身クリニック / ・JR上野駅 徒歩7分 ・JR御徒町駅 徒歩3分 ・都営地下鉄銀座線 上野広小路駅 徒歩1分 ・都営地下鉄大江戸線 上野御徒町駅 徒歩1分









すべて見る目の下の切らないクマ・たるみ(ふくらみ)取り|脱脂+脂肪注入
¥ 278,000 (税込)ナチュラル脂肪注射(ほうれい線/ゴルゴ線/こめかみ/目の上/目の下/アゴ先/眉間のしわ/唇※上・下各々)
¥ 82,500 (税込)ナチュラル脂肪注射(目の下~ゴルゴ/頬)
¥ 123,750 (税込)ナチュラル脂肪注射(ナノリッチ) ほうれい線/ゴルゴ線/こめかみ/目の上/目の下/アゴ先/眉間のしわ/唇(上・下各々)/額のシワ1本/首のしわ1本/涙袋
¥ 82,500 (税込)ナチュラル脂肪注射(ナノリッチ) 目の下~ゴルゴ/頬/手の甲
¥ 123,750 (税込)
施術メニューをもっと見るおすすめポイント
- 理想の二重を実現するクイックコスメティーク法
- 通いやすい立地で安心の医療脱毛
- 明朗会計で安心の料金プラン
月,火,水,木,金,土,日,祝東京都台東区上野1-20-11 鈴乃屋本店ビル 8F - 美容クリニック・美容皮膚科・美容外科(美容整形)・審美歯科・医療脱毛クリニック・AGAクリニック・メンズクリニック・レディースクリニック・美容内科・再生医療クリニック・再生医療クリニック・医療ダイエット・痩身クリニック・医療ダイエット・痩身クリニック / ・私鉄東急東横線武蔵小杉駅南口1より徒歩4分 ・JR 武蔵小杉駅 新南口改札(横須賀線口)より徒歩5分 ・JR 武蔵小杉駅 西口より徒歩7分



すべて見る目の下の切らないクマ・たるみ(ふくらみ)取り|脱脂+脂肪注入
¥ 278,000 (税込)ナチュラル脂肪注射(ほうれい線/ゴルゴ線/こめかみ/目の上/目の下/アゴ先/眉間のしわ/唇※上・下各々)
¥ 82,500 (税込)ナチュラル脂肪注射(目の下~ゴルゴ/頬)
¥ 123,750 (税込)ナチュラル脂肪注射(ナノリッチ) ほうれい線/ゴルゴ線/こめかみ/目の上/目の下/アゴ先/眉間のしわ/唇(上・下各々)/額のシワ1本/首のしわ1本/涙袋
¥ 82,500 (税込)ナチュラル脂肪注射(ナノリッチ) 目の下~ゴルゴ/頬/手の甲
¥ 123,750 (税込)
施術メニューをもっと見るおすすめポイント
- 医療脱毛でツルツル肌を実現する
- 痛みを軽減したエラボトックスで小顔に
- 武蔵小杉駅から徒歩5分の好立地
月,火,水,木,金,土,日,祝神奈川県川崎市中原区市ノ坪449-3 シティータワー武蔵小杉2F - 美容クリニック・美容皮膚科・美容外科(美容整形)・医療脱毛クリニック・AGAクリニック・レディースクリニック・美容内科・医療ダイエット・痩身クリニック・医療ダイエット・痩身クリニック / 名古屋駅から徒歩5分









すべて見る脂肪注入 ゴルゴ線
¥ 88,000 (税込)
おすすめポイント
- 痛みを最小限に抑えたアートメイク施術で理想の眉を実現
- 名古屋駅から徒歩5分で通いやすい立地
- 丁寧なカウンセリングで安心の施術体験
月,火,水,木,金,土愛知県名古屋市中村区名駅4-10-25 名駅IMAIビル3F(名古屋院)・6F(アネックス院) - 美容クリニック・美容皮膚科・美容外科(美容整形)・審美歯科・医療脱毛クリニック・AGAクリニック・メンズクリニック・レディースクリニック・美容内科・再生医療クリニック・再生医療クリニック・医療ダイエット・痩身クリニック・医療ダイエット・痩身クリニック / 池袋駅 東京メトロ副都心線 C6出口より 徒歩1分 池袋駅 西口より徒歩4分



