【新千葉駅】おすすめ美容クリニックTOP20|評判の良いクリニックを口コミ・料金・人気で比較
新千葉駅の美容クリニックをまとめました。 新千葉駅には美容クリニックは52件あり、平均レビューは4.2点、投稿されたレビュー数は457件となっています。 人気の美容クリニックは、「ナルビューティークリニック(NARU Beauty Clinic)(口コミ23件)」「湘南美容クリニック 千葉センシティ院(口コミ120件)」などが挙げられます。 施術メニュー・金額としては「二重埋没法(¥88,000)」「ラインクロス自然癒着法(¥100,000)」「二重埋没法(¥29,880)」「二重埋没法(自然癒着法)(¥54,600)」などがあります。 クリニックを選ぶ際は、アクセスの良さ・通いやすさや、アフターケアの体制を確認することが重要です。美容クリニックをオンライン予約し、プロの医師のカウンセリングを受け、あなたにぴったりの施術を選びましょう。
「神症例」とはキレイレポが認定した症例です。全クリニックを対象としていますが、プロモート掲載クリニックは必ず1つ選定しています。
- 美容クリニック・美容皮膚科・美容外科(美容整形)・医療ダイエット・痩身クリニック・医療ダイエット・痩身クリニック / 新千葉駅から6分腫れずに自然な二重に- ももも









すべて見る二重埋没法
¥ 88,000 (税込)ラインクロス自然癒着法
¥ 100,000 (税込)他院抜糸
¥ 69,800 (税込)二重切開
¥ 173,800 (税込)上まぶたの脂肪取り
¥ 148,000 (税込)
施術メニューをもっと見るおすすめポイント
- 痛みを感じないスピーディーな施術で理想の目元を実現
- 親身なカウンセリングで自分に合ったプランを提案
- 千葉駅から徒歩1分のアクセスで通いやすい
月,火,水,木,金,土,日,祝千葉県千葉市中央区弁天1丁目15-3 リードシー千葉駅前ビル 801 - 美容クリニック・美容皮膚科・美容外科(美容整形)・審美歯科・医療脱毛クリニック・AGAクリニック・メンズクリニック・レディースクリニック・美容内科・再生医療クリニック・再生医療クリニック・医療ダイエット・痩身クリニック・医療ダイエット・痩身クリニック / 新千葉駅から6分フェイスラインがすっきりしました!- マリア









すべて見る二重埋没法
¥ 29,880 (税込)二重埋没法(自然癒着法)
¥ 54,600 (税込)自然癒着セット(上眼瞼脱脂)
¥ 55,270 (税込)SBCデカ目術/切らないまぶたのリフトアップ
¥ 116,320 (税込)切る二重術(切開法)
¥ 250,000 (税込)
施術メニューをもっと見るおすすめポイント
- 短時間で理想の二重を実現する埋没法
- 安心の症例数と丁寧なカウンセリング
- JR千葉駅から徒歩3分の好立地
月,火,水,木,金,土,日,祝千葉県千葉市中央区新町1000番地 センシティビルディング 9階 - 美容クリニック・美容皮膚科・美容外科(美容整形)・医療脱毛クリニック・AGAクリニック・メンズクリニック・レディースクリニック・美容内科・再生医療クリニック・再生医療クリニック・医療ダイエット・痩身クリニック・医療ダイエット・痩身クリニック / 新千葉駅から6分









すべて見るフォトシルクプラス(顔)
¥ 8,640 (税込)フォトシルクプラス(手の甲)
¥ 1,300 (税込)レーザートーニング(メドライトC6)全顔
¥ 5,190 (税込)コラーゲンピール(全顔)
¥ 10,800 (税込)コラーゲンピール(その他部位)
¥ 10,800 (税込)
施術メニューをもっと見るおすすめポイント
- 毛穴の悩みを解消するケミカルピーリング
- ダウンタイムなしで肌質改善するダーマペン
- JR千葉駅から徒歩3分の好立地
月,火,水,木,金,土,日,祝千葉県千葉市中央区新町1000番地 センシティタワー 22F - 美容クリニック・美容皮膚科・美容外科(美容整形)・医療脱毛クリニック・AGAクリニック・レディースクリニック・美容内科・再生医療クリニック・再生医療クリニック・医療ダイエット・痩身クリニック・医療ダイエット・痩身クリニック / 新千葉駅から8分気になってたそばかすがゴミのように取れました!笑- あみぽん

湘南二重術 - 完全埋没法
¥ 9,800 (税込)Teen二重術
¥ 39,000 (税込)週末二重術
¥ 35,400 (税込)腫れづらいスクエア二重術
¥ 58,800 (税込)フォーエバー二重術
¥ 117,150 (税込)
施術メニューをもっと見るおすすめポイント
- シミ取り放題で透明感を実感する
- リーズナブルな医療脱毛でスムーズな施術
- JR千葉駅東口から徒歩3分の好立地
月,火,水,金,土,日,祝千葉県千葉市中央区富士見2-1-2 マインズ千葉 3階 - 美容クリニック・美容皮膚科・美容外科(美容整形)・医療脱毛クリニック・AGAクリニック / 新千葉駅から10分



女性医療脱毛 全身+うなじ
¥ 19,800 (税込)女性医療脱毛 全身+うなじ+顔全体
¥ 26,800 (税込)女性医療脱毛 全身+うなじ+VIO
¥ 29,600 (税込)女性医療脱毛 全身+うなじ+顔全体+VIO
¥ 36,600 (税込)女性医療脱毛 VIOライン
¥ 9,800 (税込)
施術メニューをもっと見るおすすめポイント
- 痛みに配慮した医療脱毛で安心施術
- 高コスパで効果実感!4回で毛の8割減
- JR千葉駅から徒歩2分の好立地
月,火,金,土,日,祝千葉県千葉市中央区富士見2-3-1 塚本大千葉ビル 3F - 美容クリニック・美容皮膚科・美容外科(美容整形)・医療脱毛クリニック・メンズクリニック・レディースクリニック・美容内科・医療ダイエット・痩身クリニック・医療ダイエット・痩身クリニック / 新千葉駅から12分一気にコンプレックス解消!- まな



