【港区】おすすめ医療ダイエット・痩身クリニックTOP20|評判の良いクリニックを口コミ・料金・人気で比較
港区の医療ダイエット・痩身クリニックをまとめました。 港区には医療ダイエット・痩身クリニックは148件あり、平均レビューは4.3点、投稿されたレビュー数は1,647件となっています。 人気の医療ダイエット・痩身クリニックは、「麻布台美容皮膚科クリニック(旧:La vie クリニック)(口コミ52件)」「品川スキンクリニック 品川本院(口コミ245件)」などが挙げられます。 施術メニュー・金額としては「❣️キレイレポ限定❣️ ヒアルロン酸 1cc~ | Dr.手打ちでふっくらかわいく👶(¥12,000)」「❣️キレイレポ限定小顔セット❣️ エラボトックス (60単位)+カベリン (~16cc)(¥29,000)」「フォトシルクプラス(顔)(¥8,640)」「フォトシルクプラス(手の甲)(¥1,300)」などがあります。 クリニックを選ぶ際は、アクセスの良さ・通いやすさや、アフターケアの体制を確認することが重要です。医療ダイエット・痩身クリニックをオンライン予約し、プロの医師のカウンセリングを受け、あなたにぴったりの施術を選びましょう。
「神症例」とはキレイレポが認定した症例です。全クリニックを対象としていますが、プロモート掲載クリニックは必ず1つ選定しています。
ボトックス注射・ジャルプロスーパーハイドロ・ヒアルロン酸注射・注入などが好評
美容クリニック・美容皮膚科・美容外科(美容整形)・美容内科・再生医療クリニック・再生医療クリニック・医療ダイエット・痩身クリニック・医療ダイエット・痩身クリニック / 六本木一丁目駅から徒歩7分 六本木駅から徒歩10分 麻布十番駅から徒歩10分 神谷町駅から徒歩11分二の腕の脂肪溶解注射(カベリン)は効果ないはウソ!安くてダウンタイムも隠せる冬の治療がおすすめ!- mikicom




すべて見る- ピックアップ
❣️キレイレポ限定❣️ ヒアルロン酸 1cc~ | Dr.手打ちでふっくらかわいく👶
¥ 12,000 (税込) - ピックアップ
❣️キレイレポ限定小顔セット❣️ エラボトックス (60単位)+カベリン (~16cc)
¥ 29,000 (税込) - ピックアップ
❣️キレイレポ限定❣️ スキンボトックス(マイクロボトックス) | 肌育・毛穴対策ならまずはコレから🩵
¥ 16,000 (税込) - ピックアップ
ジャルプロ スーパーハイドロ
¥ 66,000 (税込) - ピックアップ
スネコス (SUNEKOS®) | Dr.手打ち💉
¥ 20,000 (税込)
施術メニューをもっと見る直近のご予約可能な日木金土日月火水11TEL121314151617おすすめポイント
- “小顔 x 肌育“を専門に満足度を追求!
- ドクター手打ち×リーズナブルを追求
- 初心者でも安心できる優しい雰囲気
月,火,水,木,金,土,日,祝東京都港区麻布台3-1-6-3F- 美容クリニック・美容皮膚科・美容外科(美容整形)・医療脱毛クリニック・AGAクリニック・メンズクリニック・レディースクリニック・美容内科・再生医療クリニック・再生医療クリニック・医療ダイエット・痩身クリニック・医療ダイエット・痩身クリニック / JR品川駅「港南口」徒歩約3分 京急品川駅「高輪口」徒歩約5分









すべて見るフォトシルクプラス(顔)
¥ 8,640 (税込)フォトシルクプラス(手の甲)
¥ 1,300 (税込)レーザートーニング(メドライトC6)全顔
¥ 5,190 (税込)コラーゲンピール(全顔)
¥ 10,800 (税込)コラーゲンピール(その他部位)
¥ 10,800 (税込)
施術メニューをもっと見るおすすめポイント
- 特別なヒアルロン酸で目元を若返らせる
- 無料カウンセリングで安心の施術選び
- 品川駅から徒歩3分の好立地
月,火,水,木,金,土,日,祝東京都港区港南2-5-3 オリックス品川ビル 6F - 美容クリニック・美容皮膚科・医療脱毛クリニック・医療ダイエット・痩身クリニック・医療ダイエット・痩身クリニック / 1.外苑前駅の1a出口を出て、そのまま直進します。 2.Francfranc(フランフラン)がある交差点をまっすぐ渡り、渡った後に左折します。 3.そのまま真っすぐ進むと、右手にリビエラ南青山ビルがございます。 4.ビル入り口右わきの道をまっすぐ進み、突き当りを左折します。 5.そのまま直進し突き当りのエレベーターホールへ入ります。 6.こちらのエレベーターから2Fへお上がりください。









すべて見るボツリヌストキシン注射 スキンボトックス 韓国製(ボツラックス)/アラガン社製(ボトックスビスタ)
¥ 25,000 (税込)ボツリヌストキシン注射 額 韓国製(ボツラックス)/アラガン社製(ボトックスビスタ)
¥ 15,500 (税込)ボツリヌストキシン注射 眉間 韓国製(ボツラックス)/アラガン社製(ボトックスビスタ)
¥ 12,500 (税込)ボツリヌストキシン注射 口角 韓国製(ボツラックス)/アラガン社製(ボトックスビスタ)
¥ 8,800 (税込)ボツリヌストキシン注射 人中 韓国製(ボツラックス)/アラガン社製(ボトックスビスタ)
¥ 8,800 (税込)
施術メニューをもっと見るおすすめポイント
- 痛みを乗り越え、肌質改善を実感するジュベルック注射
- 安心のスケルトン調剤室で信頼感を提供
- 外苑前駅から徒歩5分の好立地
月,火,水,木,金,土,日,祝東京都港区南青山3-3-3 リビエラ南青山 - 美容クリニック・美容皮膚科・美容外科(美容整形)・審美歯科・医療脱毛クリニック・AGAクリニック・レディースクリニック・美容内科・再生医療クリニック・再生医療クリニック・医療ダイエット・痩身クリニック・医療ダイエット・痩身クリニック / 麻布十番駅から徒歩1分





すべて見るELM SILK Program マイルドコース|IPL/ピコトーニング+外用剤+内服
¥ 89,800 (税込)ELM SILK Program 短期集中コース|全顔シミ除去レーザー+外用剤+内服
¥ 129,800 (税込)フォトフェイシャルM22 お顔の治療
¥ 15,800 (税込)フォトフェイシャルM22(デコルテ)
¥ 18,300 (税込)フォトフェイシャルM22(顔+デコルテ)
¥ 33,700 (税込)
施術メニューをもっと見るおすすめポイント
- 最新のフォトフェイシャルで美肌を実現する
- 痛みを感じさせない優しい施術
- 麻布十番駅から徒歩1分の好立地
月,火,水,木,金,土,日,祝東京都港区麻布十番1-9-7 麻布KFビル 4F - 美容クリニック・美容皮膚科・美容外科(美容整形)・医療脱毛クリニック・AGAクリニック・レディースクリニック・美容内科・医療ダイエット・痩身クリニック・医療ダイエット・痩身クリニック / 東京メトロ「表参道駅」より徒歩2分





すべて見るELM SILK Program マイルドコース|IPL/ピコトーニング+外用剤+内服
¥ 89,800 (税込)ELM SILK Program 短期集中コース|全顔シミ除去レーザー+外用剤+内服
¥ 129,800 (税込)フォトフェイシャルM22 お顔の治療
¥ 15,800 (税込)フォトフェイシャル+ハイドラフェイシャルまたはハイドラジェントル
¥ 25,800 (税込)フォトフェイシャルM22(デコルテ)
¥ 18,300 (税込)
施術メニューをもっと見るおすすめポイント
- エレクトロポレーションで肌悩みを解消する
- フォトフェイシャルM22で美白効果を実感
- 表参道駅から徒歩2分の好立地
月,火,水,木,金,土,日,祝東京都港区南青山5-8-1 セーヌアキラ 2F - 美容クリニック・美容皮膚科・美容外科(美容整形)・レディースクリニック・美容内科・再生医療クリニック・再生医療クリニック・医療ダイエット・痩身クリニック・医療ダイエット・痩身クリニック / ■JR山手線・京浜東北線 浜松町駅北口から 徒歩約3分 ■都営大江戸線・浅草線 大門駅A1出口からほぼ直結





すべて見るダーマペン本体×エクソソーム(麻酔代込)
¥ 33,000 (税込)ダーマペン本体
¥ 22,000 (税込)ヴェルベットスキン
¥ 38,500 (税込)サブシジョン
¥ 22,000 (税込)ニキビ面皰圧出
¥ 3,300 (税込)
施術メニューをもっと見る月,火,水,木,金,土,日,祝東京都港区浜松町2丁目1-20 SVAX大門ビル5階 - 美容クリニック・美容皮膚科・美容外科(美容整形)・美容内科・医療ダイエット・痩身クリニック・医療ダイエット・痩身クリニック / JR 山手線 新橋駅 徒歩4分 地下鉄 都営大江戸線 汐留駅 徒歩1分 地下鉄 都営浅草線 新橋駅 徒歩3分 地下鉄 東京メトロ銀座線 新橋駅 徒歩5分 ゆりかもめ 汐留駅 徒歩2分









すべて見るおすすめポイント
- 最新機器ウルトラセルZiで引き上げる
- 患者想いの丁寧なカウンセリング
- 新橋駅から徒歩4分の好立地
月,火,水,木,金,土,日,祝東京都港区東新橋1丁目8-1 カレッタ汐留 47階 - 美容クリニック・美容皮膚科・美容外科(美容整形)・医療脱毛クリニック・AGAクリニック・美容内科・再生医療クリニック・再生医療クリニック・医療ダイエット・痩身クリニック・医療ダイエット・痩身クリニック・オンラインクリニック / ・六本木駅:徒歩1分 ・乃木坂駅:徒歩7分 ・麻布十番駅 / 六本木一丁目駅:徒歩15分毛の処理しなくて良くなりました- さえ