すべて見る目の下の切らないクマ・たるみ(ふくらみ)取り|脱脂+脂肪注入
¥ 278,000 (税込)ナチュラル脂肪注射(ほうれい線/ゴルゴ線/こめかみ/目の上/目の下/アゴ先/眉間のしわ/唇※上・下各々)
¥ 82,500 (税込)ナチュラル脂肪注射(目の下~ゴルゴ/頬)
¥ 123,750 (税込)ナチュラル脂肪注射(ナノリッチ) ほうれい線/ゴルゴ線/こめかみ/目の上/目の下/アゴ先/眉間のしわ/唇(上・下各々)/額のシワ1本/首のしわ1本/涙袋
¥ 82,500 (税込)ナチュラル脂肪注射(ナノリッチ) 目の下~ゴルゴ/頬/手の甲
¥ 123,750 (税込)
施術メニューをもっと見るおすすめポイント
- 自然なハリを手に入れるゴルゴライン注入
- 安心感満載の湘南美容外科で施術体験
- 幅広い施術メニューが魅力の湘南美容池袋西口院
月,火,水,木,金,土,日,祝東京都豊島区池袋 2-6-1 KDX池袋ビル 3F - 美容クリニック・美容皮膚科・美容外科(美容整形)・審美歯科・医療脱毛クリニック・AGAクリニック・メンズクリニック・レディースクリニック・美容内科・再生医療クリニック・再生医療クリニック・医療ダイエット・痩身クリニック・医療ダイエット・痩身クリニック / JR秋葉原駅/東京メトロ日比谷線秋葉原駅より徒歩7分


目の下の切らないクマ・たるみ(ふくらみ)取り|脱脂+脂肪注入
¥ 278,000 (税込)ナチュラル脂肪注射(ほうれい線/ゴルゴ線/こめかみ/目の上/目の下/アゴ先/眉間のしわ/唇※上・下各々)
¥ 82,500 (税込)ナチュラル脂肪注射(目の下~ゴルゴ/頬)
¥ 123,750 (税込)ナチュラル脂肪注射(ナノリッチ) ほうれい線/ゴルゴ線/こめかみ/目の上/目の下/アゴ先/眉間のしわ/唇(上・下各々)/額のシワ1本/首のしわ1本/涙袋
¥ 82,500 (税込)ナチュラル脂肪注射(ナノリッチ) 目の下~ゴルゴ/頬/手の甲
¥ 123,750 (税込)
施術メニューをもっと見るおすすめポイント
- 顔の脂肪吸引でスッキリ小顔を実現
- お手頃価格で安心の医療脱毛
- 秋葉原駅から徒歩7分の好立地
月,火,水,木,金,土,日,祝東京都台東区秋葉原1-1 秋葉原ビジネスセンター 6階 - 美容クリニック・美容皮膚科・美容外科(美容整形)・審美歯科・医療脱毛クリニック・AGAクリニック・メンズクリニック・レディースクリニック・美容内科・再生医療クリニック・再生医療クリニック・医療ダイエット・痩身クリニック・医療ダイエット・痩身クリニック / JR常磐線柏駅 南口より徒歩3分









