おすすめメンズクリニックTOP20|評判の良いクリニックを口コミ・料金・人気で比較
全国のメンズクリニックをまとめました。 全国にはメンズクリニックは2,319件あり、平均レビューは4.2点、投稿されたレビュー数は22,888件となっています。 人気のメンズクリニックは、「PRISM Beauty Clinic 町田院(プリズムビューティークリニック)(口コミ60件)」「GRACY TOKYO CLINIC(グレイシー東京クリニック)(口コミ33件)」などが挙げられます。 施術メニュー・金額としては「脂肪吸引クイック (クイック脂肪吸引注射)(¥24,500)」「ジュベルック注射 3㏄(¥29,800)」「リポットレーザー(¥49,500)」「ポテンツァ ドラッグデリバリー | マックーム | VISIA付き(¥29,800)」などがあります。 クリニックを選ぶ際は、アクセスの良さ・通いやすさや、アフターケアの体制を確認することが重要です。メンズクリニックをオンライン予約し、プロの医師のカウンセリングを受け、あなたにぴったりの施術を選びましょう。
「神症例」とはキレイレポが認定した症例です。全クリニックを対象としていますが、プロモート掲載クリニックは必ず1つ選定しています。
- 美容クリニック・美容皮膚科・美容外科(美容整形)・AGAクリニック・メンズクリニック・レディースクリニック・美容内科・医療ダイエット・痩身クリニック・医療ダイエット・痩身クリニック / 小田急小田原線 町田駅 徒歩3分 JR横浜線 町田駅 徒歩3分綺麗になりました- あみこ









すべて見る- ピックアップ
脂肪吸引クイック (クイック脂肪吸引注射)
¥ 24,500 (税込) - ピックアップ
ジュベルック注射 3㏄
¥ 29,800 (税込) - ピックアップ
ヒアルロン酸注射
¥ 9,800 (税込) - ピックアップ
スネコス注射 1cc
¥ 9,800 (税込) - ピックアップ
美人レーザー(MIINレーザー)|レーザートーニング
¥ 9,800 (税込)
施術メニューをもっと見る直近のご予約可能な日金土日月火水木5TEL67891011おすすめポイント
- ダウンタイムが最小限の脂肪吸引クイック
- お得に美容皮膚科治療を受けられる「肌育クラブ」
- 駅チカで通いやすい!町田駅徒歩3分
月,火,水,木,金,土,日,祝東京都町田市原町田6丁目21-32 Machida ex 4階 リポットレーザー・ピンクグロー・ジュベルックなどが好評
美容クリニック・美容皮膚科・美容外科(美容整形)・メンズクリニック・レディースクリニック・美容内科・再生医療クリニック・再生医療クリニック・医療ダイエット・痩身クリニック・医療ダイエット・痩身クリニック / 表参道駅 A2出口より徒歩7分 (銀座線 半蔵門線 千代田線)長年のシミの悩み…「1回で終わる治療」を求めて- YUKIKO43



すべて見る- ピックアップ
リポットレーザー
¥ 49,500 (税込) - ピックアップ
ポテンツァ ドラッグデリバリー | マックーム | VISIA付き
¥ 29,800 (税込) - ピックアップ
ポテンツァ ドラッグデリバリー|マックーム & ジュベルック|モニター価格
¥ 38,600 (税込) - ピックアップ
ポテンツァ ドラッグデリバリー | マックーム & リジュラン | VISIA付き
¥ 38,600 (税込) - ピックアップ
ジュベルック
¥ 29,800 (税込)
施術メニューをもっと見るおすすめポイント
- 新しいシミ取り「リポットレーザー」導入!
- 経験豊富な医師によるデザイン重視の糸リフト
- 表参道駅から徒歩圏内!通いやすい好立地
月,火,水,木,金,土,日,祝東京都渋谷区神宮前3-4-7 エルム青山 2F-A- 美容クリニック・美容皮膚科・美容外科(美容整形)・医療脱毛クリニック・AGAクリニック・メンズクリニック・レディースクリニック・美容内科・再生医療クリニック・再生医療クリニック・医療ダイエット・痩身クリニック・医療ダイエット・痩身クリニック / JR品川駅「港南口」徒歩約3分 京急品川駅「高輪口」徒歩約5分









すべて見るフォトシルクプラス(顔)
¥ 8,640 (税込)フォトシルクプラス(手の甲)
¥ 1,300 (税込)レーザートーニング(メドライトC6)全顔
¥ 5,190 (税込)コラーゲンピール(全顔)
¥ 10,800 (税込)コラーゲンピール(その他部位)
¥ 10,800 (税込)
施術メニューをもっと見るおすすめポイント
- 特別なヒアルロン酸で目元を若返らせる
- 無料カウンセリングで安心の施術選び
- 品川駅から徒歩3分の好立地
月,火,水,木,金,土,日,祝東京都港区港南2-5-3 オリックス品川ビル 6F - 美容クリニック・美容皮膚科・美容外科(美容整形)・医療脱毛クリニック・AGAクリニック・メンズクリニック・レディースクリニック・美容内科・医療ダイエット・痩身クリニック・医療ダイエット・痩身クリニック / JR宇都宮駅西口徒歩1分









すべて見る二重埋没法
¥ 43,780 (税込)二重埋没法
¥ 173,800 (税込)二重埋没|自然癒着法
¥ 195,800 (税込)二重埋没|自然癒着法
¥ 173,800 (税込)二重全切開
¥ 437,800 (税込)
施術メニューをもっと見る月,火,水,木,金,土,日,祝栃木県宇都宮市駅前通り1-4-6 西口ビル5F - 美容クリニック・美容皮膚科・美容外科(美容整形)・AGAクリニック・メンズクリニック・レディースクリニック・美容内科・医療ダイエット・痩身クリニック・医療ダイエット・痩身クリニック / 広島電鉄「本通駅」徒歩2分 広島バス「本通り」徒歩2分









すべて見る二重埋没法
¥ 41,580 (税込)二重埋没法抜糸|自院
¥ 5,775 (税込)二重埋没法抜糸|他院
¥ 10,395 (税込)目の上のたるみ取り(上眼瞼除皺術)/まぶたの脂肪取りパーフェクト両/
¥ 58,520 (税込)二重切開法
¥ 58,520 (税込)
施術メニューをもっと見るおすすめポイント
- 安心のカウンセリングで理想の目元を実現
- 学生にも優しいリーズナブルな価格設定
- 駅から徒歩5分のアクセス便利な立地
月,火,水,木,金,土,日,祝広島県広島市中区本通4-7 3F - 美容クリニック・美容皮膚科・美容外科(美容整形)・審美歯科・医療脱毛クリニック・AGAクリニック・メンズクリニック・レディースクリニック・美容内科・再生医療クリニック・再生医療クリニック・医療ダイエット・痩身クリニック・医療ダイエット・痩身クリニック / ・東京メトロ丸の内線西新宿駅直結 ・JR新宿駅西口徒歩10分 ・都営地下鉄大江戸線都庁前駅徒歩5分顔のトーンが明るくなりました。- POKE









すべて見る二重埋没法
¥ 29,880 (税込)二重埋没法(自然癒着法)
¥ 54,600 (税込)自然癒着セット(上眼瞼脱脂)
¥ 55,270 (税込)SBCデカ目術/切らないまぶたのリフトアップ
¥ 116,320 (税込)切る二重術(切開法)
¥ 250,000 (税込)
施術メニューをもっと見るおすすめポイント
- 西新宿駅直結で通いやすい
- 短時間で効果を実感できる施術
- 新宿駅から徒歩10分の好立地
月,火,水,木,金,土,日,祝東京都新宿区西新宿6-5-1 新宿アイランドタワー 24F - 美容クリニック・美容皮膚科・美容外科(美容整形)・医療脱毛クリニック・AGAクリニック・メンズクリニック・レディースクリニック・美容内科・再生医療クリニック・再生医療クリニック・医療ダイエット・痩身クリニック・医療ダイエット・痩身クリニック / 地下鉄南北線さっぽろ駅より徒歩3分 JR札幌駅南口より徒歩5分憧れの陶器肌になれました!- marino









すべて見るフォトシルクプラス(顔)
¥ 8,640 (税込)フォトシルクプラス(手の甲)
¥ 1,300 (税込)レーザートーニング(メドライトC6)全顔
¥ 5,190 (税込)コラーゲンピール(全顔)
¥ 10,800 (税込)コラーゲンピール(その他部位)
¥ 10,800 (税込)
施術メニューをもっと見るおすすめポイント
- 医療ハイフで小顔を実現する
- 安心のカウンセリングで納得の施術
- 札幌駅から徒歩5分の好立地
月,火,水,木,金,土,日,祝北海道札幌市中央区北4条西5-1 アスティ45ビル 2F - 美容クリニック・美容皮膚科・美容外科(美容整形)・医療脱毛クリニック・AGAクリニック・メンズクリニック・レディースクリニック・美容内科・再生医療クリニック・再生医療クリニック・医療ダイエット・痩身クリニック・医療ダイエット・痩身クリニック / JR山手線/渋谷駅(ハチ公口)より徒歩5分長年の悩みが解消された!- ゆっきー









すべて見る経結膜脱脂術(単独)
¥ 242,000 (税込)下眼瞼皮膚切開たるみ取り(単独)
¥ 297,000 (税込)経結膜脱脂術+眼窩脂肪注入術/経結膜脱脂術+下眼瞼皮膚切開たるみ取り
¥ 275,000 (税込)経結膜脱脂術+マイクロコンデンスリッチファット(マイクロCRF)目の下 中顔面注入術
¥ 495,000 (税込)経結膜脱脂術+マイクロコンデンスリッチファット(マイクロCRF)目の下 中顔面・ほうれい線注入術
¥ 528,000 (税込)
施術メニューをもっと見るおすすめポイント
- ニキビ跡やしみを改善するポテンツァ施術
- 脇汗を抑えるボトックス注射で快適に
- 渋谷駅から徒歩5分のアクセス良好
月,火,水,木,金,土,日,祝東京都渋谷区宇田川町33-8 塚田ビル 5F
- 美容クリニック・美容皮膚科・美容外科(美容整形)・審美歯科・医療脱毛クリニック・AGAクリニック・メンズクリニック・レディースクリニック・美容内科・再生医療クリニック・再生医療クリニック・医療ダイエット・痩身クリニック・医療ダイエット・痩身クリニック / JR渋谷駅 ハチ公口より 徒歩3分









すべて見る二重埋没法
¥ 29,880 (税込)二重埋没法(自然癒着法)
¥ 54,600 (税込)自然癒着セット(上眼瞼脱脂)
¥ 55,270 (税込)SBCデカ目術/切らないまぶたのリフトアップ
¥ 116,320 (税込)切る二重術(切開法)
¥ 250,000 (税込)
施術メニューをもっと見るおすすめポイント
- 短時間で実感!即効性のある美容施術
- リーズナブルな価格で充実のメニュー
- JR渋谷駅から徒歩3分の好立地
月,火,水,木,金,土,日,祝東京都渋谷区宇田川町20-11 渋谷三葉ビル 5階 - 美容クリニック・美容皮膚科・美容外科(美容整形)・医療脱毛クリニック・メンズクリニック・レディースクリニック・美容内科・再生医療クリニック・再生医療クリニック・医療ダイエット・痩身クリニック・医療ダイエット・痩身クリニック / JR横浜線小田急線 町田駅徒歩5分







