鶴木クリニック医科・歯科 三田分院
ツルキクリニックイカ・シカ ミタブンイン
1/2
2/2
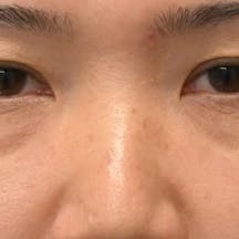
1/2
2/2
1/2
2/2
鶴木クリニック医科・歯科 三田分院の 医師
鶴木クリニック医科・歯科 三田分院の基本情報
住所 東京都港区三田 3-2-1 | 地図を見る | |
| アクセス | 都営地下鉄三田線 「三田駅」徒歩6分 都営地下鉄浅草線 「三田駅」徒歩6分 JR山手線「田町駅」徒歩7分 都営バス 田町~渋谷線 「慶大前」徒歩0分 東急バス 等々力~東京駅南口線「慶大正門前」徒歩0分 クリニック地下に専用駐車場がございます。(4台分) | |
| 診療時間 |
| |
| 公式サイト | クリニック公式サイトを見る | |
鶴木クリニック医科・歯科 三田分院と 近隣のクリニックを比較
クリニック情報
アクセス
おすすめポイント
人気施術の口コミTOP3
今見ているクリニック

鶴木クリニック医科・歯科 三田分院
(0件)
症例
(0件)
都営地下鉄三田線 「三田駅」徒歩6分 都営地下鉄浅草線 「三田駅」徒歩6分 JR山手線「田町駅」徒歩7分 都営バス 田町~渋谷線 「慶大前」徒歩0分 東急バス 等々力~東京駅南口線「慶大正門前」徒歩0分 クリニック地下に専用駐車場がございます。(4台分)
【 溜池山王駅11番出口 】 階段で地上に出た場合、右側に対象ビルがあります。 エレベーターで地上に出た場合、出口正面に対象ビルがあります。
鶴木クリニック医科・歯科 三田分院と併せて 人気のクリニック
ボトックス注射・ジャルプロスーパーハイドロ・ヒアルロン酸注射・注入などが好評
美容クリニック・美容皮膚科・美容外科(美容整形)・美容内科・再生医療クリニック・再生医療クリニック・医療ダイエット・痩身クリニック・医療ダイエット・痩身クリニック / 六本木一丁目駅から徒歩7分 六本木駅から徒歩10分 麻布十番駅から徒歩10分 神谷町駅から徒歩11分二の腕の脂肪溶解注射(カベリン)は効果ないはウソ!安くてダウンタイムも隠せる冬の治療がおすすめ!- mikicom




すべて見る- ピックアップ
❣️キレイレポ限定❣️ ヒアルロン酸 1cc~ | Dr.手打ちでふっくらかわいく👶
¥ 10,000 (税込) - ピックアップ
❣️キレイレポ限定小顔セット❣️ エラボトックス (60単位)+カベリン (~16cc)
¥ 24,000 (税込) - ピックアップ
❣️キレイレポ限定❣️ スキンボトックス(マイクロボトックス) | 肌育・毛穴対策ならまずはコレから🩵
¥ 13,000 (税込) - ピックアップ
ジャルプロ スーパーハイドロ
¥ 55,000 (税込) - ピックアップ
スネコス (SUNEKOS®) | Dr.手打ち💉
¥ 16,500 (税込)
施術メニューをもっと見る直近のご予約可能な日木金土日月火水4TEL5678910おすすめポイント
- “小顔 x 肌育“を専門に満足度を追求!
- ドクター手打ち×リーズナブルを追求
- 初心者でも安心できる優しい雰囲気
月,火,水,木,金,土,日,祝東京都港区麻布台3-1-6-3F- 美容クリニック・美容皮膚科・美容外科(美容整形)・医療脱毛クリニック・AGAクリニック・メンズクリニック・レディースクリニック・美容内科・再生医療クリニック・再生医療クリニック・医療ダイエット・痩身クリニック・医療ダイエット・痩身クリニック / JR品川駅「港南口」徒歩約3分 京急品川駅「高輪口」徒歩約5分