すべて見る目の下の切らないクマ・たるみ(ふくらみ)取り|脱脂+脂肪注入
¥ 278,000 (税込)ナチュラル脂肪注射(ほうれい線/ゴルゴ線/こめかみ/目の上/目の下/アゴ先/眉間のしわ/唇※上・下各々)
¥ 82,500 (税込)ナチュラル脂肪注射(目の下~ゴルゴ/頬)
¥ 123,750 (税込)ナチュラル脂肪注射(ナノリッチ) ほうれい線/ゴルゴ線/こめかみ/目の上/目の下/アゴ先/眉間のしわ/唇(上・下各々)/額のシワ1本/首のしわ1本/涙袋
¥ 82,500 (税込)ナチュラル脂肪注射(ナノリッチ) 目の下~ゴルゴ/頬/手の甲
¥ 123,750 (税込)
施術メニューをもっと見るおすすめポイント
- リーズナブルで効果的な医療脱毛を実現
- スムーズな施術で短時間で完了
- 柏駅南口から徒歩3分の好立地
月,火,水,木,金,土,日,祝千葉県柏市柏1-7-1 Day Oneタワー 2階 - 美容クリニック・美容皮膚科・美容外科(美容整形)・審美歯科・医療脱毛クリニック・AGAクリニック・メンズクリニック・レディースクリニック・美容内科・再生医療クリニック・再生医療クリニック・医療ダイエット・痩身クリニック・医療ダイエット・痩身クリニック / 湘南美容クリニック新橋銀座口院ではSBCプロフェッショナルチームが在籍! 二重整形、脂肪吸引・骨切・豊胸・くま取り・美容皮膚科、医療脱毛など、各分野のエキスパートが実績豊富な医療技術で悩みを解決します! ■リバウンドしないダイエットを提案 ■中国語・英語対応可

目の下の切らないクマ・たるみ(ふくらみ)取り|脱脂+脂肪注入
¥ 278,000 (税込)ナチュラル脂肪注射(ほうれい線/ゴルゴ線/こめかみ/目の上/目の下/アゴ先/眉間のしわ/唇※上・下各々)
¥ 82,500 (税込)ナチュラル脂肪注射(目の下~ゴルゴ/頬)
¥ 123,750 (税込)ナチュラル脂肪注射(ナノリッチ) ほうれい線/ゴルゴ線/こめかみ/目の上/目の下/アゴ先/眉間のしわ/唇(上・下各々)/額のシワ1本/首のしわ1本/涙袋
¥ 82,500 (税込)ナチュラル脂肪注射(ナノリッチ) 目の下~ゴルゴ/頬/手の甲
¥ 123,750 (税込)
施術メニューをもっと見るおすすめポイント
- 形成外科専門医による安心の鼻整形
- ダウンタイムが少ない目頭切開
- 新橋駅から徒歩5分のアクセス便利なクリニック
月,火,水,木,金,土,日,祝東京都港区新橋1-12-9 A-PLACE新橋駅前 9F - 美容クリニック・美容皮膚科・美容外科(美容整形)・審美歯科・医療脱毛クリニック・AGAクリニック・メンズクリニック・レディースクリニック・美容内科・再生医療クリニック・再生医療クリニック・医療ダイエット・痩身クリニック・医療ダイエット・痩身クリニック / JR川越駅 徒歩1分









すべて見る目の下の切らないクマ・たるみ(ふくらみ)取り|脱脂+脂肪注入
¥ 278,000 (税込)ナチュラル脂肪注射(ほうれい線/ゴルゴ線/こめかみ/目の上/目の下/アゴ先/眉間のしわ/唇※上・下各々)
¥ 82,500 (税込)ナチュラル脂肪注射(目の下~ゴルゴ/頬)
¥ 123,750 (税込)ナチュラル脂肪注射(ナノリッチ) ほうれい線/ゴルゴ線/こめかみ/目の上/目の下/アゴ先/眉間のしわ/唇(上・下各々)/額のシワ1本/首のしわ1本/涙袋
¥ 82,500 (税込)ナチュラル脂肪注射(ナノリッチ) 目の下~ゴルゴ/頬/手の甲
¥ 123,750 (税込)
施術メニューをもっと見るおすすめポイント
- 医療脱毛で安心・安全に美肌を手に入れる
- 短時間で効果的なIPL光治療を体験
- JR川越駅から徒歩1分の好立地
月,火,水,木,金,土,日,祝埼玉県川越市脇田本町1-5 川越ウエストビル 7階 - 美容クリニック・美容皮膚科・美容外科(美容整形)・審美歯科・医療脱毛クリニック・AGAクリニック・メンズクリニック・レディースクリニック・美容内科・再生医療クリニック・再生医療クリニック・医療ダイエット・痩身クリニック・医療ダイエット・痩身クリニック / ・JR品川駅 港南口から徒歩3分 ・京浜急行品川駅 港南口から徒歩3分









