【新潟県】おすすめ美容クリニックTOP20|評判の良いクリニックを口コミ・料金・人気で比較
新潟県の美容クリニックをまとめました。 新潟県には美容クリニックは94件あり、平均レビューは4.0点、投稿されたレビュー数は265件となっています。 人気の美容クリニックは、「SHINAGWA SKIN CLINIC(品川スキンクリニック 新潟院)(口コミ52件)」「湘南美容クリニック 新潟院(口コミ68件)」などが挙げられます。 施術メニュー・金額としては「フォトシルクプラス(顔)(¥8,640)」「フォトシルクプラス(手の甲)(¥1,300)」「二重埋没法(¥29,880)」「二重埋没法(自然癒着法)(¥54,600)」などがあります。 クリニックを選ぶ際は、アクセスの良さ・通いやすさや、アフターケアの体制を確認することが重要です。美容クリニックをオンライン予約し、プロの医師のカウンセリングを受け、あなたにぴったりの施術を選びましょう。
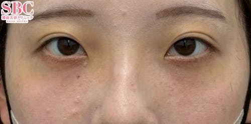
「神症例」とはキレイレポが認定した症例です。全クリニックを対象としていますが、プロモート掲載クリニックは必ず1つ選定しています。
- 美容クリニック・美容皮膚科・美容外科(美容整形)・医療脱毛クリニック・AGAクリニック・メンズクリニック・レディースクリニック・美容内科・再生医療クリニック・再生医療クリニック・医療ダイエット・痩身クリニック・医療ダイエット・痩身クリニック / JR新潟駅「万代口」徒歩約3分 京成新潟駅「新潟駅」徒歩約2分






すべて見るフォトシルクプラス(顔)
¥ 8,640 (税込)フォトシルクプラス(手の甲)
¥ 1,300 (税込)レーザートーニング(メドライトC6)全顔
¥ 5,190 (税込)コラーゲンピール(全顔)
¥ 10,800 (税込)コラーゲンピール(その他部位)
¥ 10,800 (税込)
施術メニューをもっと見るおすすめポイント
- 短時間で理想の二重を実現する施術
- ニキビ跡改善に特化したフラクショナルレーザー
- JR新潟駅から徒歩3分の好立地
月,火,水,木,金,土,日,祝新潟県新潟市中央区弁天1-1-22 東信新潟ビル 2F - 美容クリニック・美容皮膚科・美容外科(美容整形)・審美歯科・医療脱毛クリニック・AGAクリニック・メンズクリニック・レディースクリニック・美容内科・再生医療クリニック・再生医療クリニック・医療ダイエット・痩身クリニック・医療ダイエット・痩身クリニック / 新潟駅より徒歩8分です♪痛みが少なく思ってた以上の結果が出せた- よし









すべて見る二重埋没法
¥ 29,880 (税込)二重埋没法(自然癒着法)
¥ 54,600 (税込)自然癒着セット(上眼瞼脱脂)
¥ 55,270 (税込)SBCデカ目術/切らないまぶたのリフトアップ
¥ 116,320 (税込)切る二重術(切開法)
¥ 250,000 (税込)
施術メニューをもっと見るおすすめポイント
- 脇脱毛6回コースが2500円で体験できる
- 笑気麻酔で痛みを軽減し安心施術
- 新潟駅から徒歩8分の好立地
月,火,水,木,金,土,日,祝新潟市中央区八千代2-1-2 ビルボードプレイス 3F - 美容クリニック・美容皮膚科・美容外科(美容整形)・AGAクリニック・メンズクリニック・レディースクリニック・美容内科・再生医療クリニック・再生医療クリニック・医療ダイエット・痩身クリニック・医療ダイエット・痩身クリニック / 新潟駅から徒歩10分綺麗にホクロが撮れて嬉しいです- チェン




すべて見るホクロのくり抜き手術
尋常性白斑のミニグラフト法(植皮術)
炭酸ガス(CO2)レーザー手術 ほくろ、老人性イボ(脂漏性角化症)、ウイルス性イボなど
Qスイッチルビーレーザー(The Ruby Z1)
Vbeam(Vビーム)
施術メニューをもっと見るおすすめポイント
- 痛みを抑えた切らないホクロ除去
- ほうれい線を目立たなくするヒアルロン酸注射
- 新潟駅から徒歩10分のアクセス便利
月,火,水,金,土新潟県新潟市中央区米山5-9-11 - 美容クリニック・美容皮膚科・医療脱毛クリニック・美容内科・医療ダイエット・痩身クリニック・医療ダイエット・痩身クリニック / JR新潟駅 徒歩7分効果は確かです- るな





すべて見る女性医療脱毛 全身+VIO 5回
¥ 44,550 (税込)女性医療脱毛 全身+VIO+顔 5回
¥ 88,110 (税込)女性医療脱毛 全身 5回
¥ 44,550 (税込)女性医療脱毛 全身+顔 5回
¥ 88,110 (税込)医療ダイエット(機械施術・内服薬・食生活改善サポート)
¥ 1,540,000 (税込)
施術メニューをもっと見る月,火,水,木,金,土,日,祝新潟県新潟市中央区万代1-1-26 万代ビル 4F - 美容クリニック・美容皮膚科・美容外科(美容整形)・審美歯科・医療脱毛クリニック・AGAクリニック・メンズクリニック・レディースクリニック・美容内科・再生医療クリニック・再生医療クリニック・医療ダイエット・痩身クリニック・医療ダイエット・痩身クリニック / 当院までの道のり案内 改札から(電車・新幹線でお越しの方) 1 改札を出て【NewDays】や【無印良品】の方に進みます。 2 そのまま真っ直ぐ進みます。 3 【CoCoLo】の看板の方に進み、【Loft】を通り過ぎます。 4 【Can Do】の右側にある階段をおります。 5 真っ直ぐ進むと、右手側に当院がございます。 大手口から(バス・タクシーでお越しの方) 1 大手口(中央口)から来た方は、突き当たり左側にあるエスカレーターで2階に上がります。 2 大手口(北口)から来た方は、入って右手側のエスカレーターで2階に上がります。 3 【NewDays】や【無印良品】の方に進みます。 4 そのまま真っ直ぐ進みます。 5 【CoCoLo】の看板のある方に進み、【Loft】を通り過ぎます。 6 【Can Do】の右側にある階段をおります。 7 真っ直ぐ進むと、右手側に当院がございます。 東口から(バス・タクシーでお越しの方) 1 東口のエスカレーターで2階に上がります。 2 そのまま真っ直ぐ自由通路を進みます。 3 左手側に【CoCoLo】の看板が見えたら、奥にある【Loft】の方に進みます。 4 【Loft】を通り過ぎて、【Can Do】の右側にある階段をおります。 5 真っ直ぐ進むと、右手側に当院がございます。効果重視の方は是非!- す