すべて見るフォトシルクプラス(顔)
¥ 8,640 (税込)フォトシルクプラス(手の甲)
¥ 1,300 (税込)レーザートーニング(メドライトC6)全顔
¥ 5,190 (税込)コラーゲンピール(全顔)
¥ 10,800 (税込)コラーゲンピール(その他部位)
¥ 10,800 (税込)
施術メニューをもっと見るおすすめポイント
- 特別なヒアルロン酸で目元を若返らせる
- 無料カウンセリングで安心の施術選び
- 品川駅から徒歩3分の好立地
月,火,水,木,金,土,日,祝東京都港区港南2-5-3 オリックス品川ビル 6F - 美容クリニック・美容皮膚科・美容外科(美容整形)・医療脱毛クリニック / 地下鉄日比谷線『広尾駅天現寺1番出口』で降りていただき、向かいのネイルクイックとすし三崎丸の間を右に曲がってすぐ右手に入口がございます。









すべて見る二重埋没法
¥ 110,000 (税込)二重自然癒着法(韓国式二重埋没法)
¥ 220,000 (税込)当院の埋没糸抜去
¥ 22,000 (税込)他院の埋没糸抜去
¥ 44,000 (税込)二重切開
¥ 330,000 (税込)
施術メニューをもっと見るおすすめポイント
- 短時間で効果を実感!ショートスレッドリフト
- 駅近で通いやすい!広尾駅から徒歩1分
- 優れた手技で安心!口コミで評判のクリニック
月,火,水,木,金,土,日,祝東京都港区南麻布5-15-20(804) - 美容クリニック・美容皮膚科・美容外科(美容整形)・医療脱毛クリニック・メンズクリニック・レディースクリニック・美容内科・医療ダイエット・痩身クリニック・医療ダイエット・痩身クリニック / JR、東京メトロ、ゆりかもめ新橋駅 徒歩6分 東京メトロ銀座駅 徒歩8分 東京メトロ東銀座駅 徒歩8分 都営地下鉄大江戸線、ゆりかもめ汐留駅 徒歩8分









すべて見る肌診断機による肌診断
¥ 2,200 (税込)KOトーニング
¥ 11,000 (税込)KOフラクショナル
¥ 22,000 (税込)KOダブル(トーニング+1064フラクショナル)
¥ 16,500 (税込)ピコトーニング
¥ 11,000 (税込)
施術メニューをもっと見る月,火,水,木,金,土,日,祝東京都中央区銀座8-9-16 長崎センタービル 9階 - 美容クリニック・美容皮膚科・美容外科(美容整形)・審美歯科・医療脱毛クリニック・AGAクリニック・レディースクリニック・美容内科・再生医療クリニック・再生医療クリニック・医療ダイエット・痩身クリニック・医療ダイエット・痩身クリニック / 麻布十番駅から徒歩1分





すべて見るELM SILK Program マイルドコース|IPL/ピコトーニング+外用剤+内服
¥ 89,800 (税込)ELM SILK Program 短期集中コース|全顔シミ除去レーザー+外用剤+内服
¥ 129,800 (税込)フォトフェイシャルM22 お顔の治療
¥ 15,800 (税込)フォトフェイシャルM22(デコルテ)
¥ 18,300 (税込)フォトフェイシャルM22(顔+デコルテ)
¥ 33,700 (税込)
施術メニューをもっと見るおすすめポイント
- 最新のフォトフェイシャルで美肌を実現する
- 痛みを感じさせない優しい施術
- 麻布十番駅から徒歩1分の好立地
月,火,水,木,金,土,日,祝東京都港区麻布十番1-9-7 麻布KFビル 4F - 美容クリニック・美容皮膚科・美容外科(美容整形)・医療脱毛クリニック・AGAクリニック・美容内科・再生医療クリニック・再生医療クリニック・医療ダイエット・痩身クリニック・医療ダイエット・痩身クリニック / JR各線「新橋」駅 銀座口徒歩4分 東京メトロ各線「銀座」駅 A3出口徒歩5分