すべて見るカスタマイズ治療
¥ 38,500 (税込)肌診断撮影(VISIA)
¥ 2,200 (税込)ルナトックス
グリコール酸ピーリング
¥ 11,000 (税込)サリチル酸ピーリング
¥ 16,500 (税込)
施術メニューをもっと見るおすすめポイント
- 眉間のシワを5分で解消するボトックス施術
- 顔のホクロを24カ所一度に除去
- 町田駅から徒歩5分のアクセス便利なクリニック
月,火,木,金,土,日,祝東京都町田市原町田6-21-26 フォーラム町田 4F - 美容クリニック・美容皮膚科・美容外科(美容整形)・医療脱毛クリニック・AGAクリニック・メンズクリニック・レディースクリニック・美容内科・再生医療クリニック・再生医療クリニック・医療ダイエット・痩身クリニック・医療ダイエット・痩身クリニック / JR大阪駅「中央改札口」徒歩約7分 JR北新地駅「東改札口」徒歩約5分 阪神梅田駅「D-28出口」徒歩約5分 阪急梅田駅「中央改札口」徒歩約10分 地下鉄御堂筋線梅田駅 「南改札口」徒歩約5分 地下鉄谷町線東梅田駅「9番出口」徒歩約3分 地下鉄四つ橋線西梅田駅「7~10番出口」徒歩約5分顎の梅干し皺が消えました!- みみこ









すべて見るフォトシルクプラス(顔)
¥ 8,640 (税込)フォトシルクプラス(手の甲)
¥ 1,300 (税込)レーザートーニング(メドライトC6)全顔
¥ 5,190 (税込)コラーゲンピール(全顔)
¥ 10,800 (税込)コラーゲンピール(その他部位)
¥ 10,800 (税込)
施術メニューをもっと見るおすすめポイント
- ニキビ改善に特化したイソトレチノイン治療
- 痛みを配慮したソノクイーン施術で引き締め
- JR大阪駅から徒歩約7分の好立地
月,火,水,木,金,土,日,祝大阪府大阪市北区梅田1-11-4 大阪駅前第4ビル 6F - 美容クリニック・美容皮膚科・美容外科(美容整形)・医療脱毛クリニック・AGAクリニック・メンズクリニック・レディースクリニック・美容内科・再生医療クリニック・再生医療クリニック・医療ダイエット・痩身クリニック・医療ダイエット・痩身クリニック / JR新宿駅「南口」徒歩約3分 京王線新宿駅4番出口徒歩1分 地下鉄都営【新宿線/大江戸線】新宿駅4番出口徒歩1分



フォトシルクプラス(顔)
¥ 8,640 (税込)フォトシルクプラス(手の甲)
¥ 1,300 (税込)レーザートーニング(メドライトC6)全顔
¥ 5,190 (税込)コラーゲンピール(全顔)
¥ 10,800 (税込)コラーゲンピール(その他部位)
¥ 10,800 (税込)
施術メニューをもっと見るおすすめポイント
- 初めてでも安心!プチしわ取りで若々しさを取り戻す
- 毛穴改善に効果的!ダーマペン4で肌質向上
- 新宿駅南口から徒歩3分!通いやすい立地
月,火,水,木,金,土,日,祝東京都渋谷区代々木2-9-2 久保ビル B2 - 美容クリニック・美容皮膚科・美容外科(美容整形)・医療脱毛クリニック・AGAクリニック・メンズクリニック・レディースクリニック・美容内科・再生医療クリニック・再生医療クリニック・医療ダイエット・痩身クリニック・医療ダイエット・痩身クリニック / JR恵比寿駅 西口改札 徒歩4分 日比谷線恵比寿駅 5番出口 徒歩1分 代官山駅 中央改札東口出口 徒歩5分ナチュラルに垢抜け- りり









すべて見るクマ取り・目の下のたるみ(クマ治療) 経結膜脱脂法
¥ 198,000 (税込)クマ取り・目の下のたるみ(クマ治療) 経結膜脱脂法+コンデンスリッチ注入
¥ 498,000 (税込)クマ取り・目の下のたるみ(クマ治療) クマ取りフルコース (経結膜脱脂法+脂肪注入2種(コンデンスリッチ+マイクロナノファット))
¥ 648,000 (税込)切開ハムラ法・裏ハムラ法
¥ 498,000 (税込)裏ハムラ+マイクロナノファット(目の下)
¥ 748,000 (税込)
施術メニューをもっと見るおすすめポイント
- シミ治療は5回コースで確実に改善
- 痛みを軽減した毛穴治療で自信を取り戻す
- 恵比寿駅から徒歩4分のアクセス便利なクリニック
月,火,水,木,金,土,日,祝東京都渋⾕区恵⽐寿南3丁⽬1-1 恵比寿グリーングラス 3階 - 美容クリニック・美容皮膚科・美容外科(美容整形)・メンズクリニック・美容内科・再生医療クリニック・再生医療クリニック・医療ダイエット・痩身クリニック・医療ダイエット・痩身クリニック / JR新宿駅東口から徒歩3分 東京メトロ新宿三丁目駅B7出口から徒歩1分メス無しで理想の唇に!- ぴー



すべて見る引用元:
ベンスクリニック新宿 公式サイトダーマペン
¥ 6,490 (税込)ポンピングポテンツァ
¥ 6,490 (税込)ポテンツァ
¥ 10,890 (税込)アグネスポテンツァ
¥ 2,090 (税込)ポテンツァ(ダイヤモンドリフティング)
¥ 10,890 (税込)
施術メニューをもっと見る月,火,水,木,金,土,日,祝東京都新宿区新宿3-26-18 - 美容クリニック・美容皮膚科・美容外科(美容整形)・審美歯科・医療脱毛クリニック・AGAクリニック・メンズクリニック・レディースクリニック・美容内科・再生医療クリニック・再生医療クリニック・医療ダイエット・痩身クリニック・医療ダイエット・痩身クリニック / 有楽町線 銀座一丁目駅 7番出口 徒歩1分 銀座線 京橋駅 3番出口 徒歩1分 銀座線・丸の内線・日比谷線 銀座駅 A9番出口 徒歩6分 JR有楽町駅 徒歩7分糸リフトだけじゃ微妙かも- まき









すべて見るクマ取り・目の下のたるみ(クマ治療) 経結膜脱脂法
¥ 198,000 (税込)クマ取り・目の下のたるみ(クマ治療) 経結膜脱脂法+コンデンスリッチ注入
¥ 498,000 (税込)クマ取り・目の下のたるみ(クマ治療) クマ取りフルコース (経結膜脱脂法+脂肪注入2種(コンデンスリッチ+マイクロナノファット))
¥ 648,000 (税込)切開ハムラ法・裏ハムラ法
¥ 498,000 (税込)裏ハムラ+マイクロナノファット(目の下)
¥ 748,000 (税込)
施術メニューをもっと見る月,火,水,木,金,土,日,祝東京都中央区銀座1-2-4 サクセス銀座ファーストビル 8F - 美容クリニック・美容皮膚科・美容外科(美容整形)・AGAクリニック・メンズクリニック・美容内科・医療ダイエット・痩身クリニック・医療ダイエット・痩身クリニック / ・新宿三丁目駅:徒歩で約1分 ・新宿御苑前:徒歩で約6分 ・新宿駅:徒歩で約8分輪郭がシュッとしました!- あや



すべて見る- ピックアップ
インモードリフティング
¥ 13,000 (税込) - ピックアップ
ほくろ・いぼ除去|CO2レーザー
¥ 2,000 (税込) - ピックアップ
ララピール
¥ 5,000 (税込) - ピックアップ
ピコトーニング
¥ 5,000 (税込) - ピックアップ
医療脱毛 男女|脇
¥ 5,000 (税込)
施術メニューをもっと見るおすすめポイント
- 圧倒的なインモード症例数
- 通いやすい価格設定
- 好アクセス&夜まで営業
月,火,水,木,金,土,日,祝東京都新宿区新宿二丁目12番8号 ACN新宿ビル 8階 - 美容クリニック・美容皮膚科・美容外科(美容整形)・審美歯科・医療脱毛クリニック・AGAクリニック・メンズクリニック・レディースクリニック・美容内科・再生医療クリニック・再生医療クリニック・医療ダイエット・痩身クリニック・医療ダイエット・痩身クリニック / 東横線・JR横浜駅 徒歩3分 相鉄線、地下鉄横浜駅 徒歩5分顔がシュッとしました- s









すべて見る二重埋没法
¥ 29,880 (税込)二重埋没法(自然癒着法)
¥ 54,600 (税込)自然癒着セット(上眼瞼脱脂)
¥ 55,270 (税込)SBCデカ目術/切らないまぶたのリフトアップ
¥ 116,320 (税込)切る二重術(切開法)
¥ 250,000 (税込)
施術メニューをもっと見るおすすめポイント
- ボトックスでシワを軽減し、肩こりも改善する
- 横浜駅から徒歩3分で通いやすい
- リーズナブルな価格で高品質な施術を提供
月,火,水,木,金,土,日,祝神奈川県横浜市神奈川区鶴屋町2-23-2 TSプラザビル 3F - 美容クリニック・美容皮膚科・美容外科(美容整形)・審美歯科・医療脱毛クリニック・AGAクリニック・メンズクリニック・レディースクリニック・美容内科・再生医療クリニック・再生医療クリニック・医療ダイエット・痩身クリニック・医療ダイエット・痩身クリニック / ・JR大阪駅より徒歩3分 ・阪急梅田駅より徒歩1分 ・御堂筋線梅田駅より徒歩3分 ・谷町線東梅田駅より徒歩5分 ・阪神梅田駅より徒歩5分自然な二重に!- naagii









すべて見る二重埋没法
¥ 29,880 (税込)二重埋没法(自然癒着法)
¥ 54,600 (税込)自然癒着セット(上眼瞼脱脂)
¥ 55,270 (税込)SBCデカ目術/切らないまぶたのリフトアップ
¥ 116,320 (税込)切る二重術(切開法)
¥ 250,000 (税込)
施術メニューをもっと見るおすすめポイント
- 短時間で美肌を実感する施術
- 安心のカウンセリングで悩み解消
- JR大阪駅から徒歩3分の好立地
月,火,水,木,金,土,日,祝大阪府大阪市北区茶屋町1‐27 ABCマート梅田ビル 6階 - 美容クリニック・美容皮膚科・美容外科(美容整形)・医療脱毛クリニック・AGAクリニック・メンズクリニック・レディースクリニック・美容内科・再生医療クリニック・再生医療クリニック・医療ダイエット・痩身クリニック・医療ダイエット・痩身クリニック / JR渋谷駅 「ハチ公改札」徒歩約1分笑顔に自信が持てるように✨- らむね



すべて見るフォトシルクプラス(顔)
¥ 8,640 (税込)フォトシルクプラス(手の甲)
¥ 1,300 (税込)レーザートーニング(メドライトC6)全顔
¥ 5,190 (税込)コラーゲンピール(全顔)
¥ 10,800 (税込)コラーゲンピール(その他部位)
¥ 10,800 (税込)
施術メニューをもっと見るおすすめポイント
- 個別対応で安心!そばかすレーザー治療
- 短時間で効果実感!エラのボトックス
- 渋谷駅から徒歩1分!アクセス抜群
月,火,水,木,金,土,日,祝東京都渋谷区道玄坂2-3-2 大外ビル 9F - 美容クリニック・美容皮膚科・美容外科(美容整形)・医療脱毛クリニック・メンズクリニック・レディースクリニック・美容内科・再生医療クリニック・再生医療クリニック・医療ダイエット・痩身クリニック・医療ダイエット・痩身クリニック / Osaka Metro御堂筋線 心斎橋駅6番出口より 徒歩5分 Osaka Metro堺筋線・長堀鶴見緑地線 長堀橋駅7番出口より 徒歩2分