二重埋没法
¥ 29,880 (税込)二重埋没法(自然癒着法)
¥ 54,600 (税込)自然癒着セット(上眼瞼脱脂)
¥ 55,270 (税込)SBCデカ目術/切らないまぶたのリフトアップ
¥ 116,320 (税込)切る二重術(切開法)
¥ 250,000 (税込)
施術メニューをもっと見る月,火,水,木,金,土,日,祝新潟県長岡市城内町一丁目611番地1 長岡駅ビル CoCoLo長岡 本館M2階 - 美容クリニック・美容皮膚科・美容外科(美容整形)・医療脱毛クリニック・メンズクリニック・レディースクリニック・美容内科・医療ダイエット・痩身クリニック・医療ダイエット・痩身クリニック / 電車の場合 JR新潟駅の万代口を出て徒歩約3分。 バスの場合 バス停「新潟駅前」から徒歩約3分。


女性医療脱毛 全身脱毛
¥ 19,800 (税込)女性医療脱毛 全身脱毛+ VIO
¥ 25,300 (税込)女性医療脱毛 全身脱毛+うなじ
¥ 25,300 (税込)女性医療脱毛 全身脱毛+全顔
¥ 25,300 (税込)女性医療脱毛 全身脱毛+うなじ+全顔
¥ 30,800 (税込)
施術メニューをもっと見るおすすめポイント
- ほうれい線を目立たなくするヒアルロン酸注入
- ダウンタイムが短いピコレーザーでシミ取り
- JR新潟駅から徒歩3分の好立地
月,火,水,木,金,土,日,祝新潟県新潟市中央区弁天1-4-27 伊藤駅前ビル 4階 


二重埋没法
¥ 150,000 (税込)全切開+眼瞼下垂
¥ 198,000 (税込)二重全切開
¥ 98,000 (税込)全切開法二重+眼瞼下垂
¥ 370,000 (税込)目頭切開法
¥ 128,000 (税込)
施術メニューをもっと見るおすすめポイント
- リーズナブルなボトックスで若々しさを手に入れる
- 二重埋没でメイク時間を短縮しよう
- JR新潟駅から徒歩5分の好立地
月,火,水,木,金,土,日,祝新潟県新潟市中央区万代1丁目3−10 万代Jビルディング 5F- 美容クリニック・美容皮膚科・医療脱毛クリニック・美容内科・医療ダイエット・痩身クリニック・医療ダイエット・痩身クリニック / 新潟駅より徒歩8分







すべて見るPフェイシャル|顔全体
¥ 19,800 (税込)Pフェイシャル|体(手のひら1枚分の範囲)
¥ 9,900 (税込)デンシティ
¥ 71,500 (税込)ハイフ(HIFU)
¥ 45,100 (税込)ZO SKIN HEALTH(ゼオスキンヘルス)
¥ 6,820 (税込)
施術メニューをもっと見る月,火,水,金,土新潟県新潟市中央区万代1-3-7 NDK万代ビル 2F
- 美容クリニック・美容皮膚科・医療脱毛クリニック・美容内科 / 「新潟駅」万代口より車で10分 新潟バイパス「柴竹山IC」より車で12分 バス停「礎町」より徒歩10分

引用元:
リゼクリニック新潟院 公式サイト女性医療脱毛 全身+VIO+顔
¥ 129,800 (税込)女性医療脱毛 全身+VIO
¥ 99,800 (税込)女性医療脱毛 全身+顔
¥ 99,800 (税込)女性医療脱毛 全身(顔・VIOなし)
¥ 64,800 (税込)女性医療脱毛 セレクト脱毛プラン
¥ 79,800 (税込)
施術メニューをもっと見るおすすめポイント
- 全身施術が3時間で完了する医療脱毛
- 安心の追加施術がリーズナブルに受けられる
- 新潟駅から車で10分の好アクセス
月,火,水,木,金,土,日,祝新潟県新潟市中央区下大川前通七ノ町2230-37 メゾンソレイユ2F - 美容クリニック・美容皮膚科・美容外科(美容整形)・メンズクリニック・レディースクリニック・美容内科・医療ダイエット・痩身クリニック・医療ダイエット・痩身クリニック / JR新潟駅 万代口より徒歩約10分ほうれい線って消えるんだ!- mipo



すべて見る二重埋没法
¥ 92,000 (税込)二重切開
¥ 300,000 (税込)瞼の脂肪取り
¥ 92,000 (税込)クマ取り・裏ハムラ法
¥ 188,000 (税込)目頭切開
¥ 180,000 (税込)
施術メニューをもっと見る月,火,水,木,金,土,日,祝新潟県新潟市中央区万代1-6-1 万代シテイバスセンタービル 3階 - 美容クリニック・美容皮膚科・美容外科(美容整形)・医療脱毛クリニック・メンズクリニック・レディースクリニック・美容内科・医療ダイエット・痩身クリニック・医療ダイエット・痩身クリニック / 新潟駅万代口より徒歩1分施術は局所麻酔をしていたので痛みはなく、施術時間は20分程であっという間に終わりました。、傷跡も小さく目立たなかったので良かったです。腫れと痛みが一週間ほど続きましたがそこからは段々引いてきて、2週間ほど経ったら傷跡も綺麗になり、二重も自然な状態になりました。ダウンタイムもほとんど無かったし、痛みも我慢できる程度だったので良かったです。- ころさん









すべて見る引用元:
植村美容外科 公式サイト二重術 埋没
¥ 138,600 (税込)全切開法
¥ 269,500 (税込)二重修正術
¥ 11,000 (税込)目頭切開法
¥ 198,000 (税込)目尻切開法
¥ 198,000 (税込)
施術メニューをもっと見るおすすめポイント
- 痛みを感じないスピーディーな施術で美しい仕上がりを実現
- コンプレックスを解消するバランスの良い唇に
- 新潟駅万代口から徒歩1分のアクセス便利な立地
月,火,水,木,金,土,日,祝新潟県新潟市中央区東大通1-4-5 日生不動産新潟駅前ビル 2F - 美容クリニック・美容皮膚科・医療脱毛クリニック・AGAクリニック・美容内科 / JR上越新幹線「長岡駅」から「横山皮膚科」まで 徒歩5分 駅から施設までの 徒歩経路 電車でお越しの方 見附駅前-長岡駅東口「「今朝白1丁目」バス停留所」から「横山皮膚科」まで 徒歩1分 バスでお越しの方 関越自動車道「長岡IC」から「横山皮膚科」まで 5.9km 高速でお越しの方 ※横山皮膚科までの距離は、直線距離から算出し表示しております。直線距離の確認・目安としてご活用ください。 実際の正確な道路距離・所要時間・経路については「経路検索」ボタンをクリックし、Googleマップにてご確認ください。スッピンでも出歩けるようになりました!- たらこ



すべて見る引用元:
横山皮膚科 公式サイト医療脱毛 全身(顔・VIO除く)
¥ 67,300 (税込)医療脱毛 全身(顔・VIO含む)
¥ 79,300 (税込)顔(眉下除く)
¥ 11,700 (税込)医療脱毛 VIO
¥ 14,700 (税込)医療脱毛 腕セット
¥ 34,700 (税込)
施術メニューをもっと見る月,火,水,金,土新潟県長岡市今朝白1丁目13-7 - 美容クリニック・美容皮膚科・美容外科(美容整形)・医療脱毛クリニック・レディースクリニック / 北陸新幹線 上越妙高駅 〜タクシーで25分程度 妙高はねうまライン 春日山駅〜タクシーで10分程度