すべて見る白玉点滴
¥ 4,400 (税込)白玉点滴+ビタミンCウルトラ
¥ 9,900 (税込)プラセンタ注射
¥ 1,650 (税込)ニンニク注射
¥ 2,200 (税込)マイヤーズカクテル点滴
¥ 5,500 (税込)
施術メニューをもっと見る月,火,水,木,金,土,日,祝東京都中央区銀座7-9-11 モンブラン銀座ビル 9階 - 美容クリニック・美容皮膚科・美容外科(美容整形)・レディースクリニック・美容内科・再生医療クリニック・再生医療クリニック・医療ダイエット・痩身クリニック・医療ダイエット・痩身クリニック / ■JR山手線・京浜東北線 浜松町駅北口から 徒歩約3分 ■都営大江戸線・浅草線 大門駅A1出口からほぼ直結





すべて見るダーマペン本体×エクソソーム(麻酔代込)
¥ 33,000 (税込)ダーマペン本体
¥ 22,000 (税込)ヴェルベットスキン
¥ 38,500 (税込)サブシジョン
¥ 22,000 (税込)ニキビ面皰圧出
¥ 3,300 (税込)
施術メニューをもっと見る月,火,水,木,金,土,日,祝東京都港区浜松町2丁目1-20 SVAX大門ビル5階 - 美容クリニック・美容皮膚科・美容外科(美容整形)・美容内科・医療ダイエット・痩身クリニック・医療ダイエット・痩身クリニック / JR 山手線 新橋駅 徒歩4分 地下鉄 都営大江戸線 汐留駅 徒歩1分 地下鉄 都営浅草線 新橋駅 徒歩3分 地下鉄 東京メトロ銀座線 新橋駅 徒歩5分 ゆりかもめ 汐留駅 徒歩2分









すべて見るおすすめポイント
- 最新機器ウルトラセルZiで引き上げる
- 患者想いの丁寧なカウンセリング
- 新橋駅から徒歩4分の好立地
月,火,水,木,金,土,日,祝東京都港区東新橋1丁目8-1 カレッタ汐留 47階 - 美容クリニック・美容皮膚科・美容外科(美容整形)・医療脱毛クリニック・AGAクリニック・美容内科・再生医療クリニック・再生医療クリニック・医療ダイエット・痩身クリニック・医療ダイエット・痩身クリニック・オンラインクリニック / ・六本木駅:徒歩1分 ・乃木坂駅:徒歩7分 ・麻布十番駅 / 六本木一丁目駅:徒歩15分毛の処理しなくて良くなりました- さえ









すべて見る引用元:
わかばクリニック 公式サイトヒアルロニダーゼ(当院施術分)
¥ 5,500 (税込)ヒアルロニダーゼ(他院施術分)
¥ 38,500 (税込)脂肪溶解注射 顔
¥ 16,500 (税込)脂肪溶解注射 鼻
¥ 27,500 (税込)脂肪溶解注射 まぶた
¥ 25,300 (税込)
施術メニューをもっと見るおすすめポイント
- 痛みを軽減した脱毛施術で快適に美肌を手に入れる
- 即効性抜群の水光注射でぷるぷる美肌を実現
- 六本木駅から徒歩1分の好立地で通いやすい
月,火,水,木,金,土,日,祝東京都港区六本木7-15番10号 A7ビル 6F - 美容クリニック・美容皮膚科・美容外科(美容整形)・医療脱毛クリニック・AGAクリニック・メンズクリニック・レディースクリニック・美容内科・再生医療クリニック・再生医療クリニック・医療ダイエット・痩身クリニック・医療ダイエット・痩身クリニック / 地下鉄 日比谷線六本木駅から徒歩3分/地下鉄 大江戸線六本木駅から徒歩3分(旧麻布警察署裏) ※現在、麻布警察署は移転しましたのでご注意くださいふっくらおでこで若返り- ジャスミン




すべて見る女性医療脱毛 鼻下
¥ 6,545 (税込)女性医療脱毛 顎
¥ 6,545 (税込)女性医療脱毛 顎下・首
¥ 6,545 (税込)女性医療脱毛 もみあげ・頬
¥ 6,545 (税込)女性医療脱毛 うなじ
¥ 11,000 (税込)
施術メニューをもっと見るおすすめポイント
- 安心のカウンセリングで不安を解消する
- 短時間で効果を実感できる小顔注射
- 六本木駅から徒歩3分の好立地
月,火,水,木,金,土,日,祝東京都港区六本木6-6-9 ピラミデ 2F - 美容クリニック・美容皮膚科・美容外科(美容整形)・メンズクリニック・レディースクリニック・美容内科・再生医療クリニック・再生医療クリニック・医療ダイエット・痩身クリニック・医療ダイエット・痩身クリニック / 地下鉄銀座駅A3出口を出て、中央通りを新橋方面へ直進します。3つ目の信号「銀座7丁目交差点」左角のモンブラン銀座ビル6Fです。