MT埋没法/ブリッジ法
¥ 52,800 (税込)二重脱脂法
¥ 66,000 (税込)自然癒着法
¥ 129,800 (税込)マイクロ切開法
¥ 198,000 (税込)二重全切開法
¥ 275,000 (税込)
施術メニューをもっと見るおすすめポイント
- 全身脱毛6回コースでムダ毛を徹底ケア
- 自然な二重を実現する埋没法
- 心斎橋駅から徒歩5分の好立地
月,火,水,木,金,土,日,祝大阪府大阪市中央区東心斎橋1-7-30 21 心斎橋ビル 8F - 美容クリニック・美容皮膚科・美容皮膚科・美容外科(美容整形)・美容外科(美容整形)・AGAクリニック・AGAクリニック・メンズクリニック・メンズクリニック・レディースクリニック・レディースクリニック・美容内科・美容内科・医療ダイエット・痩身クリニック・医療ダイエット・痩身クリニック / 錦糸町駅 徒歩2分









すべて見る二重埋没法
¥ 41,580 (税込)二重埋没法抜糸|自院
¥ 5,775 (税込)二重埋没法抜糸|他院
¥ 10,395 (税込)目の上のたるみ取り(上眼瞼除皺術)/まぶたの脂肪取りパーフェクト両/
¥ 58,520 (税込)二重切開法
¥ 58,520 (税込)
施術メニューをもっと見る月,火,水,木,金,土,日,祝東京都墨田区江東橋3丁目8−11 おいてけ堀MSMビル 9F - 美容クリニック・美容皮膚科・美容外科(美容整形)・審美歯科・医療脱毛クリニック・AGAクリニック・メンズクリニック・レディースクリニック・美容内科・再生医療クリニック・再生医療クリニック・医療ダイエット・痩身クリニック・医療ダイエット・痩身クリニック / JR池袋駅東口 徒歩1分自身が持てる二重になれました!- にゃんにゃんこ









すべて見る二重埋没法
¥ 29,880 (税込)二重埋没法(自然癒着法)
¥ 54,600 (税込)自然癒着セット(上眼瞼脱脂)
¥ 55,270 (税込)SBCデカ目術/切らないまぶたのリフトアップ
¥ 116,320 (税込)切る二重術(切開法)
¥ 250,000 (税込)
施術メニューをもっと見るおすすめポイント
- 顔の脂肪吸引で小顔を実現する
- ヒアルロン酸注入で理想の鼻筋を手に入れる
- 池袋駅から徒歩1分のアクセス便利な立地
月,火,水,木,金,土,日,祝東京都豊島区南池袋1-19-6 オリックス池袋ビル 2F - 美容クリニック・美容皮膚科・美容外科(美容整形)・医療脱毛クリニック・メンズクリニック・レディースクリニック・美容内科・医療ダイエット・痩身クリニック・医療ダイエット・痩身クリニック / JR渋谷駅、京王井の頭線渋谷駅直結 渋谷マークシティー内メイクノリのいい元気肌に!- miku


女性医療脱毛 全身脱毛
¥ 19,800 (税込)女性医療脱毛 全身脱毛+ VIO
¥ 25,300 (税込)女性医療脱毛 全身脱毛+うなじ
¥ 25,300 (税込)女性医療脱毛 全身脱毛+全顔
¥ 25,300 (税込)女性医療脱毛 全身脱毛+うなじ+全顔
¥ 30,800 (税込)
施術メニューをもっと見るおすすめポイント
- 人中短縮ボトックスで手軽に美しい口元を実現
- リーズナブルなルメッカでシミ改善を目指す
- 渋谷駅直結でアクセス抜群のクリニック
月,火,水,木,金,土,日,祝東京都渋谷区道玄坂1丁目12-1 渋谷マークシティウェスト 14階 - 美容クリニック・美容皮膚科・美容外科(美容整形)・審美歯科・医療脱毛クリニック・AGAクリニック・メンズクリニック・レディースクリニック・美容内科・再生医療クリニック・再生医療クリニック・医療ダイエット・痩身クリニック・医療ダイエット・痩身クリニック / JR札幌駅直結効果の実感は微妙- ケンケン









すべて見る二重埋没法
¥ 29,880 (税込)二重埋没法(自然癒着法)
¥ 54,600 (税込)自然癒着セット(上眼瞼脱脂)
¥ 55,270 (税込)SBCデカ目術/切らないまぶたのリフトアップ
¥ 116,320 (税込)切る二重術(切開法)
¥ 250,000 (税込)
施術メニューをもっと見るおすすめポイント
- ケミカルピーリングでつるつる卵肌を実現
- 二重埋没法で理想の目元を手に入れる
- JR札幌駅から徒歩5分の好立地
月,火,水,木,金,土,日,祝北海道札幌市中央区北5条西2-5 JRタワーオフィスプラザさっぽろ 13F - 美容クリニック・美容皮膚科・美容外科(美容整形)・医療脱毛クリニック・AGAクリニック・メンズクリニック・レディースクリニック・美容内科・再生医療クリニック・再生医療クリニック・医療ダイエット・痩身クリニック・医療ダイエット・痩身クリニック / JR京都駅「烏丸中央口」徒歩約5分引き上がり効果アリ- manaphin


フォトシルクプラス(顔)
¥ 8,640 (税込)フォトシルクプラス(手の甲)
¥ 1,300 (税込)レーザートーニング(メドライトC6)全顔
¥ 5,190 (税込)コラーゲンピール(全顔)
¥ 10,800 (税込)コラーゲンピール(その他部位)
¥ 10,800 (税込)
施術メニューをもっと見るおすすめポイント
- リーズナブルで高効果のシミ取りレーザー
- ダウンタイムほぼなしの二重埋没法
- JR京都駅から徒歩5分の好立地
月,火,水,木,金,土,日,祝京都府京都市下京区烏丸通七条下ル東塩小路町735-1 京阪京都ビル 5F - 美容クリニック・美容皮膚科・美容外科(美容整形)・医療脱毛クリニック・AGAクリニック・メンズクリニック・レディースクリニック・美容内科・再生医療クリニック・再生医療クリニック・医療ダイエット・痩身クリニック・医療ダイエット・痩身クリニック / JR池袋駅「東口」徒歩約3分 東京メトロ丸の内線池袋駅「43番出口」徒歩約3分 東京メトロ有楽町線池袋駅「43番出口」徒歩約3分不機嫌顔じゃなくなった!- はちわれ






すべて見るフォトシルクプラス(顔)
¥ 8,640 (税込)フォトシルクプラス(手の甲)
¥ 1,300 (税込)レーザートーニング(メドライトC6)全顔
¥ 5,190 (税込)コラーゲンピール(全顔)
¥ 10,800 (税込)コラーゲンピール(その他部位)
¥ 10,800 (税込)
施術メニューをもっと見るおすすめポイント
- ボトックスで自然な若返りを実現する
- フラクショナルCO2レーザーで毛穴悩みを解消
- 池袋駅から徒歩3分で通いやすい
月,火,水,木,金,土,日,祝東京都豊島区東池袋1-13-6 ロクマルゲート池袋8F - 美容クリニック・美容皮膚科・美容外科(美容整形)・医療脱毛クリニック・メンズクリニック・レディースクリニック・美容内科・医療ダイエット・痩身クリニック・医療ダイエット・痩身クリニック / JR、東京メトロ、ゆりかもめ新橋駅 徒歩6分 東京メトロ銀座駅 徒歩8分 東京メトロ東銀座駅 徒歩8分 都営地下鉄大江戸線、ゆりかもめ汐留駅 徒歩8分









すべて見る肌診断機による肌診断
¥ 2,200 (税込)KOトーニング
¥ 11,000 (税込)KOフラクショナル
¥ 22,000 (税込)KOダブル(トーニング+1064フラクショナル)
¥ 16,500 (税込)ピコトーニング
¥ 11,000 (税込)
施術メニューをもっと見る月,火,水,木,金,土,日,祝東京都中央区銀座8-9-16 長崎センタービル 9階 - -----美容クリニック・美容皮膚科・美容外科(美容整形)・医療脱毛クリニック・AGAクリニック・メンズクリニック・美容内科・医療ダイエット・痩身クリニック・医療ダイエット・痩身クリニック / 地下鉄七隈線「渡辺通駅」から徒歩2分









すべて見る引用元:
オルタ天神クリニック 公式サイトおすすめポイント
- しみを消して自信を取り戻す施術
- 痛みを軽減する麻酔で安心の二重施術
- 渡辺通駅から徒歩2分の好立地
月,火,水,木,金,土,日,祝福岡県福岡市中央区渡辺通1-8-6 4F - 美容クリニック・美容皮膚科・美容外科(美容整形)・審美歯科・医療脱毛クリニック・AGAクリニック・メンズクリニック・レディースクリニック・美容内科・再生医療クリニック・再生医療クリニック・医療ダイエット・痩身クリニック・医療ダイエット・痩身クリニック / 新宿駅 徒歩1分 JR線・京王線・小田急線・都営地下鉄大江戸線 ・都営地下鉄新宿線・東京メトロ丸ノ内線 新宿駅 「4番出口」より直結。雨に濡れずに、お越しいただけます。鏡を見てメイクするのが楽しくなりました!!!- 神奈川在住




すべて見る二重埋没法(共立式二重P-PL 挙筋法/瞼板法)
¥ 46,200 (税込)二重埋没法(自然癒着法)
¥ 69,300 (税込)二重埋没法オプション(針/薬)
二重埋没法・逆さまつげ(子供)
¥ 143,000 (税込)切らない瞼の脂肪取り(共立式シェイプ法)
¥ 184,800 (税込)
施術メニューをもっと見るおすすめポイント
- 理想の二重を実現する埋没法
- 安心のアフターケアとサポート
- 新宿駅から徒歩1分の好立地
月,火,水,木,金,土,日,祝東京都渋谷区代々木2-9-2 久保ビル 7F - 美容クリニック・美容皮膚科・美容外科(美容整形)・医療脱毛クリニック・メンズクリニック・レディースクリニック・美容内科 / JR新宿駅(新南改札)より徒歩3分 新宿三丁目駅(E8出口)より徒歩1分





すべて見る二重埋没法
¥ 38,500 (税込)まぶたの脂肪取り(マイクロカット) ※二重整形と同時施術のみ可能
¥ 33,000 (税込)埋没糸抜去(当院)
¥ 22,000 (税込)埋没糸抜去(他院)
¥ 33,000 (税込)二重切開法
¥ 126,500 (税込)
施術メニューをもっと見るおすすめポイント
- 理想の二重を実現する丁寧なカウンセリング
- ダウンタイムがほとんどないスピーディな施術
- JR新宿駅から徒歩3分のアクセス便利な立地
月,火,水,木,金,土,日,祝東京都渋谷区千駄ヶ谷5-27-3 やまとビル 5階 - 美容クリニック・美容皮膚科・美容外科(美容整形)・医療脱毛クリニック・メンズクリニック・レディースクリニック・美容内科・医療ダイエット・痩身クリニック・医療ダイエット・痩身クリニック / 地下鉄東山線矢場町駅から