すべて見るいぼとり
¥ 1,100 (税込)ワキガ治療ミラドライ
¥ 220,000 (税込)わきボトックス
¥ 55,000 (税込)肌診断
¥ 2,200 (税込)ピコスポット
¥ 2,200 (税込)
施術メニューをもっと見る月,火,水,金,土,祝新潟県上越市富岡1920-2 


すべて見る引用元:
辻本皮ふ科 公式サイトレーザー脱毛女性 顔(全体)
¥ 10,000 (税込)レーザー脱毛女性 顔(口周り)
¥ 4,000 (税込)レーザー脱毛女性 両ワキ
¥ 6,000 (税込)レーザー脱毛女性 両肩~両肘
¥ 15,000 (税込)レーザー脱毛女性 両肘~指先
¥ 15,000 (税込)
施術メニューをもっと見る月,火,水,金,土新潟県長岡市千歳1-3番41- 美容クリニック・美容皮膚科・医療脱毛クリニック・AGAクリニック・メンズクリニック・レディースクリニック・美容内科 / お車でお越しの場合 提携駐車場:NPC24H米百俵プレイス駐車場 当クリニックに併設されている立体駐車場です。 当クリニックご利用時間分は無料となります。 最寄りの駅 長岡駅から徒歩5分 最寄りのバス停 大手通2丁目バス停 スズラン通りバス停



すべて見るQスイッチルビーレーザー
¥ 1,100 (税込)CO2レーザー
¥ 770 (税込)フォトフェイシャル(Stellar M22)
¥ 11,000 (税込)レーザーフェイシャル
¥ 9,900 (税込)スキンタイトニングレーザー
¥ 9,900 (税込)
施術メニューをもっと見る月,火,水,木,金,土,日,祝新潟県長岡市坂之上町2丁目3番地20 米百俵プレイス北館1F - 美容クリニック・美容皮膚科・美容外科(美容整形)・AGAクリニック・メンズクリニック・レディースクリニック・美容内科・再生医療クリニック・再生医療クリニック・医療ダイエット・痩身クリニック・医療ダイエット・痩身クリニック / JR新潟駅から徒歩2分





すべて見る二重埋没法
¥ 11,431 (税込)二重切開法(全切開・部分切開)
¥ 58,520 (税込)他院二重抜糸 片目
¥ 10,500 (税込)挙筋前転法(クイックデカ目術)
¥ 168,000 (税込)目頭切開
¥ 58,520 (税込)
施術メニューをもっと見るおすすめポイント
- クマ取り施術で若返りを実感する
- リーズナブルな価格で安心の施術
- JR新潟駅から徒歩2分の好立地
月,火,水,木,金,土,日,祝新潟県新潟市中央区花園1-2-2 コープシティ花園ガレッソ 2F - 美容クリニック・AGAクリニック・美容内科 / JR新潟駅万代口より徒歩2分





すべて見るプロペシア
¥ 7,700 (税込)フィナステリド
¥ 4,950 (税込)ザガーロ
¥ 11,000 (税込)オーダーメイドAGA処方薬 (ミノキシジル+フィナステリド+各種ビタミン)
¥ 27,500 (税込)レディースオーダーメイド発毛治療薬 (ミノキシジル配合)
¥ 27,500 (税込)
施術メニューをもっと見るおすすめポイント
- 痛みを感じずに美しくなるヒアルロン酸注入
- 親身なカウンセリングで安心感を提供
- JR新潟駅から徒歩2分の好立地
月,火,水,木,金,土,日,祝新潟県新潟市中央区弁天1-4-22 グリンビル 6F - 美容クリニック・美容皮膚科・医療脱毛クリニック・AGAクリニック・美容内科 / アクセス 新潟交通バス竹尾線市営住宅前バス停より赤道方面へ徒歩2分 竹尾インターから車で3分 駐車場 あり 無料駐車場:30台シミ治療で、シミレーザーを受けてきました。価格も比較的に安価で、今のところ効果も感じています。薄いシミは数回でかなりよくなって、後は濃いシミ治療のみとなります。予約がオンラインだけで、予約取れるのが一斉スタートなため、それだけ事前に見ておくといいと思います。看護師の方も、先生もとても優しくて、いつも混んでいるのに嫌な顔せず丁寧に対応していただけるのがとても嬉しいです。- マリン









すべて見る引用元:
きど皮ふ科 公式サイト(女性)パーフェクト全身脱毛コース(全身+顔+VIO)
¥ 348,000 (税込)(女性)全身脱毛+顔コース(VIO無し)
¥ 298,000 (税込)(女性)全身脱毛+VIOコース(顔無し)
¥ 298,000 (税込)(女性)全身脱毛コース(顔・VIOは除く)
¥ 248,000 (税込)(女性)全身セレクト脱毛5部位コース
¥ 178,000 (税込)
施術メニューをもっと見るおすすめポイント
- 薄いシミは数回で改善するシミレーザー
- 丁寧な施術で安心の脱毛体験
- 駅から徒歩5分、アクセス良好
月,火,水,金,土,祝新潟県新潟市東区牡丹山1-5-12-10 - 美容クリニック・美容皮膚科・美容外科(美容整形)・医療脱毛クリニック・AGAクリニック・レディースクリニック・美容内科・医療ダイエット・痩身クリニック・医療ダイエット・痩身クリニック / 本町(中央区)バス停から徒歩2分。









すべて見る傷跡・リストカット治療
¥ 1,100 (税込)ほくろ・いぼ除去
¥ 5,500 (税込)アザ治療
眼瞼下垂
¥ 55,000 (税込)埋没法
¥ 66,000 (税込)
施術メニューをもっと見る月,火,水,木,金,土新潟県新潟市中央区本町通7番町1085 - 美容クリニック・美容皮膚科・医療脱毛クリニック / [バス]万代バスセンター より徒歩0分 [お車]北陸自動車道・新潟中央ICより約18分/新潟駅より約2分初めての髭脱毛- 8nonomura









すべて見る男性ヒゲ脱毛
¥ 18,840 (税込)男性全身脱毛
¥ 55,000 (税込)男性足脱毛
¥ 43,400 (税込)男性腕脱毛
¥ 25,400 (税込)男性上半身脱毛
¥ 28,400 (税込)
施術メニューをもっと見る月,火,水,木,金,土,日,祝新潟県新潟市中央区万代1-6-1 万代シテイバスセンタービル 3階 - 美容クリニック・医療脱毛クリニック / 「新潟駅」万代口より車で10分 新潟バイパス「柴竹山IC」より車で12分 バス停「礎町」より徒歩10分 万代口バスターミナルの7番または8番のりばで乗車し7~8分後に「礎町」に到着します。 新潟交通「豊照町」下車 徒歩5分



すべて見る男性医療脱毛 ヒゲ脱毛(3部位)
¥ 9,800 (税込)男性医療脱毛 ヒゲ脱毛(全部位)
¥ 16,800 (税込)男性医療脱毛 顔全体オプション
男性医療脱毛 全身脱毛
¥ 35,800 (税込)男性医療脱毛 全身+ヒゲ脱毛
¥ 259,920 (税込)
施術メニューをもっと見る月,火,水,木,金,土,日,祝新潟県新潟市中央区下大川前通七ノ町2230-37 メゾンソレイユ 2F - 美容クリニック・美容皮膚科・美容外科(美容整形)・医療脱毛クリニック・AGAクリニック・メンズクリニック / 新潟駅 徒歩5分