二重埋没法
¥ 11,000 (税込)自然癒着法
¥ 198,000 (税込)目元脂肪取り
¥ 60,000 (税込)二重全切開
¥ 298,000 (税込)二重他院修正
施術メニューをもっと見る月,火,水,木,金,土,日,祝千葉県千葉市中央区富士見1-14-11 常盤ビル 4階 - 美容クリニック・美容皮膚科・美容外科(美容整形)・医療脱毛クリニック・メンズクリニック・レディースクリニック・美容内科・医療ダイエット・痩身クリニック・医療ダイエット・痩身クリニック / 新千葉駅から11分



女性医療脱毛 全身脱毛
¥ 19,800 (税込)女性医療脱毛 全身脱毛+ VIO
¥ 25,300 (税込)女性医療脱毛 全身脱毛+うなじ
¥ 25,300 (税込)女性医療脱毛 全身脱毛+全顔
¥ 25,300 (税込)女性医療脱毛 全身脱毛+うなじ+全顔
¥ 30,800 (税込)
施術メニューをもっと見るおすすめポイント
- ホクロ除去で美肌を手に入れる
- リーズナブルなルメッカでシミ対策
- 千葉駅から徒歩5分の好立地
月,火,水,木,金,土,日,祝千葉県千葉市中央区富士見2-7-5 富士見ハイネスビル 2階 








すべて見るメンズ セレクト全身脱毛(5回)(ヒゲを除く全部位から8部位)
¥ 220,800 (税込)メンズ VIO脱毛(5回)
¥ 99,800 (税込)メンズ全身脱毛VIOなし
¥ 296,800 (税込)メンズ全身脱毛VIOあり
¥ 362,800 (税込)メンズ 脱毛腕全体(5回)
¥ 158,800 (税込)
施術メニューをもっと見るおすすめポイント
- 痛みを抑えた高効果のヒゲ脱毛を実現
- 通いやすい立地で安心の男性専用クリニック
- リーズナブルな価格で通い放題プランを提供
月,火,水,木,金,土,日,祝千葉県千葉市中央区富士見2-7-5 富士見ハイネスビル 10F



すべて見る女性医療脱毛 全身
¥ 86,100 (税込)女性医療脱毛 全身+VIO
¥ 52,800 (税込)女性医療脱毛 全身+顔
¥ 123,690 (税込)女性医療脱毛 全身+VIO+顔
¥ 151,200 (税込)女性医療脱毛 VIO脱毛
¥ 37,800 (税込)
施術メニューをもっと見る月,火,水,木,金,土,日,祝千葉県千葉市中央区富士見2丁目14-6 LHビル千葉中央 5階- 美容クリニック・美容皮膚科・医療脱毛クリニック・美容内科・医療ダイエット・痩身クリニック・医療ダイエット・痩身クリニック / 新千葉駅から12分









すべて見る女性医療脱毛 全身+VIO 5回
¥ 44,550 (税込)女性医療脱毛 全身+VIO+顔 5回
¥ 88,110 (税込)女性医療脱毛 全身 5回
¥ 44,550 (税込)女性医療脱毛 全身+顔 5回
¥ 88,110 (税込)医療ダイエット(機械施術・内服薬・食生活改善サポート)
¥ 1,540,000 (税込)
施術メニューをもっと見るおすすめポイント
- 医師との丁寧なカウンセリングで安心脱毛
- 痛みを軽減する配慮で快適な施術
- JR千葉駅から徒歩5分で通いやすい
月,火,水,木,金,土,日,祝千葉県千葉市中央区富士見1-14-11 常盤ビル 7階 





すべて見る引用元:
HSクリニック 公式サイトアートメイク 眉
¥ 33,000 (税込)アートメイク アイライン
¥ 22,000 (税込)アートメイク リップ
¥ 55,000 (税込)アートメイク ヘアライン・生え際
¥ 55,000 (税込)アートメイク SMP
¥ 55,000 (税込)
施術メニューをもっと見るおすすめポイント
- ホクロ・シミ取り放題でコンプレックス解消
- 麻酔オプションで痛みを軽減
- JR本千葉駅から徒歩2分の好立地
月,火,木,金,土,祝千葉県千葉市中央区長洲2-3-8- 美容クリニック・美容皮膚科・美容外科(美容整形)・医療脱毛クリニック・メンズクリニック・美容内科 / 新千葉駅から8分初めての医療脱毛でしたが、丁寧な説明のおかげで安心して施術を受けることができました。- うさ



すべて見る全身脱毛プラン(女性)Aプラン:両ワキ、前腕(両ヒジ下~手首)、下腿(ヒザ下~足首)
¥ 29,700 (税込)全身脱毛プラン(女性)Bプラン:両ワキ、上腕(両ヒジ上~肩)、前腕(両ヒジ下~手首)、太もも(鼠蹊部~ヒザ上)、ヒザ小僧周り、下腿(ヒザ下~足首)
¥ 44,700 (税込)全身脱毛プラン(女性)Cプラン:両ワキ、上腕(両ヒジ上~肩)、前腕(両ヒジ下~手首)、手の甲+指、背中全体(首の付け根~腸骨上)、胸(鎖骨~胸下)、腹(胸下~へそ)、へそ下(へそ~恥骨上)、太もも(鼠蹊部~ヒザ上)、ヒザ小僧周り、足の甲+指、下腿(ヒザ下~足首)、おしり(腸骨上~臀部下)
¥ 74,700 (税込)全身脱毛(女性)両ワキ
¥ 3,600 (税込)全身脱毛(女性)腕全体(上腕・前腕・手の甲+指)
¥ 27,000 (税込)
施術メニューをもっと見る月,火,水,金,土,日,祝千葉県千葉市中央区新町4-6 石出ビル 2階 - 美容クリニック・医療脱毛クリニック / 新千葉駅から10分



すべて見るクイックプラン 全身脱毛+VIO 5回コース
¥ 79,600 (税込)クイックプラン 全身脱毛+VIO+顔 5回コース
¥ 122,000 (税込)全身脱毛
¥ 81,400 (税込)全身脱毛+VIO
¥ 114,400 (税込)全身脱毛+顔
¥ 114,400 (税込)
施術メニューをもっと見る月,火,水,木,金,土,日,祝千葉県千葉市中央区富士見2-5-3 ラ・ピエール富士見 5階 - 美容クリニック・美容皮膚科・美容外科(美容整形)・医療脱毛クリニック・AGAクリニック・美容内科・再生医療クリニック・再生医療クリニック / 新千葉駅から15分









