【北区】おすすめ審美歯科TOP20|評判の良いクリニックを口コミ・料金・人気で比較
北区の審美歯科をまとめました。 北区には審美歯科は7件あり、平均レビューは4.4点、投稿されたレビュー数は41件となっています。 人気の審美歯科は、「湘南美容クリニック 赤羽院(口コミ34件)」「王子駅前歯科(口コミ3件)」などが挙げられます。 施術メニュー・金額としては「インプラント」「ワイヤー矯正」などがあります。 クリニックを選ぶ際は、アクセスの良さ・通いやすさや、アフターケアの体制を確認することが重要です。審美歯科をオンライン予約し、プロの医師のカウンセリングを受け、あなたにぴったりの施術を選びましょう。
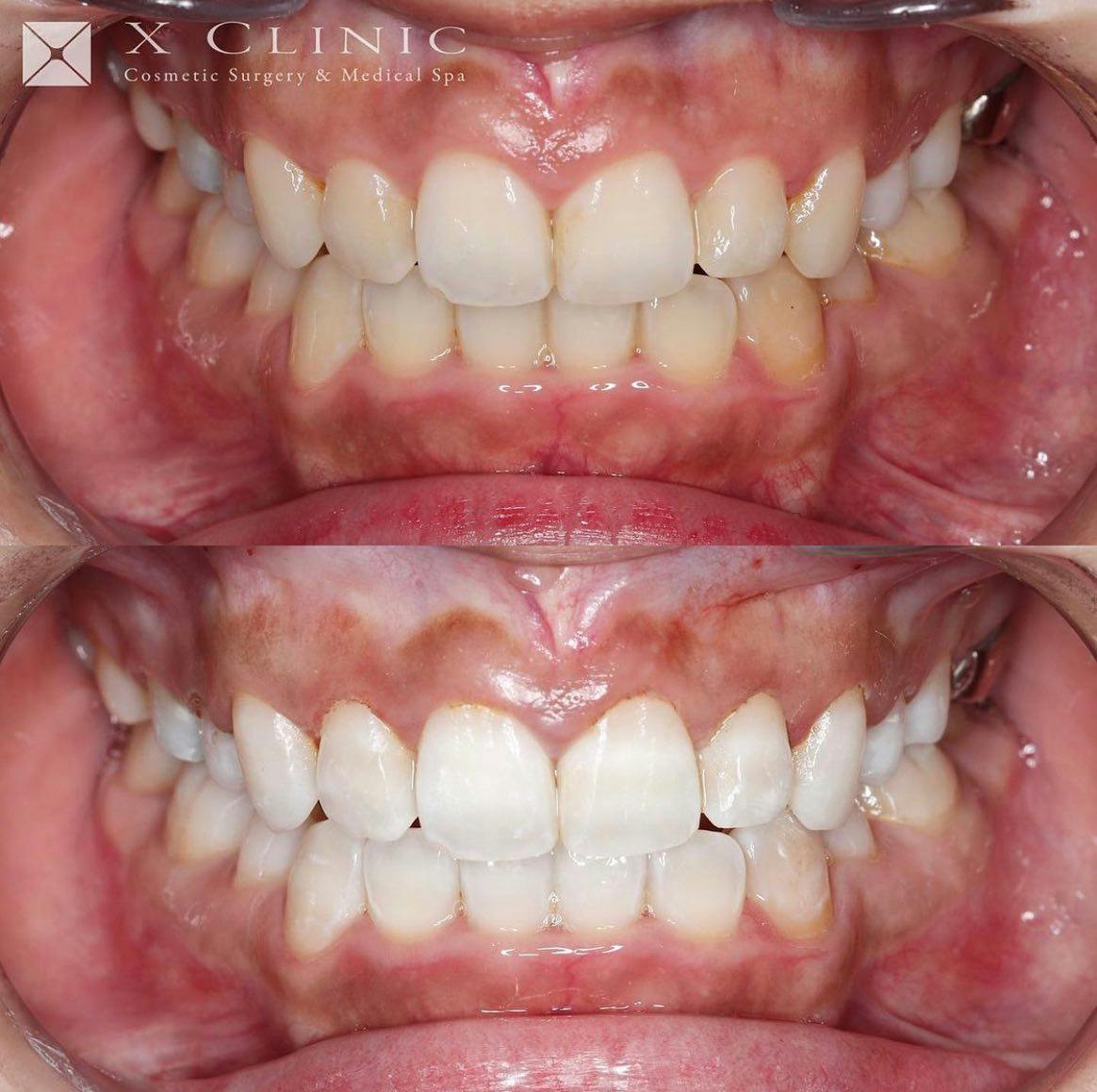
「神症例」とはキレイレポが認定した症例です。全クリニックを対象としていますが、プロモート掲載クリニックは必ず1つ選定しています。
- 美容クリニック・美容皮膚科・美容外科(美容整形)・審美歯科・医療脱毛クリニック・AGAクリニック・メンズクリニック・レディースクリニック・美容内科・再生医療クリニック・再生医療クリニック・医療ダイエット・痩身クリニック・医療ダイエット・痩身クリニック / 赤羽駅北改札 東口 徒歩2分