すべて見る引用元:
さとう美容クリニック 公式サイトQスイッチルビーレーザー
¥ 10,000 (税込)ほくろ・いぼ除去
¥ 5,000 (税込)ボトックス注射
¥ 8,000 (税込)ヒアルロン酸
¥ 14,000 (税込)HIFU
¥ 20,000 (税込)
施術メニューをもっと見る火,水,木,金,土新潟県新潟市中央区万代1丁目2-3 コープ野村万代 2F - 美容クリニック・美容皮膚科・医療脱毛クリニック・美容内科 / JR新潟駅より徒歩7分



すべて見る医療脱毛 男性 ひげ脱毛(選べる3部位)
¥ 38,500 (税込)医療脱毛 男性 ひげ脱毛(5部位)
¥ 61,800 (税込)医療脱毛 男性 ひげ脱毛(6部位)
¥ 78,000 (税込)医療脱毛 男性 セレクト全身脱毛10部位
¥ 189,200 (税込)医療脱毛 男性 全身脱毛
¥ 206,800 (税込)
施術メニューをもっと見る月,火,水,木,金,土,日,祝新潟県新潟市中央区万代1丁目1-26 万代ビル 3F - 美容クリニック・美容皮膚科・美容外科(美容整形)・AGAクリニック・美容内科・再生医療クリニック・再生医療クリニック / 最寄りのバス停、女池インター前バス停(市民病院線)・女池神明バス停(女池線・上所線)をご利用ください。



BBLs
¥ 22,000 (税込)BBLs スキンタイトニング(全顔)
¥ 27,500 (税込)レーザートーニング
¥ 13,200 (税込)ジェネシス
¥ 16,500 (税込)BBLs・レーザートーニング・ジェネシス オプション イオン導入
¥ 4,400 (税込)
施術メニューをもっと見る月,水,木,金,土,祝新潟県新潟市中央区女池上山2-8-28 - 美容クリニック・美容皮膚科・医療脱毛クリニック・美容内科 / 白山駅 徒歩18分


女性脱毛 VIO
¥ 16,500 (税込)女性脱毛 IO
¥ 11,000 (税込)女性脱毛 両ワキ
¥ 5,500 (税込)女性脱毛 両ヒジ下+両手
¥ 11,000 (税込)女性脱毛 両ひざ下+両足
¥ 15,400 (税込)
施術メニューをもっと見る月,火,水,木,金,土,日,祝新潟県新潟市中央区西堀前通3番町719-1 アベックスビルディング1 - 美容クリニック・美容皮膚科・AGAクリニック・美容内科 / 電車:磐越西線 五泉駅 徒歩5分 バス:本町一丁目下車 徒歩3分 車:村松街道の磐越西線の踏切のかどにあります。
引用元:
五泉皮ふ科 公式サイトAGA内服
¥ 5,500 (税込)ミノキシジル
¥ 5,500 (税込)美容外用薬
¥ 2,900 (税込)ヒーライト
¥ 5,500 (税込)ピアス 耳
¥ 3,300 (税込)
施術メニューをもっと見る月,火,水,木,金,土新潟県五泉市本町1丁目10-3-3 - -----美容クリニック・美容皮膚科・医療脱毛クリニック / 【新潟市路線バス 県庁線】 C10(市役所前・新潟駅南口出発)鳥屋野中学入口下車してすぐ
- 美容クリニック・美容皮膚科・美容皮膚科・医療脱毛クリニック / ・JR長岡駅大手口より車で3分 ・越後交通バス・まちなかべんりバス 法務局前バス停より徒歩約2分 ・駐車場完備
- -----美容クリニック・美容内科 / 北三条駅徒歩約12分



すべて見る美容内服
¥ 2,100 (税込)高濃度水素療法
¥ 600 (税込)干渉波
¥ 500 (税込)
施術メニューをもっと見る月,火,水,木,金,土新潟県三条市東裏館2-21-36 ㈱佐藤産業ビル 3F - -----美容クリニック・美容皮膚科・美容外科(美容整形)・医療脱毛クリニック・美容内科 / 高田駅



すべて見る引用元:
中村皮ふ科クリニック 公式サイトピアス
¥ 7,700 (税込)眉アートメイク
¥ 55,000 (税込)リップアートメイク
¥ 55,000 (税込)アイラインアートメイク
¥ 44,000 (税込)Qスイッチアレキサンドライトレーザー
¥ 1,100 (税込)
施術メニューをもっと見る月,火,水,木,金,土新潟県上越市北城町2-3-24 - 相澤内科医院31-----美容クリニック・美容皮膚科・医療脱毛クリニック / 妙高はねうまライン 高田 徒歩13分



すべて見る引用元:
相澤内科医院 公式サイト皮膚リジュビネーション
¥ 10,000 (税込)医療レーザー脱毛 全身セット (首から上、VIOを除く)
¥ 60,000 (税込)医療レーザー脱毛 VIOセット(女性のみ)
¥ 18,000 (税込)医療レーザー脱毛 乙女セットA (脇、肘下、膝下セット)
¥ 20,000 (税込)医療レーザー脱毛 乙女セットB (脇、上下肢)
¥ 30,000 (税込)
施術メニューをもっと見る月,火,水,木,金新潟県上越市昭和町1-3-26 - -----美容クリニック・美容内科 / JR妙高はねうまライン『上越妙高駅西口』より徒歩4分
- -----美容クリニック・美容皮膚科・医療脱毛クリニック・AGAクリニック・メンズクリニック / まちなか循環バス 新町



すべて見る医療脱毛 メンズ 両脇
¥ 5,000 (税込)医療脱毛 メンズ ひげ(頬からあご下まで)
¥ 4,000 (税込)医療脱毛 メンズ くび
¥ 1,000 (税込)医療脱毛 メンズ 前腕(肘~手指先)
¥ 14,000 (税込)医療脱毛 メンズ 上肢(肩~肘)
¥ 8,000 (税込)
施術メニューをもっと見る月,火,水,金,土新潟県村上市新町9-90 - -----美容クリニック・美容皮膚科 / JR白新線 大形駅
- -----美容クリニック・審美歯科 / JR越後線小針駅より徒歩約30分



すべて見る引用元:
松村歯科 新潟診療所 公式サイトインプラント
¥ 55,000 (税込)かぶせ物・つめ物(自費)
¥ 38,500 (税込)予防歯科
¥ 7,700 (税込)ホワイトニング
¥ 22,000 (税込)
施術メニューをもっと見る月,火,水,木,金,土,日,祝新潟県新潟市西区小新5-6-9 - ふたば皮膚科36-----美容クリニック・美容皮膚科・医療脱毛クリニック / 寺尾駅より徒歩約12分 寺尾駅より車で約6分 大堀線「坂井東三丁目」約1分