すべて見るVISIA診察(肌画像診断)
¥ 5,500 (税込)フォトフェイシャル ステラM22
¥ 11,000 (税込)ケミカルピーリング[アクネ] アクネ用ピーリング+高濃度ビタミン導入
¥ 11,440 (税込)ケミカルピーリング
¥ 9,900 (税込)ミックスピールプラス
¥ 15,840 (税込)
施術メニューをもっと見る月,火,水,金,土,日,祝千葉県千葉市中央区春日2-21-8 喜一ビル 2F - 美容クリニック・美容皮膚科・美容外科(美容整形)・医療脱毛クリニック・AGAクリニック・メンズクリニック・レディースクリニック・美容内科・再生医療クリニック・再生医療クリニック・医療ダイエット・痩身クリニック・医療ダイエット・痩身クリニック / 新千葉駅から9分
- 美容クリニック・美容皮膚科・医療脱毛クリニック・AGAクリニック・美容内科 / 新千葉駅から4分肌が- みー









すべて見るヒアルロン酸注入
¥ 61,600 (税込)ボトックス 眉間
¥ 33,000 (税込)ボトックス 額
¥ 33,000 (税込)ボトックス 眉間+額
¥ 55,000 (税込)ボトックス 目尻(目元、目頭含む)
¥ 33,000 (税込)
施術メニューをもっと見るおすすめポイント
- HIFUで引き締め、若々しい肌を実感する
- ボトックスでシワを防ぎ、表情を明るくする
- JR千葉駅から徒歩2分の好立地
月,火,木,金,土,日,祝千葉県千葉市中央区新千葉2-2-1 新日本EXビル 5F - 美容クリニック・美容皮膚科・美容外科(美容整形)・審美歯科・医療脱毛クリニック・AGAクリニック・メンズクリニック・レディースクリニック・美容内科・再生医療クリニック・再生医療クリニック・医療ダイエット・痩身クリニック・医療ダイエット・痩身クリニック / 新千葉駅から8分



引用元:
共立美容外科 千葉院 公式サイト二重埋没法(共立式二重P-PL 挙筋法/瞼板法)
¥ 46,200 (税込)二重埋没法(自然癒着法)
¥ 69,300 (税込)二重埋没法オプション(針/薬)
二重埋没法・逆さまつげ(子供)
¥ 143,000 (税込)切らない瞼の脂肪取り(共立式シェイプ法)
¥ 184,800 (税込)
施術メニューをもっと見るおすすめポイント
- 痛みを感じずにスムーズに脱毛する
- 3回セットでお手頃な医療脱毛
- 千葉駅から徒歩3分で通いやすい
月,火,水,木,金,土,日,祝千葉県千葉市中央区新町3-7 高山ビル 6F - 美容クリニック・美容皮膚科・医療脱毛クリニック・美容内科 / 新千葉駅から12分肌を出すことに躊躇いがなくなりました!- Katsutoshi1



すべて見る医療脱毛 男性 ひげ脱毛(選べる3部位)
¥ 38,500 (税込)医療脱毛 男性 ひげ脱毛(5部位)
¥ 61,800 (税込)医療脱毛 男性 ひげ脱毛(6部位)
¥ 78,000 (税込)医療脱毛 男性 セレクト全身脱毛10部位
¥ 189,200 (税込)医療脱毛 男性 全身脱毛
¥ 206,800 (税込)
施術メニューをもっと見る月,火,水,木,金,土,日,祝千葉県千葉市中央区富士見1丁目14-11 常盤ビル 6階 - 美容クリニック・医療脱毛クリニック / 新千葉駅から9分友人から誘われ、脱毛に通い始めました。医療脱毛の方がしっかりとした効果が出やすいことから医療を選び、そのまま友人の行っていたアリシアクリニックにカウンセリングに行きました。カウンセリング時は無理な勧誘もなく、必要であると感じた部位のみ契約しましたが毎回の施術時には受付の方から若干の勧誘がありました。(しつこくはなく、キャンペーンなどの勧誘)脱毛の効果も高く、5回でほぼ無くなり7回通って8?9割ほど落ちつきました。施術時の痛みは若干ありましたが、痛みに対しては麻酔があったり施術中に都度確認をしながら照射してくださったので耐えることができました。- mi
おすすめポイント
- 医療脱毛で高い効果を実感する
- 痛みを軽減する麻酔オプションあり
- 千葉駅から徒歩5分の好立地
月,火,木,金,土,日,祝千葉県千葉市中央区新町1-20 江澤ビル 9F - 美容クリニック・美容皮膚科・美容外科(美容整形)・AGAクリニック・メンズクリニック・レディースクリニック・美容内科・再生医療クリニック・再生医療クリニック・医療ダイエット・痩身クリニック・医療ダイエット・痩身クリニック / 新千葉駅から4分



二重埋没法
¥ 11,431 (税込)二重切開法(全切開・部分切開)
¥ 58,520 (税込)他院二重抜糸 片目
¥ 10,500 (税込)挙筋前転法(クイックデカ目術)
¥ 168,000 (税込)目頭切開
¥ 58,520 (税込)
施術メニューをもっと見るおすすめポイント
- シミ取りで美肌を実感する
- ダウンタイムなしのハイフ施術で若返り
- 千葉駅から徒歩2分の好立地
月,火,水,木,金,土,日,祝千葉県千葉市中央区新千葉2-2-1 新日本EXビル 3F - 美容クリニック・美容皮膚科・美容外科(美容整形)・医療脱毛クリニック・美容内科 / 新千葉駅から6分



すべて見るおすすめポイント
- 理想の目元を叶える二重埋没法
- 手軽に小顔を実現する脂肪解溶注射
- JR千葉駅から徒歩3分の好立地
月,火,水,木,金,土,日,祝千葉県千葉市中央区新町1000番地 センシティタワー 22F - 美容クリニック・美容皮膚科・美容外科(美容整形)・AGAクリニック・メンズクリニック・レディースクリニック・美容内科・再生医療クリニック・再生医療クリニック・医療ダイエット・痩身クリニック・医療ダイエット・痩身クリニック / 新千葉駅から10分



すべて見る二重埋没法
¥ 11,431 (税込)二重切開法(全切開・部分切開)
¥ 58,520 (税込)他院二重抜糸 片目
¥ 10,500 (税込)挙筋前転法(クイックデカ目術)
¥ 168,000 (税込)目頭切開
¥ 58,520 (税込)
施術メニューをもっと見る月,火,水,木,金,土,日,祝千葉県千葉市中央区富士見2-5-15 塚本千葉第三ビルディング 5F - 美容クリニック・美容皮膚科・美容外科(美容整形)・医療脱毛クリニック・AGAクリニック・レディースクリニック・美容内科・再生医療クリニック・再生医療クリニック・医療ダイエット・痩身クリニック・医療ダイエット・痩身クリニック / 新千葉駅から5分