女性医療脱毛 全身脱毛
¥ 19,800 (税込)女性医療脱毛 全身脱毛+ VIO
¥ 25,300 (税込)女性医療脱毛 全身脱毛+うなじ
¥ 25,300 (税込)女性医療脱毛 全身脱毛+全顔
¥ 25,300 (税込)女性医療脱毛 全身脱毛+うなじ+全顔
¥ 30,800 (税込)
施術メニューをもっと見るおすすめポイント
- 自然な仕上がりで自信を取り戻すヒアルロン酸注入
- 痛みを軽減した二重埋没で理想の目元を手に入れる
- 地下鉄東山線矢場町駅から徒歩5分の好立地
月,火,水,木,金,土,日,祝愛知県名古屋市中区栄3-27-24 Gビル名古屋栄01 2階 - 美容クリニック・美容皮膚科・美容外科(美容整形)・医療脱毛クリニック・メンズクリニック・レディースクリニック・美容内科・再生医療クリニック・再生医療クリニック・医療ダイエット・痩身クリニック・医療ダイエット・痩身クリニック / 中央改札口より 徒歩1分 JR環状線 京橋駅 北出口より 徒歩1分 Osaka Metro長堀鶴見緑地線 京橋駅 4番出口より 徒歩1分



MT埋没法/ブリッジ法
¥ 52,800 (税込)二重脱脂法
¥ 66,000 (税込)自然癒着法
¥ 129,800 (税込)マイクロ切開法
¥ 198,000 (税込)二重全切開法
¥ 275,000 (税込)
施術メニューをもっと見るおすすめポイント
- 理想の二重を実現する丁寧なカウンセリング
- 60分で完了!痛みを抑えた施術
- 京橋駅から徒歩1分の好立地
月,火,水,木,金,土,日,祝大阪府大阪市都島区東野田町2-3-19 MFK京橋駅前ビル 5F - 美容クリニック・美容皮膚科・美容外科(美容整形)・医療脱毛クリニック・AGAクリニック・メンズクリニック・レディースクリニック・美容内科・再生医療クリニック・再生医療クリニック・医療ダイエット・痩身クリニック・医療ダイエット・痩身クリニック / 地下鉄(桜通線・東山線)名古屋駅「10出入口」徒歩約1分 JR名古屋駅「桜通口」徒歩約3分 名鉄 名古屋駅「中央改札口」徒歩約4分 近鉄 名古屋駅「正面改札口」徒歩約5分

フォトシルクプラス(顔)
¥ 8,640 (税込)フォトシルクプラス(手の甲)
¥ 1,300 (税込)レーザートーニング(メドライトC6)全顔
¥ 5,190 (税込)コラーゲンピール(全顔)
¥ 10,800 (税込)コラーゲンピール(その他部位)
¥ 10,800 (税込)
施術メニューをもっと見るおすすめポイント
- エラボトックスで小顔を実現する
- 初回価格でお得に受けられる多彩な施術
- 名古屋駅から徒歩1分の好立地
月,火,水,木,金,土,日,祝愛知県名古屋市中村区名駅2-45-19 桑山ビル 2F - 美容クリニック・美容皮膚科・美容外科(美容整形)・審美歯科・医療脱毛クリニック・AGAクリニック・メンズクリニック・レディースクリニック・美容内科・再生医療クリニック・再生医療クリニック・医療ダイエット・痩身クリニック・医療ダイエット・痩身クリニック / JR仙台駅西口 徒歩約1分









すべて見る二重埋没法
¥ 29,880 (税込)二重埋没法(自然癒着法)
¥ 54,600 (税込)自然癒着セット(上眼瞼脱脂)
¥ 55,270 (税込)SBCデカ目術/切らないまぶたのリフトアップ
¥ 116,320 (税込)切る二重術(切開法)
¥ 250,000 (税込)
施術メニューをもっと見るおすすめポイント
- ニキビ跡改善に最適なケミカルピーリング
- 二重整形で理想の目元を実現
- JR仙台駅から徒歩1分の好立地
月,火,水,木,金,土,日,祝宮城県仙台市青葉区中央1‐2‐3 仙台マークワン 17階 - 美容クリニック・美容皮膚科・美容外科(美容整形)・メンズクリニック・レディースクリニック・美容内科 / JR「新宿」駅南口より徒歩5分。「新宿三丁目」駅 A2出口より徒歩1分。


引用元:
新宿TAクリニック 公式サイト二重埋没法
¥ 60,100 (税込)マイクロカット
¥ 38,500 (税込)上まぶたの脂肪取り
¥ 61,600 (税込)下眼瞼脱脂術
¥ 120,000 (税込)下眼瞼脱脂術
¥ 79,100 (税込)
施術メニューをもっと見るおすすめポイント
- 目元の若返りを実現する糸リフト
- 新宿駅から徒歩5分のアクセス便利
- 丁寧なカウンセリングで安心感を提供
月,火,水,木,金,土,日,祝東京都新宿区新宿3-1-16 京王新宿追分第二ビル 5階 - 美容クリニック・美容皮膚科・美容外科(美容整形)・医療脱毛クリニック・AGAクリニック・メンズクリニック・レディースクリニック・美容内科・再生医療クリニック・再生医療クリニック・医療ダイエット・痩身クリニック・医療ダイエット・痩身クリニック / JR・小田急・京王線 新宿駅西口より徒歩2分自然な二重になりました!- しー






すべて見る二重埋没
¥ 66,000 (税込)二重切開
¥ 220,000 (税込)目頭切開
¥ 275,000 (税込)経結膜脱脂
¥ 330,000 (税込)目尻切開
¥ 275,000 (税込)
施術メニューをもっと見るおすすめポイント
- 安心のカウンセリングで理想の二重を実現する
- 短時間で手軽に受けられる白玉注射
- 新宿駅から徒歩2分の好立地
月,火,水,木,金,土,日,祝東京都新宿区西新宿1-4-2 141ビル 6F - 美容クリニック・美容皮膚科・美容外科(美容整形)・医療脱毛クリニック・AGAクリニック・メンズクリニック・レディースクリニック・美容内科・再生医療クリニック・再生医療クリニック・医療ダイエット・痩身クリニック・医療ダイエット・痩身クリニック / JR三ノ宮駅「西口」徒歩約5分 阪急三宮駅「東口」徒歩約5分 阪神三宮駅「西口」徒歩約5分



フォトシルクプラス(顔)
¥ 8,640 (税込)フォトシルクプラス(手の甲)
¥ 1,300 (税込)レーザートーニング(メドライトC6)全顔
¥ 5,190 (税込)コラーゲンピール(全顔)
¥ 10,800 (税込)コラーゲンピール(その他部位)
¥ 10,800 (税込)
施術メニューをもっと見るおすすめポイント
- 痛みを感じにくいスピーディな施術で美肌を実現
- 清潔感あふれるプライベート空間で安心施術
- 三宮駅から徒歩5分で通いやすい立地
月,火,水,木,金,土,日,祝兵庫県神戸市中央区三宮町1-2-1 日住神戸三宮ビルディング(旧ビル名:三神ビル)5F - 美容クリニック・美容皮膚科・美容外科(美容整形)・審美歯科・医療脱毛クリニック・AGAクリニック・メンズクリニック・レディースクリニック・美容内科・再生医療クリニック・再生医療クリニック・医療ダイエット・痩身クリニック・医療ダイエット・痩身クリニック / ・横浜駅東口直結 ・JR横浜駅徒歩3分









すべて見る二重埋没法
¥ 29,880 (税込)二重埋没法(自然癒着法)
¥ 54,600 (税込)自然癒着セット(上眼瞼脱脂)
¥ 55,270 (税込)SBCデカ目術/切らないまぶたのリフトアップ
¥ 116,320 (税込)切る二重術(切開法)
¥ 250,000 (税込)
施術メニューをもっと見るおすすめポイント
- 二の腕をスッキリ細くする脂肪吸引
- 痛みを最小限に抑えた医療脱毛
- 横浜駅から徒歩3分の好立地
月,火,水,木,金,土,日,祝神奈川県横浜市西区高島2-19-12 横浜スカイビル 16F - 美容クリニック・美容皮膚科・美容外科(美容整形)・医療脱毛クリニック・AGAクリニック・メンズクリニック・レディースクリニック・美容内科・再生医療クリニック・再生医療クリニック・医療ダイエット・痩身クリニック・医療ダイエット・痩身クリニック / JR立川駅「北口」 徒歩約5分 多摩モノレール「立川北駅」 徒歩約3分産後のシミ、年下彼氏との出会いで一念発起!品川スキンクリニックでフォトシルク体験- あっこ



フォトシルクプラス(顔)
¥ 8,640 (税込)フォトシルクプラス(手の甲)
¥ 1,300 (税込)レーザートーニング(メドライトC6)全顔
¥ 5,190 (税込)コラーゲンピール(全顔)
¥ 10,800 (税込)コラーゲンピール(その他部位)
¥ 10,800 (税込)
施術メニューをもっと見るおすすめポイント
- 2450円で受けられるレーザートーニング
- 痛みを感じないフォトシルク施術
- JR立川駅から徒歩5分の好立地
月,火,水,木,金,土,日,祝東京都立川市曙町2-8-5 シネマシティビル 13F - 美容クリニック・美容皮膚科・美容外科(美容整形)・医療脱毛クリニック・メンズクリニック・レディースクリニック・医療ダイエット・痩身クリニック・医療ダイエット・痩身クリニック / 名鉄名古屋本線 東岡崎駅 徒歩1分 提携駐車場:25台分完備施術前にしっかり説明があり、追加費用も無し!- makky
- 美容クリニック・美容皮膚科・美容外科(美容整形)・医療脱毛クリニック・AGAクリニック・メンズクリニック・レディースクリニック・美容内科・再生医療クリニック・再生医療クリニック・医療ダイエット・痩身クリニック・医療ダイエット・痩身クリニック / 横浜駅「西口」から徒歩2分









すべて見るフォトシルクプラス(顔)
¥ 8,640 (税込)フォトシルクプラス(手の甲)
¥ 1,300 (税込)レーザートーニング(メドライトC6)全顔
¥ 5,190 (税込)コラーゲンピール(全顔)
¥ 10,800 (税込)コラーゲンピール(その他部位)
¥ 10,800 (税込)
施術メニューをもっと見るおすすめポイント
- ヒアルロン酸施術で若々しさを取り戻す
- 清潔感あふれる落ち着いた院内でリラックス
- 横浜駅西口から徒歩2分の好立地
月,火,水,木,金,土,日,祝神奈川県横浜市西区北幸1-1-8 エキニア横浜 6階 - 美容クリニック・美容皮膚科・美容外科(美容整形)・審美歯科・医療脱毛クリニック・AGAクリニック・メンズクリニック・レディースクリニック・美容内科・再生医療クリニック・再生医療クリニック・医療ダイエット・痩身クリニック・医療ダイエット・痩身クリニック / ・JR新宿駅東南口 徒歩5分 ・新宿三丁目駅 徒歩1分 ・JR新宿駅新南改札 徒歩4分1回だとあまり効果を感じられず- pomme









すべて見る二重埋没法
¥ 29,880 (税込)二重埋没法(自然癒着法)
¥ 54,600 (税込)自然癒着セット(上眼瞼脱脂)
¥ 55,270 (税込)SBCデカ目術/切らないまぶたのリフトアップ
¥ 116,320 (税込)切る二重術(切開法)
¥ 250,000 (税込)
施術メニューをもっと見るおすすめポイント
- 涙袋を手軽に作るヒアルロン酸注入
- 医療脱毛で自己処理から解放される
- 新宿三丁目駅から徒歩1分の好立地
月,火,水,木,金,土,日,祝東京都新宿区新宿4丁目2-23 新四curumuビル 6階 - 美容クリニック・美容皮膚科・美容外科(美容整形)・審美歯科・医療脱毛クリニック・AGAクリニック・メンズクリニック・レディースクリニック・美容内科・再生医療クリニック・再生医療クリニック・医療ダイエット・痩身クリニック・医療ダイエット・痩身クリニック / 川崎駅東口徒歩1分









