
「丁寧なカウンセリングで納得できる治療を」幅広い症状に対応する総合歯科|神田駅そば総合歯科:平松 信旭 先生
今回取材させていただいた先生
インタビュアー



神田駅そば総合歯科は、どのようなクリニックですか?

口腔外科の経験を生かして幅広い症状に対応できる総合歯科です。患者さま一人ひとりに寄り添い、自由診療も選択肢の一つとしてご提案しています。
当院は、むし歯や歯周病といった一般歯科に加え、ホワイトニングや矯正治療などの自由診療もご希望に応じてご提案している総合歯科です。口腔外科分野の経験も豊富な院長が診察を担当。歯やお口のお悩みを幅広くご相談いただける環境を整え、患者さま一人ひとりに寄り添った診療を心掛けています。
また、神田駅の出口からすぐの立地にあり、近隣にお住まいの方から通勤でお越しの方まで幅広く通いやすい環境です。予約時間通りの診療やWEB予約の導入など、お忙しい方にも配慮した体制を整えています。

診察する上で重視されていることはありますか?

インフォームドコンセントを徹底し、丁寧なカウンセリングも心掛けています。
当院では、患者さま一人ひとりと丁寧に向き合うことを大切にしています。カウンセリングには比較的長めの時間を設け、全ての診療において患者さまが納得されてから治療に進むようインフォームド・コンセントを徹底しています。
また、治療時の痛みは通院のしづらさに直結すると考え、当院ではできる限り痛みを抑えた治療を心掛けています。麻酔液を一定の圧力で注入できる電動麻酔機を導入し、注射時の痛みを軽減できるよう工夫しています。
さらに、デジタルレントゲンと歯科用CTの複合機を導入し、歯や神経・血管の位置、顎の骨の厚みまで詳細に把握。精密な診断に基づいた適切な治療をご提供できる環境を整えています。
元々の歯の白さを活かした自然な仕上がり


神田駅そば総合歯科のホワイトニング治療はどのような特徴がありますか?

元々の歯の白さを活かした自然な白い歯を目指せる薬剤を使用しているのが特徴です。
当院では、歯科医院でしか扱えない高濃度の薬剤を用いる「オフィスホワイトニング」と、ご自宅で都合に合わせて進められる「ホームホワイトニング」をご提供しています。いずれも元々の歯の白さを活かし、自然で美しい仕上がりを目指せる薬剤を使用しているのが特徴です。
また、初めての方でも安心していただけるようスタッフが丁寧にサポートし、ホームホワイトニングではマウスピース作製をスムーズに行い、最短で治療を始められる体制を整えています。

オフィスホワイトニングとホームホワイトニングの違いを教えてください。

オフィスホワイトニングは即効性があり、ホームホワイトニングはご自宅でじっくりと白さをキープできるのが特徴です。
オフィスホワイトニングは、高濃度の薬剤を使用するため短時間で効果を実感しやすいのが特徴です。歯科医院でのみおこなえる治療で、効果を保つためには半年から1年に一度の通院が必要になります。
ホームホワイトニングは、歯並びに合わせて作成したマウスピースに薬剤を入れ、ご自宅で一定時間装着する方法です。効果を実感するまでには時間がかかりますが、継続することで白さを長持ちさせやすいメリットがあります。
当院ではカウンセリングをもとに、患者さまのご希望に合わせた治療法をご提案しています。過去にしみた経験がある方には、低濃度の薬剤を使用するなど、できるだけ負担を抑えられるよう配慮しています。


患者さまを第一に考えた、丁寧なカウンセリング

セラミック治療でこだわっている点はありますか?