すべて見る引用元:
わかばクリニック 公式サイトヒアルロニダーゼ(当院施術分)
¥ 5,500 (税込)ヒアルロニダーゼ(他院施術分)
¥ 38,500 (税込)脂肪溶解注射 顔
¥ 16,500 (税込)脂肪溶解注射 鼻
¥ 27,500 (税込)脂肪溶解注射 まぶた
¥ 25,300 (税込)
施術メニューをもっと見るおすすめポイント
- 痛みを軽減した脱毛施術で快適に美肌を手に入れる
- 即効性抜群の水光注射でぷるぷる美肌を実現
- 六本木駅から徒歩1分の好立地で通いやすい
月,火,水,木,金,土,日,祝東京都港区六本木7-15番10号 A7ビル 6F
- 美容クリニック・美容皮膚科・美容外科(美容整形)・医療脱毛クリニック・AGAクリニック・メンズクリニック・レディースクリニック・美容内科・再生医療クリニック・再生医療クリニック・医療ダイエット・痩身クリニック・医療ダイエット・痩身クリニック / 東京メトロ銀座線・半蔵門線・千代田線「表参道駅」B2出口 徒歩1分









すべて見るフォトシルクプラス(顔)
¥ 8,640 (税込)フォトシルクプラス(手の甲)
¥ 1,300 (税込)レーザートーニング(メドライトC6)全顔
¥ 5,190 (税込)コラーゲンピール(全顔)
¥ 10,800 (税込)コラーゲンピール(その他部位)
¥ 10,800 (税込)
施術メニューをもっと見るおすすめポイント
- ダーマペンで毛穴を引き締める美肌治療
- フォトシルクプラスで透明感を手に入れる
- 表参道駅から徒歩1分の好立地
月,火,水,木,金,土,日,祝東京都港区北青山3-11-7 Aoビル 10F - 美容クリニック・美容皮膚科・美容外科(美容整形)・医療脱毛クリニック・AGAクリニック・メンズクリニック・レディースクリニック・美容内科・再生医療クリニック・再生医療クリニック・医療ダイエット・痩身クリニック・医療ダイエット・痩身クリニック / 地下鉄 日比谷線六本木駅から徒歩3分/地下鉄 大江戸線六本木駅から徒歩3分(旧麻布警察署裏) ※現在、麻布警察署は移転しましたのでご注意くださいふっくらおでこで若返り- ジャスミン




すべて見る女性医療脱毛 鼻下
¥ 6,545 (税込)女性医療脱毛 顎
¥ 6,545 (税込)女性医療脱毛 顎下・首
¥ 6,545 (税込)女性医療脱毛 もみあげ・頬
¥ 6,545 (税込)女性医療脱毛 うなじ
¥ 11,000 (税込)
施術メニューをもっと見るおすすめポイント
- 安心のカウンセリングで不安を解消する
- 短時間で効果を実感できる小顔注射
- 六本木駅から徒歩3分の好立地
月,火,水,木,金,土,日,祝東京都港区六本木6-6-9 ピラミデ 2F - 美容クリニック・美容皮膚科・美容外科(美容整形)・審美歯科・医療脱毛クリニック・AGAクリニック・メンズクリニック・レディースクリニック・美容内科・再生医療クリニック・再生医療クリニック・医療ダイエット・痩身クリニック・医療ダイエット・痩身クリニック / 湘南美容クリニック新橋銀座口院ではSBCプロフェッショナルチームが在籍! 二重整形、脂肪吸引・骨切・豊胸・くま取り・美容皮膚科、医療脱毛など、各分野のエキスパートが実績豊富な医療技術で悩みを解決します! ■リバウンドしないダイエットを提案 ■中国語・英語対応可









すべて見る二重埋没法
¥ 29,880 (税込)二重埋没法(自然癒着法)
¥ 54,600 (税込)自然癒着セット(上眼瞼脱脂)
¥ 55,270 (税込)SBCデカ目術/切らないまぶたのリフトアップ
¥ 116,320 (税込)切る二重術(切開法)
¥ 250,000 (税込)
施術メニューをもっと見るおすすめポイント
- 形成外科専門医による安心の鼻整形
- ダウンタイムが少ない目頭切開
- 新橋駅から徒歩5分のアクセス便利なクリニック
月,火,水,木,金,土,日,祝東京都港区新橋1-12-9 A-PLACE新橋駅前 9F - 美容クリニック・美容皮膚科・美容外科(美容整形)・審美歯科・医療脱毛クリニック・AGAクリニック・メンズクリニック・レディースクリニック・美容内科・再生医療クリニック・再生医療クリニック・医療ダイエット・痩身クリニック・医療ダイエット・痩身クリニック / ・JR品川駅 港南口から徒歩3分 ・京浜急行品川駅 港南口から徒歩3分梅干しジワがスッキリ- ぬのなの









すべて見る二重埋没法
¥ 29,880 (税込)二重埋没法(自然癒着法)
¥ 54,600 (税込)自然癒着セット(上眼瞼脱脂)
¥ 55,270 (税込)SBCデカ目術/切らないまぶたのリフトアップ
¥ 116,320 (税込)切る二重術(切開法)
¥ 250,000 (税込)
施術メニューをもっと見るおすすめポイント
- ダウンタイムが短い二重整形で自然な仕上がりを実現
- リーズナブルな価格で安心の医療脱毛を提供
- JR品川駅から徒歩3分の通いやすさ
月,火,水,木,金,土,日,祝東京都港区港南2-4-3 三和港南ビル 3F - 美容クリニック・美容皮膚科・美容外科(美容整形)・医療脱毛クリニック・メンズクリニック・美容内科・医療ダイエット・痩身クリニック・医療ダイエット・痩身クリニック / 表参道駅A4出口から徒歩3分イチゴ鼻から解放されました!- ほうじちゃ





すべて見るLED治療(ヒーライトⅡ)
¥ 5,500 (税込)イオン導入(ビタミンCE、ビタミンC)
¥ 5,500 (税込)ピーリング+ビタミンCE導入
¥ 12,620 (税込)ピーリング+ビタミンC導入
¥ 7,120 (税込)LED治療・イオン導入オプション ニキビ圧出
¥ 2,200 (税込)
施術メニューをもっと見るおすすめポイント
- 優しい施術で毛穴の角栓をスッキリ除去する
- 短時間でシワを改善するボトックス注射
- 表参道駅から徒歩3分のアクセス便利なクリニック
月,火,水,木,金,土,日,祝東京都港区南青山3-18-5 モンテプラザ 2·3F - 美容クリニック・美容皮膚科・美容外科(美容整形)・医療脱毛クリニック・AGAクリニック・メンズクリニック・レディースクリニック・美容内科・再生医療クリニック・再生医療クリニック・医療ダイエット・痩身クリニック・医療ダイエット・痩身クリニック / 東京メトロ 銀座線・半蔵門線・千代田線「表参道」駅 B5地上出口より徒歩1分



引用元:
青山外苑前クリニック 公式サイト医療脱毛 時間脱毛30分
¥ 25,000 (税込)医療脱毛 全顔
¥ 19,800 (税込)医療脱毛 眉周り
¥ 6,600 (税込)医療脱毛 鼻下
¥ 3,300 (税込)医療脱毛 唇周り
¥ 6,600 (税込)
施術メニューをもっと見るおすすめポイント
- 黄金比に基づく自然な仕上がりを実現
- 表参道駅から徒歩1分の好立地
- リーズナブルな価格で高技術を提供
月,火,水,木,金,土東京都港区北青山3-7-2 FPGリンクス表参道II 2F - 美容クリニック・美容皮膚科・美容外科(美容整形)・医療脱毛クリニック・AGAクリニック・メンズクリニック・レディースクリニック・美容内科・再生医療クリニック・再生医療クリニック・医療ダイエット・痩身クリニック・医療ダイエット・痩身クリニック / JR品川駅「港南口」徒歩約3分 京急品川駅「高輪口」徒歩約5分



引用元:
品川美容外科品川本院 公式サイトフォトシルクプラス(顔)
¥ 8,640 (税込)フォトシルクプラス(手の甲)
¥ 1,300 (税込)レーザートーニング(メドライトC6)全顔
¥ 5,190 (税込)コラーゲンピール(全顔)
¥ 10,800 (税込)コラーゲンピール(その他部位)
¥ 10,800 (税込)
施術メニューをもっと見るおすすめポイント
- 安心のカウンセリングで理想の二重を実現
- 品川駅から徒歩2分の好立地で通いやすい
- リーズナブルな価格で高品質な施術を提供
月,火,水,木,金,土,日,祝東京都港区港南2-5-3 オリックス品川ビル 9F - 美容クリニック・美容皮膚科・美容外科(美容整形)・医療脱毛クリニック・AGAクリニック・メンズクリニック・レディースクリニック・美容内科・医療ダイエット・痩身クリニック・医療ダイエット・痩身クリニック / JR山手線田町駅三田口より徒歩1分 都営浅草線・三田線「A3」出口1より徒歩30秒









すべて見る女性医療脱毛 全身
¥ 22,000 (税込)女性医療脱毛 全身+VIO
¥ 29,999 (税込)女性医療脱毛 全身+VIO+顔
¥ 34,999 (税込)男性医療脱毛 全身
¥ 33,000 (税込)男性医療脱毛 全身+VIO
¥ 44,999 (税込)
施術メニューをもっと見るおすすめポイント
- リーズナブルなボトックスで手軽に美しさを実感する
- 安心の医療脱毛でムダ毛処理を楽にする
- 田町駅から徒歩1分の好アクセス
月,火,水,木,金,土,日,祝東京都港区 芝5-27-13 YA三田ビル 4F・2F - 美容クリニック・美容皮膚科・美容外科(美容整形)・医療脱毛クリニック・AGAクリニック・レディースクリニック・美容内科・再生医療クリニック・再生医療クリニック・医療ダイエット・痩身クリニック・医療ダイエット・痩身クリニック / 新橋駅 銀座口 徒歩0分