すべて見る引用元:
ふたば皮膚科 公式サイトライムライト
¥ 5,500 (税込)ライムライト+ ジェネシス
¥ 13,200 (税込)アキュチップ(IPL光治療)
¥ 2,200 (税込)ケミカルピーリング(サリチル酸マクロゴール)
¥ 2,200 (税込)イオン導入
¥ 2,200 (税込)
施術メニューをもっと見る月,火,木,金,土新潟県新潟市西区寺尾東2丁目14-4 - おぎかわ歯科37-----美容クリニック・審美歯科 / JR信越線荻川駅より徒歩約10分



すべて見る引用元:
おぎかわ歯科 公式サイトインプラント
¥ 55,000 (税込)かぶせ物・つめ物(自費)
¥ 38,500 (税込)予防歯科
¥ 7,700 (税込)ホワイトニング
¥ 22,000 (税込)
施術メニューをもっと見る月,火,水,木,金,土,祝新潟県新潟市秋葉区田島833 - -----美容クリニック・審美歯科 / 越後下関駅 出口 徒歩3分



すべて見る引用元:
松村歯科 関川診療所 公式サイトインプラント
¥ 55,000 (税込)かぶせ物・つめ物(自費)
¥ 38,500 (税込)予防歯科
¥ 7,700 (税込)ホワイトニング
¥ 22,000 (税込)
施術メニューをもっと見る月,火,木,金,土,祝新潟県岩船郡関川村大字下関字宮越1417-1 - -----美容クリニック・審美歯科 / 水原中学前停留所より徒歩約5分



すべて見るインプラント
¥ 55,000 (税込)かぶせ物・つめ物(自費)
¥ 38,500 (税込)予防歯科
¥ 7,700 (税込)ホワイトニング
¥ 22,000 (税込)
施術メニューをもっと見る月,水,木,金,土,日,祝新潟県阿賀野市百津町9-36 - -----美容クリニック・審美歯科 / お車でお越しの方 磐越自動車道津川ICを降りて、 最初の信号を右折し直進すると左側にあり 国道49号線沿い 津川警察署向かい



すべて見るインプラント
¥ 55,000 (税込)かぶせ物・つめ物(自費)
¥ 38,500 (税込)予防歯科
¥ 7,700 (税込)ホワイトニング
¥ 22,000 (税込)
施術メニューをもっと見る月,火,水,木,土,祝新潟県東蒲原郡阿賀町津川674 - -----美容クリニック・審美歯科 / ジャスコ前停留所下車 停留所より徒歩約7分



すべて見る引用元:
松村歯科 長岡診療所 公式サイトインプラント
¥ 55,000 (税込)かぶせ物・つめ物(自費)
¥ 38,500 (税込)予防歯科
¥ 7,700 (税込)ホワイトニング
¥ 22,000 (税込)
施術メニューをもっと見る月,水,木,金,土,日,祝新潟県長岡市古正寺町29-3 - まつむら第二歯科42-----美容クリニック・審美歯科 / 東栄前停留所より徒歩約1分



すべて見る引用元:
まつむら第二歯科 公式サイトインプラント
¥ 55,000 (税込)かぶせ物・つめ物(自費)
¥ 38,500 (税込)予防歯科
¥ 7,700 (税込)ホワイトニング
¥ 22,000 (税込)
施術メニューをもっと見る月,火,水,木,金,土,日,祝新潟県長岡市東栄1-2-33 - -----美容クリニック・審美歯科 / 国道8号線新田畑交差点そば 駐車場台数(無料) 25



すべて見るインプラント
¥ 55,000 (税込)かぶせ物・つめ物(自費)
¥ 38,500 (税込)予防歯科
¥ 7,700 (税込)ホワイトニング
¥ 22,000 (税込)
施術メニューをもっと見る月,火,水,木,金,土,日,祝新潟県柏崎市松美2-2-38 - -----美容クリニック・審美歯科 / JR高田駅から徒歩20分



すべて見るインプラント
¥ 55,000 (税込)かぶせ物・つめ物(自費)
¥ 38,500 (税込)予防歯科
¥ 7,700 (税込)ホワイトニング
¥ 22,000 (税込)
施術メニューをもっと見る月,火,木,金,日,祝新潟県上越市北城町3-1-30 - -----美容クリニック・レディースクリニック・美容内科 / JR信越線三条駅を出て、タクシーで約5分。 ※駅より跨線橋を渡り三条高校方面へ徒歩20分。



すべて見る高濃度ビタミンC点滴
¥ 10,000 (税込)グルタチオン点滴
¥ 11,000 (税込)プラセンタ点滴
¥ 11,000 (税込)ニンニク点滴(複合ビタミン剤点滴)
¥ 5,500 (税込)マイヤーズカクテル(ビタミン・ミネラル点滴)
¥ 7,700 (税込)
施術メニューをもっと見る月,火,木,金,土新潟県三条市月岡1-23-43 - つばめ皮フ科46-----美容クリニック・美容皮膚科 / 国道116号線を新潟方面へ向かって富永交差点で左折100メートル。 越後線・吉田駅から1.1キロメートル(車5分、徒歩14分)。
- -----美容クリニック・美容外科(美容整形)・メンズクリニック / JR信越本線新潟駅より徒歩1分



包茎手術 (ナイロン糸)
¥ 79,200 (税込)包茎手術 (吸収糸)
¥ 110,000 (税込)包茎美容形成術
¥ 121,000 (税込)ブツブツ除去
¥ 55,000 (税込)
施術メニューをもっと見る月,火,金,土,日,祝新潟県新潟市中央区花園1-3-2 IMAビルⅡ 6階 - 美容クリニック / 新潟駅万代口から徒歩3分



眉アートメイク
¥ 11,000 (税込)リップアートメイク
¥ 66,000 (税込)アイラインアートメイク
¥ 33,000 (税込)
施術メニューをもっと見る月,火,水,木,金,土,日,祝新潟県新潟市中央区弁天1-4-27 伊藤駅前ビル 4階 - -----美容クリニック・美容内科



美肌全部 美容点滴
¥ 2,500 (税込)美肌プラス 美容点滴
¥ 3,000 (税込)にんにく点滴・注射
¥ 2,000 (税込)プラチナ点滴
¥ 4,000 (税込)ブライダルチェック
¥ 13,200 (税込)
施術メニューをもっと見る月,火,木,金,土 - クララクリニック50-----美容クリニック・美容皮膚科・美容内科 / バスは有明線内野行 又は 五十嵐1の町行 最寄バス停「帝石前」 から徒歩2分 JR青山駅からは徒歩10分



引用元:
クララクリニック 公式サイトプラセンタ注射
¥ 2,000 (税込)ニンニク注射
¥ 1,500 (税込)皮膚ソフトピーリング
¥ 500 (税込)グルタチオン点滴
¥ 5,184 (税込)高濃度ビタミンC点滴
¥ 8,635 (税込)
施術メニューをもっと見る月,火,水,金,土,日,祝新潟県新潟市西区青山7丁目3-20-3 - -----美容クリニック・AGAクリニック・メンズクリニック・レディースクリニック / JR「長岡駅」より車で13分



ED治療薬
¥ 900 (税込)AGA内服薬
¥ 5,000 (税込)精液検査
¥ 2,000 (税込)LOH症候群
¥ 2,200 (税込)性感染症検査
施術メニューをもっと見る月,火,水,木,金,土新潟県長岡市喜多町 1144-1 - センター前皮膚科52-----美容クリニック・美容皮膚科・医療脱毛クリニック・AGAクリニック・美容内科 / 最寄駅 茨目駅 アクセス 「信越本線茨目駅徒歩14分」「柏崎医療センターから徒歩1分」 駐車場 あり 無料駐車場:10台