すべて見るおすすめポイント
- 医療脱毛で安心・効果的にツルツル肌を実現
- 手軽にできるピーリングで毛穴ケアを実感
- 赤羽駅から徒歩2分の通いやすさ
月,火,水,木,金,土,日,祝東京都北区赤羽1-9-3 赤羽駅前ビル 7階 




すべて見る引用元:
王子駅前歯科 公式サイトインプラント
ワイヤー矯正
部分矯正
マウスピース矯正
ホワイトニング
施術メニューをもっと見るおすすめポイント
- 自然な仕上がりで自信を取り戻すボツリヌストキシン治療
- ホワイトニングで明るい笑顔を手に入れる
- JR王子駅から徒歩1分のアクセス便利
月,火,水,木,金,土,日,祝東京都北区王子1-9-1 王子駅前KSビル 3F- -----美容クリニック・審美歯科 / JR王子駅北口から徒歩1分、東京メトロ南北線5番出口から徒歩1分
- -----美容クリニック・美容外科(美容整形)・審美歯科 / 東京メトロ南北線 王子駅から徒歩で5分 JR京浜東北線 王子駅から徒歩で7分 都電荒川線 王子駅前駅から徒歩で7分





すべて見る引用元:
王子歯科クリニック 公式サイト詰め物 セラミック
詰め物 ゴールド
被せ物 オールセラミック
被せ物 ゴールド
入れ歯(金属床)
施術メニューをもっと見る月,火,水,木,金,土,日,祝東京都北区王子2-26-2 ウェルネスオクデラビルズ 3階 - -----美容クリニック・審美歯科 / JR田端駅 直結
- -----美容クリニック・審美歯科 / 東京メトロ南北線、JR京浜東北線「王子駅」出てすぐ
- -----美容クリニック・審美歯科 / 赤羽駅南口より徒歩5分


おすすめポイント
- 西新宿駅直結で通いやすい
- 短時間で効果を実感できる施術
- 新宿駅から徒歩10分の好立地

おすすめポイント
- 短時間で実感!即効性のある美容施術
- リーズナブルな価格で充実のメニュー
- JR渋谷駅から徒歩3分の好立地










セラミック矯正
¥ 20,000 (税込)セラミック(インレー)
¥ 40,000 (税込)ラミネートベニア
¥ 88,000 (税込)マウスピース矯正
¥ 230,000 (税込)ワイヤー矯正
¥ 275,000 (税込)




おすすめポイント
- 30分でスピーディーな施術を実現
- 新宿駅から徒歩2分の好立地
- リーズナブルな価格で高品質な医療脱毛



おすすめポイント
- 顔の脂肪吸引で小顔を実現する
- ヒアルロン酸注入で理想の鼻筋を手に入れる
- 池袋駅から徒歩1分のアクセス便利な立地






おすすめポイント
- 最新のフォトフェイシャルで美肌を実現する
- 痛みを感じさせない優しい施術
- 麻布十番駅から徒歩1分の好立地





セラミッククラウン
¥ 36,960 (税込)ラミネートベニア(セラミック)
セラミックインレー
¥ 55,000 (税込)ワイヤー矯正
¥ 523,820 (税込)マウスピース矯正
¥ 990,000 (税込)
おすすめポイント
- 理想の二重を実現する埋没法
- 安心のアフターケアとサポート
- 新宿駅から徒歩1分の好立地



引用元:
自由が丘クリニック 公式サイトおすすめポイント
- 丁寧なカウンセリングで安心して施術を受ける
- アートな空間でリラックスしながら施術を楽しむ
- 自由が丘駅から徒歩10分、アクセス良好



オフィスホワイトニング
¥ 22,000 (税込)ホームホワイトニング
¥ 11,000 (税込)デュアルホワイトニング
¥ 41,800 (税込)ジルコニアセラミック(インレー)
¥ 66,000 (税込)ジルコニアセラミック(クラウン)
¥ 99,000 (税込)
おすすめポイント
- 安心の二重埋没手術で自信を持つ
- お手頃価格で脂肪溶解注射を体験
- 新宿駅から徒歩5分の好立地
北区の審美歯科での最新口コミ・評判 (レポ)
輝く白い歯になりました!自信がつきました!
ホワイトニング2年前先生の丁寧な対応と安心感の中、ホワイトニングの施術を受けました。施術後、思っていた以上の満足度と明るい笑顔が手に入りました。私が悩んでいた歯の色に関する問題も解消され、自信を持って笑えるようになりました。アフターケアもきちんとしていただき、持続的な効果を感じています。素晴らしい結果に感謝しています。
支払金額¥40700
R T1件のレポ
北区の審美歯科についてよくある質問
北区には、審美歯科は何件ありますか?
北区には、症例写真は何件ありますか?
北区で最も施術メニューが豊富な審美歯科はどこですか?
北区で最も口コミが投稿されている審美歯科はどこですか?
北区で評判が高い審美歯科の医師は?


















