ホワイトニングができるおすすめ美容クリニックTOP20|評判の良いクリニックを口コミ・料金・人気で比較
全国でホワイトニングができる美容クリニックをまとめました。 ホワイトニングができる美容クリニックは211件あり、平均レビューは4.3点、投稿されたレビュー数は681件となっています。 ホワイトニングで人気の美容クリニックは、「銀座高須クリニック(口コミ106件)」「湘南歯科クリニック 仙台院(口コミ2件)」などが挙げられます。 ホワイトニングの施術メニュー・金額としては「オフィスホワイトニング(¥1,650)」「ホームホワイトニング(片顎/上下顎)(¥27,500)」「美容歯科 ホワイトニング(¥9,800)」などがあります。 実体験の口コミやレビューを参考に、なりたい自分になれる美容クリニックをお選びください。
「神症例」とはキレイレポが認定した症例です。全クリニックを対象としていますが、プロモート掲載クリニックは必ず1つ選定しています。
- 美容クリニック・美容皮膚科・美容外科(美容整形)・医療脱毛クリニック・医療ダイエット・痩身クリニック・医療ダイエット・痩身クリニック / 地下鉄有楽町線「銀座一丁目駅」7番出口より徒歩1分 地下鉄銀座線「京橋駅」2番出口より徒歩2分 JR線「有楽町駅」京橋口より徒歩5分 JR線「有楽町駅」中央口より徒歩5分





すべて見る引用元:
銀座高須クリニック 公式サイトオフィスホワイトニング
¥ 1,650 (税込)ホームホワイトニング(片顎/上下顎)
¥ 27,500 (税込)
おすすめポイント
- 短時間で理想の二重を実現する埋没法
- 高い技術力で満足度の高い施術を提供
- 銀座駅から徒歩5分の好立地
月,火,水,木,金,土,日,祝東京都中央区銀座一-8-19 キラリトギンザ 11F - 美容クリニック・美容皮膚科・美容外科(美容整形)・審美歯科・医療脱毛クリニック・AGAクリニック・メンズクリニック・レディースクリニック・美容内科・整形外科・整形外科・再生医療クリニック・再生医療クリニック・医療ダイエット・痩身クリニック・医療ダイエット・痩身クリニック / JR仙台駅西口 徒歩約1分
- 美容クリニック・美容皮膚科・美容外科(美容整形)・審美歯科・医療脱毛クリニック・AGAクリニック・メンズクリニック・レディースクリニック・美容内科・再生医療クリニック・再生医療クリニック・医療ダイエット・痩身クリニック・医療ダイエット・痩身クリニック / 新宿駅 徒歩1分 JR線・京王線・小田急線・都営地下鉄大江戸線 ・都営地下鉄新宿線・東京メトロ丸ノ内線 新宿駅 「4番出口」より直結。雨に濡れずに、お越しいただけます。




すべて見る施術メニューをもっと見るおすすめポイント
- 理想の二重を実現する埋没法
- 安心のアフターケアとサポート
- 新宿駅から徒歩1分の好立地
月,火,水,木,金,土,日,祝東京都渋谷区代々木2-9-2 久保ビル 7F - 美容クリニック・美容皮膚科・美容外科(美容整形)・医療脱毛クリニック・レディースクリニック・再生医療クリニック・再生医療クリニック・医療ダイエット・痩身クリニック・医療ダイエット・痩身クリニック / JR 新幹線、在来線:名古屋駅 徒歩3~5分 桜通口を出て右へ、大通りを渡る。徒歩3分


オフィスホワイトニング
¥ 1,650 (税込)ホームホワイトニング(片顎/上下顎)
¥ 27,500 (税込)
おすすめポイント
- 短時間で理想の二重を実現する埋没法
- 安心のカウンセリングで悩みに寄り添う
- 名古屋駅から徒歩3分の好立地
月,火,水,木,金,土,日,祝愛知県名古屋市中村区名駅4-7-1 ミッドランドスクエア 8F - 美容クリニック・美容皮膚科・美容外科(美容整形)・審美歯科・医療脱毛クリニック・美容内科・再生医療クリニック・再生医療クリニック・医療ダイエット・痩身クリニック・医療ダイエット・痩身クリニック / 新宿駅東口徒歩5分 西武新宿駅徒歩3分



オフィスホワイトニング
¥ 22,000 (税込)ホームホワイトニング
¥ 11,000 (税込)デュアルホワイトニング
¥ 41,800 (税込)
施術メニューをもっと見るおすすめポイント
- 安心の二重埋没手術で自信を持つ
- お手頃価格で脂肪溶解注射を体験
- 新宿駅から徒歩5分の好立地
月,火,水,木,金,土,日,祝東京都新宿区歌舞伎町1丁目23-15 SUZUYAビル 4F - 美容クリニック・美容皮膚科・審美歯科・美容内科・医療ダイエット・痩身クリニック・医療ダイエット・痩身クリニック / 中目黒駅から徒歩2分









すべて見るホワイトニング
¥ 8,800 (税込)ホワイトニング
おすすめポイント
- 自眉を生かした自然なアートメイクを実現
- 清潔感あふれる落ち着いた空間で安心施術
- 中目黒駅から徒歩2分の好立地
月,火,水,木,金,土,日,祝東京都目黒区上目黒3-1-4 中目黒グリーンプラザビル 7F - -----美容クリニック・審美歯科 / 名古屋駅1番出口から徒歩1分
- 美容クリニック・美容皮膚科・美容外科(美容整形)・医療脱毛クリニック・レディースクリニック・再生医療クリニック・再生医療クリニック・医療ダイエット・痩身クリニック・医療ダイエット・痩身クリニック / JR大阪駅【1F中央口】 徒歩5分









すべて見るオフィスホワイトニング
¥ 1,650 (税込)ホームホワイトニング(片顎/上下顎)
¥ 27,500 (税込)
おすすめポイント
- 自然な仕上がりで理想の輪郭を実現するプロテーゼ
- 安心のカウンセリングで不安を解消しよう
- JR大阪駅から徒歩5分の好立地
月,火,水,木,金,土,日,祝大阪府大阪市北区大阪市北区大深町4-20 グランフロント大阪タワーA 12階 - 美容クリニック・美容皮膚科・メンズクリニック・レディースクリニック・美容内科 / 東銀座駅4番出口すぐ (銀座駅A5出口徒歩4分)



おすすめポイント
- リーズナブルなフォトフェイシャルで美肌を実感する
- ダウンタイムが少ないヴェルヴェットスキンで安心施術
- 東銀座駅から徒歩1分の好立地で通いやすい
月,火,水,木,金,土,日,祝東京都中央区銀座5-13-19 デュープレックス銀座タワー 6F - 美容クリニック・美容皮膚科・美容外科(美容整形)・医療脱毛クリニック・レディースクリニック・再生医療クリニック・再生医療クリニック・医療ダイエット・痩身クリニック・医療ダイエット・痩身クリニック / JR横浜駅西口より徒歩1~2分