すべて見る二重埋没法
¥ 29,880 (税込)二重埋没法(自然癒着法)
¥ 54,600 (税込)自然癒着セット(上眼瞼脱脂)
¥ 55,270 (税込)SBCデカ目術/切らないまぶたのリフトアップ
¥ 116,320 (税込)切る二重術(切開法)
¥ 250,000 (税込)
施術メニューをもっと見るおすすめポイント
- 医療脱毛で安心・効果的にムダ毛処理を実現
- 清潔感あふれる院内でリラックスした施術を体験
- 川崎駅東口から徒歩1分の好立地で通いやすい
月,火,水,木,金,土,日,祝神奈川県川崎市川崎区日進町1-11 川崎ルフロン 8階 - 美容クリニック・美容皮膚科・美容外科(美容整形)・審美歯科・医療脱毛クリニック・AGAクリニック・メンズクリニック・レディースクリニック・美容内科・再生医療クリニック・再生医療クリニック・医療ダイエット・痩身クリニック・医療ダイエット・痩身クリニック / JR「千葉駅」中央改札から、南口へ進んで徒歩3分フェイスラインがすっきりしました!- マリア









すべて見る二重埋没法
¥ 29,880 (税込)二重埋没法(自然癒着法)
¥ 54,600 (税込)自然癒着セット(上眼瞼脱脂)
¥ 55,270 (税込)SBCデカ目術/切らないまぶたのリフトアップ
¥ 116,320 (税込)切る二重術(切開法)
¥ 250,000 (税込)
施術メニューをもっと見るおすすめポイント
- 短時間で理想の二重を実現する埋没法
- 安心の症例数と丁寧なカウンセリング
- JR千葉駅から徒歩3分の好立地
月,火,水,木,金,土,日,祝千葉県千葉市中央区新町1000番地 センシティビルディング 9階 - 美容クリニック・美容皮膚科・美容外科(美容整形)・医療脱毛クリニック・AGAクリニック・メンズクリニック・レディースクリニック・美容内科・再生医療クリニック・再生医療クリニック・医療ダイエット・痩身クリニック・医療ダイエット・痩身クリニック / 東京メトロ銀座線・半蔵門線・千代田線「表参道駅」B2出口 徒歩1分









すべて見るフォトシルクプラス(顔)
¥ 8,640 (税込)フォトシルクプラス(手の甲)
¥ 1,300 (税込)レーザートーニング(メドライトC6)全顔
¥ 5,190 (税込)コラーゲンピール(全顔)
¥ 10,800 (税込)コラーゲンピール(その他部位)
¥ 10,800 (税込)
施術メニューをもっと見るおすすめポイント
- ダーマペンで毛穴を引き締める美肌治療
- フォトシルクプラスで透明感を手に入れる
- 表参道駅から徒歩1分の好立地
月,火,水,木,金,土,日,祝東京都港区北青山3-11-7 Aoビル 10F - 美容クリニック・美容皮膚科・美容外科(美容整形)・審美歯科・医療脱毛クリニック・AGAクリニック・メンズクリニック・レディースクリニック・美容内科・再生医療クリニック・再生医療クリニック・医療ダイエット・痩身クリニック・医療ダイエット・痩身クリニック / JR、名鉄、近鉄、地下鉄「名古屋駅」より徒歩3分ぷっくら唇になりました!- あい






すべて見る二重埋没法
¥ 29,880 (税込)二重埋没法(自然癒着法)
¥ 54,600 (税込)自然癒着セット(上眼瞼脱脂)
¥ 55,270 (税込)SBCデカ目術/切らないまぶたのリフトアップ
¥ 116,320 (税込)切る二重術(切開法)
¥ 250,000 (税込)
施術メニューをもっと見るおすすめポイント
- フラクショナルレーザーで美肌を実現
- 駅近で通いやすい!名古屋駅から徒歩3分
- 安心のカウンセリングと施術
月,火,水,木,金,土,日,祝愛知県名古屋市中村区名駅3丁目26-8 KDX名古屋駅前ビル 12階 - 美容クリニック・美容皮膚科・美容外科(美容整形)・審美歯科・医療脱毛クリニック・AGAクリニック・メンズクリニック・レディースクリニック・美容内科・再生医療クリニック・再生医療クリニック・医療ダイエット・痩身クリニック・医療ダイエット・痩身クリニック / ・小田急線町田駅 東口から徒歩3分 ・JR横浜線町田駅 中央改札から徒歩5分初めての美容施術を体験してきました!- ちょも









すべて見る二重埋没法
¥ 29,880 (税込)二重埋没法(自然癒着法)
¥ 54,600 (税込)自然癒着セット(上眼瞼脱脂)
¥ 55,270 (税込)SBCデカ目術/切らないまぶたのリフトアップ
¥ 116,320 (税込)切る二重術(切開法)
¥ 250,000 (税込)
施術メニューをもっと見るおすすめポイント
- 脇脱毛を3回で完了し、7年後もツルツルを実感する
- 全身脱毛6回コースで面倒な自己処理から解放
- 町田駅から徒歩3分の好立地で通いやすい
月,火,水,木,金,土,日,祝東京都町田市原町田6-9-7 アエタ町田 7階 - 美容クリニック・美容皮膚科・美容外科(美容整形)・メンズクリニック・美容内科・再生医療クリニック・再生医療クリニック・医療ダイエット・痩身クリニック・医療ダイエット・痩身クリニック / 日比谷線・千代田線・都営三田線 「日比谷駅」より徒歩3分 有楽町駅・丸の内線・日比谷線 「有楽町」より徒歩5分普通になれました- ちゃ









すべて見るポテンツァ ダイヤモンドチップ(500shot)
¥ 29,800 (税込)ポテンツァ ドラッグデリバリー(4周:1600~2000shot)/ジュベルック
¥ 45,000 (税込)ポテンツァ ドラッグデリバリー(4周:1600~2000shot)/マックーム/スネコス
¥ 39,800 (税込)ポテンツァ ドラッグデリバリー(4周:1600~2000shot)/ボトックス
¥ 37,800 (税込)医療HIFU(ハイフ) ウルトラセルZi(ドット照射)
¥ 36,000 (税込)
施術メニューをもっと見るおすすめポイント
- ピコスポットでシミを簡単に解消する
- 多汗症治療で快適な日常を取り戻す
- 日比谷駅から徒歩3分の好立地
月,火,水,木,金,土,日,祝東京都千代田区有楽町1-2-14 紫ビル 3階 - 美容クリニック・美容皮膚科・美容外科(美容整形)・審美歯科・医療脱毛クリニック・AGAクリニック・メンズクリニック・レディースクリニック・美容内科・再生医療クリニック・再生医療クリニック・医療ダイエット・痩身クリニック・医療ダイエット・痩身クリニック / 東京メトロ半蔵門線 錦糸町駅:2番出口直結 JR総武線 錦糸町駅:南口から徒歩1分【CMで有名】髭脱毛の効果を実感できました- しゅうぺい









すべて見る二重埋没法
¥ 29,880 (税込)二重埋没法(自然癒着法)
¥ 54,600 (税込)自然癒着セット(上眼瞼脱脂)
¥ 55,270 (税込)SBCデカ目術/切らないまぶたのリフトアップ
¥ 116,320 (税込)切る二重術(切開法)
¥ 250,000 (税込)
施術メニューをもっと見るおすすめポイント
- 痛みを抑えたVIO脱毛で安心
- 駅近で通いやすい!錦糸町院
- 丁寧なカウンセリングで安心感
月,火,水,木,金,土,日,祝東京都墨田区江東橋4-27-14 楽天地ビル 2F - 美容クリニック・美容皮膚科・美容外科(美容整形)・医療脱毛クリニック・AGAクリニック・メンズクリニック・レディースクリニック・美容内科・再生医療クリニック・再生医療クリニック・医療ダイエット・痩身クリニック・医療ダイエット・痩身クリニック / 西鉄天神大牟田線福岡駅「南口」徒歩約5分 市営地下鉄天神南駅「1番出口」徒歩約6分ほくろ除去しました★- とも









すべて見るフォトシルクプラス(顔)
¥ 8,640 (税込)フォトシルクプラス(手の甲)
¥ 1,300 (税込)レーザートーニング(メドライトC6)全顔
¥ 5,190 (税込)コラーゲンピール(全顔)
¥ 10,800 (税込)コラーゲンピール(その他部位)
¥ 10,800 (税込)
施術メニューをもっと見るおすすめポイント
- お手頃価格でそばかすを根本から消す
- 短時間で効果を実感できる施術
- 福岡駅から徒歩約5分の好立地
月,火,水,木,金,土,日,祝福岡県福岡市中央区今泉1-20-2 天神MENTビル 2F - 美容クリニック・美容皮膚科・美容外科(美容整形)・医療脱毛クリニック・メンズクリニック・レディースクリニック・美容内科 / 御堂筋線「心斎橋駅」5番出口から徒歩1分









すべて見る引用元:
ツツイ美容外科 公式サイト埋没二重
¥ 66,000 (税込)切開二重
¥ 110,000 (税込)眼瞼下垂
¥ 88,000 (税込)目頭切開
¥ 110,000 (税込)目尻切開
¥ 165,000 (税込)
施術メニューをもっと見るおすすめポイント
- 安心の院長直接カウンセリングで納得の施術を受ける
- リーズナブルな価格で高品質なほくろ除去を実現
- 心斎橋駅から徒歩1分の好立地で通いやすい
月,火,水,木,金,土,日,祝大阪府大阪市中央区心斎橋筋1-4-29 フェリチタ心斎橋502 - 美容クリニック・美容皮膚科・美容外科(美容整形)・医療脱毛クリニック・AGAクリニック・メンズクリニック・レディースクリニック・美容内科・再生医療クリニック・再生医療クリニック・医療ダイエット・痩身クリニック・医療ダイエット・痩身クリニック / 地下鉄 日比谷線六本木駅から徒歩3分/地下鉄 大江戸線六本木駅から徒歩3分(旧麻布警察署裏) ※現在、麻布警察署は移転しましたのでご注意くださいふっくらおでこで若返り- ジャスミン




すべて見る女性医療脱毛 鼻下
¥ 6,545 (税込)女性医療脱毛 顎
¥ 6,545 (税込)女性医療脱毛 顎下・首
¥ 6,545 (税込)女性医療脱毛 もみあげ・頬
¥ 6,545 (税込)女性医療脱毛 うなじ
¥ 11,000 (税込)
施術メニューをもっと見るおすすめポイント
- 安心のカウンセリングで不安を解消する
- 短時間で効果を実感できる小顔注射
- 六本木駅から徒歩3分の好立地
月,火,水,木,金,土,日,祝東京都港区六本木6-6-9 ピラミデ 2F - 美容クリニック・美容皮膚科・美容外科(美容整形)・審美歯科・医療脱毛クリニック・AGAクリニック・メンズクリニック・レディースクリニック・美容内科・再生医療クリニック・再生医療クリニック・医療ダイエット・痩身クリニック・医療ダイエット・痩身クリニック / JR立川駅南口 徒歩3分脱毛してよかった!- とまと