すべて見る女性医療脱毛 スターター(ワキ)セット(ワキ+ヒジ下+ヒザ下)
¥ 60,610 (税込)女性医療脱毛 スターター(Vライン)セット(Vライン+ヒジ下+ヒザ下)
¥ 60,610 (税込)女性医療脱毛 腕&脚すっきりセット(ヒジ上+ヒジ下+ヒザ上+ヒザ+ヒザ下)
¥ 133,760 (税込)女性医療脱毛 エチケットセット/ハイジニーナセット/VIO
¥ 9,800 (税込)女性医療脱毛 ハイジニーナセット+小陰唇縮小術
¥ 165,000 (税込)
施術メニューをもっと見るおすすめポイント
- 医療脱毛で肌トラブルを解消する
- シミ取り施術で美肌を手に入れる
- 新橋駅 銀座口から徒歩0分の好立地
月,火,水,木,金,土,日,祝東京都港区新橋2-18-9 第3光和ビル 4F - 美容クリニック・美容皮膚科・美容外科(美容整形)・美容内科・医療ダイエット・痩身クリニック・医療ダイエット・痩身クリニック / 銀座線・千代田線・半蔵門線「表参道」駅 徒歩2分


ボトックス注射 エラ
¥ 22,800 (税込)ボトックス注射 唾液腺(耳下腺/顎下線)
¥ 22,800 (税込)ボトックス注射 鼻翼
¥ 9,800 (税込)ボトックス注射 口角
¥ 9,800 (税込)ボトックス注射 ガミー
¥ 9,800 (税込)
施術メニューをもっと見るおすすめポイント
- 安心のボトックス施術で小顔を実現する
- ナチュラルな涙袋を手に入れるヒアルロン酸注入
- 表参道駅から徒歩2分のアクセス便利なクリニック
月,火,水,木,金,土,日,祝東京都港区北青山3丁目5-40YCビルⅡ 2階 - 美容クリニック・美容皮膚科・美容外科(美容整形)・医療脱毛クリニック・AGAクリニック・メンズクリニック・レディースクリニック・美容内科・再生医療クリニック・再生医療クリニック・医療ダイエット・痩身クリニック・医療ダイエット・痩身クリニック / 六本木駅(日比谷線・大江戸線)

ヒアルロン酸 ボルベラ
¥ 9,800 (税込)ヒアルロン酸 ボリューマ
¥ 9,800 (税込)ヒアルロン酸 ボラックス
¥ 12,800 (税込)ヒアルロン酸
¥ 5,800 (税込)ヒアルロン酸溶解注射
¥ 44,000 (税込)
施術メニューをもっと見るおすすめポイント
- 痛みを抑えた足のボトックス施術で美脚を実現
- ダウンタイムなしのハイドラフェイシャルで透明感UP
- 六本木駅から徒歩5分、アクセス良好なクリニック
月,火,水,木,金,土,日,祝東京都港区六本木6-1-26 六本木天城ビル 6階 - 美容クリニック・美容皮膚科・美容外科(美容整形)・AGAクリニック・メンズクリニック・レディースクリニック・美容内科・再生医療クリニック・再生医療クリニック・医療ダイエット・痩身クリニック・医療ダイエット・痩身クリニック / 東京メトロ千代田線「赤坂駅」徒歩3分。 東京メトロ銀座線・南北線「溜池山王駅」徒歩7分。 東京メトロ銀座線・丸ノ内線「赤坂見附駅」徒歩10分。





すべて見る引用元:
東京美容外科 赤坂院 公式サイト埋没二重
¥ 33,000 (税込)埋没糸抜去(自院)
¥ 55,000 (税込)埋没糸抜去(他院)
¥ 110,000 (税込)切開二重
¥ 220,000 (税込)眼瞼下垂
¥ 298,000 (税込)
施術メニューをもっと見る月,火,水,木,金,土,日,祝東京都港区赤坂6-6-3 2F美容外科・3F審美歯科 - 美容クリニック・美容皮膚科・医療脱毛クリニック・AGAクリニック・メンズクリニック・レディースクリニック・美容内科・医療ダイエット・痩身クリニック・医療ダイエット・痩身クリニック / 東京メトロ日比谷線・都営大江戸線「六本木駅」 7番出口から徒歩1分



すべて見るHairReactive®
¥ 20,680 (税込)HairReactiveD®
¥ 20,680 (税込)発毛エクソソーム塗布
¥ 107,800 (税込)成長因子皮下注療法(注射器/ニードル)
¥ 27,280 (税込)ダーマペンメソセラピー
¥ 27,280 (税込)
施術メニューをもっと見るおすすめポイント
- ボトックスでシワを予防し、若々しさを保つ
- 丁寧なカウンセリングで安心感を提供
- 六本木駅から徒歩1分でアクセス抜群
月,火,水,木,金,土東京都港区六本木7-13-2 アーバンビル 5階 - 美容クリニック・美容皮膚科・美容外科(美容整形)・医療脱毛クリニック・メンズクリニック・美容内科・医療ダイエット・痩身クリニック・医療ダイエット・痩身クリニック / 表参道駅A4出口から徒歩1分赤み、凸凹がちょっと改善された- おざたく



すべて見るLED治療(ヒーライトⅡ)
¥ 5,500 (税込)イオン導入(ビタミンCE、ビタミンC)
¥ 5,500 (税込)ピーリング+ビタミンCE導入
¥ 12,620 (税込)ピーリング+ビタミンC導入
¥ 7,120 (税込)LED治療・イオン導入オプション ニキビ圧出
¥ 2,200 (税込)
施術メニューをもっと見る月,火,水,木,金,土,日,祝東京都港区南青山3-18-20 松本ビル 3F・4F・5F - 美容クリニック・美容皮膚科・美容外科(美容整形)・美容内科・医療ダイエット・痩身クリニック・医療ダイエット・痩身クリニック / 表参道駅より徒歩1分



おすすめポイント
- ヒアルロン酸注射で若返りを実感する
- ニキビ跡改善レーザー治療で自信を取り戻す
- 表参道駅から徒歩1分で通いやすい
月,火,水,木,金,土,日,祝東京都東京都港区南青山3-18-17 エイジービル 6階 - 美容クリニック・美容皮膚科・美容外科(美容整形)・審美歯科・医療脱毛クリニック・AGAクリニック・メンズクリニック・レディースクリニック・美容内科・再生医療クリニック・再生医療クリニック・医療ダイエット・痩身クリニック・医療ダイエット・痩身クリニック / 東京メトロ銀座線・東京メトロ千代田線・東京メトロ半蔵門線が通る「表参道駅」B2出口から徒歩1分効果に、感動- まきろん









すべて見る二重埋没法
¥ 29,880 (税込)二重埋没法(自然癒着法)
¥ 54,600 (税込)自然癒着セット(上眼瞼脱脂)
¥ 55,270 (税込)SBCデカ目術/切らないまぶたのリフトアップ
¥ 116,320 (税込)切る二重術(切開法)
¥ 250,000 (税込)
施術メニューをもっと見るおすすめポイント
- 理想の二重を実現するフォーエバー二重埋没法
- 痛みを感じないウルトラ美肌脱毛で全身スッキリ
- 表参道駅から徒歩1分のアクセス便利なクリニック
月,火,水,木,金,土,日,祝東京都港区北青山3-11-7 AOビル 7F - 美容クリニック・AGAクリニック・メンズクリニック・レディースクリニック・美容内科・医療ダイエット・痩身クリニック・医療ダイエット・痩身クリニック / JR 新橋駅 南改札 烏森口から徒歩2分



すべて見るプラセンタ注射
¥ 500 (税込)ビタミン注射
¥ 500 (税込)美白注射
¥ 500 (税込)Lシステイン注射
¥ 500 (税込)スーパーにんにく点滴
¥ 1,650 (税込)
施術メニューをもっと見るおすすめポイント
- 流れ作業でスピーディーに施術を受ける
- お手頃価格で効果を実感する
- 新橋駅から徒歩2分の好立地
月,火,水,木,金,土東京都港区新橋3-11-1 マルイト新橋ビル 1階 - 美容クリニック・美容皮膚科・美容外科(美容整形)・医療脱毛クリニック・AGAクリニック・レディースクリニック・美容内科・再生医療クリニック・再生医療クリニック・医療ダイエット・痩身クリニック・医療ダイエット・痩身クリニック / 各線「品川駅」高輪口より徒歩5分



二重埋没法|ナチュラルアイスレッド
¥ 79,200 (税込)二重埋没法|スタンダード二重術
¥ 50,400 (税込)抜糸
¥ 220,000 (税込)脱脂法
¥ 198,000 (税込)全切開法
¥ 440,000 (税込)
施術メニューをもっと見る月,火,水,木,金,土,日,祝東京都 港区高輪4-24-58 サマセット品川東京 2階 - 美容クリニック・美容皮膚科・美容外科(美容整形)・医療脱毛クリニック・メンズクリニック・レディースクリニック・美容内科・医療ダイエット・痩身クリニック・医療ダイエット・痩身クリニック / 東京メトロ銀座線 外苑前駅 (1b出口)より徒歩約3分



おすすめポイント
- 理想の鼻を実現する注入施術
- おしゃれな院内で安心のカウンセリング
- 外苑前駅から徒歩3分の好立地
月,火,水,木,金,土,日,祝東京都港区南青山2-23-8 外苑ビル2・3F - 美容クリニック・美容皮膚科・医療ダイエット・痩身クリニック・医療ダイエット・痩身クリニック / 南北線・大江戸線麻布十番駅4番出口より徒歩2分









すべて見るボトックス 額
¥ 33,000 (税込)ボトックス 眉間
¥ 27,500 (税込)ボトックス 眉間+額のセット
¥ 44,000 (税込)ボトックス 目じり(両側)
¥ 33,000 (税込)ボトックス あご
¥ 22,000 (税込)
施術メニューをもっと見るおすすめポイント
- ボトックス施術で理想のフェイスラインを実現する
- 完全個室でプライバシーを守る安心の施術環境
- 麻布十番駅から徒歩2分の好立地
月,火,水,木,金,土,日,祝東京都港区麻布十番2-14-11 ルート麻布ビル 5階 - 美容クリニック・美容皮膚科・美容外科(美容整形)・AGAクリニック・メンズクリニック・レディースクリニック・美容内科・再生医療クリニック・再生医療クリニック・医療ダイエット・痩身クリニック・医療ダイエット・痩身クリニック / 浜松町駅 徒歩4分 大門駅 徒歩4分 御成門駅 徒歩9分