すべて見るオフィスホワイトニング
¥ 1,650 (税込)ホームホワイトニング(片顎/上下顎)
¥ 27,500 (税込)
おすすめポイント
- 10分で完了!埋没法で理想の二重を実現
- 高評価のカウンセリングで安心感を提供
- JR横浜駅から徒歩1~2分の好立地
月,火,水,木,金,土,日,祝神奈川県横浜市西区北幸1-6-1 横浜ファーストビル 10F - 美容クリニック・美容皮膚科・美容外科(美容整形)・医療脱毛クリニック・AGAクリニック・美容内科・医療ダイエット・痩身クリニック・医療ダイエット・痩身クリニック / みなとみらい線「馬車道駅」 5番出口より徒歩3分 市営地下鉄「関内駅」 3番出口より徒歩4分 JR「関内駅」 北口より徒歩6分









すべて見るオフィスホワイトニング
¥ 22,000 (税込)
おすすめポイント
- ボトックスで自然な表情を保つ
- Qスイッチヤグレーザーでシミを根本から撃退
- 馬車道駅から徒歩3分の好立地
月,火,水,木,金,土,祝神奈川県横浜市中区南仲通3-35 横浜エクセレントIII 6F - 美容クリニック・美容皮膚科・美容外科(美容整形)・審美歯科・医療脱毛クリニック・AGAクリニック・メンズクリニック・レディースクリニック・美容内科・整形外科・整形外科・再生医療クリニック・再生医療クリニック・医療ダイエット・痩身クリニック・医療ダイエット・痩身クリニック / JR三ノ宮駅徒歩5分、阪神神戸三宮駅徒歩3分






すべて見る美容歯科 ホワイトニング
¥ 9,800 (税込)
おすすめポイント
- エラボトックスで小顔と食いしばり改善を実現
- 肩ボトックスで肩こり解消と美しいラインを手に入れる
- 三ノ宮駅から徒歩5分の通いやすさ
月,火,水,木,金,土,日,祝兵庫県神戸市中央区御幸通6-1-10 オリックス神戸三宮ビル 5階 - 美容クリニック・美容皮膚科・美容外科(美容整形)・審美歯科・医療脱毛クリニック・AGAクリニック・レディースクリニック・美容内科・医療ダイエット・痩身クリニック・医療ダイエット・痩身クリニック / 御堂筋線「心斎橋駅」2番出口から徒歩1分







すべて見るデュアルホワイトニング
¥ 35,200 (税込)スマイリーホワイトニング/パーフェクトホワイトニング
¥ 57,750 (税込)
おすすめポイント
- ピコシュアで肌をツルンと整える
- ボディレーザーで黒ずみを解消
- 心斎橋駅から徒歩1分の好立地
月,火,水,木,金,土,日,祝大阪府大阪市中央区南船場4-5-8 ラスターオン心斎橋ビル 9階 - 美容クリニック・美容皮膚科・美容外科(美容整形)・審美歯科・医療脱毛クリニック・AGAクリニック・レディースクリニック・美容内科・医療ダイエット・痩身クリニック・医療ダイエット・痩身クリニック / 西梅田駅10番出口



すべて見るデュアルホワイトニング
¥ 35,200 (税込)スマイリーホワイトニング/パーフェクトホワイトニング
¥ 57,750 (税込)
おすすめポイント
- 鼻汗ボトックスでコンプレックス解消
- 小鼻縮小で理想の鼻に近づく
- 西梅田駅から徒歩5分の好立地
月,火,水,木,金,土,日,祝大阪府大阪市北区梅田2-1-21 レイズウメダビル 4階 - 美容クリニック・美容皮膚科・美容外科(美容整形)・審美歯科・医療脱毛クリニック・AGAクリニック・メンズクリニック・レディースクリニック・美容内科・再生医療クリニック・再生医療クリニック・医療ダイエット・痩身クリニック・医療ダイエット・痩身クリニック / 有楽町線 銀座一丁目駅 7番出口 徒歩1分 銀座線 京橋駅 3番出口 徒歩1分 銀座線・丸の内線・日比谷線 銀座駅 A9番出口 徒歩6分 JR有楽町駅 徒歩7分



オフィスホワイトニング
¥ 25,000 (税込)クリスタルホワイトニング
¥ 40,000 (税込)ホームホワイトニング
¥ 20,000 (税込)
施術メニューをもっと見る月,火,水,木,金,土,日,祝東京都中央区銀座1-2-4 サクセス銀座ファーストビル 8F - 美容クリニック・美容皮膚科・美容外科(美容整形)・審美歯科・AGAクリニック・美容内科・医療ダイエット・痩身クリニック・医療ダイエット・痩身クリニック / みなとみらい線 / 元町・中華街駅3番出口から徒歩4分 JR京浜東北・根岸線 / 石川町駅中華街口から徒歩9分









すべて見るホワイトニング
¥ 57,750 (税込)
月,火,水,木,金,土神奈川県横浜市中区山下町106-33 Lilyビル 2階 - 美容クリニック・美容皮膚科・美容外科(美容整形)・審美歯科 / 東京メトロ銀座線「外苑前駅」4a出口より徒歩2分 東京メトロ銀座線、半蔵門線、都営大江戸線「青山一丁目駅」3番出口より徒歩6分 東京メトロ銀座線、半蔵門線、千代田線「表参道駅」A4出口より徒歩10分









すべて見る引用元:
東京歯並び矯正歯科 公式サイトホワイトニング
¥ 30,800 (税込)
おすすめポイント
- 見えない矯正で自信を取り戻す
- 丁寧なカウンセリングで安心感を提供
- 外苑前駅から徒歩2分の好立地
月,火,水,木,金,土,日,祝東京都港区南青山2-12-15 南青山2-ビル 7階 - 美容クリニック・美容皮膚科・美容外科(美容整形)・医療脱毛クリニック・医療脱毛クリニック・AGAクリニック・レディースクリニック・美容内科・再生医療クリニック・再生医療クリニック・医療ダイエット・痩身クリニック・医療ダイエット・痩身クリニック / JR横浜線「相原駅」より徒歩で約30分。 京王相模原線「多摩境駅」より徒歩で約35分





すべて見る引用元:
中濵クリニック 公式サイトホワイトニング
¥ 16,500 (税込)
おすすめポイント
- 丁寧なアートメイクで毎日を楽しむ
- お手頃価格でうなじ脱毛を体験
- 相原駅から徒歩30分のアクセス便利
月,火,水,木,金,土,日,祝東京都八王子市鑓水2-175番9号 - 美容クリニック・美容皮膚科・美容外科(美容整形)・医療脱毛クリニック・AGAクリニック・メンズクリニック・レディースクリニック・美容内科・再生医療クリニック・再生医療クリニック・医療ダイエット・痩身クリニック・医療ダイエット・痩身クリニック / 地下鉄「栄」駅1番出口より徒歩1分