すべて見る二重埋没法
¥ 29,880 (税込)二重埋没法(自然癒着法)
¥ 54,600 (税込)自然癒着セット(上眼瞼脱脂)
¥ 55,270 (税込)SBCデカ目術/切らないまぶたのリフトアップ
¥ 116,320 (税込)切る二重術(切開法)
¥ 250,000 (税込)
施術メニューをもっと見るおすすめポイント
- 医療脱毛でツルツル肌を実現する
- 手軽に予約!立川駅から徒歩3分
- リーズナブルな価格で高品質な施術
月,火,水,木,金,土,日,祝東京都立川市柴崎町3-6-23 LXビル 4F - 美容クリニック・美容皮膚科・美容外科(美容整形)・医療脱毛クリニック・AGAクリニック・メンズクリニック・レディースクリニック・美容内科・再生医療クリニック・再生医療クリニック・医療ダイエット・痩身クリニック・医療ダイエット・痩身クリニック / 東京メトロ銀座線/日比谷線「銀座駅【A13出口】」から徒歩3分 東京メトロ有楽町線「銀座一丁目駅【8番出口】」から徒歩2分 JR「有楽町駅」から徒歩4分





すべて見るピコレーザー(シミ取りスポット)
¥ 12,100 (税込)ピコレーザー(ADM治療)
¥ 12,100 (税込)ピコトーニング+イオン導入
¥ 14,300 (税込)ピコフラクショナル
¥ 14,300 (税込)顔のシミ取り放題(シミの大きさ問わず何個でも)
¥ 55,000 (税込)
施術メニューをもっと見るおすすめポイント
- 埋没法で理想の二重を実現する
- ボトックスで目力アップを叶える
- 銀座駅から徒歩3分の好立地
月,火,水,木,金,土,日,祝東京都中央区銀座2-5-11 V88ビルディング 5階 - 美容クリニック・美容皮膚科・美容外科(美容整形)・医療脱毛クリニック・AGAクリニック・メンズクリニック・レディースクリニック・美容内科・再生医療クリニック・再生医療クリニック・医療ダイエット・痩身クリニック・医療ダイエット・痩身クリニック / 沖縄都市モノレール「おもろまち駅」駅より徒歩5分自然にフェイスラインがスッキリしました!- Hina









すべて見るフォトシルクプラス(顔)
¥ 8,640 (税込)フォトシルクプラス(手の甲)
¥ 1,300 (税込)レーザートーニング(メドライトC6)全顔
¥ 5,190 (税込)コラーゲンピール(全顔)
¥ 10,800 (税込)コラーゲンピール(その他部位)
¥ 10,800 (税込)
施術メニューをもっと見るおすすめポイント
- ボトックスでシワを目立たなくする
- 清潔感あふれる安心のクリニック
- おもろまち駅から徒歩5分の好立地
月,火,水,木,金,土,日,祝沖縄県那覇市おもろまち1-1-12 那覇新都心センタービル 1F - 美容クリニック・美容皮膚科・美容外科(美容整形)・医療脱毛クリニック・AGAクリニック・メンズクリニック・美容内科・医療ダイエット・痩身クリニック・医療ダイエット・痩身クリニック / 渋谷駅徒歩3分









すべて見るルメッカ
¥ 16,500 (税込)インモードVリフト
¥ 44,000 (税込)インモードフォーマ
¥ 15,000 (税込)ダーマペン
¥ 9,800 (税込)ヴェルベットスキン
¥ 12,000 (税込)
施術メニューをもっと見るおすすめポイント
- クマ取り手術で自信を取り戻す
- ヒアルロン酸注入で自然な仕上がり
- 渋谷駅から徒歩3分の好立地
月,火,水,木,金,土,日,祝東京都渋谷区道玄坂2-27-2 2階 - 美容クリニック・美容皮膚科・美容外科(美容整形)・メンズクリニック・レディースクリニック・美容内科・再生医療クリニック・再生医療クリニック・医療ダイエット・痩身クリニック・医療ダイエット・痩身クリニック / 地下鉄銀座駅A3出口を出て、中央通りを新橋方面へ直進します。3つ目の信号「銀座7丁目交差点」左角のモンブラン銀座ビル6Fです。




すべて見る引用元:
東京美容外科 銀座院 公式サイト埋没二重
¥ 33,000 (税込)埋没糸抜去(自院)
¥ 55,000 (税込)埋没糸抜去(他院)
¥ 110,000 (税込)切開二重
¥ 220,000 (税込)眼瞼下垂
¥ 298,000 (税込)
施術メニューをもっと見るおすすめポイント
- ボトックスで手軽に多汗症改善
- 二重埋没手術で自信を取り戻す
- 地下鉄銀座駅から徒歩5分の好立地
月,火,水,木,金,土,日,祝東京都中央区銀座7-9-11 モンブラン銀座ビル 6F - 美容クリニック・美容皮膚科・美容外科(美容整形)・審美歯科・医療脱毛クリニック・AGAクリニック・メンズクリニック・レディースクリニック・美容内科・再生医療クリニック・再生医療クリニック・医療ダイエット・痩身クリニック・医療ダイエット・痩身クリニック / 東京メトロ有楽町線 銀座一丁目駅 3番出口 徒歩1分 東京メトロ有楽町線 有楽町駅 D9番出口 徒歩2分 JR有楽町駅 徒歩5分 東京メトロ銀座線・丸ノ内線・日比谷線 銀座駅C8出口 徒歩5分ニキビ顔におすすめ- はなはな









すべて見る二重埋没法
¥ 29,880 (税込)二重埋没法(自然癒着法)
¥ 54,600 (税込)自然癒着セット(上眼瞼脱脂)
¥ 55,270 (税込)SBCデカ目術/切らないまぶたのリフトアップ
¥ 116,320 (税込)切る二重術(切開法)
¥ 250,000 (税込)
施術メニューをもっと見るおすすめポイント
- 笑顔に自信を!目尻のシワを解消するボトックス
- 安心のカウンセリングで不安を解消
- 銀座一丁目駅から徒歩1分の好立地
月,火,水,木,金,土,日,祝東京都中央区銀座1丁目3-9 マルイト銀座ビル 2階 - 美容クリニック・美容皮膚科・美容外科(美容整形)・医療脱毛クリニック・メンズクリニック・レディースクリニック・美容内科・医療ダイエット・痩身クリニック・医療ダイエット・痩身クリニック / 大阪 「心斎橋駅」より徒歩5分



女性医療脱毛 全身脱毛
¥ 19,800 (税込)女性医療脱毛 全身脱毛+ VIO
¥ 25,300 (税込)女性医療脱毛 全身脱毛+うなじ
¥ 25,300 (税込)女性医療脱毛 全身脱毛+全顔
¥ 25,300 (税込)女性医療脱毛 全身脱毛+うなじ+全顔
¥ 30,800 (税込)
施術メニューをもっと見るおすすめポイント
- 小顔を叶えるジョールファット除去
- 丁寧なカウンセリングで安心感を提供
- 心斎橋駅から徒歩5分の好立地
月,火,水,木,金,土,日,祝大阪府大阪市中央区博労町3丁目4-15 ACN心斎橋博労町ビル 2F - 美容クリニック・美容皮膚科・美容外科(美容整形)・審美歯科・医療脱毛クリニック・AGAクリニック・メンズクリニック・レディースクリニック・美容内科・再生医療クリニック・再生医療クリニック・医療ダイエット・痩身クリニック・医療ダイエット・痩身クリニック / JR藤沢駅南口徒歩1分大きな変化ではないですがやってよかったです- ぷりん