すべて見る目の下の切らないクマ・たるみ(ふくらみ)取り|脱脂+脂肪注入
¥ 278,000 (税込)ナチュラル脂肪注射(ほうれい線/ゴルゴ線/こめかみ/目の上/目の下/アゴ先/眉間のしわ/唇※上・下各々)
¥ 82,500 (税込)ナチュラル脂肪注射(目の下~ゴルゴ/頬)
¥ 123,750 (税込)ナチュラル脂肪注射(ナノリッチ) ほうれい線/ゴルゴ線/こめかみ/目の上/目の下/アゴ先/眉間のしわ/唇(上・下各々)/額のシワ1本/首のしわ1本/涙袋
¥ 82,500 (税込)ナチュラル脂肪注射(ナノリッチ) 目の下~ゴルゴ/頬/手の甲
¥ 123,750 (税込)
施術メニューをもっと見るおすすめポイント
- ダウンタイムが短い二重整形で自然な仕上がりを実現
- リーズナブルな価格で安心の医療脱毛を提供
- JR品川駅から徒歩3分の通いやすさ
月,火,水,木,金,土,日,祝東京都港区港南2-4-3 三和港南ビル 3F - 美容クリニック・美容皮膚科・美容外科(美容整形)・審美歯科・医療脱毛クリニック・AGAクリニック・メンズクリニック・レディースクリニック・美容内科・再生医療クリニック・再生医療クリニック・医療ダイエット・痩身クリニック・医療ダイエット・痩身クリニック / 北千住駅 徒歩4分









すべて見る目の下の切らないクマ・たるみ(ふくらみ)取り|脱脂+脂肪注入
¥ 278,000 (税込)ナチュラル脂肪注射(ほうれい線/ゴルゴ線/こめかみ/目の上/目の下/アゴ先/眉間のしわ/唇※上・下各々)
¥ 82,500 (税込)ナチュラル脂肪注射(目の下~ゴルゴ/頬)
¥ 123,750 (税込)ナチュラル脂肪注射(ナノリッチ) ほうれい線/ゴルゴ線/こめかみ/目の上/目の下/アゴ先/眉間のしわ/唇(上・下各々)/額のシワ1本/首のしわ1本/涙袋
¥ 82,500 (税込)ナチュラル脂肪注射(ナノリッチ) 目の下~ゴルゴ/頬/手の甲
¥ 123,750 (税込)
施術メニューをもっと見るおすすめポイント
- 一生涯保証のフォーエバー二重術で理想の目元を実現
- 医療脱毛でツルツル肌を実感!3回コースで効果を実感
- 北千住駅から徒歩3分の好立地で通いやすい
月,火,水,木,金,土,日,祝東京都足立区千住3丁目74-1 第2白亜ビル 2階 - 美容クリニック・美容皮膚科・美容外科(美容整形)・医療脱毛クリニック・メンズクリニック・レディースクリニック・美容内科・医療ダイエット・痩身クリニック・医療ダイエット・痩身クリニック / 高田馬場駅下車 徒歩3分



脂肪注入 ゴルゴ
¥ 110,000 (税込)脂肪注入 ゴルゴ
¥ 77,000 (税込)脂肪注入 目の下~ゴルゴ
¥ 165,000 (税込)脂肪注入 目の下~ゴルゴ
¥ 110,000 (税込)
施術メニューをもっと見るおすすめポイント
- ピコフラクショナルで肌トーンをアップする
- カウンセリング重視で安心の施術体験
- 高田馬場駅から徒歩3分の好立地
月,火,水,木,金,土,日,祝東京都豊島区高田3-11-19 ヴィラオートヴァーグ 2F - 美容クリニック・美容皮膚科・美容外科(美容整形)・審美歯科・医療脱毛クリニック・AGAクリニック・メンズクリニック・レディースクリニック・美容内科・再生医療クリニック・再生医療クリニック・医療ダイエット・痩身クリニック・医療ダイエット・痩身クリニック / 所沢駅 徒歩1分