すべて見るスタンダードホワイトニング(オフィスホワイトニング)/ホワイトスポット治療(iCON)
¥ 19,800 (税込)プレミアムホワイトニング(オフィスホワイトニング+ホームホワイトニング)/ホームホワイトニング
¥ 25,250 (税込)セラミッククラウン(ジルコニア/プレミアムダイヤモンド/ダイヤモンドオーダー)
¥ 89,800 (税込)土台/土台除去
¥ 10,000 (税込)歯茎をキレイに整える歯肉整形(ガミースマイル治療)
¥ 42,000 (税込)
施術メニューをもっと見る月,火,水,木,金,土,日,祝千葉県千葉市中央区新千葉1-4-2 ウェストリオ2 6F - 美容クリニック・美容皮膚科・美容外科(美容整形)・医療脱毛クリニック・AGAクリニック・メンズクリニック・レディースクリニック・美容内科・再生医療クリニック・再生医療クリニック・医療ダイエット・痩身クリニック・医療ダイエット・痩身クリニック / 新千葉駅から7分親切な対応に感謝- つばき



すべて見る引用元:
サンライズ美容外科 公式サイト二重埋没法
¥ 29,000 (税込)二重切開法
¥ 109,000 (税込)目頭切開
¥ 253,000 (税込)目尻切開
¥ 209,000 (税込)目 ボトックス注入法
¥ 42,900 (税込)
施術メニューをもっと見る月,火,水,木,金,土,日千葉県千葉市中央区弁天1-15-8 サンライズ ビル 6F - 美容クリニック・美容皮膚科・美容外科(美容整形)・医療脱毛クリニック・AGAクリニック・レディースクリニック・美容内科・再生医療クリニック・再生医療クリニック・医療ダイエット・痩身クリニック・医療ダイエット・痩身クリニック / 新千葉駅から10分


二重埋没法|ナチュラルアイスレッド
¥ 79,200 (税込)二重埋没法|スタンダード二重術
¥ 50,400 (税込)抜糸
¥ 220,000 (税込)脱脂法
¥ 198,000 (税込)全切開法
¥ 440,000 (税込)
施術メニューをもっと見る水,木,金,土,日,祝千葉県千葉市中央区富士見1-2-7 千葉駅前みゆきビル 2F/3F - 美容クリニック・美容皮膚科・美容外科(美容整形)・医療脱毛クリニック・レディースクリニック・美容内科 / 新千葉駅から17分


しみ・ほくろの治療、タトゥーの除去
¥ 1,100 (税込)ほくろ、いぼ、しみの治療
¥ 2,200 (税込)フォトフェイシャル
¥ 11,000 (税込)ヒアルロン酸注入
¥ 88,000 (税込)麻酔クリーム
施術メニューをもっと見る月,火,水,木,金,土,日,祝千葉県千葉市中央区中央4-5-1 きぼーる 2F - 美容クリニック・医療脱毛クリニック / 新千葉駅から11分



すべて見る引用元:
【閉院】アリシアクリニック 千葉東口院/ 旧名:じぶんクリニック 千葉院 公式サイト
女性医療脱毛 医療脱毛シンプルコース(全身&VIO)
¥ 52,800 (税込)女性医療脱毛 医療脱毛シンプルコース(全身&VIO&全顔)
¥ 127,800 (税込)医療脱毛 オプション
チタニウムリフト 肌の引き締め
¥ 50,000 (税込)リフトアップ脱毛 肌の引き締め+脱毛
¥ 36,000 (税込)
施術メニューをもっと見る月,火,木,金,土,日,祝千葉県千葉市中央区富士見2-7-5 富士見ハイネスビル2F 


すべて見る引用元:
なのはなクリニック 公式サイト女性医療脱毛 V
¥ 5,500 (税込)女性医療脱毛 I
¥ 5,500 (税込)女性医療脱毛 O
¥ 5,500 (税込)女性医療脱毛 ワキ
¥ 3,300 (税込)女性医療脱毛 肩
¥ 5,500 (税込)
施術メニューをもっと見る月,火,水,金,土千葉県千葉市中央区亥鼻2-2-3

引用元:
ぼくらのクリニック 公式サイト男性脱毛 ヒゲ3部位
¥ 5,800 (税込)男性脱毛 顔
¥ 9,800 (税込)男性脱毛 選べる1部位
¥ 3,800 (税込)男性脱毛 VIO
¥ 19,800 (税込)男性脱毛 脇
¥ 5,800 (税込)
施術メニューをもっと見る火,水,木,金,土,日,祝千葉県千葉市中央区富士見2-3-1 塚本大千葉ビル 9階- 美容クリニック・美容皮膚科・医療脱毛クリニック・美容内科 / 新千葉駅から16分


ケミカルピーリング
¥ 5,500 (税込)ケミカルピーリング
¥ 7,700 (税込)イオン超音波導入
¥ 2,200 (税込)QスイッチYAGレーザー シミ治療
¥ 5,500 (税込)ボトックス注射
¥ 33,000 (税込)
施術メニューをもっと見る月,火,水,木,金,土千葉県千葉市中央区春日2-19-11 櫻井ビル 2F - -----美容クリニック・美容皮膚科・AGAクリニック・メンズクリニック / 新千葉駅から12分





すべて見る(FAGA)オリジナル発毛薬 リバースレディ
¥ 7,700 (税込)(FAGA)内服薬
¥ 5,200 (税込)(FAGA)ミノキジェット
¥ 33,000 (税込)(FAGA)Dr'sメソ治療
¥ 55,000 (税込)(女性)円形脱毛症治療
¥ 61,600 (税込)
施術メニューをもっと見る月,火,水,木,金,土,日,祝千葉県千葉市中央区富士見1-14-11 常盤ビル 5F - -----美容クリニック・AGAクリニック / 新千葉駅から11分




すべて見る抜け毛予防プラン
¥ 1,628 (税込)発毛促進プラン
¥ 3,300 (税込)副作用なしプラン
¥ 3,300 (税込)一般処方薬
¥ 1,628 (税込)オリジナル発毛薬-es(エス)-(抜け毛予防+発毛)
¥ 15,000 (税込)
施術メニューをもっと見る月,水,金,土,日,祝千葉県千葉市中央区富士見2-7-4 富士見ハイネスビル 3階 - -----美容クリニック・美容外科(美容整形)・メンズクリニック / 新千葉駅から6分