すべて見る二重埋没法
¥ 29,880 (税込)二重埋没法(自然癒着法)
¥ 54,600 (税込)自然癒着セット(上眼瞼脱脂)
¥ 55,270 (税込)SBCデカ目術/切らないまぶたのリフトアップ
¥ 116,320 (税込)切る二重術(切開法)
¥ 250,000 (税込)
施術メニューをもっと見るおすすめポイント
- VIO脱毛で毛量を減少させる効果を実感
- 安心のカウンセリングで施術イメージを明確に
- JR藤沢駅南口から徒歩1分の好立地
月,火,水,木,金,土,日,祝神奈川県藤沢市南藤沢3番12号 クリオ藤沢駅前ビル 4F
全国のメンズクリニックでの最新口コミ・評判 (レポ)
憧れの陶器肌になれました!
2日前つるつるしている陶器のような肌に憧れて色々リサーチしていたら、陶器肌になるにはピーリングが効果的との情報を入手しました。
スキンケアでも、もちろん効果は続ければあると思いましたが、やはり費用対効果が高いのは美容クリニックだと思い、「コラーゲンピール」というピーリングを施術してみる事にしました。そして、すぐに品川スキンクリニック札幌院のLINE予約を完了。
施術当日、平日でしたが来院すると、大手なだけあり、混んでいました。
でも、美容ナースさんの人数も多く、受付の方も3名ほどいて、お支払いは施術前にサクッと済ませられました。お支払い後も、そこまで待つ事なく、美容ナースさんに呼ばれました。
まずは顔に日焼け止めやファンデーションを塗っていないか聞かれ、塗っている事を伝えると、クレンジングするように洗面台へ案内されました。クレンジングは「プラスリストア」というドクターコスメが置いてあり、泡クレンジングなのですが、とてもスルスル落ちてくれますので、濃いめメイクの日も楽ちんでした!
クレンジングを終えると、そのまま施術台に案内され、施術開始。
顔に塗った瞬間、ヒリヒリしました。ヒリヒリ感は正直かなり強くて、早く終われ~と心の中で考えていました。でも数分放置する必要などはないようで、全顔塗り終わったら、すぐに蒸しタオルで拭き取ってくれて、拭き取ってもらった瞬間にヒリヒリ感は収まりますので、
耐えられない感じではなかったです。
ヒリヒリを感じている時間自体は5分程度だったと思います。施術後は、保湿クリームを塗ってくれて終了。
お化粧直し不要であれば、そのまま帰宅できます。施術後2~3日ほどは、顔の皮膚が入れ替わるかのように皮が剥けて、かなり乾燥するので保湿必須。
つっぱり感もありますが、自然と治り、治ったころには、ツルツルの肌になっていて感動しました!
やってよかった施術の1つです!支払金額¥15000施術日2021/11/14
marino30代前半|女性| 4件のレポ (ガチレポ認定 4件)メイクノリのいい元気肌に!
2週間前だんだんと頬や目元に出てきたシミが気になっていたのと、全体的にくすみやムラがあるのが気になっていて、ダウンタイム少なく、効果のある施術を探していました。紫外線が強くなっていく時期だったので、レーザーで強めの施術というよりは、光治療で顔全体の悩みを和らげていきたいなと思いルメッカをやってみることにしました!
ちょうど休日の予定がなくなったので、お手頃価格で予約が取れそうなクリニックを探していたところ、こちらのクリニックを見つけ、予約させていただきました。クリニックは渋谷駅からすぐのビルの中に入っていてアクセスはよかったのですが、ビルに入ってからクリニックのフロアに上がるまでのエレベーターの乗り継ぎが少しわかりにくかったです。
流れとしては、受付を済ませてから洗顔→看護師さんとのカウンセリング→ドクターとの診察→看護師さんによる施術でした。休日で混んでいたのと、当日間際の予約だったからか、受付で予約確認に時間がかかりました。待ち時間は結構長かったですが、受付時に混み合ってる旨を聞いていたのと、その後の予定もなかったので許容範囲でした。
ドクターは指定していなかったのですが、以前別の大手クリニックで注入系の施術でお世話になり、技術・対応面で不満があった方だったので、偶然とはいえ少し嫌な気分になりました。事前に確認しておくべきでした。
ただ、施術自体は看護師さんでしたので、特に問題はなかったです。どうせならルメッカの効果を高めたいと思い、ハイドラジェントルを追加して施術していただきました。ハイドラジェントルは吸引されてる感が少しある程度、ルメッカは脱毛と同じような感じで少し温かみを感じる程度で、痛みはまったくありませんでした。丁寧にあてていただけたと思います。
直後は赤みなども出ず、すぐにメイクが可能でしたが、日焼け止めと帽子、マスクで帰宅しました。ハイドラジェントルで毛穴汚れも取れましたし、顎周りのざらざら感もなくなったので、スキンケアの浸透もよくなり、メイクノリもよくなりました!ルメッカの効果としてはくすみがとんで、ハリツヤが少し出たかな?というかんじで、私のシミにはあまり反応しなかったようです、、ちょっと残念ではありますが、光治療なので緩やかな効果なのは仕方がないかなと思います。ダウンタイムがなくて続けやすいとは思うので、あと数回受けてみても良いかなと思ってます。
支払金額¥23650施術日2025/03/09
miku30代前半|女性| 11件のレポ (ガチレポ認定 11件)- 期待との差を感じた口コミ
効果の実感は微妙
1ヶ月前3年くらい前に5,6回ほどヒゲ脱毛施術を受けましたが、施術を受ける前と現在でさほど変わらないくらいヒゲが生えてきており、髭剃りは毎朝欠かすことができません。髭剃りの回数を減らせたらいいなと思って施術を受けましたが、そこまでの効果は得られませんでした。施術後の数ヶ月ほどは髭が少し減ったような感覚がありましたが、それも今となっては元通りという感じです。施術の回数が少なかったのかもしれませんが、施術前とほぼ変わらない感じになってきているのは残念です。期待しすぎたのかもしれません。
院の印象としては、丁寧に対応していただき印象はとてもいいです。事前説明もしっかり行っていただき、納得して契約を結ぶことができました。私は極度の人見知りですが、来院することに緊張感はそれほど感じることなく行くことができました。
施術時の痛みとしては、よく輪ゴムでパチンとされた時のような痛みがあるという表現を見ますが、まさにそれだと感じました。施術を受けている最中はある程度の痛みはありますが、逆に痛みを感じないようにする方が無理があると思うので、これは仕方ないと思います。個人的には鼻下の部分に照射される時が一番痛かったです。施術当日、肌荒れやニキビがある場所は回避して行われます。施術後の数分から数時間は痛みがヒリヒリと残ります。
施術から数年経ってからのレビューとなりましたが、長期的にヒゲが生えるのを減らしたい、もしくは髭剃りの回数を減らしたいと思っているのであれば、私のように5,6回だけの短期的な施術ではなく、数十回ほど受けるのをお勧めします(適正回数は人によって異なると思いますが)。私はあの時に数十回と受けておけばよかったなと思っています。施術日1993/07/20
ケンケン30代前半|男性| 1件のレポ (ガチレポ認定 1件) 糸リフトだけじゃ微妙かも
1ヶ月前私が今回糸リフトそしたのは、年齢を重ねるごとに目立ち始めたほうれい線と、フェイスラインのたるみが気になり始めたからです。特にシャープなVラインの輪郭に憧れがあり、何とかメスを使わずに小顔とリフトアップを実現したいと考えていました。モニター価格で手軽に糸リフトを試せるという点が最大の決め手でした。特定の医師を指名したわけではなく、あくまでも低価格で施術できるという経済的な理由からの選択でした。メスを使わない手軽な施術への期待が大きく、モニター価格での効果を期待していました。
カウンセリングでは、ほうれい線とフェイスラインの悩みを伝えました。この時、担当の方からは、より理想的な仕上がりのためにほうれい線にはヒアルロン酸を併用した方が良いという提案を受けました。しかし、予算的に厳しかったため、ヒアルロン酸の追加は諦め、今回は糸リフト単独にしました。施術当日は麻酔を打ち、糸を挿入していきましたが、手術中は本当に辛い時間でした。局所麻酔が効いていても、顔が引っ張られている感覚が伝わり、さらに糸のトゲが引っかかるえぐい音が聞こえてきて、気持ち悪かったです。痛み止めを飲んでいても「本当に二度としたくない」と思うほどの苦痛でした。術後のダウンタイムは、腫れや内出血は比較的軽度でしたが、数日間は体を温める行為が禁止されました。クリニックの指示通り、お風呂やサウナは避けました。しかし施術後、鏡を見ても本人の私でさえ、劇的な引き上がりやVラインへの変化を実感できませんでした。特に悩みであったほうれい線も全く消えず、施術前と比べて改善された感覚がありません。周囲の人からも「痩せた?」など、変化を指摘されることは一度もありませんでした。高い費用と施術中の痛みに耐えたにもかかわらず、金ドブだったと感じています。今回の経験からモニター価格やメスをいれない手軽さだけで施術を選ぶことは危険だと感じました。たるみや深いほうれい線といった悩みを確実に改善するには、糸リフト単独では限界があること、そしてヒアルロン酸などの併用が推奨された場合は、無理をしてでも予算を確保するか、施術自体を見送るべきだったということです。メスを使わない小顔術への期待は高かったものの、私の場合は効果が実感できなかったため、非常に後悔しています。もし同じようにたるみに悩んでいる方がいるなら、低価格に惑わされず、まずは経験豊富で技術力の高い医師を選び、複数の治療を組み合わせたトータルプランを検討することを強く推奨します。私にとっては、痛みに耐えたにもかかわらず効果が得られなかった、苦い経験となりました。担当医程璐 銀座院副院長 先生支払金額¥111500施術日2022/05/10
まき30代前半|女性| 4件のレポ (ガチレポ認定 4件)長年の悩みが解消された!
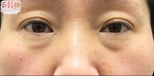
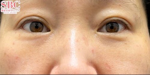
1ヶ月前長年、目の下のふくらみとクマが気になっていて、疲れていなくても「疲れて見える」と言われることが多かったです。
思い切ってシンシア渋谷院で経結膜脱脂術と眼窩脂肪注入を受けました。Googleクチコミや美容サイトを参考に、この院を選びました。
カウンセリングでは、ドクターが親切に対応してくれました。自分の目元の状態に合わせてどの程度脂肪を除去し、どこに注入するかを丁寧に説明してくださり安心感がありました。
院内はとても綺麗で、受付の方やドクター、看護師の方は明るくて優しい印象がありました。大手クリニックとは違う、親しみやすさがありますし、みなさんプライドを持って仕事をしていると感じました。
LINEで予約のやり取りができ、常に毎回、時間通りに診察を受けることができました。
施術当日は麻酔をしてもらったので痛みはほとんどなく、術後は多少の腫れと内出血が数日続いたものの、想定内の範囲でした。術後は少し、目元が腫れぼったい感じはありました。
目の下に内出血が出るので、仕事は1週間ほど休みました。
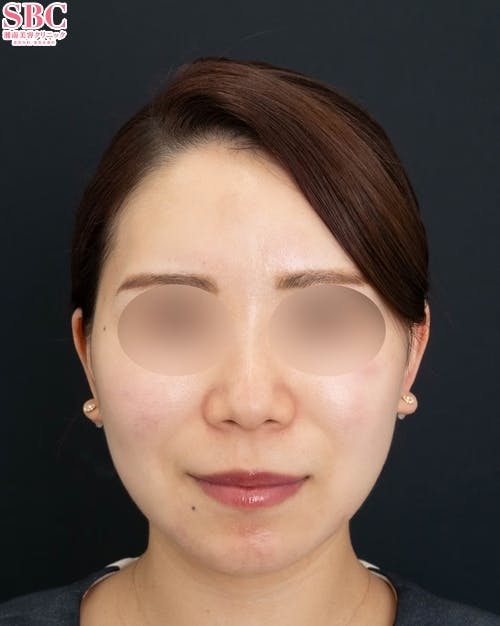
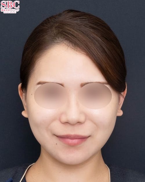
1週間ほどで腫れが落ち着き、目の下の影が和らいで、鏡を見るのが嬉しくなるほど。周囲からも「疲れてない?」「寝不足?」と聞かれることがなくなり、自然に若々しい印象になりました。術後1か月経つと仕上がりが安定し、化粧ノリも格段に良くなりました。ビフォーアフターを見比べるとその差は歴然で、自己投資として満足度は高いです。もちろん個人差はありますが、私にとっては大きな変化と自信につながる経験でした。マッサージ、メイクやスキンケアでは補えない効果を得られるので、悩んでいる人や友人がいたら是非薦めたいです。支払金額¥260000施術日2023/05/24
ゆっきー30代前半|女性| 4件のレポ (ガチレポ認定 4件)普通になれました
1ヶ月前もともと顎がほとんどなく、横顔を撮ると輪郭がぼやけて見えるのがずっとコンプレックスでした。友達からも整形したことを言ったら、「たしかに顎がなかったかも!」と言われるくらいでした。
SNSで「口ゴボ」という言葉を知るようになってから余計に気になるようになり整形を考えました。
骨切りなどの大きな手術は金銭的にもハードルが高かったため、まずはヒアルロン酸で少しでもバランスを整えたいと思い、ツイッターやインスタで調べてたところ、ボラックスが安価で施術できると知り、日比谷セントラルクリニックを選びました。カウンセリングでは高橋先生に診ていただき、「顎がないので3ccでもいい」と言われましたが、初めての整形だったので怖くなってしまい、まずは2ccにしました。押し売りなども全くなく、他にも気になっているところを相談した際にはあまりに気にしなくていいと丁寧に教えてくれたので安心できました。
施術前に冷却をしてから注入が始まりました。針が刺さる痛みはほとんどなく、ただ注入時は顎をぐっと押されるような圧迫感があり、我慢できる痛みでしたが結構痛かったです。
注入中は「中に何か入ってる…!」という不思議な感覚がありました。施術時間は10分ほどで、終わって鏡を見た瞬間に「顎がある!」と感動しました。顎先だけでなく全体的に自然に整えてもらえて満足です。ただ、終わってすぐは顎が動かしづらく、話すときもほぼ口を閉じた状態でしゃべったり、笑えませんでした。2〜3日はなにもしてなくても圧迫されるような鈍痛みが続きましたが、4日目くらいから少しずつ馴染み、1週間後にはほとんど気にならなくなりました。