すべて見る目の下の切らないクマ・たるみ(ふくらみ)取り|脱脂+脂肪注入
¥ 278,000 (税込)ナチュラル脂肪注射(ほうれい線/ゴルゴ線/こめかみ/目の上/目の下/アゴ先/眉間のしわ/唇※上・下各々)
¥ 82,500 (税込)ナチュラル脂肪注射(目の下~ゴルゴ/頬)
¥ 123,750 (税込)ナチュラル脂肪注射(ナノリッチ) ほうれい線/ゴルゴ線/こめかみ/目の上/目の下/アゴ先/眉間のしわ/唇(上・下各々)/額のシワ1本/首のしわ1本/涙袋
¥ 82,500 (税込)ナチュラル脂肪注射(ナノリッチ) 目の下~ゴルゴ/頬/手の甲
¥ 123,750 (税込)
施術メニューをもっと見るおすすめポイント
- VIO脱毛を安心して体験する
- 短時間で効果を実感するボトックス
- 所沢駅から徒歩1分の好立地
月,火,水,木,金,土,日,祝埼玉県所沢市日吉町11-19 基和ビル 5階 - 美容クリニック・美容皮膚科・美容外科(美容整形)・審美歯科・医療脱毛クリニック・AGAクリニック・メンズクリニック・レディースクリニック・美容内科・再生医療クリニック・再生医療クリニック・医療ダイエット・痩身クリニック・医療ダイエット・痩身クリニック / 京王線 調布駅 徒歩2分









すべて見る目の下の切らないクマ・たるみ(ふくらみ)取り|脱脂+脂肪注入
¥ 278,000 (税込)ナチュラル脂肪注射(ほうれい線/ゴルゴ線/こめかみ/目の上/目の下/アゴ先/眉間のしわ/唇※上・下各々)
¥ 82,500 (税込)ナチュラル脂肪注射(目の下~ゴルゴ/頬)
¥ 123,750 (税込)ナチュラル脂肪注射(ナノリッチ) ほうれい線/ゴルゴ線/こめかみ/目の上/目の下/アゴ先/眉間のしわ/唇(上・下各々)/額のシワ1本/首のしわ1本/涙袋
¥ 82,500 (税込)ナチュラル脂肪注射(ナノリッチ) 目の下~ゴルゴ/頬/手の甲
¥ 123,750 (税込)
施術メニューをもっと見るおすすめポイント
- 痛みを感じにくい医療脱毛で安心
- 清潔感あふれるプライベート空間で施術
- 京王線調布駅から徒歩2分の好立地
火,木,金,土,日,祝東京都調布市小島町1-35-5 調布アミックスビル 4階 - 美容クリニック・美容皮膚科・美容外科(美容整形)・審美歯科・医療脱毛クリニック・AGAクリニック・メンズクリニック・レディースクリニック・美容内科・再生医療クリニック・再生医療クリニック・医療ダイエット・痩身クリニック・医療ダイエット・痩身クリニック / 総武線 船橋駅から徒歩2分 京成船橋駅から徒歩3分 東京駅から電車で船橋駅まで25分 千葉駅から電車で船橋駅まで21分









すべて見る目の下の切らないクマ・たるみ(ふくらみ)取り|脱脂+脂肪注入
¥ 278,000 (税込)ナチュラル脂肪注射(ほうれい線/ゴルゴ線/こめかみ/目の上/目の下/アゴ先/眉間のしわ/唇※上・下各々)
¥ 82,500 (税込)ナチュラル脂肪注射(目の下~ゴルゴ/頬)
¥ 123,750 (税込)ナチュラル脂肪注射(ナノリッチ) ほうれい線/ゴルゴ線/こめかみ/目の上/目の下/アゴ先/眉間のしわ/唇(上・下各々)/額のシワ1本/首のしわ1本/涙袋
¥ 82,500 (税込)ナチュラル脂肪注射(ナノリッチ) 目の下~ゴルゴ/頬/手の甲
¥ 123,750 (税込)
施術メニューをもっと見るおすすめポイント
- ボトックス注射でシワを改善し、若々しい印象を手に入れる
- 医療脱毛で自己処理から解放され、ツルツル肌を実現
- 船橋駅から徒歩2分、通いやすい立地で安心の施術
月,火,水,木,金,土,日,祝千葉県船橋市本町4丁目2-9 菅野屋船橋ビル 4階 - 美容クリニック・美容皮膚科・美容外科(美容整形)・医療脱毛クリニック・メンズクリニック・レディースクリニック・美容内科・再生医療クリニック・再生医療クリニック・医療ダイエット・痩身クリニック・医療ダイエット・痩身クリニック / ■JR「有楽町」駅京橋口より徒歩4分 ■地下鉄有楽町線「銀座一丁目」駅 3番出口より徒歩1分 ■地下鉄銀座線・日比谷線・丸ノ内線「銀座」駅 C8番出口より徒歩4分