すべて見る引用元:
高須クリニック 栄院 公式サイトオフィスホワイトニング
¥ 1,650 (税込)ホームホワイトニング(片顎/上下顎)
¥ 27,500 (税込)
おすすめポイント
- 切開法で理想の二重を実現する
- シミ取り施術で肌の悩みを解消
- 地下鉄「栄」駅から徒歩1分の好立地
月,火,水,木,金,土,日,祝愛知県名古屋市中区錦3-17-10 錦三ビル 7階 - 美容クリニック・美容皮膚科・審美歯科 / 最寄駅:丸の内線/銀座線/日比谷線/「銀座線」C2出口から徒歩2分 京浜東北線/山手線/有楽町線/「有楽町駅」から徒歩2分 浅草線/銀座線/常磐線/京浜東北線/東海道本線/山手線 横須賀線/ゆりかもめ/「新橋」から徒歩7分見違えるほどの白さに!- Miyuki



トライアル スタンダードコース
¥ 10,780 (税込)自然な仕上がりコース ホワイトニング付き
¥ 18,260 (税込)パーフェクトな仕上がりコース(2回来院分) クリーニング付き
¥ 29,260 (税込)銀座スペシャルコース
¥ 29,260 (税込)パーフェクト銀座スペシャルコース (2回来院分)クリーニング付き
¥ 45,760 (税込)
施術メニューをもっと見るおすすめポイント
- 歯の黄ばみを一瞬で消す
- 自然な白さが手に入る
- 専門店ならではの驚き体験
月,火,水,木,金,土,日,祝東京都中央区銀座6-4-7 G・O・Westビル 8階 - 美容クリニック・美容外科(美容整形)・審美歯科 / JR大阪駅・各線梅田駅より徒歩3分
- 美容クリニック・審美歯科 / 東急東横線、日比谷線中目黒駅南改札口から徒歩5分施術前の期待感と不安 まじでとにかく早く効果感じたかったので、ハイパーホワイトニング?みたいなとにかく1回の施術で一番効果出るホワイトニングやりました。実際、1回でめっちゃ明るくなりました。オフィスホワイトニングで出来る限界の1個前の明るさまでは上がったはずです。私は割と肌が白い方で、化粧で結構トーンアップさせるので、そんなに歯が浮くこともなく、色的には満足しました。 ホワイトニング後のケア ただ、一気に白くすると色の後戻りも早くなっちゃうので、このハイパーホワイトニング受けた直後にホームホワイトニングも併用してます。でも私さぼり癖がすごくて、ホームホワイトニングほんとに続けられないんですが、私みたいなコツコツ継続が苦手な人は、メンテナンスで弱いオフィスホワイトニングを定期的に受けたほうが無駄にならないだろうなあとは思いました。(絶賛サボり中で色戻り始めてるので焦ってます) このハイパーホワイトニングでは、1回の施術で、薬を塗って照射を3セット繰り返すんですが、2セット目の照射から歯に沁み始めてめっちゃ痛かった……。微動だにしなかったらそこまで痛くないんですが、照射中動いたりして何かに当たったり?したらほんとに痛かったです。人生で1番歯が痛い瞬間だった。3回目終わった後は、息の空気の流れで若干痛かったんで、呼吸の方法工夫したりしてました。染み止めの薬も塗ってくれたんですが、それでもしばらく痛かった。私、昔から歯がすごく弱かったんでそれもあるかもしれません。 病院自体は普通の歯医者さんがこのホワイトエッセンスに加入してる感じで、チェーン寄りです。病院にしては珍しく全員名刺をくれて、すごく腰が低かったのが印象的でした。お医者さんもスタッフさんもめちゃくちゃ優しくて話やすかったです。 ホームホワイトニングの薬使い終わったら、次はメンテナンスのオフィスホワイトニングしに定期的にここに通うつもりです!- ななお



すべて見るオフィスホワイトニング
¥ 19,900 (税込)ホームホワイトニング
¥ 19,900 (税込)
おすすめポイント
- 1回で効果実感!ハイパーホワイトニングの魅力
- 痛みに耐えて白さ追求!ハイパーホワイトニングの真実
- 中目黒で楽々アクセス!ホワイトニングの新しい体験
月,火,水,金,土東京都目黒区上目黒2-44-24 COMS中目黒 5F 伊藤デンタルクリニック東京内 - 美容クリニック・美容皮膚科・審美歯科・医療脱毛クリニック・美容内科 / 山手線 池袋駅 東口 徒歩5分 東武東上線 北池袋駅 徒歩17分 山手線 大塚駅 徒歩19分





すべて見るオフィスホワイトニング
¥ 9,800 (税込)ホームホワイトニング
¥ 18,000 (税込)
おすすめポイント
- ガミースマイル解消!歯科保険適用のホワイトニング
- 痛みが少ない!効果抜群のホワイトニングメニュー
- 笑顔に自信!女性歯科医師が対応するホワイトニング
月,火,水,木,金,土,日,祝東京都豊島区東池袋1-31-15 トーカン池袋第2キャステール 3F - 美容クリニック・美容皮膚科・美容外科(美容整形)・医療脱毛クリニック・AGAクリニック・レディースクリニック・美容内科・再生医療クリニック・再生医療クリニック・医療ダイエット・痩身クリニック・医療ダイエット・痩身クリニック / JR大宮駅西口 徒歩1分







すべて見るスタンダードホワイトニング(オフィスホワイトニング)/ホワイトスポット治療(iCON)
¥ 19,800 (税込)プレミアムホワイトニング(オフィスホワイトニング+ホームホワイトニング)/ホームホワイトニング
¥ 25,250 (税込)うるつやリッチ(歯のトリートメント)
¥ 7,800 (税込)
施術メニューをもっと見るおすすめポイント
- 脇脱毛が5回1000円で実現
- 永久保証付きの二重施術で理想の目元に
- JR大宮駅西口から徒歩1分の好立地
月,火,水,木,金,土,日,祝埼玉県さいたま市大宮区桜木町1-1-27 小暮ビル 2F - 美容クリニック・美容皮膚科・美容外科(美容整形)・審美歯科・医療脱毛クリニック・レディースクリニック・美容内科 / 当院横のガレリア竹町パーキング