すべて見る引用元:
東京美容外科 銀座院 公式サイト埋没二重
¥ 33,000 (税込)埋没糸抜去(自院)
¥ 55,000 (税込)埋没糸抜去(他院)
¥ 110,000 (税込)切開二重
¥ 220,000 (税込)眼瞼下垂
¥ 298,000 (税込)
施術メニューをもっと見るおすすめポイント
- ボトックスで手軽に多汗症改善
- 二重埋没手術で自信を取り戻す
- 地下鉄銀座駅から徒歩5分の好立地
月,火,水,木,金,土,日,祝東京都中央区銀座7-9-11 モンブラン銀座ビル 6F - 美容クリニック・美容皮膚科・美容外科(美容整形)・審美歯科・医療脱毛クリニック・AGAクリニック・メンズクリニック・レディースクリニック・美容内科・再生医療クリニック・再生医療クリニック・医療ダイエット・痩身クリニック・医療ダイエット・痩身クリニック / 湘南美容クリニック新橋銀座口院ではSBCプロフェッショナルチームが在籍! 二重整形、脂肪吸引・骨切・豊胸・くま取り・美容皮膚科、医療脱毛など、各分野のエキスパートが実績豊富な医療技術で悩みを解決します! ■リバウンドしないダイエットを提案 ■中国語・英語対応可









すべて見る二重埋没法
¥ 29,880 (税込)二重埋没法(自然癒着法)
¥ 54,600 (税込)自然癒着セット(上眼瞼脱脂)
¥ 55,270 (税込)SBCデカ目術/切らないまぶたのリフトアップ
¥ 116,320 (税込)切る二重術(切開法)
¥ 250,000 (税込)
施術メニューをもっと見るおすすめポイント
- 形成外科専門医による安心の鼻整形
- ダウンタイムが少ない目頭切開
- 新橋駅から徒歩5分のアクセス便利なクリニック
月,火,水,木,金,土,日,祝東京都港区新橋1-12-9 A-PLACE新橋駅前 9F - 美容クリニック・美容皮膚科・美容外科(美容整形)・審美歯科・医療脱毛クリニック・AGAクリニック・メンズクリニック・レディースクリニック・美容内科・再生医療クリニック・再生医療クリニック・医療ダイエット・痩身クリニック・医療ダイエット・痩身クリニック / ・JR品川駅 港南口から徒歩3分 ・京浜急行品川駅 港南口から徒歩3分梅干しジワがスッキリ- ぬのなの









すべて見る二重埋没法
¥ 29,880 (税込)二重埋没法(自然癒着法)
¥ 54,600 (税込)自然癒着セット(上眼瞼脱脂)
¥ 55,270 (税込)SBCデカ目術/切らないまぶたのリフトアップ
¥ 116,320 (税込)切る二重術(切開法)
¥ 250,000 (税込)
施術メニューをもっと見るおすすめポイント
- ダウンタイムが短い二重整形で自然な仕上がりを実現
- リーズナブルな価格で安心の医療脱毛を提供
- JR品川駅から徒歩3分の通いやすさ
月,火,水,木,金,土,日,祝東京都港区港南2-4-3 三和港南ビル 3F - 美容クリニック・審美歯科 / 東京メトロ南北線・都営三田線「白金高輪」駅 4番出口より徒歩3分
- 美容クリニック・美容皮膚科・美容外科(美容整形)・AGAクリニック・メンズクリニック・レディースクリニック・美容内科・再生医療クリニック・再生医療クリニック・医療ダイエット・痩身クリニック・医療ダイエット・痩身クリニック / 東京メトロ銀座線・丸の内線・日比谷線 「銀座駅」より徒歩4分 JR新橋駅より徒歩4分満足度大!自然な仕上がりに感激- Miyuki Sato