すべて見る包茎手術 (ナイロン糸)
¥ 79,200 (税込)包茎手術 (吸収糸)
¥ 110,000 (税込)包茎美容形成術
¥ 121,000 (税込)ブツブツ除去
¥ 55,000 (税込)
施術メニューをもっと見る水,日,祝千葉県千葉市中央区弁天1丁目1-1 アートライブステージビル 3F - -----美容クリニック・美容皮膚科・美容外科(美容整形)・医療脱毛クリニック・美容内科 / 新千葉駅から9分



すべて見るピアス
¥ 5,500 (税込)医療脱毛
¥ 3,300 (税込)シミ治療
¥ 1,100 (税込)ほくろ・いぼ除去
¥ 1,100 (税込)美容外用薬
¥ 2,200 (税込)
施術メニューをもっと見る月,火,水,金,土,日,祝千葉県長生郡一宮町一宮 10884-1 - -----美容クリニック・AGAクリニック / 新千葉駅から9分



すべて見るAGA内服治療
¥ 3,000 (税込)AGA外用治療
¥ 5,000 (税込)AGA治療 オプション(検査)
¥ 6,000 (税込)
施術メニューをもっと見る金,土,日,祝千葉県千葉市中央区富士見1-2-11 勝山ビル5階 - 永井クリニック37-----美容クリニック・美容皮膚科・医療脱毛クリニック・AGAクリニック / 新千葉駅から38分



すべて見る引用元:
永井クリニック 公式サイトQスイッチYAGレーザー
¥ 11,000 (税込)QスイッチYAGレーザー トーニング
¥ 16,500 (税込)CO2レーザー+QスイッチYAGレーザー
¥ 11,000 (税込)CO2レーザー
¥ 11,000 (税込)クリアタッチ
¥ 5,500 (税込)
施術メニューをもっと見る月,火,水,金,土千葉県千葉市稲毛区小仲台2-2-2 エヌズクアトロ6F - -----美容クリニック・AGAクリニック・美容内科 / 新千葉駅から38分



すべて見るニンニク注射
¥ 2,200 (税込)プラセンタ注射
¥ 500 (税込)AGA/FAGA内服薬
¥ 6,440 (税込)
施術メニューをもっと見る月,火,木,金,土千葉県千葉市稲毛区稲毛東1-16-11F+ビル1階 - しまだ医院39-----美容クリニック・美容皮膚科・医療脱毛クリニック・AGAクリニック・美容内科 / 新千葉駅から9分



引用元:
しまだ医院 公式サイトピアッシング 耳/軟骨など
¥ 660 (税込)ピアッシング 眉
¥ 6,050 (税込)ピアッシング 鼻
¥ 2,750 (税込)ピアッシング 舌・唇
¥ 4,950 (税込)ピアッシング へそ
¥ 4,950 (税込)
施術メニューをもっと見る月,火,水,金,土,日,祝千葉県千葉市中央区新町1-20 江澤ビル 7F - -----美容クリニック・医療脱毛クリニック / 新千葉駅から12分

メンズ医療脱毛 ヒゲ脱毛(デビュープラン)
¥ 9,900 (税込)メンズ医療脱毛 ヒゲ脱毛(3部位)鼻下・アゴ・アゴ下
¥ 15,920 (税込)メンズ医療脱毛 ヒゲ脱毛(5部位)鼻下・アゴ・アゴ下・頬・もみあげ
¥ 35,640 (税込)メンズ医療脱毛 ヒゲ脱毛(6部位)鼻下・アゴ・アゴ下・頬・もみあげ・首
¥ 39,600 (税込)メンズ医療脱毛 ヒゲ脱毛 顔全体脱毛(8部位)
¥ 47,520 (税込)
施術メニューをもっと見る月,火,水,木,金,土,日,祝千葉県千葉市中央区富士見2丁目14-6LHビル千葉中央 5階 - -----美容クリニック・美容外科(美容整形)・メンズクリニック / 新千葉駅から15分