すべて見るオフィスホワイトニング
¥ 27,500 (税込)ホームホワイトニング
¥ 9,900 (税込)デュアルホワイトニング
¥ 49,500 (税込)
施術メニューをもっと見る月,水,木,金,土,日,祝大分県大分市中央町2-8-10 ヴィアレ・テッツォ 2F - 美容クリニック・美容皮膚科・美容外科(美容整形)・審美歯科・医療脱毛クリニック・AGAクリニック・メンズクリニック・レディースクリニック・美容内科・再生医療クリニック・再生医療クリニック・医療ダイエット・痩身クリニック・医療ダイエット・痩身クリニック / 千葉駅より徒歩3分



引用元:
共立美容外科 千葉院 公式サイトレーザーホワイトニング
¥ 5,500 (税込)ホームホワイトニング
¥ 55,000 (税込)ダブルホワイトニング(レーザー+ホーム)
¥ 99,000 (税込)
施術メニューをもっと見るおすすめポイント
- 痛みを感じずにスムーズに脱毛する
- 3回セットでお手頃な医療脱毛
- 千葉駅から徒歩3分で通いやすい
月,火,水,木,金,土,日,祝千葉県千葉市中央区新町3-7 高山ビル 6F - 美容クリニック・美容皮膚科・審美歯科 / 最寄駅:渋谷駅『宮益坂下』交差点から徒歩30秒 地下鉄半蔵門線/副都心線/ 東急田園都市線「渋谷駅」B3出口の目の前歯のくすみが気になっていたので、初めて行ってみました。施術中ずっと口を開けていないといけないのがかなり大変でしたが、我慢できない程ではなかったので大丈夫でした。2回目も行ったのですが、キレイになってきました。歯のくすみが気になっている人にはおすすめです。- Yui




すべて見るトライアル スタンダードコース
¥ 5,280 (税込)ホワイトニングスタンダードコース
¥ 9,680 (税込)ホワイトニング「プレミアム」コース
¥ 26,180 (税込)ホワイトニング「ダイアモンド」コース
¥ 31,680 (税込)ホワイトニング「プラチナ」コース
¥ 37,180 (税込)
施術メニューをもっと見るおすすめポイント
- 色ムラ解消!2回で完全ホワイトニング
- 幅広い年齢層に支持されるホワイトニング
- 忙しい方に最適!隙間時間でホワイトニング
月,火,水,木,金,土,日,祝東京都渋谷区渋谷1-14-14 植村会館ビル 7F - 美容クリニック・美容皮膚科・美容外科(美容整形)・審美歯科・医療脱毛クリニック・AGAクリニック・メンズクリニック・レディースクリニック・美容内科・整形外科・整形外科・再生医療クリニック・再生医療クリニック・医療ダイエット・痩身クリニック・医療ダイエット・痩身クリニック / 【銀座線・丸ノ内線】赤坂見附駅 徒歩2分 【千代田線】赤坂駅 徒歩7分 【半蔵門線】永田町駅 徒歩8分






すべて見る美容歯科 ホワイトニング
¥ 9,800 (税込)
おすすめポイント
- 自信を取り戻す眉下切開
- オンラインカウンセリングで安心
- 赤坂見附駅から徒歩2分の好立地
月,火,水,金,土,日,祝東京都港区赤坂3-21-13 キーストーン赤坂ビル 6F - 美容クリニック・美容皮膚科・美容外科(美容整形)・医療脱毛クリニック・AGAクリニック・レディースクリニック・美容内科・再生医療クリニック・再生医療クリニック・医療ダイエット・痩身クリニック・医療ダイエット・痩身クリニック / 御堂筋線心斎橋駅 徒歩4分



スタンダードホワイトニング(オフィスホワイトニング)/ホワイトスポット治療(iCON)
¥ 19,800 (税込)プレミアムホワイトニング(オフィスホワイトニング+ホームホワイトニング)/ホームホワイトニング
¥ 25,250 (税込)うるつやリッチ(歯のトリートメント)
¥ 7,800 (税込)
施術メニューをもっと見る月,火,水,木,金,土,日,祝大阪府大阪市中央区心斎橋筋2-7-18 プライムスクエア心斎橋 11F - 美容クリニック・美容皮膚科・美容外科(美容整形)・医療脱毛クリニック・AGAクリニック・レディースクリニック・美容内科・再生医療クリニック・再生医療クリニック・医療ダイエット・痩身クリニック・医療ダイエット・痩身クリニック / JR新宿駅 西口 徒歩5分 西武新宿駅 徒歩3分 都営大江戸線 新宿西口駅 徒歩1分





すべて見るスタンダードホワイトニング(オフィスホワイトニング)/ホワイトスポット治療(iCON)
¥ 19,800 (税込)プレミアムホワイトニング(オフィスホワイトニング+ホームホワイトニング)/ホームホワイトニング
¥ 25,250 (税込)うるつやリッチ(歯のトリートメント)
¥ 7,800 (税込)
施術メニューをもっと見るおすすめポイント
- ダウンタイムなしで翌日からメイク可能
- アラガン社製ボトックスで小顔効果を実感
- 新宿駅から徒歩5分の好立地
月,火,水,木,金,土,日,祝東京都新宿区西新宿7-10-1 O-GUARD SHINJUKU(オーガード新宿) 8F - 美容クリニック・審美歯科 / 山手線「池袋駅」 東口 徒歩1分 丸ノ内線「池袋駅」東口 徒歩1分 西武池袋線「池袋駅」東口 徒歩1分 東武東上線「池袋駅」東口 徒歩1分明るく輝く歯になりました!- Aiko









すべて見るホワイトニング
¥ 24,200 (税込)
おすすめポイント
- 歯を白くする施術の魅力
- 歯の美白効果を実感
- 明るい笑顔を手に入れる方法
月,火,水,木,金,土,日,祝東京都豊島区南池袋1-22-5 鈴木ビル 4F - 美容クリニック・審美歯科 / JR山手線 「新宿駅」東南口 徒歩5分 副都心線 「新宿三丁目駅」E5出口 徒歩1分期待外れのホワイトニング- Watanabe



すべて見るホワイトニング
¥ 24,200 (税込)
おすすめポイント
- 歯の白さが1回で実感できる
- 忙しい日常でも通いやすい
- 最短5分で新宿駅から到着
月,火,水,木,金,土,日,祝東京都新宿区新宿4-3-17 FORECAST 新宿SOUTH 1F 




すべて見る引用元:
王子駅前歯科 公式サイトホワイトニング
おすすめポイント
- 歯の色が明るくなるホワイトニング
- 丁寧な治療とライフステージに合わせたケア
- 自信を取り戻す歯の美白効果
月,火,水,木,金,土,日,祝東京都北区王子1-9-1 王子駅前KSビル 3F- 美容クリニック・美容皮膚科・美容外科(美容整形)・審美歯科・医療脱毛クリニック・AGAクリニック・メンズクリニック・レディースクリニック・美容内科・整形外科・整形外科・再生医療クリニック・再生医療クリニック・医療ダイエット・痩身クリニック・医療ダイエット・痩身クリニック / ・西新宿駅より 徒歩2分 ・新宿駅より 徒歩7分 ・都庁前駅より 徒歩7分