すべて見るヒアルロン酸注入
¥ 33,000 (税込)ボトックス 額
¥ 16,500 (税込)ボトックス 眉間 / 顎 / 目尻 / バニー
¥ 16,500 (税込)ボトックス 口角 / 小鼻 / 人中 / ガミー
¥ 16,500 (税込)ボトックス エラ
¥ 16,500 (税込)
施術メニューをもっと見るおすすめポイント
- ヒアルロン酸で小じわを改善し、ツヤ肌を実現する
- ポテンツァで肌のハリを取り戻し、若々しい印象に
- 銀座駅から徒歩4分、アクセス良好なクリニック
月,火,水,木,金,土,日,祝東京都中央区銀座7−3−7 ブランエスパビル 13階 - 美容クリニック・美容皮膚科・美容外科(美容整形)・美容外科(美容整形)・レディースクリニック・再生医療クリニック・再生医療クリニック / 日比谷線六本木駅 1a番出口から徒歩10分 日比谷線広尾駅 3番出口から徒歩12分



脂肪吸引 頬(両側)
¥ 297,000 (税込)脂肪吸引 顎下(二重あご)
¥ 297,000 (税込)脂肪吸引 二の腕(両腕)
¥ 297,000 (税込)脂肪吸引 肩
¥ 297,000 (税込)脂肪吸引 脇肉
¥ 297,000 (税込)
施術メニューをもっと見るおすすめポイント
- エラのボトックスでフェイスラインを整える
- 脂肪吸引で自信を取り戻す
- 六本木駅から徒歩10分の好立地
月,火,水,木,金,土,日,祝東京都港区西麻布 3-16-23 Azabu Body Design Center 1F - ------美容クリニック / 日比谷線「広尾駅」1番出口より徒歩3分
- 美容クリニック・美容皮膚科・美容外科(美容整形)・医療脱毛クリニック・AGAクリニック・メンズクリニック・レディースクリニック・美容内科・再生医療クリニック・再生医療クリニック・医療ダイエット・痩身クリニック・医療ダイエット・痩身クリニック / JR品川駅「港南口」徒歩約3分 京急品川駅「高輪口」徒歩約5分



引用元:
品川美容外科品川本院 公式サイトフォトシルクプラス(顔)
¥ 8,640 (税込)フォトシルクプラス(手の甲)
¥ 1,300 (税込)レーザートーニング(メドライトC6)全顔
¥ 5,190 (税込)コラーゲンピール(全顔)
¥ 10,800 (税込)コラーゲンピール(その他部位)
¥ 10,800 (税込)
施術メニューをもっと見るおすすめポイント
- 安心のカウンセリングで理想の二重を実現
- 品川駅から徒歩2分の好立地で通いやすい
- リーズナブルな価格で高品質な施術を提供
月,火,水,木,金,土,日,祝東京都港区港南2-5-3 オリックス品川ビル 9F - 美容クリニック・美容皮膚科・美容外科(美容整形)・医療脱毛クリニック・医療脱毛クリニック・美容内科・医療ダイエット・痩身クリニック・医療ダイエット・痩身クリニック / 最寄り駅 五反田駅(都営浅草線/JR山手線/東急池上線) 駅からのアクセス 都営浅草線/五反田駅すぐ 「A4出口」を出る 正面のビル1階がタバコ屋さんの5階 JR山手線/五反田駅徒歩2分 「東口」 出口から出て左に進み 交番横の信号を渡る ケンタッキーフライドチキンを右に進み ケイポート(ドラッグストア)の横にある1階が タバコ屋さんの5階 改札を出て左へ進みエスカレーターで2階へ降りる 歩道橋をアトレ側に渡り階段を下る そのまま直進し交番横の信号を渡る ケンタッキーフライドチキンを右に進み ケイボート(ドラッグストア)の横にある1階が タバコ屋さんの5階



すべて見るおすすめポイント
- リーズナブルなピコトーニングで美肌を実現
- アットホームな雰囲気で安心のカウンセリング
- 五反田駅から徒歩2分の好立地
月,火,水,木,金,土,日,祝東京都品川区東五反田5-27-10 第一野村ビル 5階-B - 美容クリニック・美容皮膚科・美容外科(美容整形)・医療脱毛クリニック・AGAクリニック・メンズクリニック・レディースクリニック・美容内科・医療ダイエット・痩身クリニック・医療ダイエット・痩身クリニック / JR山手線田町駅三田口より徒歩1分 都営浅草線・三田線「A3」出口1より徒歩30秒