見た目の自然さに加え、噛み合わせやお口全体の調和を意識し、治療後も快適に過ごしていただけるようにしています。
当院のセラミック治療は、見た目を美しく整えるだけでなく、噛み合わせやお口全体のバランスも重視して仕上げています。必要に応じて、他の歯の調整を行うこともありますよ。
セラミックは耐久性の高い素材ですが、長く快適に使っていただくためには、定期的なクリーニングや歯石除去が重要です。噛み合わせは日々変化するため、定期的なチェックのためにご来院いただくことをおすすめしています。

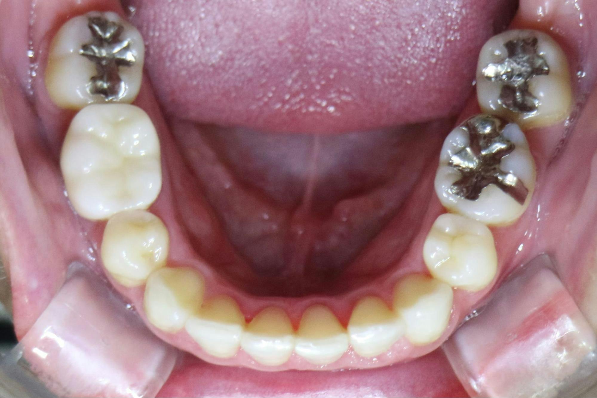
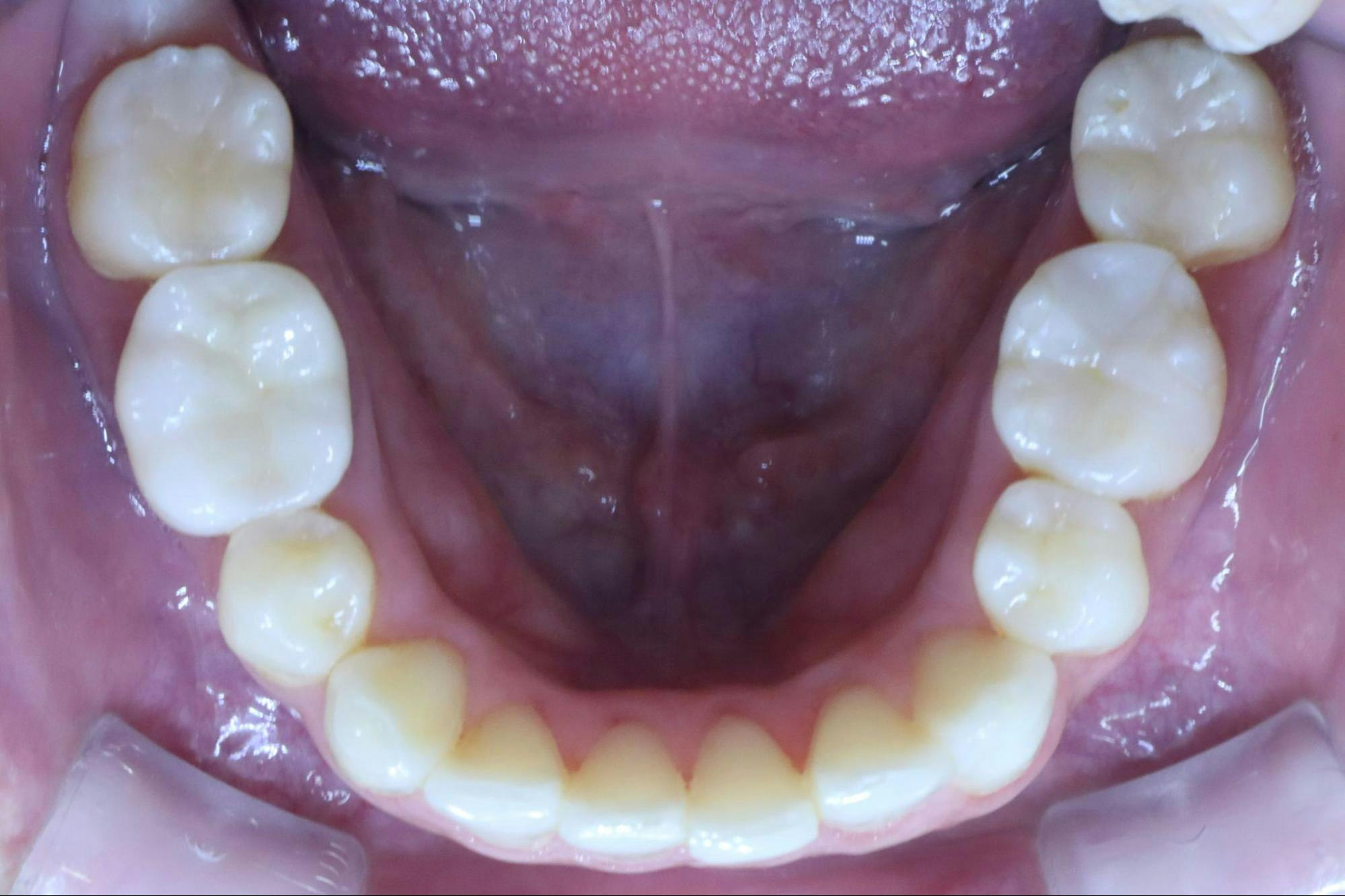
症例写真について教えてください。