すべて見る二重埋没法
¥ 27,280 (税込)二重埋没法
¥ 43,780 (税込)二重埋没法 自然癒着法
¥ 219,780 (税込)二重埋没法 自然癒着法
¥ 164,780 (税込)切らない全癒着二重術+眼瞼下垂
¥ 429,000 (税込)
施術メニューをもっと見る月,木,金,土,日,祝東京都港区浜松町1丁目6-15 VORT浜松町1 2階 - 美容クリニック・美容皮膚科・美容外科(美容整形)・医療脱毛クリニック・AGAクリニック・レディースクリニック・美容内科・再生医療クリニック・再生医療クリニック・医療ダイエット・痩身クリニック・医療ダイエット・痩身クリニック / JR、東京メトロ銀座線、都営地下鉄線「新橋駅」汐留口改札から地下直結 徒歩1分









すべて見る引用元:
アーツ銀座クリニック 公式サイトおすすめポイント
- 痛みゼロでスピーディにほくろ除去する
- カウンセリング重視で安心感を提供
- 新橋駅から徒歩1分の好立地
月,火,水,木,金,土,祝東京都港区新橋2-20-15 新橋駅前ビル1号館 201 - 美容クリニック・美容皮膚科・美容外科(美容整形)・AGAクリニック・メンズクリニック・レディースクリニック・美容内科・再生医療クリニック・再生医療クリニック・医療ダイエット・痩身クリニック・医療ダイエット・痩身クリニック / ・東京メトロ 銀座線・丸の内線 赤坂見附駅 ・・・10番出口 目の前 マツモトキヨシさん3階 ・有楽町線・半蔵門線・南北線 永田町駅・・・徒歩7分





すべて見る他院修正
¥ 88,000 (税込)異物除去
¥ 165,000 (税込)眉下切開(眉下リフト)
¥ 480,000 (税込)前額リフト
¥ 980,000 (税込)こめかみリフト
¥ 660,000 (税込)
施術メニューをもっと見るおすすめポイント
- エリカ先生の技術で理想の目元を実現
- 安心のカウンセリングで悩みを解消
- 赤坂見附駅から徒歩1分の好立地
月,火,水,木,金,土,日,祝東京都港区赤坂3-9-5 マーブル赤坂 3階 - 美容クリニック・美容皮膚科・美容外科(美容整形)・審美歯科・医療脱毛クリニック・AGAクリニック・美容内科・医療ダイエット・痩身クリニック・医療ダイエット・痩身クリニック / 日比谷線「六本木駅」徒歩1分 東京メトロ日比谷線「六本木」駅2番出口から徒歩1分 都営大江戸線「六本木駅」徒歩4分









すべて見る引用元:
今泉スキンクリニック 公式サイトヒアルロン酸注射
¥ 66,000 (税込)エランセ
¥ 99,000 (税込)ベビーコラーゲン注射
¥ 66,000 (税込)スネコスパフォルマ注射
¥ 110,000 (税込)ヒアルロン酸分解剤
¥ 44,000 (税込)
施術メニューをもっと見るおすすめポイント
- CO2レーザーでホクロをスピーディーに除去する
- 個室で安心!丁寧なカウンセリング
- 六本木駅から徒歩5分の好立地
月,火,水,木,金,土,日,祝東京都港区六本木7-18-8 第Ⅲ大栄ビル 6F - 美容クリニック・美容皮膚科・AGAクリニック・レディースクリニック・美容内科・医療ダイエット・痩身クリニック・医療ダイエット・痩身クリニック / 銀座線・外苑前駅4a出口より徒歩2分 大江戸線・青山一丁目駅5番出口より徒歩5分つるんと艶肌に!毎月通いたい!- miku



すべて見るマッサージピール|顏
¥ 5,980 (税込)ミラノリピール|顏
¥ 5,980 (税込)ミラノリピール|背中
¥ 8,980 (税込)エレクトロポレーション(ケアシス)
¥ 4,980 (税込)ハイドラジェントル
¥ 5,980 (税込)
施術メニューをもっと見る月,火,水,木,金,土,日,祝東京都港区南青山2-22-2KS南青山1階 - 美容クリニック・美容皮膚科・美容外科(美容整形)・医療脱毛クリニック・AGAクリニック・美容内科・再生医療クリニック・再生医療クリニック・医療ダイエット・痩身クリニック・医療ダイエット・痩身クリニック / 東京メトロ銀座線・千代田線・半蔵門線 表参道駅下車A4出口1分








すべて見るフラクショナルCO2レーザー
¥ 44,000 (税込)モザイク
¥ 44,000 (税込)ピコフラクショナル
¥ 44,000 (税込)パールフラクショナル
¥ 82,500 (税込)Pearl(パール)
¥ 66,000 (税込)
施術メニューをもっと見る月,火,水,木,金,土,日,祝東京都港区南青山3-18-16 ル・ボワビル 4F - 美容クリニック・美容皮膚科・美容外科(美容整形)・AGAクリニック・メンズクリニック・レディースクリニック・美容内科・医療ダイエット・痩身クリニック・医療ダイエット・痩身クリニック / 日比谷線「神谷町駅」から徒歩2分 (4a・4b側の改札を出て、メトロシティ神谷町出口から地上に上がってすぐ)









すべて見るおすすめポイント
- 痛みを伴うが効果抜群のニキビ跡治療を実現する
- 高級感あふれるクリニックで安心のカウンセリング
- 神谷町駅から徒歩2分のアクセス便利な立地
月,火,水,木,金,土,日,祝東京都港区虎ノ門4-3-10 虎ノ門きよしビル 3階 - 美容クリニック・美容皮膚科・美容外科(美容整形)・AGAクリニック・メンズクリニック・レディースクリニック・美容内科・再生医療クリニック・再生医療クリニック・医療ダイエット・痩身クリニック・医療ダイエット・痩身クリニック / 銀座線 表参道駅 半蔵門線 表参道駅 千代田線 表参道駅 各路線 表参道駅B1出口より徒歩5分



おすすめポイント
- エクソソームで全身の若返りを実感する
- ヒト由来のベビーコラーゲンで自然な美肌を手に入れる
- 表参道駅から徒歩5分のアクセス便利なクリニック
月,火,水,木,金,土,日,祝東京都港区南青山5-11-10 南青山511ビル 2F - 美容クリニック・美容皮膚科・美容外科(美容整形)・レディースクリニック・美容内科・再生医療クリニック・再生医療クリニック・医療ダイエット・痩身クリニック・医療ダイエット・痩身クリニック / 都営大江戸線・東京メトロ日比谷線 六本木駅すぐ、東京ミッドタウンの南隣




すべて見るおすすめポイント
- 痛みを軽減したホクロ・イボ除去
- 無痛で心地よいジェネシスレーザー
- 六本木駅から徒歩3分の好立地
月,火,水,木,金,土,日,祝東京都港区六本木4-12-11 R.タケオカビル 5階 - 美容クリニック・美容皮膚科・美容外科(美容整形)・医療脱毛クリニック・医療ダイエット・痩身クリニック・医療ダイエット・痩身クリニック / 外苑前駅3番出口徒歩2分ふくらはぎボトでコンプレックスなくなりました- nanako




すべて見る二重埋没法
¥ 55,000 (税込)二重切開法
¥ 220,000 (税込)目頭・目尻切開
¥ 330,000 (税込)涙袋形成(涙堂形成)
¥ 66,000 (税込)上まぶたのたるみ
¥ 385,000 (税込)
施術メニューをもっと見るおすすめポイント
- ふくらはぎボトックスで美脚を実現する
- 清潔感あふれるおしゃれな空間で安心施術
- 外苑前駅から徒歩2分の好立地
月,火,水,木,金,土,日,祝東京都港区北青山2-7-26 ランドワーク青山ビル 7F - 美容クリニック・美容皮膚科・美容外科(美容整形)・AGAクリニック・レディースクリニック・美容内科・医療ダイエット・痩身クリニック・医療ダイエット・痩身クリニック / 銀座線「外苑前」駅 1a出口 徒歩4分/銀座線・千代田線・半蔵門線「表参道」駅 A4 徒歩7分顎のヒアルロン酸でシャープな顔になりました!- mi



ピコスポット(5㎜以内)
¥ 5,500 (税込)ピコトーニング
¥ 16,500 (税込)ライムライト
¥ 14,300 (税込)シワ改善|ボトックス注入
¥ 9,900 (税込)シワ改善|ヒアルロン酸注入
¥ 33,000 (税込)
施術メニューをもっと見る月,火,水,木,金,土,日,祝東京都港区南青山3-3-3 リビエラ南青山B館 4F - 美容クリニック・美容皮膚科・美容外科(美容整形)・医療脱毛クリニック・AGAクリニック・メンズクリニック・美容内科・再生医療クリニック・再生医療クリニック・医療ダイエット・痩身クリニック・医療ダイエット・痩身クリニック / 東京メトロ日比谷線 六本木駅 1C出口へ 都営大江戸線 六本木駅 3出口へほうれい線が自然に薄くなりました!- こめちゃん









すべて見るアオハルハイフ
¥ 170,500 (税込)アオハルハイフEX
¥ 224,400 (税込)イントラジェン
¥ 70,400 (税込)ヒアルロン酸注入
¥ 110,000 (税込)ウルトラセル
¥ 231,000 (税込)
施術メニューをもっと見るおすすめポイント
- ヒアルロン酸注入で自然な若返りを実現
- 信頼できる専門医による丁寧なカウンセリング
- 六本木駅から徒歩5分の好立地
月,火,水,木,金,土,祝東京都港区六本木6-15-1 六本木ヒルズけやき坂テラス 5F - 美容クリニック・美容皮膚科・美容外科(美容整形)・レディースクリニック・美容内科・再生医療クリニック・再生医療クリニック・医療ダイエット・痩身クリニック・医療ダイエット・痩身クリニック / 大江戸線7番・南北線4番出入口より徒歩3分ほうれい線が濃くなってきてなんとかしたいと思い調べていたところほうれい線ヒアルロン酸を知ったので、ネットで調べてカウンセリングを受けてみました。ヒアルロン酸注射の施術に関して丁寧に説明していただき不安も無くなったので施術を決めました。麻酔をしていただけたので施術の痛みはほぼなく推されるような感覚があるだけでした。施術後はほうれい線のこけ感が無くなりほうれい線が消えたので驚きました!本当に変われて嬉しかったです!大満足!先生には感謝しています!- takahasi