美容歯科 ホワイトニング
¥ 9,800 (税込)
おすすめポイント
- 無制限コースで髭脱毛を徹底的に行う
- 西新宿駅から徒歩2分で通いやすい
- 丁寧なカウンセリングで安心感を提供
月,火,水,金,土,日,祝東京都新宿区西新宿7-21-3 西新宿大京ビル 7F - 美容クリニック・美容皮膚科・審美歯科・医療脱毛クリニック・AGAクリニック・メンズクリニック・レディースクリニック・美容内科・医療ダイエット・痩身クリニック・医療ダイエット・痩身クリニック / 大阪メトロ御堂筋線心斎橋駅より徒歩6分
- 美容クリニック・美容皮膚科・美容外科(美容整形)・審美歯科・医療脱毛クリニック・AGAクリニック・メンズクリニック・レディースクリニック・美容内科・整形外科・整形外科・再生医療クリニック・再生医療クリニック・医療ダイエット・痩身クリニック・医療ダイエット・痩身クリニック / ゆいレール「県庁前駅」徒歩5分









すべて見る美容歯科 ホワイトニング
¥ 9,800 (税込)
月,火,水,木,金,土,日,祝沖縄県那覇市沖縄県那覇市久茂地1-3-1 久茂地セントラルビル 2F - 美容クリニック・審美歯科 / JR渋谷駅から】渋谷駅東口(ヒカリエビル側)を出て、宮益坂交差点をビックカメラ側(原宿方面)に渡ります。正面1FにCALZEDONIA & Intimissimiがあるビル3Fが銀座デンタルホワイト渋谷院です。お気をつけてお越しくださいませ。笑顔に自信が持てるようになった- 藍
すべて見るおすすめポイント
- 歯の黄ばみを即効で解消!ウルトラメタリンホワイトニング
- 明るい笑顔を手に入れる!10年以上の実績で信頼のホワイトニング
- 結婚式前におすすめ!効果実感のオフィスホワイトニング
月,火,水,木,金,土,日,祝東京都渋谷区渋谷1-24-15 FPG links SHIBUYA 3階 - 美容クリニック・美容皮膚科・美容外科(美容整形)・医療脱毛クリニック・AGAクリニック・レディースクリニック・美容内科・再生医療クリニック・再生医療クリニック・医療ダイエット・痩身クリニック・医療ダイエット・痩身クリニック / 池袋駅東口 徒歩3分



スタンダードホワイトニング(オフィスホワイトニング)/ホワイトスポット治療(iCON)
¥ 19,800 (税込)プレミアムホワイトニング(オフィスホワイトニング+ホームホワイトニング)/ホームホワイトニング
¥ 25,250 (税込)うるつやリッチ(歯のトリートメント)
¥ 7,800 (税込)
施術メニューをもっと見るおすすめポイント
- 即日美しい笑顔を手に入れるインプラント
- 安心の分割払いで手に入る理想の歯
- 池袋駅東口から徒歩3分の好立地
月,火,水,木,金,土,日,祝東京都豊島区南池袋1-25-1 エキニア南池袋 4F - 美容クリニック・審美歯科 / 東武東上線「成増駅」 南口 徒歩1分 有楽町線「地下鉄成増駅」 2番出口 徒歩2分 副都心線「地下鉄成増駅」 2番出口 徒歩2分受付が狭くて少し待ちました- Yamada Rina



すべて見るホワイトニング
¥ 24,200 (税込)
おすすめポイント
- ホワイトニングで歯を美しく
- 痛みへの配慮が魅力の歯科クリニック
- 夜まで対応!効果抜群のホワイトニング
月,火,水,木,金,土,日,祝東京都板橋区成増2-19-1 第三実光ビル 2F - 美容クリニック・美容皮膚科・美容外科(美容整形)・審美歯科・医療脱毛クリニック・AGAクリニック・メンズクリニック・レディースクリニック・美容内科・整形外科・整形外科・再生医療クリニック・再生医療クリニック・医療ダイエット・痩身クリニック・医療ダイエット・痩身クリニック / 地下鉄七隈線天神南駅 徒歩約3分ホワイトニングをお得に受けられました。- 非公開








すべて見る美容歯科 ホワイトニング
¥ 9,800 (税込)
おすすめポイント
- 笑気麻酔で安心!脇ボトックス施術
- 汗の悩みを解消!持続効果は半年以上
- 天神南駅から徒歩3分の好立地
月,火,水,木,金,土,日,祝福岡市中央区渡辺通4-9-25 Luz福岡天神 7階 - -----美容クリニック・美容外科(美容整形)・審美歯科 / JR高槻駅より: JR東海道本線 高槻駅を北口より出て 西武高槻店沿いをまっすぐ北に進んでいただき、 鳥居のある交差点を左に曲がると 前方左手に「UIビル」というグレーの建物があります。 「UIビル」の1階が当院です。 徒歩3分でお越しいただけます。 阪急 高槻市駅より: 阪急京都線 高槻市駅を北口より出て JR高槻駅に向かって北園町、高槻町を北西に進みます。 JR高槻駅を越えたら、上記のルートを進んでください。 徒歩13分でお越しいただけます。









すべて見るオフィスホワイトニング
¥ 5,500 (税込)ホームホワイトニング
¥ 22,000 (税込)
月,水,木,金,土,日,祝大阪府高槻市芥川町1-15-15 UIビル 100 - 美容クリニック・美容皮膚科・審美歯科 / 牛込柳町駅 徒歩1分









すべて見る引用元:
牛込パーククリニック 公式サイトオフィスホワイトニング|ビヨンドホワイトニングシステム
¥ 55,000 (税込)ホワイトニング|ホームホワイトニング(上下顎)
¥ 55,000 (税込)
月,火,水,木,金,土,日,祝東京都新宿区原町1-18 - 美容クリニック・美容皮膚科・美容外科(美容整形)・審美歯科 / 東京メトロ日比谷線/東銀座駅(4番出口 徒歩10秒)/銀座駅(A7出口 徒歩3分) 東京メトロ日比谷線・丸ノ内線・銀座線/銀座駅(A5出口 徒歩3分)