包茎治療
¥ 33,000 (税込)男性美容形成治療
¥ 110,000 (税込)男性治療 熱処理
¥ 44,000 (税込)男性治療 癒着剥離
¥ 66,000 (税込)男性治療 シリコンボール 挿入・摘出
¥ 55,000 (税込)
施術メニューをもっと見る月,火,水,木,金,土,日,祝千葉県千葉市中央区中央3-2-2 八田ビル 4F - -----美容クリニック・審美歯科 / 新千葉駅から6分
- 美容クリニック・AGAクリニック・メンズクリニック・レディースクリニック・美容内科・医療ダイエット・痩身クリニック・医療ダイエット・痩身クリニック / 新千葉駅から7分
- -----美容クリニック / 新千葉駅から7分
- -----美容クリニック / 新千葉駅から10分
- -----美容クリニック / 新千葉駅から11分
- 岡本皮膚科47-----美容クリニック・美容皮膚科 / 新千葉駅から31分
- 美容クリニック・医療脱毛クリニック / 新千葉駅から11分
- -----美容クリニック / 新千葉駅から9分
- -----美容クリニック・美容皮膚科・美容外科(美容整形)・医療脱毛クリニック / 新千葉駅から12分月,火,水,木,金,土,日,祝千葉県千葉市中央区富士見2-8-1 エキニア千葉 6階
- -----美容クリニック / 新千葉駅から10分月,火,水,木,金,土,日,祝千葉県千葉市中央区富士見1-2-7 千葉駅前みゆきビル 2F
- -----美容クリニック・美容外科(美容整形) / 新千葉駅から8分月,火,水,木,金,土,日,祝千葉県千葉市中央区新町3-3 辰巳ビル3・4F
新千葉駅の美容クリニックでの最新口コミ・評判 (レポ)
フェイスラインがすっきりしました!
3ヶ月前もともと浮腫がひどく、エラが張っている顔でした。
お酒を飲んだ後は特にひどく、顔がぱんぱんになっていました。
いつも髪を下ろして、フェイスラインが目立たないように気を遣う日々…ある時、美容外科クリニックのテレビCMを見て、整形は特別なことではなく、ファッションのように手軽に楽しめると思うようになりました。
とはいえ、骨を削ったり、大幅に整形と分かったりする施術には抵抗もありました。
そこで、口コミが多く、実績も豊富な大手クリニックを中心に探して、比較的手軽にできる施術を調べました。
湘南美容外科は、駅近で通いやすく、名前も知っていたので、決めました。
ネットで簡単に予約できました!
当日は施術を希望していたので、ファンデーションなどは塗らずに、マスクをして行きました。
カウンセリングでは、理想のフェイスラインを中心に、予算にあったものをいくつか提示されました。
私が行った時は、全員が女性スタッフでした。
ドクターも女性が担当してくれました。その中で、気になったのが[ハイフ]です。
エステサロンの施術より、効果がありそうで、外科手術ほどハードルが高くなかったからです。施術は麻酔をしたので、特に痛くもなく、術後も違和感ありませんでした。
カウンセリングから麻酔の効果待ち、施術、アフターケアなど、全てを含めると2時間ほどかかったと思います。
料金はクレジットの分割を利用しました。
高額な詐術も多く、各種クレカの取り扱いがあります。施術後、1週間ほどで内出血も目立たなくなり、顔周りがスッキリしたように感じます。
正面から見てもラインがシャープになり、横顔もすっきりした感じになりました。
非常に高い効果を得ることができたと思います!
ただ、1回で永久的に持つわけでなく、定期的に施術を重ねることで、綺麗が保たれるので、維持費はかかりそうです。
支払金額¥300000施術日2018/05/04
マリア30代前半|女性| 3件のレポ (ガチレポ認定 3件)肌が
6ヶ月前弱く、毎日のひげ剃りが億劫で、電気シェーバーもT字のカミソリも肌に合わず、悩んでいたのでこちらのクリニックを利用いたしました。
仕事上人に会うことが多く、最低限の身だしなみが必要なのですが、どうしてもひげを剃ると肌荒れや傷などができるので思い切って脱毛しようと考えて、不安と期待を胸に予約をしました。
そして施術当日、とても緊張していましたが、受付へ行くと緊張が一気にほどけるほどに、親切な方でとても良かったです。
次にカウンセリングを事細かく行い、診察へと、看護師さん、先生も対応がとても良く、この人にならお任せできると本当に本当に思いました。
いざ施術となるとやはり緊張しましたがあっという間に終わり良かったです。
当然、一度に顔全体(ひげの生えやすいところ)を一気にできるわけではありませんが、定期的な施術で徐々に生えにくくなってきたので確実に効果を感じています。
これで肌荒れのことを考えなくて良いと思うと、自然と次の通院が待ち遠しくて楽しみになっています。
今年に入っても定期的に来院して施術をして頂いているので、効果は確実に向上しております。
それに男として、少しですが自分に自信が持てるようになってきた気がします。
彼女の評判も良く、肌を触られてスベスベだとお互い笑顔になれます。
元々ひげが濃く、毎日剃っていたので、肌に良くないのは承知していたのですが、もっと早く当院へカウンセリングを受け相談すれば良かったと後悔するほどに毎日充実した日々を送ることが出来ています。
同じような悩みを抱えてる方はぜひ相談だけでも受けていただきたく思います。
わたしにとっては通院、施術は今では生活の一部になってます。
施術日2024/12/20
みー40代後半|女性| 20件のレポ (ガチレポ認定 20件)5回のVIOでツルツルに!
7ヶ月前私は「一生自己処理から解放されたい!」と思い、医療脱毛を選びました。
特にVIOは自己処理が面倒だったので、永久脱毛できるならやるしかない!と決意。
数あるクリニックの中でもレジーナクリニックを選んだ理由は、痛みの少ない最新の脱毛機器を使っていること、料金も他院と比べてお手頃だったことが大きなポイントでした。
家から通いやすい場所にあり、予約も比較的取りやすいと聞いて、ここに決めました✨実際に通ってみると、クリニック内はとてもきれいで清潔感があり、予約制のおかげで待ち時間もほとんどなくスムーズに施術してもらえました。
スタッフさんもとても優しく、初めての医療脱毛でもリラックスして受けられました。VIO脱毛は5回コースで契約。痛みについては「輪ゴムでパチンと弾かれるような痛み」と説明され、まさにその通り!
なんとか我慢できるレベルで、もし耐えられなければ麻酔もできると言われていたので安心でした。
施術中も看護師さんが痛みを随時確認してくれて、出力を少し弱めたり「あと少しですよ」と声をかけてくれたり、細かい配慮がありがたかったです。効果は大満足で、施術後1年間くらいは本当にツルツル!触ったときの肌のなめらかさに感動したし、自己処理による肌荒れもかなり減りました。
ただ、時間が経つと少しずつ細い毛が生えてきたので、「VIOは5回だとちょっと足りないかも?」と感じました。