すべて見るシミ取り(ピコスポット)
¥ 1,650 (税込)ピコトーニング
¥ 4,400 (税込)ピコフラクショナル(成長因子マスク付)
¥ 19,800 (税込)ピコダブル(トーニング+フラクショナル+成長因子マスク付)
¥ 33,000 (税込)ブランシェセット(ケアシス)
¥ 38,800 (税込)
施術メニューをもっと見るおすすめポイント
- ほうれい線を消して若返るヒアルロン酸注射
- 痛みを感じないアートメイクで美眉を手に入れる
- 大江戸線・南北線から徒歩3分の好立地
月,火,水,木,金,土,日,祝東京都港区麻布十番1-5-18 カートブラン麻布十番 7F - 美容クリニック・美容皮膚科・レディースクリニック・美容内科・医療ダイエット・痩身クリニック・医療ダイエット・痩身クリニック / ■電車でのアクセス 東京メトロ「白金高輪駅」から560m(徒歩7分) 東京メトロ「麻布十番駅」から800m(徒歩10分) ■バスでのアクセス 都営バス「三田五丁目」から160m(徒歩2分)



すべて見る引用元:
しのぶ皮膚科 公式サイトヒアルロン酸注射|小顔カスタマイズ
¥ 110,000 (税込)ヒアルロン酸注射|涙袋
¥ 110,000 (税込)ヒアルロン酸注射|鼻/小鼻
¥ 55,000 (税込)ヒアルロン酸注射|パーツ別(1部位)
ベビーコラーゲン
¥ 132,000 (税込)
施術メニューをもっと見るおすすめポイント
- 安心のヒアルロン酸施術で美肌を実現
- 保険診療と自由診療の組み合わせで最適な治療
- 白金高輪駅から徒歩7分の好立地
月,火,水,木,金,土,日,祝東京都港区三田5-2-18 三田ハウス 104 - 美容クリニック・美容皮膚科・美容外科(美容整形)・メンズクリニック・レディースクリニック・美容内科・再生医療クリニック・再生医療クリニック・医療ダイエット・痩身クリニック・医療ダイエット・痩身クリニック / 表参道駅から徒歩3分



ヒアルロン酸(アラガン)|ボルベラXC
¥ 88,000 (税込)ヒアルロン酸(アラガン)|ボリューマXC
¥ 88,000 (税込)ヒアルロン酸(アラガン)|ボリフトXC
¥ 88,000 (税込)ヒアルロン酸(アラガン)|ボラックスXC
¥ 88,000 (税込)ヒアルロン酸(アラガン)|ボルベラXC(涙袋に限り)
¥ 29,800 (税込)
施術メニューをもっと見るおすすめポイント
- 安心のカウンセリングで悩みを解消する
- ダウンタイムが少ない施術で美しさを手に入れる
- 表参道駅から徒歩3分の好立地
月,火,水,木,金,土,日,祝東京都港区南青山5-2-12 Gビル南青山03 1F/2F - 美容クリニック・美容皮膚科・美容外科(美容整形)・医療脱毛クリニック・AGAクリニック・メンズクリニック・美容内科・再生医療クリニック・再生医療クリニック・医療ダイエット・痩身クリニック・医療ダイエット・痩身クリニック / 表参道駅A5出口から徒歩2分



おすすめポイント
- 高級感あふれるリラックス空間で施術を受ける
- 丁寧な施術で肌の悩みを解消する
- 表参道駅A5出口から徒歩2分の好立地
月,火,水,金,土,日,祝東京都港区南青山5-3-25 オウビル B1-2F - 美容クリニック・美容皮膚科・美容皮膚科・美容外科(美容整形)・美容外科(美容整形)・メンズクリニック・メンズクリニック・美容内科・美容内科・医療ダイエット・痩身クリニック・医療ダイエット・痩身クリニック / 赤坂見附駅 10番出口より徒歩1分 ※エレベーターは10時から稼働となりますのでご注意ください。








すべて見る施術メニューをもっと見る月,火,水,木,金,土,日,祝東京都港区赤坂3丁目9−3 赤坂リバティビル3階 - 美容クリニック・美容皮膚科・美容外科(美容整形)・医療脱毛クリニック・AGAクリニック・メンズクリニック・レディースクリニック・美容内科・再生医療クリニック・再生医療クリニック・医療ダイエット・痩身クリニック・医療ダイエット・痩身クリニック / 白金台駅 出口1から徒歩1分 道路を挟んでプラチナ ドン・キホーテ 白金台店の向かえになります。整形らびちゃん- takaちゃん



二重埋没
¥ 66,000 (税込)目の下くま取り
¥ 280,000 (税込)たれ目形成術
¥ 217,800 (税込)眼瞼下垂症
¥ 418,000 (税込)二重切開法
¥ 220,000 (税込)
施術メニューをもっと見るおすすめポイント
- ダウンタイムゼロで安心!ポテンツァ施術
- 良心的な価格で通いやすい!
- 白金台駅から徒歩1分の好立地!
月,火,水,木,金,土,日,祝東京都港区白金台4-9-10 グリーンリーブス 2F - 美容クリニック・美容皮膚科・美容外科(美容整形)・医療脱毛クリニック・AGAクリニック・メンズクリニック・美容内科・再生医療クリニック・再生医療クリニック・医療ダイエット・痩身クリニック・医療ダイエット・痩身クリニック / 都営大江戸線「六本木駅」8番出口より直結 東京メトロ日比谷線「六本木駅」8番出口より地下通路にて直結 東京メトロ千代田線「乃木坂駅」3番出口より徒歩7分 東京メトロ南北線「六本木一丁目駅」1番出口より徒歩8分
- 美容クリニック・美容皮膚科・美容外科(美容整形)・医療脱毛クリニック・AGAクリニック・メンズクリニック・美容内科・医療ダイエット・痩身クリニック・医療ダイエット・痩身クリニック / 東京メトロ新橋駅徒歩1分長年のコンプレックスが解消しました- キリト



AGA 治療 3か月短期発毛トライアル
¥ 18,000 (税込)AGA 治療 内服
¥ 4,800 (税込)AGA 治療 外用薬
¥ 6,000 (税込)ED治療 内服
¥ 830 (税込)医療脱毛 ヒゲ3部位(鼻下・顎・顎下)
¥ 9,800 (税込)
施術メニューをもっと見る月,火,水,木,金,土,日,祝東京都港区新橋1丁目 8-4 丸忠ビル7F-B - 美容クリニック・美容皮膚科・美容外科(美容整形)・医療脱毛クリニック・AGAクリニック・レディースクリニック・美容内科・再生医療クリニック・再生医療クリニック・医療ダイエット・痩身クリニック・医療ダイエット・痩身クリニック / 表参道駅B3出口 徒歩30秒リーズナブルな価格で満足のいく仕上がり- Kumapuma
- 美容クリニック・美容皮膚科・美容外科(美容整形)・医療脱毛クリニック・AGAクリニック・メンズクリニック・美容内科・再生医療クリニック・再生医療クリニック・医療ダイエット・痩身クリニック・医療ダイエット・痩身クリニック / 麻布十番徒歩4分









すべて見るベースメントFACEMAKING ベーシック
¥ 38,500 (税込)ベースメントFACEMAKING ベースメントFACEMAKING プレミアム
¥ 44,000 (税込)ベースメントFACEMAKING プレミアムリッチ
¥ 55,000 (税込)インジェクションFACEMAKING
¥ 198,000 (税込)ボトックス注射 眉間+額セット (アラガン社製)
¥ 48,400 (税込)
施術メニューをもっと見るおすすめポイント
- ポテンツァダイアモンドで美肌を実感する
- ルメッカでシミを短期間で改善
- 麻布十番駅から徒歩4分の好立地
月,火,水,木,金,土,日,祝東京都港区元麻布1-2-13 2F - 美容クリニック・美容皮膚科・美容外科(美容整形)・医療脱毛クリニック・AGAクリニック・メンズクリニック・美容内科・再生医療クリニック・再生医療クリニック・医療ダイエット・痩身クリニック・医療ダイエット・痩身クリニック / 東京メトロ銀座線「新橋駅」7番出口より徒歩1分 JR「新橋駅」日比谷口より徒歩3分 都営三田線「内幸町駅」A2出口より徒歩2分良かった- もも



引用元:
新橋美容クリニック 公式サイトサリチル酸ピーリング(ケイセイ)
¥ 9,000 (税込)乳酸ピーリング(エンビロンLACマスク)
¥ 9,000 (税込)ミックスピール(マヌカマイルド・マヌカ・プラス)
¥ 9,000 (税込)マッサージピール
¥ 10,000 (税込)ミラノリピール
¥ 12,000 (税込)
施術メニューをもっと見るおすすめポイント
- 医師が直接施術する安心感を提供
- ニキビ跡改善に向けた効果的な施術
- 新橋駅から徒歩1分の好立地
月,火,水,木,金,土,日東京都港区新橋1-15-7 新橋NFビル 9F - 美容クリニック・美容皮膚科・美容外科(美容整形)・医療脱毛クリニック・美容内科・再生医療クリニック・再生医療クリニック・医療ダイエット・痩身クリニック・医療ダイエット・痩身クリニック / 白金高輪駅より徒歩8分



二重埋没
¥ 132,000 (税込)二重埋没(自然癒着法)
¥ 220,000 (税込)目頭切開
¥ 220,000 (税込)タレ目埋没
¥ 132,000 (税込)目尻切開
¥ 132,000 (税込)
施術メニューをもっと見るおすすめポイント
- 脂肪溶解注射で気軽に部分やせを実現
- 清潔感あふれる新しいクリニックで安心
- 白金高輪駅から徒歩8分の好立地
月,火,水,木,金,土,日,祝東京都港区南麻布2丁目10-2 シェラン南麻布 4階 - 美容クリニック・美容皮膚科・美容外科(美容整形)・医療脱毛クリニック・AGAクリニック・メンズクリニック・レディースクリニック・美容内科・医療ダイエット・痩身クリニック・医療ダイエット・痩身クリニック / JR山手線・京浜東北線・東海道線・総武快速線・横須賀線「新橋駅」日比谷口より徒歩0分、銀座口より徒歩1分、烏森口より徒歩1分 東京メトロ銀座線「新橋駅」より徒歩1分 京浜急行・京成線直通 都営浅草線「新橋駅」より徒歩1分 ゆりかもめ「新橋駅」より徒歩1分 東京メトロ銀座線・日比谷線・丸の内線「銀座駅」より徒歩8分