引用元:
センター前皮膚科 公式サイトサリチル酸マクロゴールピーリング
¥ 6,000 (税込)イオン導入
¥ 2,000 (税込)外用薬
¥ 500 (税込)美容内服
¥ 1,700 (税込)AGA治療 内服薬
¥ 6,000 (税込)
施術メニューをもっと見る月,火,水,金,土新潟県柏崎市茨目1丁目3-17 - -----美容クリニック・AGAクリニック・メンズクリニック・レディースクリニック・美容内科 / 最寄りバス停「笹口」



AGA内服薬
¥ 5,500 (税込)ED内服薬
¥ 1,100 (税込)にんにく注射
¥ 1,650 (税込)二日酔い予防注射
¥ 2,750 (税込)二日酔い回復注射
¥ 3,300 (税込)
施術メニューをもっと見る月,火,水,木,金,土新潟県新潟市中央区南笹口2-5-17 - -----美容クリニック・審美歯科 / JR信越線新津駅より徒歩約8分



インプラント
¥ 55,000 (税込)かぶせ物・つめ物(自費)
¥ 38,500 (税込)予防歯科
¥ 7,700 (税込)ホワイトニング
¥ 22,000 (税込)
施術メニューをもっと見る月,火,水,木,金,土,日,祝新潟県新潟市秋葉区美幸町3-1-12-2 - -----美容クリニック・美容外科(美容整形)・AGAクリニック / 新潟駅万代口徒歩1分



検査
内服薬
¥ 1,800 (税込)オーダーメイドAGA発毛メソセラピー
¥ 39,600 (税込)外用薬
¥ 7,700 (税込)植毛手術
¥ 275,000 (税込)
施術メニューをもっと見る月,火,水,木,金,土,日,祝新潟県新潟市中央区弁天1-1-22 東信新潟ビル 6階 - -----美容クリニック・審美歯科 / 春日山3丁目北停留所より徒歩約3分



インプラント
¥ 55,000 (税込)かぶせ物・つめ物(自費)
¥ 38,500 (税込)予防歯科
¥ 7,700 (税込)ホワイトニング
¥ 22,000 (税込)
施術メニューをもっと見る月,火,水,木,土,日,祝新潟県上越市春日野1-4-17 - -----美容クリニック・美容皮膚科・美容外科(美容整形) / JR : 信越本線新津駅西口より徒歩2分


アクロコルドン・稗粒腫除去(炭酸ガスレーザー)
¥ 2,200 (税込)脂漏性角化症・老人性色素斑・口唇メラノーシス除去(炭酸ガスレーザー)
¥ 2,200 (税込)ピアス穴あけ
¥ 3,850 (税込)
施術メニューをもっと見る月,火,水,金,土新潟県新潟市秋葉区美幸町1-5-12 - 美容クリニック・美容皮膚科・医療脱毛クリニック / バス案内 C70 のバス( 新潟駅前 ~ 柳都大橋 ~ 入船営業所 )にご乗車いただき、「下島公園前」 停留所にて下車ください。目の前に当院があります。 途中の主な停留所としては新潟駅前、新潟日報メディアシップに停まります。 柳都方面から車でお越しの場合 柳都大橋を渡り直進し、右車線を250m走行し、左手にセブンイレブン、右手にファミリーマートのある交差点を右折します。 ↓ 右折後、直進をすると、約300mほどしますと第四銀行が左手に見えてきます。しかし、まだまだ直進してください。 ↓ 450m先右手に大きめの建物が見えてきます。赤い看板が見え、「内科」の文字が見えます。 ↓ 建物の奥に駐車場があります。看板をすぎて右側に駐車場入り口がありますので、そちらに駐車してください。足腰の不自由な方は、玄関前に障害者用の駐車場が1台確保されております。 みなとトンネル方面から車でお越しの場合 東区よりみなとトンネルを通過します トンネルを抜けて1つ目の信号を右折します。右折専用レーンがあります。 ↓ 右折後、道なりに進みます。400mほど進むと一つ目信号があり、ここを右折します。 ↓ 右折後、900mほど直進すると、右側にセブンイレブンが見えてきます。ここを右折し、その後また道なりに直進します。信号機が二つ短い間隔で並んでいますが、二つ目の信号を曲がってください。 ↓ 200mほど直進すると見えてきます。当院の手前に小学校があり、その後、マンション(団地)がみえてきます。その後、当院が見えてきます。赤い看板が目印です。看板の手間に駐車場入り口がありますので、そこから駐車場に入ってください。


医療脱毛 日和山小学校・柳都中学校の児童/学生
¥ 1,210 (税込)女性医療脱毛 両腕肘下
¥ 3,610 (税込)女性医療脱毛 両腕肘上
¥ 3,610 (税込)女性医療脱毛 両脇
¥ 1,980 (税込)女性医療脱毛 両腕肘上下+両脇
¥ 7,260 (税込)
施術メニューをもっと見る月,火,水,木,金,土,祝新潟県新潟市中央区田町1-3239-1 - 美容クリニック・美容皮膚科・医療脱毛クリニック・美容内科 / B1萬代橋ライン「古町」下車 徒歩1分


フォト
¥ 9,900 (税込)ジェネシスV
¥ 6,600 (税込)エクセレントホワイト
¥ 6,600 (税込)レーザーリフト
¥ 35,200 (税込)コンビネーションリフト (ジェネシスV・レーザーリフト)
¥ 45,100 (税込)
施術メニューをもっと見る月,火,水,木,金新潟県新潟市中央区西堀通6番町866 - 田中皮膚科医院60-----美容クリニック・美容皮膚科 / JR羽越本線「水原駅」徒歩23分