それでも自己処理はかなり楽になり、肌トラブルも減ったので、本当にやってよかったと心から思っています。何より、温泉や旅行に行くときに自己処理を気にしなくてよくなったのがすごく楽で、自信にもつながりました♨️✨
初めてVIO脱毛を考えている方には、レジーナクリニック、すごくおすすめです。支払金額¥94500施術日2020/07/06
mimi30代前半|女性| 4件のレポ (ガチレポ認定 4件)- 満足度が高い口コミ
効果あると思います
11ヶ月前ぼくらのクリニック千葉駅前院にて、鼻毛の脱毛を行いました。
新しめのクリニックで、少し不安もありましたが低価格でアクセスも良いことから予約をしてみることにしました。
(最近よくあるインスタの広告からクリニックを見つけました。)低価格で都度払いとても魅力的です。
予約が取りやすく、当日でも受け入れていただけることもあります。予約は、ラインでの予約が可能で、時間枠の希望を詳細に行え、今どの枠が埋まっているのか空いているのかをその時点で確認することが可能です。
よくある午前午後のみ選択して、後から空いてませんでしたってことやその時間だと個人的に難しいなってことがないためとても便利だと思います。
電話せずにいつでもスマホ一つで予約完結できることがとても良いです。初回は簡単なカウンセリングを行った後、そのまま施術をしてもらえました。
施術時間は10分少々だったと思います。
剃り残しがあれば剃毛もその場で行なっていただけるので、大変ありがたいです。
私が受けたときは、別途剃毛料金が発生することはありませんでした。施術中は声かけを行なっていただけながら、進めていくので安心感もあり、とても丁寧な印象でした。
鼻毛の照射なのですこし焦げ臭さはありますが、綿球をつめて行うので問題はありません。施術後は椅子のあるスペースで少し待つと、受付に呼ばれ、お会計です。
お会計までもそれほど待ちません。
現金払いとクレジットカード払い(タッチ決済対応)なので会計も大変スムーズです。効果も抜群にあり、2週間ほどすると抜け感があります。
一時的に照射箇所の鼻毛はなくなります。
もちろんその後少しずつ伸びてくるので、また生え揃ったさいにいくという感じです。
最短での間隔は6週間です。支払金額¥1900施術日2024/01/14
り20代後半|男性| 1件のレポ (ガチレポ認定 1件) 一気にコンプレックス解消!
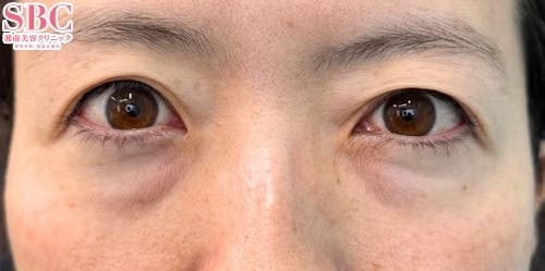
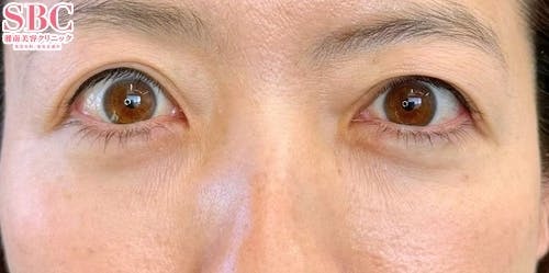
1年前Googleで千葉駅に美容クリニックが出来たと知ってずっと行ってみたいと思っていました!開院2ヶ月後に行ったのでもちろん院内は綺麗。スタッフの方も落ち着きがあってカウンセリングも施術前の声かけも優しかったです。
35歳を過ぎたあたりから顔が一気に老けた気がして、まずは目の下のクマと口周りのたるみのカウンセリングを予約。
とても親身になって頂いたカウンセリングで、私の今の悩みにはクマをとっただけでは解消されないとわかりました。
鏡を見ながらカウンセリングしていくと、気になるところがどんどん出てくる。そこでカウンセラーの『今から全部出来ますよ』の一言で決めました。
きちんと説明をして頂きましたし、不安や恐怖はあまり感じていませんでした。14時頃から静脈麻酔で眠って、目が覚めたら18時頃。起きようとすると一気に吐き気が…静脈麻酔が効き過ぎたようです。
もう病院も閉める時間になり、帰らなくちゃいけないのに動けない私にタクシー代1,500円を渡してきましたが、断って親に迎えに来てもらいました。DT中は顔を圧迫する包帯を1週間ほど巻いて、痛みがあれば鎮痛剤、あとは抗生物質が処方されました。
暫くは顔がパンパン。1週間を過ぎたあたりから口周りと頬の辺りが赤紫から黄色っぽく変わっていくと同時に顔がスッキリしてきました。
目の下のクマにコンシーラーをする必要もなくなったし、口周りのもたつきや顎下がかなりすっきりしました。
ヒアルロン酸や脂肪の注入系はあまり効果を感じませんでしたが全体的にはやって良かったと思います。今でもおでこの丸みや顎のラインを褒められる事があります。
でも100万以上かけても満足する事は出来ず、この施術をきっかけに美容医療にどハマりしました。担当医大西 雅樹 院長 先生支払金額¥1200000施術日2022/12/15
まな40代前半|女性| 6件のレポ (ガチレポ認定 6件)肌を出すことに躊躇いがなくなりました!
1年前コンプレックスを解消したい全身毛深いことがコンプレックスで、子供の頃からずっと気にしていました。手始めにヒゲだけ別の脱毛エステで施術してもらったのですが、30万円払った割りに期待した効果はなく落胆。そこからまた色々調べると医療脱毛が効果的とのことで、あらゆる脱毛関係の記事の中から口コミ評価が高かった、メンズエミナルを選びました。
カウンセリングで安心感を得るカウンセリングで、どこのパーツを何回のコースでやるかなどのヒアリング。あとは医療脱毛ということで、アレルギーの有無、現在飲んでいる薬、病気のことなど、健康診断を受ける前くらいの確認があります。
カウンセリングしてくれたお兄さんは非常に感じが良く、こちらの不安や悩みを察して色々提案してくれたりして、非常に良心的な印象でした。私は全身の中から10か所を選んで脱毛でき、10回通えるコースを選択しました。それが約60万円くらいです。肝心の施術ですが、まず準備が大変です。というのも、施術前に脱毛する箇所を事前に剃っておく必要があり、私は毛量が多いので大変でした。特にお尻の穴周辺は見えないし剃りずらいしで苦労します。ちなみに事前に処理を怠ると、一か所につき1000円取られるそうです。あと施術をするのが大体女性なので、男からすると結構恥ずかしいです。最初に「慣れますよ」と言われましたが、私は最後まで抵抗がありました。
そしてレーザーを当てた時の痛みですが、腕や足はまだ耐えられるレベルですが、ヒゲやお尻は尋常じゃなく痛いです。これは麻酔必須です。麻酔にお金がかかるクリニックもあるそうですが、メンズエミナルは麻酔無料なので有難いですね。麻酔なしでは多分耐えられません。施術後は肌が赤くなったりしますが、痛みが残ることはありませんでした。
約2年かけて10回通った結果、全身のムダ毛はほとんど目立たなくなり、満足のいく仕上がりになりました。今のところ、また生えてくるということもありません。今はなんの躊躇いもなく半ズボンも履けるし、胸元が開いた服も着れるようになりました。毛の処理に時間を奪われることもなくなり、非常に快適です。毛のない体ってこんなに清々しいのかと驚きました。
結果には非常に満足していますが、やはり料金が高額なこと、事前の毛の処理が大変なこと、施術するのがほぼ女性だったことがネックなので、評価は4としました。支払金額¥600000施術日2021/06/10