すべて見る女性医療脱毛 全身
¥ 22,000 (税込)女性医療脱毛 全身+VIO
¥ 29,999 (税込)女性医療脱毛 全身+VIO+顔
¥ 34,999 (税込)男性医療脱毛 全身
¥ 33,000 (税込)男性医療脱毛 全身+VIO
¥ 44,999 (税込)
施術メニューをもっと見るおすすめポイント
- リーズナブルなボトックスで手軽に美しさを実感する
- 安心の医療脱毛でムダ毛処理を楽にする
- 田町駅から徒歩1分の好アクセス
月,火,水,木,金,土,日,祝東京都港区 芝5-27-13 YA三田ビル 4F・2F
鶴木クリニック医科・歯科 三田分院と併せて よく一緒に見られているクリニック





すべて見る引用元:
青山スキンクリニック 公式サイトハイフ
¥ 88,000 (税込)ポテンツァ
¥ 77,000 (税込)ポテンツァ ダイヤモンドチップ
¥ 66,000 (税込)MESONA-J
¥ 22,000 (税込)ピコトーニング
¥ 10,560 (税込)
施術メニューをもっと見るおすすめポイント
- 肝斑にも効果的なピコトーニングを体験
- 唇まで照射可能な独自の施術
- 表参道駅から徒歩2分で通いやすい
月,火,水,木,金,土,日,祝東京都渋谷区神宮前1-15-15タガミ神宮前ビルB1F- ------美容クリニック・美容皮膚科・美容外科(美容整形) / JR 中央本線 国分寺駅より徒歩5分 西武 国分寺線・多摩湖線 国分寺駅より徒歩5分



引用元:
ひとみ眼科クリニック 公式サイトボトックス注射 額、眉間 1ヶ所
¥ 33,000 (税込)ボトックス注射エラ(両側)
¥ 33,000 (税込)ボトックス注射目の下のたるみ
¥ 33,000 (税込)ボトックス注射 目尻、顎、上唇上、下唇下 1ヶ所
¥ 22,000 (税込)ヒアルロン酸注射ほうれい線
¥ 66,000 (税込)
施術メニューをもっと見る月,火,水,金,土東京都国分寺市南町3-1-28-2F - ------美容クリニック・美容内科 / 京王井の頭線 永福町駅 徒歩1分



すべて見る引用元:
内山クリニック 公式サイトにんにく注射
¥ 1,200 (税込)プラセンタ注射
¥ 1,100 (税込)美肌美白注射
¥ 1,750 (税込)プラセンタ+美肌美白注射
¥ 2,400 (税込)プラセンタ+にんにく注射
¥ 1,950 (税込)
施術メニューをもっと見る月,火,木,金,土東京都杉並区和泉3丁目6-2 プラムビル1F - 美容クリニック・美容皮膚科・美容外科(美容整形)・審美歯科・医療脱毛クリニック・AGAクリニック・メンズクリニック・レディースクリニック・美容内科・再生医療クリニック・再生医療クリニック・医療ダイエット・痩身クリニック・医療ダイエット・痩身クリニック / JR立川駅南口 徒歩3分脱毛してよかった!- とまと









すべて見る二重埋没法
¥ 29,880 (税込)二重埋没法(自然癒着法)
¥ 54,600 (税込)自然癒着セット(上眼瞼脱脂)
¥ 55,270 (税込)SBCデカ目術/切らないまぶたのリフトアップ
¥ 116,320 (税込)切る二重術(切開法)
¥ 250,000 (税込)
施術メニューをもっと見るおすすめポイント
- 医療脱毛でツルツル肌を実現する
- 手軽に予約!立川駅から徒歩3分
- リーズナブルな価格で高品質な施術
月,火,水,木,金,土,日,祝東京都立川市柴崎町3-6-23 LXビル 4F - 美容クリニック・美容内科・整形外科・整形外科 / JR神田駅西口から徒歩1分
- ------美容クリニック・美容外科(美容整形)・AGAクリニック・メンズクリニック・美容内科 / 東急東横線 祐天寺駅ロータリーより徒歩1分