引用元:
田中皮膚科医院 公式サイト赤ら顔(ジュエネシスフェイシャルトリートメント)
¥ 6,480 (税込)くすみ(ライムライト)
¥ 5,400 (税込)コンビネーション(くすみ+赤ら顔)
¥ 12,690 (税込)
施術メニューをもっと見る月,火,木,金,土新潟県阿賀野市野山191-3
新潟県の美容クリニックでの最新口コミ・評判 (レポ)
痛みが少なく思ってた以上の結果が出せた
1ヶ月前私は30代半ばを過ぎてから、鏡を見るたびに「疲れて見えるな」と感じるようになり、美容医療に興味を持ちました。最初は少し怖さもありましたが、カウンセリングで医師から丁寧な説明を受け、不安が和らぎました。私が受けたのは「ヒアルロン酸注入」と「レーザートーニング」です。どちらもダウンタイムが少なく、初めて挑戦するにはちょうど良い施術だと思いました。
ヒアルロン酸は、ほうれい線と頬のボリュームを整える目的で入れてもらいました。施術中はチクッとする程度の痛みで、麻酔クリームを塗ってもらったのでほとんど気になりませんでした。鏡を見た瞬間、ふっくらと自然に若返ったような印象で、本当に驚きました。腫れもほとんどなく、翌日から普通にメイクができたのも嬉しかったです。
レーザートーニングは、くすみや毛穴の改善を目的に5回コースで受けました。1回目では大きな変化は感じませんでしたが、3回目を過ぎたあたりから肌のトーンが均一になり、ファンデーションを厚く塗らなくても自信を持てるようになりました。特に、肌が明るく見えるだけで印象がぐっと変わることを実感しました。
美容医療を受ける前は、「不自然にならないかな」「周りにバレたら恥ずかしい」と心配していましたが、実際はとても自然な仕上がりで、自分でもどこが変わったのか説明しづらいほど。けれど確実に、鏡を見るたびに気分が上がるようになりました。
一番大きかったのは、見た目の変化よりも“自信が戻った”ことです。朝のメイクが楽しくなり、人前に出るのが苦にならなくなりました。美容医療は決して「若作り」ではなく、「自分を大切にするためのケア」だと感じています。費用は決して安くありませんが、心の満足度を考えると、それ以上の価値がありました。これからも、無理のない範囲で上手に取り入れていきたいと思います。
自分自身に自身が持てたのでやって良かったと思いました。
今後自分の周りに困ってる、悩んでるかたに進めていきたいと思いました。また機会が有れば検討したいと思います。
施術日1989/06/10
よし30代後半|男性| 1件のレポ (ガチレポ認定 1件)- 満足度が高い口コミ
効果重視の方は是非!
3ヶ月前湘南美容クリニックで全身医療脱毛(6回コース)を受けました。
湘南美容クリニックを選んだ理由はクーポン配布が多く、ポイントが貯まりやすいからです。
結論から言うと、脱毛効果にとても満足しています。
最初の数回は「あれ?少し薄くなったかな?」程度だったのですが、5回目あたりから自己処理の頻度が激減。
6回目が終わる頃には、ワキや脚など毛が濃かった部位も目に見えてスッキリしました。
以前、他院で蓄熱式のウルトラ美肌脱や熱破壊式のジェントルレーズを受けたことがあるのですが、それらに比べて長岡院のスプレンダーXは照射時の痛みがかなり軽減されているように感じました。
特に冷却機能がしっかりしていて、冷たい風が当たることで熱さが和らぎ、ストレスなく施術を受けることができました。スタッフの対応も丁寧で、初回のカウンセリングでは、施術内容や機械の特徴、料金プランなどを分かりやすく説明してもらえたので、不安を感じることなくスタートできました。
施術中も声かけがこまめで安心感があり、院内も清潔で落ち着いた雰囲気です。
正直、最初は金額面で迷いましたが、自己処理の手間や肌への負担を考えると、もっと早く医療脱毛を始めておけばよかったと思っています。
今ではムダ毛を気にせず服を選べるのが嬉しいです。湘南美容クリニック長岡院はアクセスもしやすく、予約も比較的取りやすいように感じます。
Instagramのストーリーで空き情報を発信されているので、空き時間に予約して行くこともあります。
サロン脱毛を何件も経験しましたがやはり医療脱毛は効果が段違いです。
目に見えて毛が抜けます。
効果重視で医療脱毛を検討している方には、自信をもっておすすめできるクリニックです。施術日2024/03/31
す30代前半|女性| 3件のレポ (ガチレポ認定 3件) ほうれい線って消えるんだ!
5ヶ月前JR新潟駅から徒歩で向かいましたが、微妙に距離があって少し大変でした。季節も夏だったので汗が凄く、体力を消耗したので次回はバスやタクシーを利用しようと思いました。
クリニックに到着すると非常に涼しく、綺麗な部屋でゆっくりできました。受付スタッフさんも優しく対応してくれたので、疲れも癒されました。もっとアクセスが良いクリニックもありましたが、ここのスタッフさんは優しいと聞いていたので、まるやま美容クリニックさんでカウンセリングを受けました。
カウンセリングの内容は主にほうれい線に関することです。ほうれい線は老けて見えるシワなので、ほうれい線が無ければもっと若く見えると思いました。先生はお若いですが経験があり、人柄の良さも伝わってきました。カウンセリングルームに入った時から優しい表情で話してくれるので、事前に言いたかった悩みをすべて話すことができました。
ほうれい線を簡単に治せると聞いて、ヒアルロン酸を選びました。ほうれい線はありますが、たるみはそこまで無いのでヒアルロン酸のみで効果が現れるでしょうというカウンセリングでした。
私もヒアルロン酸のみの治療を希望していたので、希望通りの治療を受けられることに安心しました。「他の治療を勧められたら断れるのかな?」という不安がありましたが、とても良い先生だったので他の治療を勧められることはなく、ものすごく良いカウンセリングだったと思います。
治療自体の痛みはなく、ダウンタイムも2日~3日しかありませんでした。ほうれい線はすぐに無くなり、カウンセリング通りの結果になりました。家族も「ほうれい線って消えるんだ!」と驚いていて、効果の凄さを実感しました。弟もアンチエイジングに興味があるので、ヒアルロン酸を受けるならまるやま美容クリニックさんがいいよと言っておきました。
施術日2024/08/22
mipo40代前半|女性| 3件のレポ (ガチレポ認定 3件)効果は確かです
6ヶ月前全身の医療脱毛は、他院での契約も合わせると3回目の契約です。
VIO、顔は初めての契約です。VIOは初めてでしたが、2回目の施術で、明らかに毛量が減りました。
自己処理も楽になり、契約した甲斐があったと感じております。
友人とよく旅行に行くので、毛量が多いのがどうしても気になっていたのですが、安心して温泉にも入れそうで、今からわくわくしています!足、腕など他の部分は、3回目の契約ということもあり、順調に薄くなっていると思います。
自己処理も1ヶ月に1回程度で済むので、とても楽です。顔はまだ効果のほどは分かりませんが、他の部位の効果をみて、毛がなくなることに期待をこめてこの評価にしました。
また、注意点として、最近からクリニックで剃り残しのシェービングをしてもらう際、指定のシェーバーを持参しなくてはならなくなりました。
クリニックで購入すると3000円ほどするようですが、ド⚪︎キで買うと2000円代で買えます。上記のように、基本的に脱毛の効果には満足していますが、予約が取りにくいのが難点だと感じております。
施術した当日に次の予約をしようとしても、週末は2ヶ月先まで埋まっている、というようなこともざらにあります。
また、ネット予約ができないのも不便な点だと思います。
その場で予約すればいい話なのですが、どうしても1、2ヶ月先の予定となると、スケジュールが不透明なことが多く、電話で予約しようと思うと、更に予約が埋まっていて、行くのが億劫になってしまうなと感じていた時もありました、、