すべて見る引用元:
銀座TAクリニック 公式サイト脂肪注入 目の下~ゴルゴライン/こめかみ/頬
¥ 99,000 (税込)脂肪注入 法令線/ゴルゴライン/目の上/目の下/眉間/鼻筋/口唇/アゴ
¥ 66,000 (税込)脂肪注入(スタンダードリッチフェイス) 目の下~ゴルゴライン/こめかみ/頬
¥ 49,500 (税込)脂肪注入(スタンダードリッチフェイス) 法令線/ゴルゴライン/目の上/目の下/眉間/鼻筋/口唇/アゴ
¥ 33,000 (税込)脂肪注入(ナノファット) 法令線/ゴルゴ/目の上/目の下/涙袋
¥ 82,500 (税込)
施術メニューをもっと見るおすすめポイント
- 理想の二重を実現する施術
- 短時間でフェイスラインを引き上げる糸リフト
- JR「有楽町」駅から徒歩4分の好立地
月,火,水,木,金,土,日,祝東京都中央区銀座2-3番1号 RayGinza 5階 - 美容クリニック・美容皮膚科・美容外科(美容整形)・審美歯科・医療脱毛クリニック・AGAクリニック・メンズクリニック・レディースクリニック・美容内科・再生医療クリニック・再生医療クリニック・医療ダイエット・痩身クリニック・医療ダイエット・痩身クリニック / 辻堂駅 徒歩5分









すべて見る目の下の切らないクマ・たるみ(ふくらみ)取り|脱脂+脂肪注入
¥ 278,000 (税込)ナチュラル脂肪注射(ほうれい線/ゴルゴ線/こめかみ/目の上/目の下/アゴ先/眉間のしわ/唇※上・下各々)
¥ 82,500 (税込)ナチュラル脂肪注射(目の下~ゴルゴ/頬)
¥ 123,750 (税込)ナチュラル脂肪注射(ナノリッチ) ほうれい線/ゴルゴ線/こめかみ/目の上/目の下/アゴ先/眉間のしわ/唇(上・下各々)/額のシワ1本/首のしわ1本/涙袋
¥ 82,500 (税込)ナチュラル脂肪注射(ナノリッチ) 目の下~ゴルゴ/頬/手の甲
¥ 123,750 (税込)
施術メニューをもっと見るおすすめポイント
- 医療脱毛で確実に毛を減らす
- 女性医師による安心の施術体験
- 辻堂駅から徒歩5分の好立地
月,火,水,木,金,土,日,祝神奈川県藤沢市辻堂神台1-3-39 オザワビル 4F - 美容クリニック・美容皮膚科・美容外科(美容整形)・審美歯科・医療脱毛クリニック・AGAクリニック・メンズクリニック・レディースクリニック・美容内科・再生医療クリニック・再生医療クリニック・医療ダイエット・痩身クリニック・医療ダイエット・痩身クリニック / 大宮駅東口より徒歩3分