銀歯の部分をオールセラミックの詰め物に変え、元々の歯の色に近い自然な見た目に仕上げています。


こちらの患者さまは、3本の銀歯をオールセラミックの詰め物に変えることで、元の歯の色に近い自然なお口元になりました。当院では、オールセラミックで詰め物を行う場合はe-maxという種類を用いています。
自由診療のためオールセラミックは比較的高額にはなりますが、見た目の自然さに加え、適切な硬さや金属アレルギーの心配がない点がメリットです。寿命はおよそ10〜15年で、長持ちさせるためには定期的な通院とメンテナンスを推奨しています。

自由診療は費用面で不安を抱かれる患者さまも多いと思いますが、どのようにご説明していますか?

保険診療と自由診療のメリット・デメリットを分かりやすく説明し、患者さまにとって納得できる方法を一緒に考えています。
保険診療と自由診療には、患者さまの状態によってそれぞれメリット・デメリットがあります。当院ではこれらを丁寧にご説明できるよう、カウンセリングの時間を比較的長く設け、最終的な治療の選択は患者さまにご判断いただける体制にしています。
例えば詰め物の場合、材料や製作工程の違いにより、適合性や見た目、経年変化のしやすさなどに差が生じます。保険診療の詰め物は金属を使うことから、歯との間にわずかな隙間が生じる場合があります。
一方、自由診療のセラミックはコンピューターを用いた設計・製作により、より精密な適合が期待できます。加えて、個人差はありますが金属アレルギーの心配がほとんどない点も特徴です。
初期費用は自由診療のほうが高くなる傾向がありますが、長期的な視点やライフスタイルも踏まえて選択いただけるようご提案しています。なお、緊急度が高い場合はまず保険診療の範囲で対応し、その後に自由診療をご検討いただくことも可能です。お気軽にご相談ください。
口腔外科分野の症状にも対応


平松先生が歯科医師を目指されたきっかけを教えてください。

幼少期に親の歯を通じてさらに歯磨きへの意識が高まったことが、歯科医師を志すきっかけになりました。
幼少期から歯磨きの大切さを理解しており、しっかりと歯を磨く子供でした。親の歯が抜けたことをきっかけに、より入念に歯磨きを意識するようになり、大好きな漫画を読みながら歯磨きをしていたのを覚えています。そうした習慣が、歯科医師を志す原点となりました。
研修医時代からしばらくの間は大学病院の口腔外科に勤務し、手術を中心に多くの経験を積みました。口腔外科で学んだ専門的な知識を一般歯科に生かすことで、より多くの患者さまのお役に立てると考えるようになりました。
大学病院でしか受けられない治療を、一般歯科でも提供できたらという思いが芽生えたのもこの頃です。
その後、千葉県や東京都の一般歯科医院で10年ほど勤務する中で、審美治療を含む自由診療の重要性を実感しました。機能面はもちろん、予後の状態が保険診療とは異なることを経験したこともあり、口腔外科の経験を生かした総合的な歯科医療を提供できる医院を開業するに至りました。

今後、力を入れていきたいことや目指したいクリニック像はありますか?

より多くの患者さまに対応できる体制を整え、気軽に通いやすい歯科医院を目指したいです。
現在は診察用の椅子が限られていますが、今後は増設して、より多くの患者さまに対応できる体制を整えていきたいと考えています。お口の不調を感じた際に「とりあえずあそこに相談してみよう」と思っていただけるようなクリニックを目指しています。
また、今後は予防歯科の重要性がさらに高まると考えています。気軽に通いやすい総合歯科医院として、幅広い症状に対応できる環境を整えていきたいと思います。