半年経った今は、もう少し顎を出してシャープにしても良かったかなって思っており、3ccでも良かったかなと思うほどです。ヒアルロン酸はダウンタイムも短く、効果もすぐ感じられるので、手軽に変化を出したい人におすすめです。顎はほんの少し出るだけでも顔全体の印象が変わるので、やって良かったと思いました。
病院のレポを見ることや信頼できるクリニックを捜して、分からないことややりたいことをまず先生に相談してみるのが大事だと思いました。支払金額¥56500施術日2025/04/20
ちゃ20代前半|女性| 1件のレポ (ガチレポ認定 1件)顎の梅干し皺が消えました!
1ヶ月前物心ついた時から正面から見える顎の梅干し皺、横顔の顎なしが気になって口を閉じて真顔になることができませんでした。超大手の湘南美容クリニック含めて沢山のクリニックでカウンセリングを受けた結果、安価で施術をしてくれる品川美容クリニックで施術を受けることに決めました。カウンセリングの待ち時間の短さ、セールスの少なさも当院を決めた理由の一つです。
施術はカウンセリングを受けたその日に受けました。5分程度での施術が可能で翌日以降のダウンタイムもほぼないと言われたためです。化粧は看護補助さんから施術箇所のみ落としていただき、先生に注射を5箇所打ってもらいました。アゴの注射は骨に響く痛さがあり、涙が出たものの、優しく手早く対応してもらい麻酔なしで受けれました。先生は施術後すぐに他の患者さんの施術に行かれ、看護補助の方が優しい言葉をかけながら施術後血が出た顎を抑えてくれてました。その後、化粧直しの場所のご案内もありましたがすぐに帰ることができました。カウンセリングから院を後にするまで小一時間もかからず終えることができました。その後、ダウンタイムはなく、施術直後から顎の変化(梅干し皺消失)がありました。(1週間ほどで効果が出るとの話だったので思ったより早くびっくりしました)2日後くらいにはより滑らかな顎になり、大満足の結果です。3種類の薬剤があり、今回1番安価な韓国製を打ちましたが、十分過ぎる効果だったのでこれからも韓国製を選ぼうと思います。3ヶ月ほどで効果は消えるとのことですが、価格と時間の制約的にも仕事後や予定前の隙間時間でコンスタントに続けられそうなので、今後も特別なことがない限りは品川クリニックを利用させてもらおうと思います。施術日2025/10/03
みみこ30代後半|女性| 2件のレポ (ガチレポ認定 2件)自身が持てる二重になれました!
2ヶ月前笑顔に自信を持つための1歩!加齢による瞼のたるみなのか、数年前から左右非対称の二重幅が気になっていました。
少し怖かったけど、一瞬だった施術時間!
写真を撮る度に、毎回右目の瞼の二重に爪で線を付け直したり、眉間に皺を寄せて二重幅を調整する癖が付いていました。そんな時、お友達が埋没した話を聞き、今は美容整形もアンチエイジングのためだと割り切り、自分で調べ始めました。TikTokで、二重埋没法と言ったら!と、赤尾院長が出てきて、他のクリニックと見比べ、いくつも施術前後の写真を見漁って、こちらのクリニックに決めました。クリニックは大通りに面していて、わかりやすかったです。白を基調としたクリニックで、全体的に混みあっていました。
すっぴんでも自信が持てるように!
カウンセリングは意外とあっさり。緊張していた割には一瞬でした。周囲にバレたくないのと、極端な幅広の二重幅にはしたくなかったので、私の目の形に合う二重幅を、院長と一緒に考えました。慣れていらっしゃるのか、淡々とされている様子で、カウンセリングはあっという間に終了。1度帰宅して、再度夕方施術へ向かいました。笑気麻酔で、薄めを開けるようにと、カウンセリングで先生と練習した通りにし、縫われてる感覚があったので、少し怖かったですが、施術自体はすぐ終わりました。金額に関しては、2点留めから3点留めのクイックコスメティーク・トリプルNeoになったこと。また、瞼のたるみを引き締めるサーマクールも追加したので、少しお高くなりました。施術直後は片目が内出血して、一時的に二重幅も思っていたより広くなりました。思っていたより高額になってしまったこともあり、金額についてYouTubeで再度検索したりして、少し落ち込んでしまうこともありましたが、3日目でだいぶ瞬きの違和感も減り、2週間くらいしたら自然な形になりました。シュミレーション通り、違和感なく希望通りの二重幅になりました!ダウンタイム中は不安でしたが、内出血もメイクで隠れるくらいでしたし、本当にやって良かったです!写真写りを気にする必要もなくなったし、眉間にシワを寄せる癖もなくなりました!
担当医赤尾 健 ゾーン統括ドクター/池袋東口院 院長 先生施術日2023/03/06
にゃんにゃんこ30代後半|女性| 1件のレポ (ガチレポ認定 1件)初めての美容施術を体験してきました!
2ヶ月前昔からエラのはりと顔の大きさが気になっており、韓国アイドルのような小顔になりたいなと思っていました。
ただ大きな施術をする勇気が出なかったのでまずは自宅の近くのクリニックに行くことにしました。
湘南美容外科は大手クリニックなのでアフターケアなども安心できそうな点と、友人が湘南美容クリニックで施術を受けていたのでこちらのクリニックにしました。
院内はとても綺麗で、番号札を持って呼ばれるのを待っていました。少し待ち時間がありましたが無料のドリンクが飲めたりずっとケータイを触れたので退屈ではなかったです。
先にカウンセラーさんとボトックスの効果や注意事項の話がありました。その後すぐ先生との診察でした。医師指名はしていないので、どの先生が来るかドキドキしていましたがとても優しい先生が診察に来てくれました。
エラを触って見てもらい、食いしばりが強いと教えていただきボトックスエラの倍量と、顎下のリニアを提案いただきました。予算オーバーでしたが気になってた部分が改善できると聞いたのと、歯ぎしりも良くなると教えていただき提案いただいたメニューで施術することにしました。
お会計終了後、処置室に案内していただき、まずは看護師さんによるリニアの施術からスタートしました。
ジーンとした痛みがありましたが、看護師さんが気さくに話しかけてくれたおかげで気を紛らわせることができ20分程度で終了しました。
その後、違う部屋に案内され笑気麻酔を吸って先生が来るのを待っていました。笑気麻酔が結構効いていてとてもフワフワした状態だったので、鈍痛の様な違和感を一瞬感じて終了しました。歯医者で打つ麻酔の様なイメージです。
ボトックスが終了したらそのまま帰ることができました。
大きなダウンタイムはなく、リニアを当てた部分だけお風呂に入ると赤みが出ましたが特に痛みや痒みなどはなかったです。
ボトックスの効果が出るのは1ヶ月後と効いていたので楽しみにしてましたが、毎日自分の顔を見るので大きな変化は自分では感じにくかったですが、昔の写真と比べた時に小顔になった印象でした!また、家族からも歯ぎしりしなくなったと言われたので効果を実感することができました。総じて、手軽に小顔になりたい、プチ整形を経験してみたいという方だったら手始めにやってみてもいいのかなと思います!
美容クリニックの雰囲気も感じやすいですし、レーザーや注射なのであっという間に終わりました!!
ボトックスはリピートしたいなと思います!担当医平井 林太郎 技術指導医長/美容 形成外科医 先生施術日1998/02/14
ちょも20代後半|女性| 7件のレポ (ガチレポ認定 7件)ナチュラルに垢抜け
3ヶ月前Eラインを作りたいなと思って
鼻整形の施術に興味がありました。
もともとそれほど低くはないけど
もっと高ければいいなくらいの感覚でした。
自分にとってのベストは上顎を少し下げて鼻を高くして、、
が理想でしたが
上顎というとそれこそ骨切りだったり
ガッチガチの矯正しかなくて
それは諦めました。せめて鼻を高くしたいな、と思って
失敗したとしても溶けるから
と思って
ヒアルロン酸の種類をしっかり調べて
症例もInstagramでちゃんと調べてから
カウンセリングに伺いました。カウンセリングを受けるまでに
何人かのドクターには絞っていて
ほぼここでやると決めてからしか私は行かないので
やる事は決定していたけど
そこに決めた理由として
症例がきれいなのはもちろんのこと、
写真に載っているこのビフォーアフターは
施術直後だから1番綺麗な状態。
ここから少し馴染んだ状態が
私たちが完成と捉える姿になるから
Instagramの症例を信じ過ぎると
あれ?ってなるかもという感じで
どこがピークなのか
そして馴染んだ時どんな感じか
デメリットではないですが
私たちの認識とずれが生じないように
説明がしっかりあったことです。看護師のカウンセリングも
押し売りとかはなく
分かりやすいと思います。その日、ドクターが立て込んでいて
案内されるまで予定の時間よりかなり押した事で
カウンセラーさんか看護師さんが
こまめに後何分くらいとか
すみませんみたいな言葉があったので
まだか、、、という気持ちにあまりならなかったのも
よかったです。施術自体は特に鼻が痛かったけど
ここ痛いよー!とか教えてくれたり
こちらのテンションが上がるような
雰囲気で明るく施術してくれるので
よし!がんばる!となっていました。
出来上がりも鏡で
どの部分に今入れて効果が出てるね、と分かりやすかったです。唇は鼻に入れる予定だったものが余ったのでほんの少し入れてもらって
という感じだったので
施術前後でほぼ違いや効果は分かりません。
痛みもそんなに激痛ではなかったです。ダウンタイム自体は
鼻に違和感や多少の痛みは
数日ありましたが
何かあれば電話かDMで気軽に問い合わせてと案内があったので
安心できました。その後は
写真を撮る時にやっぱり
少し印象が垢抜けたと感じるのと
振り返って写真を見ても
仕上がりは綺麗です。結婚式やイベント、旅行、仕事などの
特別な事がある時に
すごいおすすめです。施術日1993/10/15
りり30代前半|女性| 17件のレポ (ガチレポ認定 17件)
全国のメンズクリニックについてよくある質問
全国には、メンズクリニックは何件ありますか?
全国には、症例写真は何件ありますか?
全国で最も施術メニューが豊富なメンズクリニックはどこですか?
全国で最も口コミが投稿されているメンズクリニックはどこですか?
全国で評判が高いメンズクリニックの医師は?
【全国】メンズクリニックのドクターQA
- 目の下のクマ治療の費用は?現在44歳女性です。三年ほど前から目の下のクマが気になりコンシーラーを使うようになりました。コンシーラーでせっかく隠せたと思っても、昼以降にはメイクが落ちてきてクマが出てきてしまいます。しかもコンシーラーを使った部分は、笑うとしっかりと笑いしわが刻まれていてせっかく楽しく過ごした日だと思っていても、後で鏡で自分の顔を見るとがっかりしてしまいます。一度ヒアルロン酸を入れたのですが一年足らずですぐに元に戻ってしまい、どうしようか迷っています。目の下のクマ治療は一般的には30万円以上の予算が必要だと聞きます。本当にこの予算でないと解決できないのでしょうか? ⋯回答を見る清水 優人先生 が回答
- 下眼瞼除皺術の再施術は?目元のたるみを改善するため3年程前に下眼瞼除皺術を受けました。術後3か月程経った時は、10歳程若返ったようで鏡を見るたび嬉しかったのですが、最近またたるんできたように思います。先日免許の更新で新しくなった免許証の写真を見たら、目元がたるんでいてとてもショックでした。下眼瞼除皺術は何度も受けるものなのでしょうか? ⋯回答を見る村松 正法先生 が回答
- 胸のサイズと柔らかさについて相談。現在Bカップ(見た目はAに近い感覚)なのですが大人になるにつれて胸が小さいことへのコンプレックスと女性らしい柔らかさを感じる胸への憧れが強くなってきました。ボディラインの分かる洋服を着る時に貧相なのが悲しいです。過去に一度カウンセリングへ伺ったことがあるのですが、そもそも注入した際にカバー出来る皮膚の量が無いためまずは皮膚を伸ばすところから必要との説明を受け、そこまで小さいのか…というショックとコスパを考えてしまい断念しています。脂肪注入であれば拒絶反応や不自然さも少ない気がしていて興味があるのですが身体も痩せ型なためやはり自然な柔らかさのある胸にするのは難しいのでしょうか。 ⋯回答を見る清水 優人先生 が回答
- 目のくま手術のメリット・デメリットは?目のくまとり手術について、脱脂法、裏ハムラ法、ヒアルロン酸注入、色々あるようですがまずはそれぞれのメリット・デメリットを詳しく知りたいです。そして私のクマはここ最近で出来たものではなく15年程前から紫色のような感じでずっとあるので、それを踏まえるとどれがいいのでしょうか?又、施術の種類によってアフターケアがどれぐらいの期間を要するのか教えていただければと思います。 ⋯回答を見る清水 優人先生 が回答
- 人中短縮は可能ですか?人中が人より長く、2cmぐらいあります。面長なので人中が長いと更に間延びして見え、恥ずかしくてマスクが外せません。人中短縮メイクを調べたりもしますが、豚鼻なので上手く隠せず、ちょび髭が映えた人みたいになります。美容外科で改善できるでしょうか。 ⋯回答を見る清水 優人先生 が回答