Katsutoshi130代後半|男性| 1件のレポ (ガチレポ認定 1件)ヒゲ剃りの煩わしさから解放されました
ヒゲ脱毛1年前ヒゲ脱毛を決意した理由私は昔からヒゲが濃くて、カミソリで朝剃っても午後にはもう目立つ形でヒゲが生えて来るという有様でした。なので商談ある時等は、その直前に再度ヒゲを剃るという手間が掛かっていたのです。しかも年齢と共に肌が敏感になり、1日に2度以上もヒゲ剃りすると肌荒れするという状態に陥ったのです。そこで濃いヒゲを何とかせねばと考え、思い切ってヒゲ脱毛をしてみる事にしました。
ゴリラクリニックとの出会い当時、脱毛経験がなかった私は、何の知識もなかったので、ネットであれこれ調べ、まずは脱毛効果が高い、医療脱毛を行う事にしたのです。更に私は、男の私が脱毛の施術を受けに行くという事に気恥ずかしさを覚えていました。なので男性専用の脱毛クリニックが良いと考え、再びネットで探し続けた結果、行き着いたのがゴリラクリニックだったのです。ゴリラクリニックの千葉院であれば、自宅から比較的近い場所にあるので通い易い上に、厳つい名前からし男性専用だと分かり易いため、利用し易いと考えました。
こうして通い始めたのですが、院内は落ち着いた雰囲気で清潔感もあり、スタッフの方も親切かつ丁寧な対応で好感が持てたのです。肝心の施術の方ですが、正直言って最初に施術を受けた時は、予想以上に痛くて驚きました。それこそ当初は、思わず歯を食い縛ってしまう位の痛さを覚えましたが、2回目以降は施術は痛いという心構えがしっかり出来たのか、幾分慣れたのか痛いのは痛いのですが初回程ではなくなって行きました。しかも施術自体は丁寧で、気遣いながら丁寧に行って貰えたのでその点は、安心感があったのです。
施術の効果の方は、施術を受ける毎に劇的に変化するのではなく、徐々にヒゲが生える間隔が長くなって行った感じでした。そうして予定通り、12回の施術を受けた所でだいぶヒゲも薄くなったので、私はそこで施術完了させたのです。施術的には満足していますが、一つ不満があったのが思う様に予約が取れない事でした。特に週末はかなり混んでいるのか、全然予約が取れず何とか平日に時間を作って通うという状態だった点は、唯一の残念ポイントと言えます。
支払金額¥100,000
ライオネル50代前半|男性| 1件のレポ (ガチレポ認定 1件)腫れずに自然な二重に
二重埋没法1年前カウンセリングはあっさりとしていましたが、デザインの確認や下書きは丁寧にしてくれました。施術中はひっぱられたりする感覚はありましたが、麻酔がちゃんと効いていたので痛みはありませんでした。体感時間は5分とあっという間です。施術後4日目のダウンタイム真っ只中に仕事に行きましたが全く人に気づかれないほど腫れず、デザインも自然な感じでお願いしたので自己申告するまで周りにバレませんでした(笑)値段は大手などに比べるとお高めかもしれません。ですが埋没経験者からも術後がきれいすぎる!と褒めてもらえたので、とにかく自然にしたくて周りにもバレたくない人にはすごくおすすめしたいです。
支払金額¥215,000
ももも30代前半|女性| 1件のレポ- 医療脱毛1年前
友人から誘われ、脱毛に通い始めました。
医療脱毛の方がしっかりとした効果が出やすいことから医療を選び、そのまま友人の行っていたアリシアクリニックにカウンセリングに行きました。
カウンセリング時は無理な勧誘もなく、必要であると感じた部位のみ契約しましたが毎回の施術時には受付の方から若干の勧誘がありました。(しつこくはなく、キャンペーンなどの勧誘)
脱毛の効果も高く、5回でほぼ無くなり7回通って8?9割ほど落ちつきました。
施術時の痛みは若干ありましたが、痛みに対しては麻酔があったり施術中に都度確認をしながら照射してくださったので耐えることができました。
mi20代後半|女性| 1件のレポ - 満足度が高い口コミ
親切な対応に感謝
目頭切開1年前カウンセリングでの安心感Googleで近所のところ、と思って目頭切開で事前にカウンセリング予約をネットから行いました。
施術の流れと仕上がり
中は薄暗く、受付のナースさん、先生ともに外国の方でした。
日本語はお二人ともお上手でした。
日本の先生しかコミュニケーションをとったことがなく最初は不安でしたが、カウンセリングはどこよりも丁寧に行ってくださいました。ダウンタイムがとれないため片目ずつ施術していただくことも快く了承してくれました。
予約をしたその日にお支払いをしてその日中に片目を切開しました。
とくに割引や大手によくあるこの日に支払わないとダメとかいうこともなく、明朗会計でした。20万を支払っていざ施術。
まず先生から「大丈夫?緊張してる?こわくないよー、絶対可愛くするからネ」といっていただき、ナースさんも私の手を握ってくださりました。
正直、整形もたくさんやってきたのでそこまで恐怖もなかったのですが2人の優しさにとても感謝しました。マーキングのときも私の元の目は丸目ですこし離れている、目頭切開は後戻りしやすいから全体のバランスをみて3ミリずつ切るのはどう?と具体的に提案いただきそうしてもらいました。
局部麻酔だったので意識はありましたが痛みはありません。
術後も縫い玉があってすこし引っ張られている違和感はありますが痛みはなく大きめの目ヤニがずっとある、くらいの感覚でした。
抗生物質も処方していただき帽子を被り帰宅。直後のアザも薄かったです。
もらった抗生物質を飲むと副作用で湿疹を発症しました。
これは飲む前に私が光線過敏症であることを伝えていなかったので処方したほうに落ち度はありません。
電話で相談したところ使用を中止していいと回答をもらいました。1週間片目を眼帯で過ごしたのちに抜糸&もう片目の施術をおこないました。
仕上がりに関しては抜糸も痛みがなく傷もあざもなかったです。すこし赤みはありました。両目が終わり数年経ちますが本当に満足しています。
各3mmずつ綺麗にしてもらい整形を知っている友人からはすごくいい!と言ってもらえるし、整形を知らない友達にカミングアウトしたらなんか可愛くなったと思ったけど目頭なのか!自然できれいだからわからなかったとも反応がありました。
自ら言わなきゃ人に指摘されることはなく、目はとにかく褒めてもらえることの方が多いです。支払金額¥200,000施術日2019/04/20
つばき30代前半|女性| 5件のレポ (ガチレポ認定 3件)
新千葉駅の美容クリニックについてよくある質問
新千葉駅には、美容クリニックは何件ありますか?
新千葉駅には、症例写真は何件ありますか?
新千葉駅で最も施術メニューが豊富な美容クリニックはどこですか?
新千葉駅で最も口コミが投稿されている美容クリニックはどこですか?
新千葉駅で評判が高い美容クリニックの医師は?





