ただ、効果は確かだと感じているので、夏でも自己処理しなくていいような状態になればいいなという期待をこめて、これからも通い続けたいなと思っております。施術日2025/03/07
るな20代後半|女性| 1件のレポ (ガチレポ認定 1件)初めての髭脱毛
8ヶ月前レーザースキンクリニック新潟でヒゲ脱毛の施術を受けました。クリニック選びでは、ネットの口コミサイトをいくつかチェックし、評判が良さそうなところを探しました。その中でも、ここを選んだ決め手は、家から通いやすい立地と料金のバランスが良かったことです。実際にカウンセリングを受けた際の対応も丁寧だったので、ここなら安心して任せられそうだと思いました。
ヒゲ脱毛を決意したのは、毎朝の髭剃りが面倒だったのと、肌荒れに悩んでいたからです。特に、カミソリ負けで赤みが出たり、ニキビができたりするのがストレスでした。知人がヒゲ脱毛をして「朝の準備が楽になったし、清潔感も増すよ」と言っていたのを聞き、自分もやってみようと思いました。
クリニックに入ると、受付のスタッフが明るく挨拶してくれて、雰囲気が良かったです。院内はシンプルで清潔感があり、待合室も落ち着いた空間でした。ウォーターサーバーが置いてあったので、リラックスしながら順番を待つことができました。
カウンセリングでは、医師が施術の流れや効果、リスクについて詳しく説明してくれました。特に痛みについて気になっていたので質問したところ、「輪ゴムで弾かれる程度の痛みですが、麻酔クリームも用意できます」とのこと。無理に我慢する必要はないと言われ、少し安心しました。
施術当日、少し緊張しながらベッドに横になると、看護師さんが「痛みが強かったら遠慮せず教えてくださいね」と声をかけてくれました。レーザーを当てると、確かにパチンと弾かれるような感覚がありましたが、思っていたほどではなく、なんとか耐えられました。施術後は肌を冷やしてもらい、炎症を抑えるクリームを塗ってもらいました。
施術直後は少し赤みが出ましたが、数時間後には落ち着き、痛みもほとんどありませんでした。特に生活に支障が出ることもなく、普段通り過ごせました。医師から「しっかり保湿すれば肌の回復が早くなりますよ」とアドバイスをもらったので、いつもより丁寧にスキンケアをしました。
数週間経つと、ポロポロとヒゲが抜け落ちるようになり、少しずつ効果を実感。髭剃りの頻度が減り、肌荒れも起こりにくくなりました。朝の準備にかかる時間が短縮されたのも嬉しいポイントです。見た目もスッキリし、気持ちまで前向きになった気がします。
レーザースキンクリニック新潟の施術は、対応の良さや価格の面でも満足できるものでした。ヒゲ脱毛を迷っている人は、一度カウンセリングを受けてみるといいと思います。
支払金額¥100000施術日2023/07/04
8nonomura20代後半|男性| 3件のレポ (ガチレポ認定 3件)- 満足度が高い口コミ
スッピンでも出歩けるようになりました!
1年前通いやすさが決め手でした住まいから比較的近い場所にあり通いやすいこと、またモニター価格で施術を受けさせてもらえることからこちらの皮膚科を受診しました。
アートメイクの体験談
昔からある皮膚科ですが、最近改装され、美容皮膚科も始めたそうです。
1階は従来からの保険診療の皮膚科、2階は美容皮膚科になっています。
1階は土足で入りますが、2階に行くには一度靴を脱ぎスリッパに履き替えて向かいます。
2階は落ち着いた高級感のある内装になっており、雰囲気がガラッと変わっていました。
半個室状態になっている洗面台も明るく広く、高級感があります。私は中学生のころに眉毛をむやみに抜いたことで必要な場所に全然生えてこなくなってしまいました。
ちょっとコンビニに行く時ですら眉毛を書かないと出かけられない、という状態でとても面倒に感じていました。
アートメイクは已然から興味がありましたが、値段がネックでなかなか施術に踏み切れずにいました。
今回モニターで施術していただけるとのことで迷わずお願いしました。アートメイクは2回に分けて行います。
1回目はしっかりとカウンセリング、眉のデザイン決めをします。
デザイン決めで結構時間がかかりました。
そのあとは麻酔クリームを塗り施術です。
麻酔クリームの効果か痛みは全くありませんでした。
楽しくお話をしたりしているうちにあっという間に終わりました。
ダウンタイムは一週間で、その間は眉を水に濡らさない、触らない、ようにしなければいけません。
眉毛を保護するためのワセリンをいただき、ちょくちょく塗るように言われました。
洗顔や洗髪が少し大変でした…。2回目は2か月ほど空けての施術です。
これでしっかりとインクが定着するそうです。
2回目はデザイン決めがない分早く終わりました。
2回目もダウンタイムは同じように過ごします。1.2回とも慎重に過ごした効果か、しっかりと定着したように感じます!
1週間の間でインクが濃く出てきてしまう期間もありますが、時間がたつと落ち着きます。
今は本当にきれいに馴染んでいます。アートメイクをしたおかげでちょっとした外出や買い物は完全にすっぴんでも行けるようになりました。
また、眉を描くのに失敗することもないのでそれも含め毎朝かなりの時短になっています。
本当にやってよかった施術でした。施術日2023/09/12
たらこ30代前半|女性| 3件のレポ (ガチレポ認定 3件) お!値段以上
ボトックス注射1年前まず、なにより、安いです。ボトックスは興味があったけど手が出せなくてくすぶっていたところ見つけたのがこちらのクリニック。多少の不安がありつつもカウンセリング予約。先生はきっとボトックスがお好きなんでしょう。知識が豊富でわかりやすい説明。先生自身も打っており体を張って顔の筋肉の動き方を見せてくれます。効果も1週間程度で現れ3・4か月は持つ印象です。友人にも効果をほめられました。ちなみにクリニックはきれいでとってもかわいい。スタッフさんも優しくて、ここに来るだけでも素敵な気分になれます。
支払金額¥7,000
もも30代前半|女性| 1件のレポ- 二重埋没法1年前
施術は局所麻酔をしていたので痛みはなく、施術時間は20分程であっという間に終わりました。、傷跡も小さく目立たなかったので良かったです。腫れと痛みが一週間ほど続きましたがそこからは段々引いてきて、2週間ほど経ったら傷跡も綺麗になり、二重も自然な状態になりました。ダウンタイムもほとんど無かったし、痛みも我慢できる程度だったので良かったです。
支払金額¥198,000
ころさん20代後半|女性| 76件のレポ 綺麗にホクロが撮れて嬉しいです
ほくろ除去2年前友達が黒子を美容クリニックで取っていて私も取りたいと思い近くのクリニックに受診しました。
私の場合は切らない施術を行いました。施術は麻酔があるので注射以外痛みはほぼありませんでした。
傷が治るとホクロがなくなっていてしっかりと取れていました!
化粧でもう隠さなくていいと思うととても嬉しいです!
チェン1件のレポ- 満足度が高い口コミシミ治療2年前
シミ治療で、シミレーザーを受けてきました。価格も比較的に安価で、今のところ効果も感じています。薄いシミは数回でかなりよくなって、後は濃いシミ治療のみとなります。予約がオンラインだけで、予約取れるのが一斉スタートなため、それだけ事前に見ておくといいと思います。看護師の方も、先生もとても優しくて、いつも混んでいるのに嫌な顔せず丁寧に対応していただけるのがとても嬉しいです。
マリン1件のレポ
新潟県の美容クリニックについてよくある質問
新潟県には、美容クリニックは何件ありますか?
新潟県には、症例写真は何件ありますか?
新潟県で最も施術メニューが豊富な美容クリニックはどこですか?
新潟県で最も口コミが投稿されている美容クリニックはどこですか?
新潟県で評判が高い美容クリニックの医師は?





