引用元:
AYC銀座形成外科 公式サイト二重まぶた(埋没法)
¥ 30,000 (税込)二重まぶた 埋没法+脱脂
¥ 60,000 (税込)二重まぶた 切開法
¥ 80,000 (税込)二重まぶた 切開法+脱脂/たるみ取り
¥ 120,000 (税込)目頭切開
¥ 70,000 (税込)
施術メニューをもっと見る月,火,水,木,金,土東京都港区新橋2-16-1 ニュー新橋ビル 4F - 美容クリニック・美容皮膚科・美容外科(美容整形)・AGAクリニック・メンズクリニック・レディースクリニック・美容内科・再生医療クリニック・再生医療クリニック・医療ダイエット・痩身クリニック・医療ダイエット・痩身クリニック / JR品川駅から徒歩3分 京浜急行線品川駅から徒歩3分営業がしつこい、- mito




すべて見る二重埋没法
¥ 11,431 (税込)二重切開法(全切開・部分切開)
¥ 58,520 (税込)他院二重抜糸 片目
¥ 10,500 (税込)挙筋前転法(クイックデカ目術)
¥ 168,000 (税込)目頭切開
¥ 58,520 (税込)
施術メニューをもっと見るおすすめポイント
- 初診カウンセリングが無料で安心
- ボトックス施術が短時間で完了
- JR品川駅から徒歩3分の好立地
月,火,水,木,金,土,日,祝東京都港区高輪3-23-17 品川センタービルディング 2F 201 - 美容クリニック・美容皮膚科・美容外科(美容整形)・AGAクリニック・美容内科・再生医療クリニック・再生医療クリニック・医療ダイエット・痩身クリニック・医療ダイエット・痩身クリニック / 南北線・都営大江戸線「麻布十番駅」3番、4番出口より徒歩1分。





すべて見る繊維芽細胞移植
¥ 165,000 (税込)PRP(皮膚再生療法)/高濃度PRP
¥ 132,000 (税込)PRP(皮膚再生療法)/高濃度PRP/頰、額、首
¥ 198,000 (税込)PRP(皮膚再生療法)/高濃度PRP/両手の甲
¥ 297,000 (税込)再生医療(脂肪幹細胞点滴)
¥ 2,200,000 (税込)
施術メニューをもっと見るおすすめポイント
- エクソソーム点滴で美肌を実感する
- 清潔感あふれる院内で安心施術
- 麻布十番駅から徒歩1分の好立地
月,火,水,木,金,土,日,祝東京都港区麻布十番4-1-9 麻布十番エムビル 7階 - 美容クリニック・美容皮膚科・美容外科(美容整形)・審美歯科・医療脱毛クリニック・AGAクリニック・メンズクリニック・レディースクリニック・美容内科・再生医療クリニック・再生医療クリニック・医療ダイエット・痩身クリニック・医療ダイエット・痩身クリニック / 銀座線、千代田線「表参道駅」 A4徒歩6分 銀座線「外苑前駅」 1a出口徒歩4分





すべて見る引用元:
衣理クリニック表参道 公式サイトDr.衣理式ヒアルロン酸注射・注入 フェイスライン
¥ 220,000 (税込)Dr.衣理式ヒアルロン酸注射・注入 額
¥ 88,000 (税込)Dr.衣理式ヒアルロン酸注射・注入 眉間
¥ 55,000 (税込)Dr.衣理式ヒアルロン酸注射・注入 目の上のくぼみ
¥ 55,000 (税込)Dr.衣理式ヒアルロン酸注射・注入 目元(涙袋)
¥ 55,000 (税込)
施術メニューをもっと見る月,火,木,金,土,祝東京都港区南青山3-1-34 3rd MINAMI AOYAMA 7階 - 美容クリニック・美容皮膚科・美容外科(美容整形)・AGAクリニック・メンズクリニック・レディースクリニック・美容内科・再生医療クリニック・再生医療クリニック・医療ダイエット・痩身クリニック・医療ダイエット・痩身クリニック・オンラインクリニック / 四つ橋線「四ツ橋」駅より徒歩1分(四ツ橋駅5番出口すぐ) 御堂筋線「心斎橋」駅より徒歩5分 四つ橋線「なんば」駅より徒歩7分









すべて見る低用量ピル
¥ 3,278 (税込)ミニピル
¥ 2,836 (税込)中用量ピル(月経移動)
¥ 5,478 (税込)発毛最強プラン
¥ 27,280 (税込)発毛基本プラン
¥ 16,280 (税込)
施術メニューをもっと見る月,火,水,木,金,土,日,祝東京都港区新橋1-4-5 ヒューリックG10ビル 9F - 美容クリニック・美容皮膚科・美容外科(美容整形)・レディースクリニック・美容内科・再生医療クリニック・再生医療クリニック・医療ダイエット・痩身クリニック・医療ダイエット・痩身クリニック / 日比谷線、大江戸線「六本木駅」3番出口より徒歩 1分

トリキュラー
¥ 3,080 (税込)シンフェーズ
¥ 3,080 (税込)マーベロン
¥ 3,080 (税込)ファボワール
¥ 2,750 (税込)ヤスミン
¥ 3,630 (税込)
施術メニューをもっと見るおすすめポイント
- 理想の仕上がりを実現する丁寧なカウンセリング
- 短時間で効果を実感できるピコレーザー
- 六本木駅から徒歩1分の好立地
月,火,水,木,金,土,日,祝東京都港区六本木6-1-8 グリーンビル 8F - 美容クリニック・美容皮膚科・美容外科(美容整形)・AGAクリニック・美容内科・医療ダイエット・痩身クリニック・医療ダイエット・痩身クリニック / 東京メトロ日比谷線 広尾駅徒歩1分

ボトックスビスタ 顔1カ所
¥ 22,000 (税込)ボトックスビスタ エラ(小顔効果)
¥ 44,000 (税込)ボトックスビスタ 脇の汗を抑える
¥ 66,000 (税込)ボトックスビスタ ふくらはぎ
¥ 110,000 (税込)ボトックスビスタ ガミースマイル
¥ 22,000 (税込)
施術メニューをもっと見るおすすめポイント
- 即効性抜群!ほうれい線改善施術
- 信頼の医師による丁寧な施術
- 広尾駅から徒歩1分の好立地
月,火,水,金,土,祝東京都港区南麻布5-15-27 広尾リープレックスビズ 3F(総合受付) / 9F - 美容クリニック・美容皮膚科・AGAクリニック・メンズクリニック・レディースクリニック・美容内科・医療ダイエット・痩身クリニック・医療ダイエット・痩身クリニック / 六本木駅 徒歩2分、六本木交差点より 徒歩1分