目の下の切らないクマ・たるみ(ふくらみ)取り|脱脂+脂肪注入
¥ 278,000 (税込)ナチュラル脂肪注射(ほうれい線/ゴルゴ線/こめかみ/目の上/目の下/アゴ先/眉間のしわ/唇※上・下各々)
¥ 82,500 (税込)ナチュラル脂肪注射(目の下~ゴルゴ/頬)
¥ 123,750 (税込)ナチュラル脂肪注射(ナノリッチ) ほうれい線/ゴルゴ線/こめかみ/目の上/目の下/アゴ先/眉間のしわ/唇(上・下各々)/額のシワ1本/首のしわ1本/涙袋
¥ 82,500 (税込)ナチュラル脂肪注射(ナノリッチ) 目の下~ゴルゴ/頬/手の甲
¥ 123,750 (税込)
施術メニューをもっと見るおすすめポイント
- 頬のコケ改善!脂肪注入でシュッとフェイス
- 痛み軽減!脂肪注入で安心の施術体験
- 小顔効果UP!脂肪注入で理想のフェイスライン
月,火,水,木,金,土,日,祝埼玉県さいたま市大宮区大門町2-22-1 TAiGAビル 3階 - 美容クリニック・美容皮膚科・美容外科(美容整形)・審美歯科・医療脱毛クリニック・AGAクリニック・メンズクリニック・レディースクリニック・美容内科・再生医療クリニック・再生医療クリニック・医療ダイエット・痩身クリニック・医療ダイエット・痩身クリニック / 高崎駅 徒歩2分









すべて見る目の下の切らないクマ・たるみ(ふくらみ)取り|脱脂+脂肪注入
¥ 278,000 (税込)ナチュラル脂肪注射(ほうれい線/ゴルゴ線/こめかみ/目の上/目の下/アゴ先/眉間のしわ/唇※上・下各々)
¥ 82,500 (税込)ナチュラル脂肪注射(目の下~ゴルゴ/頬)
¥ 123,750 (税込)ナチュラル脂肪注射(ナノリッチ) ほうれい線/ゴルゴ線/こめかみ/目の上/目の下/アゴ先/眉間のしわ/唇(上・下各々)/額のシワ1本/首のしわ1本/涙袋
¥ 82,500 (税込)ナチュラル脂肪注射(ナノリッチ) 目の下~ゴルゴ/頬/手の甲
¥ 123,750 (税込)
施術メニューをもっと見るおすすめポイント
- 6回で実感!脇脱毛の確かな効果を体験
- 高崎駅から徒歩2分!通いやすさ抜群
- 親身なカウンセリングで安心の施術体験
月,火,水,木,金,土,日,祝群馬県高崎市八島町70 ラ・メルセ 2F - 美容クリニック / 明治神宮前駅7番出口 徒歩1分 原宿駅から徒歩4分 表参道駅徒歩10分
- 美容クリニック・美容皮膚科・美容外科(美容整形)・審美歯科・医療脱毛クリニック・AGAクリニック・メンズクリニック・レディースクリニック・美容内科・再生医療クリニック・再生医療クリニック・医療ダイエット・痩身クリニック・医療ダイエット・痩身クリニック / JR福島駅 徒歩約1分









すべて見る目の下の切らないクマ・たるみ(ふくらみ)取り|脱脂+脂肪注入
¥ 278,000 (税込)ナチュラル脂肪注射(ほうれい線/ゴルゴ線/こめかみ/目の上/目の下/アゴ先/眉間のしわ/唇※上・下各々)
¥ 82,500 (税込)ナチュラル脂肪注射(目の下~ゴルゴ/頬)
¥ 123,750 (税込)ナチュラル脂肪注射(ナノリッチ) ほうれい線/ゴルゴ線/こめかみ/目の上/目の下/アゴ先/眉間のしわ/唇(上・下各々)/額のシワ1本/首のしわ1本/涙袋
¥ 82,500 (税込)ナチュラル脂肪注射(ナノリッチ) 目の下~ゴルゴ/頬/手の甲
¥ 123,750 (税込)
施術メニューをもっと見るおすすめポイント
- 安心のカウンセリングで施術を決断する
- 短時間で効果的な施術を実現
- JR福島駅から徒歩約1分で通いやすい
月,火,水,木,金,土,日,祝福島県福島市栄町6-1 メディアシティエスタ 4階 - 美容クリニック・美容皮膚科・美容外科(美容整形)・審美歯科・医療脱毛クリニック・AGAクリニック・メンズクリニック・レディースクリニック・美容内科・再生医療クリニック・再生医療クリニック・医療ダイエット・痩身クリニック・医療ダイエット・痩身クリニック / 東銀座駅A1徒歩1分 銀座駅A5徒歩1分