オフィスホワイトニング
¥ 21,800 (税込)ホームホワイトニング
¥ 32,800 (税込)ホワイトニング+スマイルリップのお得なセット
¥ 90,700 (税込)ホワイトニング+あごのヒアルロン酸のお得なセット
¥ 131,600 (税込)ホワイトニング+エラボトックスのお得なセット
¥ 71,300 (税込)
施術メニューをもっと見るおすすめポイント
- 症例数豊富なマウスピース矯正で美しい歯並びを実現
- スムーズな施術で短期間に効果を実感
- 東銀座駅から徒歩10秒の好立地で通いやすい
月,火,木,金,土,日,祝東京都中央区銀座5丁目13-19 デュープレックス銀座タワー5/13 12階 - 美容クリニック・美容皮膚科・美容外科(美容整形)・医療脱毛クリニック・AGAクリニック・レディースクリニック・美容内科・再生医療クリニック・再生医療クリニック・医療ダイエット・痩身クリニック・医療ダイエット・痩身クリニック / ・JR線千葉駅西口 徒歩1分









すべて見るスタンダードホワイトニング(オフィスホワイトニング)/ホワイトスポット治療(iCON)
¥ 19,800 (税込)プレミアムホワイトニング(オフィスホワイトニング+ホームホワイトニング)/ホームホワイトニング
¥ 25,250 (税込)うるつやリッチ(歯のトリートメント)
¥ 7,800 (税込)
施術メニューをもっと見る月,火,水,木,金,土,日,祝千葉県千葉市中央区新千葉1-4-2 ウェストリオ2 6F - 美容クリニック・審美歯科 / 【銀座院まで東京メトロ線をご利用のお客様へ】 銀座駅B4出口 工事封鎖(2023年10月末まで)に伴い、 東京メトロ線 銀座駅からの交通アクセスが変更となります。 【丸ノ内線からのアクセス】B10出口を出て、左手にみずほ銀行・GAPの信号をまっすぐ進んでいただき小さい横断歩道を渡ります。 左手ビル、クィーンズハウス(ベージュ色ビル1F/FRED)6Fが銀座デンタルホワイト銀座院です。 【銀座線からのアクセス】B1出口を出て、右方向へ進みGucci・天賞堂を超え、右手ビル、クィーンズハウス(ベージュ色ビル1F/FRED) 6Fが銀座デンタルホワイト銀座院です。ホワイトニング初めてでも安心して受けることができました- たまごやき







すべて見るホワイトニング
¥ 2,200 (税込)
おすすめポイント
- 歯の黄ばみが気になる方におすすめのホワイトニング
- 痛みを最小限に抑える丁寧なホワイトニング施術
- 明るく綺麗な院内で受けるリーズナブルなホワイトニング
月,火,水,木,金,土,日,祝東京都中央区銀座4-3-9 クイーンズハウス 6F - 美容クリニック・美容皮膚科・美容外科(美容整形)・審美歯科・医療脱毛クリニック・AGAクリニック・美容内科・医療ダイエット・痩身クリニック・医療ダイエット・痩身クリニック / 水間鉄道、三ツ松駅から徒歩5分
- -----美容クリニック・美容外科(美容整形)・審美歯科 / 【福岡市営地下鉄 天神駅より】 ①福岡市営地下鉄 天神駅を1番出口より出る ②明治通りをまっすぐ西に進む ③右手の「ヒューベスト天神ビル」1階へ(徒歩2分) 【福岡市営地下鉄 赤坂駅より】 ①福岡市営地下鉄 赤坂駅を5番出口より出る ②明治通りをまっすぐ東に進む ③信号「中央区役所」で道路左側へ渡る ④更に明治通りを東に進み左手の「ヒューベスト天神ビル」1階へ(徒歩3分)









すべて見るオフィスホワイトニング
¥ 5,500 (税込)ホームホワイトニング
¥ 22,000 (税込)
月,火,土,祝福岡県福岡市中央区大名2-9-1 ヒューベスト天神ビル 101 - 美容クリニック・美容皮膚科・美容外科(美容整形)・審美歯科・医療脱毛クリニック・AGAクリニック・レディースクリニック・美容内科・再生医療クリニック・再生医療クリニック・医療ダイエット・痩身クリニック・医療ダイエット・痩身クリニック / JR横浜線「相原駅」より徒歩で約30分。 京王相模原線「多摩境駅」より徒歩で約35分。
- 美容クリニック・美容皮膚科・美容外科(美容整形)・審美歯科 / 西鉄 福岡駅・地下鉄 天神南駅より徒歩5分
- -----美容クリニック・審美歯科 / 名古屋市営バス「五月通」停留所から徒歩約1分
- 美容クリニック・審美歯科 / 元町駅から徒歩2分.









すべて見るホワイトニングメニュー
¥ 15,400 (税込)回数券メニュー
¥ 39,600 (税込)
月,火,水,金,土,日,祝兵庫県神戸市中央区元町通2-4-13 サンアポロビル 5F - 美容クリニック・美容皮膚科・美容外科(美容整形)・審美歯科・AGAクリニック・レディースクリニック・美容内科 / 地下鉄有楽町線:麹町駅(2番出口)から徒歩2分









すべて見るホワイトニング
¥ 66,000 (税込)ホームホワイトニングセット
¥ 27,500 (税込)
月,火,木,金,土,祝東京都千代田区紀尾井町3-12 紀尾井町ビル 2F - 美容クリニック・美容外科(美容整形)・審美歯科・再生医療クリニック・再生医療クリニック / JR新橋駅 烏森口より徒歩5分
- -----美容クリニック・審美歯科 / 東武東上線「和光市駅」南口 徒歩1分
- -----美容クリニック・審美歯科 / 駐車場完備
- 美容クリニック・美容皮膚科・美容外科(美容整形)・医療脱毛クリニック・AGAクリニック・レディースクリニック・美容内科・再生医療クリニック・再生医療クリニック・医療ダイエット・痩身クリニック・医療ダイエット・痩身クリニック / JR名古屋駅 徒歩1分