すべて見るウルトラセルZi (たるみ治療)
¥ 22,000 (税込)オリジオKISS(RF)
¥ 19,800 (税込)オリジオKISS(ハイフ)
¥ 19,800 (税込)オンダリフトフェイス
¥ 28,600 (税込)オンダリフトBody
¥ 36,300 (税込)
施術メニューをもっと見る月,火,水,木,金,土,日,祝東京都港区六本木5丁目2−2 トーマスビル
港区の医療ダイエット・痩身クリニックでの最新口コミ・評判 (レポ)
- 満足度が高い口コミ
つるんと艶肌に!毎月通いたい!
3週間前毛穴の開きやニキビ・ニキビ跡に効果がある施術を探していたところピーリングの中でもミラノリピールが効果的そうだったので、施術を受けたいなと思いクリニックを探していました。継続して受けられそうな立地・価格のクリニックが良いなと思っていたところ、サブスク加入で低価格で受けられるこちらのクリニックを見つけ、お願いしてみることにしました。
外苑前駅から少し歩いたところにあり、アクセスが良かったです。クリニック自体はかなりコンパクトですが、白を基調としていて清潔感がありました。
待合は狭め&クリニック専売コスメ購入の方も待合にある棚を見ながら選ぶ形になるので、予約がいっぱいの時間帯は他のお客さんと狭い空間で一緒になるので、気になる人は気になるかもしれません。受付を済ましてから、ドクターカウンセリングがありますが、常勤ではなさそうな先生でした笑 ピーリング施術だったのであまり気になりませんでしたが、レーザー系を受けるクリニックだったらちょっと不安だったかも、、と思います。
事前にメイクルームがないことを確認していて、すっぴんで行っていたので、カウンセリングの後は、そのまま施術室に移動。1つの部屋をカーテンで仕切られた感じのつくりですが、清潔感もあり、話し声もそんなに気にならなかったです。また、リクライニングソファ?での施術で靴を脱がなくてもいいのも良かったです。施術は簡単に全顔を拭き取り→薬剤の瓶を見せてくれてから薬剤塗布→数分放置→拭き取りでした。施術中は少しピリピリ感がありましたが、施術直後は強い赤み等も出ず、肌のざらつきが取れて、全体がつるっと艶やかな肌になりました。メイクルームがないのでしっかり保湿のみして帰宅しました。
数日後少し皮剥けがありましたが、すぐに収まり、2〜3週間くらい肌ツヤ良く、メイクのりがいい感じが続いて効果あり&大満足でした。サブスク登録したので毎月通います!支払金額¥2980施術日2025/08/01
miku30代前半|女性| 11件のレポ (ガチレポ認定 11件) 梅干しジワがスッキリ
1ヶ月前口を窄ませた時に顎に出来る梅干しジワ、コレを無くすと横顔のラインも整うと聞いて近所のクリニックである湘南美容クリニックに伺いました。
顎ボトックスは定期的に受けることで効果が長持ちしやすい施術のため、通いやすくて安価なところが決め手になりました。
顎ボトックスは難しい施術では無いと思うため、特に時間をかけてクリニックを選んだわけでは無いです。施術当日はクリニックに着いて受付を済ませると先生が軽くカウンセリングと確認をして、少し待ったらすぐ施術室に通されました。
あまり時間がかかるのは嫌だったので、スピーディーに進んでくれてとても助かりました。
準備中は施術箇所を保冷剤で冷やしておきます。そして多少マーキングされた後、ボトックスが注入されました。
痛みはありますが、全然耐えられる軽いものです。
数箇所ほど挿し、3分ぐらいで施術は終了しました。直ぐに出血を拭いてくれました。
ボトックスの施術後は激しい運動や、注入箇所を強く揉んだりする行為は良くないためそのまま歩いて帰宅しました。DT中の2日目と3日目は口を窄ませると顎の真ん中に飴玉みたいなシワが生まれてとても不安でしたが、4日目からはそのシワが段々と現れなくなり、1週間ほどで窄ませても何もないツルツルの顎になりました。
また、横顔の変化もしっかりと感じました。
下唇と顎までの曲線がかなり綺麗になっていて、のっぺり感が多少改善されました。2〜3ヶ月の間隔で5000円でコレだけの効果が生まれるならかなりプチ整形の中でもかなりお得だと思います。
段々施術の間隔も半年に一回とかで問題無くなっていくので、これからも定期的に受けようと思ってます。施術日2025/03/07
ぬのなの20代後半|女性| 5件のレポ (ガチレポ認定 5件)顎のヒアルロン酸でシャープな顔になりました!
1ヶ月前他の施術で通っており、スタッフの方と話していて顎のヒアルロン酸の話になり興味を持ちました。先生がナチュラルな整形が得意なので信頼できるためこのクリニックでヒアルロン酸をやることにしました。丸い顔が悩みで、顔の脂肪を取ったり、定期的にボトックスをしたりしており、昔と比較するとかなり顔は小さくなりましたがまだ丸顔はそこまで変わらず。シュッとした顔になりたいなと思っていました。先生に顎ヒアルロン酸はどうかと相談したところ、先生もお勧めしてくださったのでやってみることに。横顔も顎を少し出した方が美人にみえるそうです。 クリニックはとてもきれいです。受付の方も親しい感じで雰囲気が良いです。水周りも新しい感じで洗面台もきれいにされています。 先生は、親身になって話をしてくれるので、こちらも話しやすいです。前に話したことも覚えており、なによりも押し売りが全然ないので、本当に必要なことだけ話してくれます。美容クリニックによくいる、ギラギラしたタイプの先生ではないので、居心地よく気楽に相談できます。実際にヒアルロン酸を入れる時、形や、長さを途中で鏡を見ながら少しずつ確認してくれました。 痛みはありますが、我慢できる程度です。施術した直後の効果は、自分でもそこまで分からないくらい(ちょっと顎が長くなったな)、でしたが、写真で比較するとすごく効果を感じました。横顔も撮影してもらい、Eラインができあがりました。 少し、内出血しましたがマスクを付けていたので全く気にならず数日で落ち着きました。 顎が少しだけ伸びて、全然違和感なく!友人には、「なんか変わった!痩せた?」っと言われ、日常の写真とかをみると効果がすごく分かります。劇的な変化ではないですが、ナチュラルにきれいになったんだなっと感じました。顎に触ると少し固い何かがはいってるのがわかります。とても満足です。
施術日2023/08/10
mi30代後半|女性| 9件のレポ (ガチレポ認定 9件)効果に、感動
3ヶ月前ピコレーザーフラクショナルを受けて、私の長年の肌の悩みが大きく改善されました。特に悩んでいたのは、ニキビ跡によるクレーターと、開きっぱなしの毛穴です。これまで様々なスキンケアを試しても効果がなく、半ば諦めかけていましたが、友人の勧めでこの施術を試してみることにしました。
施術前のカウンセリングで、ピコフラクショナルは肌の表面にダメージを与えることなく、衝撃波で真皮層に微細な空洞を作り、コラーゲンやエラスチンの生成を促すことで、肌の再生を助けるという説明を受けました。肌表面を傷つけないため、ダウンタイムが短いという点も大きな魅力でした。
いざ施術が始まると、レーザーが当たるたびに「パチパチ」という音が聞こえ、輪ゴムで弾かれるような感覚がありました。特に凹凸がある部分や骨に近い部分は少しチクっと強く感じました。施術時間は顔全体で15〜20分程度で、あっという間に終わりました。
施術直後は顔全体が赤くなり、少しヒリヒリするような感覚がありました。軽い日焼けをした後のような感じです。鏡を見ると、レーザーを照射した部分がうっすらと点状に赤くなっているのが分かります。しかし、翌日には赤みはかなり引き、メイクで十分に隠せる程度になりました。仕事や日常生活に支障がないのは、本当に助かりました。
まずその効果で驚いたのは、肌のキメが整い、触り心地がなめらかになったことです。そして、一番の悩みだった毛穴が、目立たなくなっているのが分かりました。クレーターのような深いニキビ跡も、完全に消えたわけではありませんが、以前よりも浅く、なだらかになったように感じます。さらに、肌全体にハリとツヤが出て、化粧ノリが格段に良くなりました。
1回で劇的な効果を期待するよりも、複数回継続することで効果を実感しやすい施術だと聞いていました。実際に私も、1回目でも効果を感じましたが、2回、3回と回数を重ねるごとに、より一層肌質が改善していくのを実感しています。施術日2022/06/03
まきろん30代後半|女性| 4件のレポ (ガチレポ認定 4件)営業がしつこい、
4ヶ月前私はTCB東京中央美容外科品川院で初めての糸リフトを受けました。30代に入り、写真を撮ったときにショックを受けることが大きくなりました。ほうれい線や全体的なたるみがすごく気になりました。当時ハイフが流行っていたのでとても気になりはじめ、探すことにしました。コスパ重視でTCBに来院することに決めました。当初はハイフを希望していたのですが、カウンセラーとのカウンセリング中にそれより糸リフトの方が効果的です!と強く勧められました。気づけば倍以上の金額のプランに変更されていました。
正直、営業トークがかなり強引です。目尻切開や垂れ目形成も気になってると言っただけで、当日施術できますよ!とすぐに勧められたのも不安を感じるポイントでした。今思えば、本当にしっかりしたクリニックなら、メスを使うような大事な施術をすぐできますよ!なんて言われることなんてないと思います。整形をそんなに軽く当日に進めるのはちょっと怪しさすら感じます。カウンセラーのノルマや売上が見え見えでした。
だけどそれ以上にたるみが気になり、当日糸リフトをしてしまったこと、後悔してます。
担当の医師も若く、経験が少なそうな印象でした。施術中は本当に痛くて、まるで顔にナイフを刺されたような強烈な痛みがありました。麻酔の効果も全然なかったです。施術後の腫れも長引き、仕上がりはかなり不自然になりました。頬骨が妙に強調され、顔全体が四角く見えるようになってしまい、とてもショックでした。理想の卵型の輪郭とは程遠くなりました。
金額も高くついた上、満足いくどころか後悔しか残らずこれは金ドブだったなというのが正直な感想です。これから施術を考えている方には、カウンセラーの営業トークに流されず、自分でしっかり医師を選ぶこと、そしてその場の勢いで整形を決めないよう強く伝えたいです。
美容医療は慎重にと心から思いました。自分の顔を預ける場所は、信頼できるところを見極めることが本当に大切です。
施術日2022/05/23
mito30代前半|女性| 9件のレポ (ガチレポ認定 9件)- 満足度が高い口コミ
ふっくらおでこで若返り
5ヶ月前別の施術でお世話になっていたので、術後の診察で訪れた際に「このあとは、どうしていったらいいですかね?」と世間話の一環で尋ねたところ、おでこやこめかみの凹みを指摘されました。
加齢で脂肪が減ってくるのだそうです。
確かに言われてみると、眉毛の上が凹みゴリラ顔になっていました。
こめかみ部分も凹んでいるせいか、長いひょうたんのような輪郭に感じます。
前髪で隠せばなんてことないのかもしれないけれど、言われるときになり始めてやらずにはいられなくなっていました。自分の脂肪を注入する方法もあるけど、あまり定着しないというデメリットを教えていただきこちらの施術に決めました。
1回やるごとに生成費用が掛かるのでまとめて3か所お願いしました(額・こめかみ左右)
担当の医師は雑誌でよく目にするイケメンの方でしたがとても物腰が柔らかく、悩みに寄り添いながら丁寧に施術方法や内容を教えてくださいました。
術前の緊張や不安は担当医師の優しい対応のおかげで全くありませんでした。
受付のカウンセラーさんも、ケアしてくださる看護師さんも皆さん丁寧で細かい心配りをしてくださいます。
大手美容外科に比べると費用は掛かりましたが、親切な対応と清潔な施設だし、なんといっても効果抜群の技術とセンスだったので価格だけで決めずカウンセリングをしてから決めてよかったと思います。痛みも術後の腫れもなく短時間で終了であっけないくらいでした。
術後すぐからおでこはまんまるで赤ちゃんのようにかわいらしく、こめかみの凹みも気にならなくなっていました。医師からは「今はパンと張った感じがすると思うけど2か月ぐらいで落ち着いて完成形。より自然になりますよ。」と言われた通り、少しずつ張りが落ち着いてきたように感じました。