すべて見る目の下の切らないクマ・たるみ(ふくらみ)取り|脱脂+脂肪注入
¥ 278,000 (税込)ナチュラル脂肪注射(ほうれい線/ゴルゴ線/こめかみ/目の上/目の下/アゴ先/眉間のしわ/唇※上・下各々)
¥ 82,500 (税込)ナチュラル脂肪注射(目の下~ゴルゴ/頬)
¥ 123,750 (税込)ナチュラル脂肪注射(ナノリッチ) ほうれい線/ゴルゴ線/こめかみ/目の上/目の下/アゴ先/眉間のしわ/唇(上・下各々)/額のシワ1本/首のしわ1本/涙袋
¥ 82,500 (税込)ナチュラル脂肪注射(ナノリッチ) 目の下~ゴルゴ/頬/手の甲
¥ 123,750 (税込)
施術メニューをもっと見るおすすめポイント
- 笑気麻酔で安心!腫れなしの二重整形を実現
- 涙袋ヒアルロン酸注入で可愛さUP!
- 東銀座駅から徒歩1分の好立地
月,火,水,木,金,土,日,祝東京都中央区銀座5-10-2 GINZA MISS PARIS 3階 - 美容クリニック・美容皮膚科・美容外科(美容整形)・美容外科(美容整形)・レディースクリニック・再生医療クリニック・再生医療クリニック / 日比谷線六本木駅 1a番出口から徒歩10分 日比谷線広尾駅 3番出口から徒歩12分



おすすめポイント
- エラのボトックスでフェイスラインを整える
- 脂肪吸引で自信を取り戻す
- 六本木駅から徒歩10分の好立地
月,火,水,木,金,土,日,祝東京都港区西麻布 3-16-23 Azabu Body Design Center 1F - 美容クリニック・美容皮膚科・美容外科(美容整形)・審美歯科・医療脱毛クリニック・AGAクリニック・メンズクリニック・レディースクリニック・美容内科・再生医療クリニック・再生医療クリニック・医療ダイエット・痩身クリニック・医療ダイエット・痩身クリニック / 宇都宮駅 東口 徒歩4分






すべて見る目の下の切らないクマ・たるみ(ふくらみ)取り|脱脂+脂肪注入
¥ 278,000 (税込)ナチュラル脂肪注射(ほうれい線/ゴルゴ線/こめかみ/目の上/目の下/アゴ先/眉間のしわ/唇※上・下各々)
¥ 82,500 (税込)ナチュラル脂肪注射(目の下~ゴルゴ/頬)
¥ 123,750 (税込)ナチュラル脂肪注射(ナノリッチ) ほうれい線/ゴルゴ線/こめかみ/目の上/目の下/アゴ先/眉間のしわ/唇(上・下各々)/額のシワ1本/首のしわ1本/涙袋
¥ 82,500 (税込)ナチュラル脂肪注射(ナノリッチ) 目の下~ゴルゴ/頬/手の甲
¥ 123,750 (税込)
施術メニューをもっと見るおすすめポイント
- 痛みを抑えたスピーディーな医療脱毛を体験
- 安心のカウンセリングで初めてでも安心
- 宇都宮駅から徒歩4分の好立地
月,火,水,木,金,土,日,祝栃木県宇都宮市東宿郷2-4-3 宇都宮大塚ビル 3階
全国のゴルゴ線の脂肪注入についてよくある質問
全国には、ゴルゴ線の脂肪注入を扱う美容クリニックは何件ありますか?
全国には、ゴルゴ線の脂肪注入の症例写真は何件ありますか?
全国で最も施術メニューが豊富なゴルゴ線の脂肪注入を扱う美容クリニックはどこですか?
全国にあるゴルゴ線の脂肪注入を扱う美容クリニックで最も口コミが投稿されているのはどこですか?
ゴルゴ線の脂肪注入の施術内容・特徴は?
ゴルゴ線の脂肪注入のリスク・副作用は?
ゴルゴ線の脂肪注入の注意事項は?
全国で、ゴルゴ線の脂肪注入を扱う美容クリニックに所属している評判が高い医師は?