すべて見るスタンダードホワイトニング(オフィスホワイトニング)/ホワイトスポット治療(iCON)
¥ 19,800 (税込)プレミアムホワイトニング(オフィスホワイトニング+ホームホワイトニング)/ホームホワイトニング
¥ 25,250 (税込)うるつやリッチ(歯のトリートメント)
¥ 7,800 (税込)
施術メニューをもっと見るおすすめポイント
- 親身なカウンセリングで安心感を得る
- マウスピース矯正で短期間に美しい歯並びを実現
- JR名古屋駅から徒歩1分の好立地
月,火,水,木,金,土,日,祝愛知県名古屋市中村区椿町1-16 井門名古屋ビル 4F - -----美容クリニック・審美歯科 / 「南柏駅」より徒歩3分
- 高村歯科医院58-----美容クリニック・審美歯科 / 西武新宿線「小平駅」より徒歩5分
- 美容クリニック・審美歯科 / 【池袋駅から】東口/西武口を出て、信号を渡り右折、目白方面へ明治通り沿いに進みます。ドン・キホーテ、ロッテリア、りそな銀行を通り過ぎ、その先にあるプレゴ(パチンコ店)とY!mobileの角を左折します。直進しますと左側に水色タイルのビル入口が見えてきます。(1F/鳥良)同ビル9Fが銀座デンタルホワイト池袋院です。お気をつけてお越しくださいませ。すべて見る
ホワイトニング
¥ 2,200 (税込)
おすすめポイント
- ホワイトニングで歯を輝かせる
- 歯の美しさを引き立てるホワイトニング
- 笑顔が素敵に映えるホワイトニング効果
月,火,水,木,金,土,日,祝東京都豊島区南池袋1-20-1 横田ビル9階 A - -----美容クリニック・美容外科(美容整形)・審美歯科 / 北千住駅より徒歩3分
全国のホワイトニングでの最新口コミ・評判 (レポ)
- 満足度が高い口コミ
ホワイトニングをお得に受けられました。
2ヶ月前1年前、鏡を見るたびに気になっていた歯の黄ばみをどうにかしたいと思い、ホワイトニングを受けることを決意しました。コーヒーや紅茶をよく飲む習慣があり、歯の色がくすんで見えることがコンプレックスになっていたのです。いくつかの歯科医院を比較していた中で、湘南美容クリニック歯科に目が留まりました。理由は、SBCでの他の美容医療を受けて貯めていたSBCポイントが使えるという点。ポイントを活用することで、費用を抑えつつ質の高い施術が受けられるのは大きな魅力でした。
カウンセリングでは、ホワイトニングの種類や効果、注意点について丁寧に説明してもらい、最も効果が高いとされる「ホームホワイトニング」を選択しました。自宅で自分のペースで進められる点も、忙しい日々の中ではありがたかったです。使用した薬剤は「オパールエッセンス10%」というもので、専用のマウスピースにジェルを入れて、毎日2時間ほど装着するスタイル。初日は少し違和感がありましたが、すぐに慣れて、テレビを見ながらや読書中など、日常の中で無理なく続けることができました。
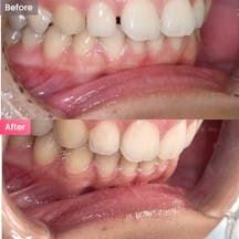
使用前後の写真を見比べると、明らかに歯の色がトーンアップしていて、効果を実感できました。黄ばみが気になっていた前歯も、自然な白さに近づき、笑顔に自信が持てるようになったのは大きな変化です。施術中は、歯茎にホワイトニング剤が付かないように注意することが大切で、そこさえ守れば痛みやしみる感覚もなく、快適に使用できました。
また、湘南美容クリニック歯科のスタッフの対応も丁寧で、マウスピースのフィット感やジェルの使い方など、細かい点までしっかりサポートしてくれました。アフターケアの案内もあり、安心して取り組むことができたのも好印象です。
SBCポイントを使ってお得に施術を受けられたこと、そして何よりも目に見える効果が得られたことに大満足しています。歯の色が変わるだけで、顔全体の印象が明るくなり、人と話すときの自信にもつながりました。もし歯の黄ばみで悩んでいる方がいれば、湘南美容クリニック歯科のホームホワイトニングは本当におすすめです。自分の笑顔がもっと好きになれる、そんな素敵な体験でした。支払金額¥12120施術日2024/01/20
非公開30代前半|男性| 11件のレポ (ガチレポ認定 11件) ホワイトニング初めてでも安心して受けることができました
8ヶ月前元々ホワイトニングに興味があったのですができれば口コミ評判がたくさんあるクリニックが良いと思ってチェックしてこちらを選びました。
カウンセリングの予約もすぐ取れましたし、お店の雰囲気がとにかく綺麗で清潔感があって素敵でした。
担当してくださった医者の方がとても丁寧に説明してくださったので初めてのホワイトニングでしたが安心して受けることができました。
カウンセリングシートを記入するのですが、気になった部分が不安な部分も事細かに説明してくれるので、カウンセリングの時間をしっかり有効活用するのが良いと思いました。
不安な部分は施術前に取り除きたいものなので、担当医師や受付の方などみんな親切でよかったです。私は歯の黄ばみが気になっていたのでそのケアができればなと思ってホワイトニングを希望したのですが、実際に受けてみて歯のトーンが上がったのを実感できたので大満足しています。
施術中に痛みを感じることも不安視してたのですが、ほとんど痛みは感じなかったです。
担当医師やスタッフの方がお声がけしてくださるので、緊張しながら施術を受けていたのですが安心してお任せすることができました。
照射時間に関しても想像していたよりは長くなかったですし、違和感や痛みを感じることもありませんでした。
しかもお値段がかなりリーズナブルなので定期的に通いたいと思いました。
ホワイトニングは高額なイメージがあったのでもっと早く受ければよかったなと思いました。
また、施術後はコーティングをするのですが、施術後でも食事ができるのが個人的にありがたかったです。ホワイトニングを受けてしばらく時間が経ちますが、歯の黄ばみは今でもほとんどないですし、持続性の高さにも大満足です。
支払金額¥20000施術日2024/11/14
たまごやき40代前半|女性| 35件のレポ (ガチレポ認定 35件)笑顔に自信が持てるようになった
ホワイトニング1年前日頃コーヒーをよく飲むので歯の黄ばみが酷く写真を撮る時や人前で歯を見せて笑うことに抵抗がありました。
ホワイトニングは高いので効果が本当にあるのか不安だったのと痛いイメージがあり踏み切れずにいました。
ただ気にせず笑いたいという思いが強くなりホワイトニングをすることにしました。
ウルトラメタリンホワイトニングは本数が選べたのが良かったです。まずはお試しで12本にしたのですがかなり効果を実感出来ました。
人前でも自信を持って笑えるようになったので、セルフケアも頑張りつつ定期的に通いたいです。
支払金額¥6,600
藍20代後半|女性| 1件のレポ- ホワイトニング2年前施術前の期待感と不安
まじでとにかく早く効果感じたかったので、ハイパーホワイトニング?みたいなとにかく1回の施術で一番効果出るホワイトニングやりました。
ホワイトニング後のケア
実際、1回でめっちゃ明るくなりました。
オフィスホワイトニングで出来る限界の1個前の明るさまでは上がったはずです。