おでこやこめかみの凹みにてきめんの効果でした。施術日2023/03/12
ジャスミン40代後半|女性| 4件のレポ (ガチレポ認定 4件) 赤み、凸凹がちょっと改善された
7ヶ月前大学3年生の時タカミクリニックに伺いました。以前はオラクル美容皮膚科で3回ほどフラクショナルレーザーを受けました。
しかし、継続的には通えず、友人に勧めてもらったタカミクリニックを受診しました。今回は、「モザイク」と「LEDヒーライト」をセットで受けました。
肌のざらつきや毛穴、顔全体に広がるニキビ跡が気になっていたので、それに効果があると聞いてこの2つのセットを選びました。カウンセリングでは、専門の方がすごく親身に話を聞いてくれて、大学生の私でも無理しない範囲で、続けやすいものを提案してくれたのがありがたかったです。
美容のことは自分で調べてるつもりでも全然わからないことだらけなので、変に営業されずにちゃんと説明してくれるのは安心できました。施術中の感覚ですが、モザイクは思っていたよりは痛みも少なくて、場所によってはピリッとする感じはあるけど全然我慢できるレベル。終わったあとは顔全体が少し赤くなって、軽くヒリヒリ。
でも、そのあとに受けたLEDヒーライトでじんわり温かくなって、だいぶ落ち着きました。2、3日は洗顔のときにザラザラした感じがありましたが、1週間くらいで肌がすごくなめらかになってきて、明らかに違いがわかりました。
毛穴も少し引き締まってきた気がします。
何より、朝鏡を見たときの肌がちょっと整っていた感じがあって効果を感じられました。私みたいな肌に悩んでいる男性はとても多いと思います。
美容クリニックはたくさんあって店舗を選ぶのはかなり迷うと思います。
その中でもかなり入りやすいクリニックだと思います。
清潔感もあるし、変な気を使わなくて済む感じ。おすすめです。支払金額¥125400施術日2020/12/10
おざたく20代後半|男性| 3件のレポ (ガチレポ認定 3件)リーズナブルな価格で満足のいく仕上がり
7ヶ月前顔にたるみがあるので小顔効果があるリンパマッサージ、タイ古式マッサージなどを受けて小顔になろうとしましたが、私にはあまり効果がなかったので、作戦変更してリフトアップを受けることにしました。
私は韓国系の小顔フェイスに憧れてるので、韓国の美容整形を受けられるイテウォンビューティークリニック南青山院を選びました。イテウォンビューティークリニック南青山院はトレンドを押さえた綺麗な院内です。
従業員の方々も優しいので気軽に相談できます。イテウォンビューティークリニック南青山院の良いところはたくさんありますが、私が特に良いなと思っているのは良心的プライスです。
一昔前のリフトアップは高くて受けられないと思ってましたが、イテウォンビューティークリニック南青山院のリフトアップはかなり安いので受けやすいです。価格は安いですが、質が悪いということはなく、医師のカウンセリングやアフターサポートもしっかりついてきます。
医師は韓国のトレンド、日本のトレンド、両方しっかり押さえているので仕上がりのセンスも良いです。SBCプリマリフトは麻酔ありの施術なので痛みは感じないです。
施術後は皮膚が少し引っ張られているような気がしますが、数日で落ち着くので特に問題ありませんでした。
ダウンタイムは約1週間ほど、目を開けにくい、話しづらい、笑えないというトラブルも無く、ダウンタイム中に困ることも無かったです。1週間から2週間位でリフトアップが順調に進み、小顔になれました。
小顔になるとキャップが似合いますし、お洒落も楽しくなるので最高です。SBCプリマリフトは単なるリフトアップではなく、美肌効果、若返り効果も同時に狙えるので一石二鳥だなと思いました。
リーズナブルな価格で満足のいく仕上がり、デメリットは見当たらないので友人にもおすすめしたいです。施術日2023/09/01
Kumapuma30代後半|女性| 3件のレポ (ガチレポ認定 3件)二の腕の脂肪溶解注射(カベリン)は効果ないはウソ!安くてダウンタイムも隠せる冬の治療がおすすめ!
脂肪溶解注射:二の腕の脂肪溶解注射(カベリン)1年前40代になってから脂肪が落ちにくくなり、特に二の腕のたるみが目立つようになりました。出産後に体重を戻すことはできたのに、二の腕だけは全然細くならず、鏡や写真に映る自分の姿にがっかりする日々。薄着になる季節が近づくと二の腕が気になり、袖のある服ばかり選ぶようになってしまいました。部分痩せに効果的な方法を探して脂肪吸引も候補に入りましたが、リスクやダウンタイムが怖く、まずは脂肪溶解注射を試してみることにしました。冬の長袖で隠せるこの時期なら、腫れが出ても問題ないだろうと思い、タイミング的にもぴったりでした。
初めての施術だったので不安もありましたが、カウンセリングで先生がとても丁寧に説明してくれました。私の悩みを真剣に聞いてくれて、注射の仕組みや期待できる効果、腫れやダウンタイムについても正直に話してくれたので、安心して施術を受けることができました。施術中の痛みはチクッとする程度で、思っていたほど怖くありませんでした。施術後に少し腫れが出ましたが、事前に説明を受けていたので動揺することはなく、むしろ想定内だったのでリラックスして過ごせました。
施術後、先生から『脂肪の排出を促すには、日々のケアが大切』とアドバイスを受けました。具体的には、血流を良くするためにお風呂上がりに優しくマッサージをすること、肩や腕を動かす軽いエクササイズを取り入れることをおすすめされました。毎日続けるのが大事と聞いて、翌日からマッサージを欠かさず行うようにしました。アドバイスが具体的だったおかげで、どうケアすれば良いか迷わず実践できたのが助かりました。
2週間ほど経つと、二の腕が少し引き締まった感覚があり、袖付きの服を着たときに腕回りがスッキリしているのを実感しました。まだ1回目なので大きな変化ではありませんが、それでも前よりも二の腕が気にならなくなったのは嬉しいです。先生から『二の腕は2週間から1ヶ月に1回、3-5回程度続けるとさらに効果が実感できる』と聞いているので、この冬の間に追加で施術を受けて、次の薄着の季節には自信を持って腕を出せるようになりたいと思います!
担当医岡田 楽史 先生支払金額¥8,000施術日2024/11/25
mikicom40代前半|女性| 1件のレポ (ガチレポ認定 1件)長年のコンプレックスが解消しました
ボトックス注射:エラボトックス1年前エラの悩みを解消したい若いころから普通の人よりもエラが張っていて、顔が大きく見えることにコンプレックスを感じていました。生まれつきのものなのでどうしようもないと諦めていましたが、ネットで検索すると「ボトックス注射」というエラの張りを改善し、小顔にする方法を見つけました。
ボトックス注射で自信を取り戻す
すぐに施術を受けたかったのでクリニックを探し、口コミの内容も良く、信頼できるお医者さんが担当しくれる「メンズケアクリニック」を利用することにしました。すぐに予約をしてカウンセリングを受けたのですが、その時の対応はとても素晴らしく言葉遣いも丁寧で、こちらの気持ちに配慮して対応してくれたので安心して任せられると思いました。
プライバシーにも配慮されていて、個室になっているところにも好感が持てました。
院内はとても清潔感があり、落ち着いた雰囲気で安心できる環境でした。施術当日はとても緊張しましたが、担当の先生がこちらの不安を察知し、抱えている不安を解消してくれるような言葉をかけてくれたので、安心して施術を行うことができました。
痛みを感じることは全くなく、気付いたら終わっていたという感じでした。
施術後も痛みを感じることはなく、ダウンタイムも2日ほどだったのでストレスを感じながら生活するということもありませんでした。ダウンタイム後は、自分の顔の変化に大きな違和感を覚えるとともに、エラの張りが改善され小顔になっている自分の顔にとても感動しました。
ここまで大きな効果を感じることができるとは思っていなかったので、担当していただいた先生や、クリニックのスタッフの方々に本当に感謝しています。ボトックス注射を行ったことによって、それからの生活は気持ちの面で大きく変化し、自分に対して自信がなかった消極的な自分から、積極的な性格に変化したと思います。
支払金額¥38,000
キリト40代前半|男性| 1件のレポ (ガチレポ認定 1件)
港区の医療ダイエット・痩身クリニックについてよくある質問
港区には、医療ダイエット・痩身クリニックは何件ありますか?
港区には、症例写真は何件ありますか?
港区で最も施術メニューが豊富な医療ダイエット・痩身クリニックはどこですか?
港区で最も口コミが投稿されている医療ダイエット・痩身クリニックはどこですか?
港区で評判が高い医療ダイエット・痩身クリニックの医師は?
【東京都】医療ダイエット・痩身クリニックのドクターQA
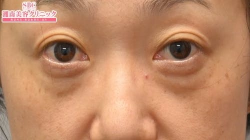
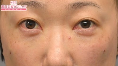
- 目の下のクマ治療の費用は?現在44歳女性です。三年ほど前から目の下のクマが気になりコンシーラーを使うようになりました。コンシーラーでせっかく隠せたと思っても、昼以降にはメイクが落ちてきてクマが出てきてしまいます。しかもコンシーラーを使った部分は、笑うとしっかりと笑いしわが刻まれていてせっかく楽しく過ごした日だと思っていても、後で鏡で自分の顔を見るとがっかりしてしまいます。一度ヒアルロン酸を入れたのですが一年足らずですぐに元に戻ってしまい、どうしようか迷っています。目の下のクマ治療は一般的には30万円以上の予算が必要だと聞きます。本当にこの予算でないと解決できないのでしょうか? ⋯回答を見る清水 優人先生 が回答
- 胸のサイズと柔らかさについて相談。現在Bカップ(見た目はAに近い感覚)なのですが大人になるにつれて胸が小さいことへのコンプレックスと女性らしい柔らかさを感じる胸への憧れが強くなってきました。ボディラインの分かる洋服を着る時に貧相なのが悲しいです。過去に一度カウンセリングへ伺ったことがあるのですが、そもそも注入した際にカバー出来る皮膚の量が無いためまずは皮膚を伸ばすところから必要との説明を受け、そこまで小さいのか…というショックとコスパを考えてしまい断念しています。脂肪注入であれば拒絶反応や不自然さも少ない気がしていて興味があるのですが身体も痩せ型なためやはり自然な柔らかさのある胸にするのは難しいのでしょうか。 ⋯回答を見る清水 優人先生 が回答
- 目のくま手術のメリット・デメリットは?目のくまとり手術について、脱脂法、裏ハムラ法、ヒアルロン酸注入、色々あるようですがまずはそれぞれのメリット・デメリットを詳しく知りたいです。そして私のクマはここ最近で出来たものではなく15年程前から紫色のような感じでずっとあるので、それを踏まえるとどれがいいのでしょうか?又、施術の種類によってアフターケアがどれぐらいの期間を要するのか教えていただければと思います。 ⋯回答を見る清水 優人先生 が回答
- 人中短縮は可能ですか?人中が人より長く、2cmぐらいあります。面長なので人中が長いと更に間延びして見え、恥ずかしくてマスクが外せません。人中短縮メイクを調べたりもしますが、豚鼻なので上手く隠せず、ちょび髭が映えた人みたいになります。美容外科で改善できるでしょうか。 ⋯回答を見る清水 優人先生 が回答
- ゴボ口と涙袋の治療法は?私は現在39歳フリーランスで美容に凄く興味があります。子供の頃から口元が少しゴボ口でどんなにコンシーラーなどのメイクで誤魔化してもすぐメイクが崩れたりして余計惨めになります。両頬から口元が出っ張った見た目を治したいのですがロープライスで何か治療法はありますか?あと、今芸能人の間で流行りの涙袋も作りたいです。私は昔から涙袋があまりなく顔がきつい感じに思われています。これもメイクだけではやはり限界があるので。よろしくお願い致します。 ⋯回答を見る清水 優人先生 が回答










