【相模原市緑区】おすすめ美容クリニックTOP20|評判の良いクリニックを口コミ・料金・人気で比較
相模原市緑区の美容クリニックをまとめました。 相模原市緑区には美容クリニックは5件あり、平均レビューは4.3点、投稿されたレビュー数は50件となっています。 人気の美容クリニックは、「湘南美容クリニック 橋本院(口コミ46件)」「なでしこクリニック(口コミ4件)」などが挙げられます。 施術メニュー・金額としては「二重埋没法(¥29,880)」「二重埋没法(自然癒着法)(¥54,600)」「眼瞼下垂(¥45,000)」「自費眼瞼下垂手術(¥275,000)」などがあります。 クリニックを選ぶ際は、アクセスの良さ・通いやすさや、アフターケアの体制を確認することが重要です。美容クリニックをオンライン予約し、プロの医師のカウンセリングを受け、あなたにぴったりの施術を選びましょう。
クリニック
施術メニュー
症例
5件
「神症例」とはキレイレポが認定した症例です。全クリニックを対象としていますが、プロモート掲載クリニックは必ず1つ選定しています。
- 美容クリニック・美容皮膚科・美容外科(美容整形)・審美歯科・医療脱毛クリニック・AGAクリニック・メンズクリニック・レディースクリニック・美容内科・再生医療クリニック・再生医療クリニック・医療ダイエット・痩身クリニック・医療ダイエット・痩身クリニック / JR横浜線橋本駅北口から 徒歩3分









すべて見る二重埋没法
¥ 29,880 (税込)二重埋没法(自然癒着法)
¥ 54,600 (税込)自然癒着セット(上眼瞼脱脂)
¥ 55,270 (税込)SBCデカ目術/切らないまぶたのリフトアップ
¥ 116,320 (税込)切る二重術(切開法)
¥ 250,000 (税込)
施術メニューをもっと見るおすすめポイント
- 医療脱毛で自己処理不要にする
- 安心のカウンセリングで納得の施術
- JR橋本駅から徒歩3分の好立地
月,火,水,木,金,土,日,祝神奈川県相模原市緑区橋本3-19-3 ヴィンテージ橋本 2F - 美容クリニック・美容皮膚科・美容外科(美容整形)・医療脱毛クリニック・AGAクリニック・レディースクリニック・美容内科・再生医療クリニック・再生医療クリニック / JR・京王相模原線橋本駅より徒歩3分蓄熱式って効果ない?- ごろう



すべて見る引用元:
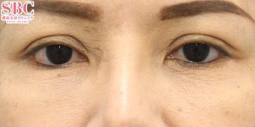
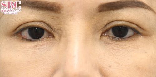
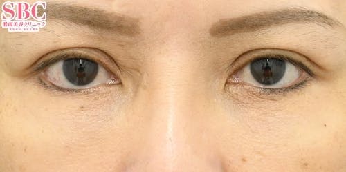
なでしこクリニック 公式サイト眼瞼下垂
¥ 45,000 (税込)自費眼瞼下垂手術
¥ 275,000 (税込)眼瞼下垂手術+目頭切開
¥ 440,000 (税込)眉下切開
¥ 330,000 (税込)目頭切開
¥ 220,000 (税込)
施術メニューをもっと見る月,火,水,木,金,土神奈川県相模原市緑区橋本6-20-1 リビオ橋本タワー 2階 - -----美容クリニック・美容皮膚科・AGAクリニック・メンズクリニック・美容内科
- -----美容クリニック・美容皮膚科・AGAクリニック / 京王橋本駅 相模原協同病院方面口より徒歩8分 JR橋本駅 南口より徒歩9分

引用元:
橋本皮膚科クリニック 公式サイトケミカルピーリング
¥ 5,500 (税込)AGA/FAGA内服薬
¥ 9,000 (税込)
月,火,水,木,金,土神奈川県相模原市緑区西橋本5-1-1 la Flore(ラ・フロール) 3F - -----美容クリニック / JR 中央本線 相模湖駅 徒歩 5分
相模原市緑区の美容クリニックについてよくある質問
相模原市緑区には、美容クリニックは何件ありますか?
相模原市緑区には、症例写真は何件ありますか?
相模原市緑区で最も施術メニューが豊富な美容クリニックはどこですか?
相模原市緑区で最も口コミが投稿されている美容クリニックはどこですか?
相模原市緑区で評判が高い美容クリニックの医師は?