私は割と肌が白い方で、化粧で結構トーンアップさせるので、そんなに歯が浮くこともなく、色的には満足しました。ただ、一気に白くすると色の後戻りも早くなっちゃうので、このハイパーホワイトニング受けた直後にホームホワイトニングも併用してます。
でも私さぼり癖がすごくて、ホームホワイトニングほんとに続けられないんですが、私みたいなコツコツ継続が苦手な人は、メンテナンスで弱いオフィスホワイトニングを定期的に受けたほうが無駄にならないだろうなあとは思いました。(絶賛サボり中で色戻り始めてるので焦ってます)このハイパーホワイトニングでは、1回の施術で、薬を塗って照射を3セット繰り返すんですが、2セット目の照射から歯に沁み始めてめっちゃ痛かった……。
微動だにしなかったらそこまで痛くないんですが、照射中動いたりして何かに当たったり?したらほんとに痛かったです。
人生で1番歯が痛い瞬間だった。
3回目終わった後は、息の空気の流れで若干痛かったんで、呼吸の方法工夫したりしてました。
染み止めの薬も塗ってくれたんですが、それでもしばらく痛かった。
私、昔から歯がすごく弱かったんでそれもあるかもしれません。病院自体は普通の歯医者さんがこのホワイトエッセンスに加入してる感じで、チェーン寄りです。
病院にしては珍しく全員名刺をくれて、すごく腰が低かったのが印象的でした。
お医者さんもスタッフさんもめちゃくちゃ優しくて話やすかったです。ホームホワイトニングの薬使い終わったら、次はメンテナンスのオフィスホワイトニングしに定期的にここに通うつもりです!
支払金額¥77,000
ななお2件のレポ (ガチレポ認定 2件) 見違えるほどの白さに!
ホワイトニング2年前昔からコーヒーが好きで、そのせいで歯が黄色くなってしまいました。そんな私がこの専門店を訪れたとき、優しいスタッフが自分の歯の状態に応じたホワイトニングの強さをアドバイスしてくれました。施術直後から目に見て白くなることがわかり、驚きました!この効果、本当に見違えるほどです。また、専門店だからこそのプロフェッショナルな対応に感動しました。やって本当に良かったと思います。
Miyuki4件のレポ明るく輝く歯になりました!
ホワイトニング2年前ホワイトニングを受けてきました。先生が丁寧に説明してくださり、治療技術も素晴らしかったです。駅近で通いやすいのも嬉しいポイントです。待ち時間もほとんどなく、しっかりとしたメンテナンスのアドバイスもいただきました。今までよりも明るく輝く歯になれて、とても満足しています。
Aiko1件のレポ受付が狭くて少し待ちました
オフィスホワイトニング2年前オフィスホワイトニングを受けましたが、受付スペースが狭かったため、待ち時間が少し長かったです。ただ、施術自体は満足できるものでした。クリニックの営業時間が夜まで対応しているのはありがたいです。
Yamada Rina1件のレポ- 満足度が高い口コミホワイトニング2年前
歯のくすみが気になっていたので、初めて行ってみました。施術中ずっと口を開けていないといけないのがかなり大変でしたが、我慢できない程ではなかったので大丈夫でした。2回目も行ったのですが、キレイになってきました。
歯のくすみが気になっている人にはおすすめです。
Yui3件のレポ - 期待との差を感じた口コミ
期待外れのホワイトニング
ホワイトニング2年前ホワイトニングを受けてきましたが、効果があまり感じられませんでした。もう少し明るい歯を期待していたので少し残念です。何度か通う必要があるのかもしれません。ただ、駅から近い場所にあるので通いやすさは良かったです。
Watanabe1件のレポ 輝く白い歯になりました!自信がつきました!
ホワイトニング2年前先生の丁寧な対応と安心感の中、ホワイトニングの施術を受けました。施術後、思っていた以上の満足度と明るい笑顔が手に入りました。私が悩んでいた歯の色に関する問題も解消され、自信を持って笑えるようになりました。アフターケアもきちんとしていただき、持続的な効果を感じています。素晴らしい結果に感謝しています。
支払金額¥40700
R T1件のレポ
全国のホワイトニングについてよくある質問
全国には、ホワイトニングを扱う美容クリニックは何件ありますか?
全国には、ホワイトニングの症例写真は何件ありますか?
全国で最も施術メニューが豊富なホワイトニングを扱う美容クリニックはどこですか?
全国にあるホワイトニングを扱う美容クリニックで最も口コミが投稿されているのはどこですか?
ホワイトニングの施術内容・特徴は?
ホワイトニングのリスク・副作用は?
ホワイトニングの注意事項は?
全国で、ホワイトニングを扱う美容クリニックに所属している評判が高い医師は?
【全国】ホワイトニングのドクターQA
- ホワイトニングと矯正の順序は?ホワイトニングと矯正を同時に行いたいと考えていますが、どちらを先に始めるべきでしょうか?また、同時進行する場合の注意点や、治療期間がどのくらい延びる可能性があるのかも知りたいです。どなたか経験者の方や専門家の方からアドバイスをいただけると嬉しいです。 ⋯回答を見るもちまる歯科・矯正歯科クリニック 持丸 みずき先生 が回答
- 歯の着色汚れ対策は?20代女性です。歯のしつこい着色汚れに悩んでいます。もともと珈琲やお茶などを1日1杯以上飲む習慣があり歯に色が付きやすいです。歯の着色汚れを落とせるという市販の歯磨き粉とセルフホワイトニングを併用していますがなかなか効果が出ていません。珈琲など飲み物による着色汚れは、歯磨き粉やセルフホワイトニングでは効かないのでしょうか。自然な白さ程度を目指しているので不自然な白さにはしたくないのですが、歯科でのホワイトニング以外にはおすすめの施術方法はありますか。 ⋯回答を見るもちまる歯科・矯正歯科クリニック 持丸 みずき先生 が回答
- 歯の黄ばみを改善したい。煙草を吸い始めて3年ほど経ち、最近歯の色が気になり始めました。真っ黄色というわけではないのですが、少し黄色味がった色です。何とかしようと歯磨き粉をちょっと高めのホワイトニングのやつにしてみたりしていますがなかなか真っ白になりません。どうしたらよいでしょうか? ⋯回答を見るもちまる歯科・矯正歯科クリニック 持丸 みずき先生 が回答
- 歯の黄ばみ治療法は?歯の黄ばみが気になっています。美白歯磨きを使っていますが、使い始めた頃は効果が見られたものの、だんだん効果がなくなり、研磨剤のせいか歯が沁みるようにもなってしまいました。年齢的なものもあるかもしれません。医療機関でのホワイトニングに興味があるのですが、もし黄ばみの原因が加齢によるものの場合、適した治療法はどんなものがあるでしょうか。 ⋯回答を見るもちまる歯科・矯正歯科クリニック 持丸 みずき先生 が回答
- オフィスホワイトニングの効果は?3年ほど前に自宅でのホームホワイトニングを実施し、そこそこ白くはなったのですが、半年もしないうちに元通りになってしまいました。白さの効果的なところではホームホワイトニングでも満足しているのですが、やはりオフィスホワイトニングの方が持ちが良かったりするのでしょうか? ⋯回答を見るもちまる歯科・矯正歯科クリニック 持丸 みずき先生 が回答

































































