すべて見る引用元:
みずい整形外科 公式サイトプラセンタ注射
¥ 1,100 (税込)ニンニク注射
¥ 1,100 (税込)ニンニク注射+ビタミンC
¥ 1,600 (税込)ニンニク注射+ビタミンC +強化ビタミン
¥ 2,200 (税込)AGA内服薬
¥ 8,400 (税込)
施術メニューをもっと見る月,火,水,木,金,土東京都目黒区祐天寺1-22-5- 1F - ------美容クリニック・AGAクリニック・メンズクリニック・美容内科・医療ダイエット・痩身クリニック・医療ダイエット・痩身クリニック / 銀座線 末広町駅



すべて見るにんにく+ 高濃度ビタミンC + α-リポ酸 注射
¥ 3,000 (税込)二日酔い予防注射/二日酔い改善点滴
¥ 3,000 (税込)美白・美肌 注射
¥ 3,000 (税込)注射から点滴に変更 (オプションメニュー)
疲労回復点滴
¥ 4,000 (税込)
施術メニューをもっと見る月,火,水,木,金,土東京都千代田区外神田6-14-2 サカイ末広ビル 1階・7階 - ------美容クリニック・美容皮膚科・AGAクリニック・メンズクリニック・美容内科 / 東京メトロ千代田線「赤坂」駅徒歩約1分・東京メトロ銀座線「赤坂見附」駅徒歩約5分・東京メトロ丸ノ内線「赤坂見附」駅徒歩約5分・東京メトロ銀座線「溜池山王」駅徒歩約6分・東京メトロ南北線「溜池山王」駅徒歩約6分



すべて見る予防接種
¥ 8,800 (税込)風疹ワクチン
¥ 7,700 (税込)プラセンタ注射
¥ 2,800 (税込)プラセンタ・ニンニク注射|静脈注射
¥ 4,780 (税込)プラセンタ・美肌注射|静脈注射
¥ 4,780 (税込)
施術メニューをもっと見る月,火,水,木,金,祝東京都港区赤坂5-3-1Biz Towerアネックス2F - ------美容クリニック・美容皮膚科・美容外科(美容整形)・AGAクリニック・メンズクリニック・レディースクリニック・美容内科・医療ダイエット・痩身クリニック・医療ダイエット・痩身クリニック / 東京メトロ銀座駅 徒歩1分 JR有楽町駅 徒歩5分
- ------美容クリニック・美容皮膚科・美容外科(美容整形)・医療脱毛クリニック・医療脱毛クリニック・メンズクリニック・レディースクリニック・美容内科・整形外科・整形外科・再生医療クリニック・再生医療クリニック・医療ダイエット・痩身クリニック・医療ダイエット・痩身クリニック / JR「吉祥寺駅」より徒歩2分



女性医療脱毛 セレクトプラン
¥ 15,400 (税込)女性医療脱毛 全身+顔
¥ 19,800 (税込)女性医療脱毛 全身+VIO
¥ 9,960 (税込)女性医療脱毛 全身+顔+VIO
¥ 22,000 (税込)女性医療脱毛 VIO
¥ 4,980 (税込)
施術メニューをもっと見る月,火,水,木,金,土,日,祝東京都武蔵野市吉祥寺本町1-31-12 第II大栄ビル 4階 - ------美容クリニック・審美歯科 / 恵比寿駅徒歩2分









すべて見る引用元:
ばなな矯正歯科恵比寿 公式サイト審美治療 (A・B・C)コース
セラミックインレー
ゴールド:インレー
ゴールド:クラウン
ファイバーコア
施術メニューをもっと見る月,火,水,木,金,土,日,祝東京都渋谷区恵比寿西1-4-4大川ビル3F - ------美容クリニック・AGAクリニック・メンズクリニック・レディースクリニック・美容内科・医療ダイエット・痩身クリニック・医療ダイエット・痩身クリニック / JR新橋駅銀座口から徒歩1分


引用元:
新橋駅前クリニック 公式サイトED治療薬
¥ 100 (税込)AGA内服薬
¥ 4,000 (税込)AGA外用薬
¥ 4,900 (税込)サイトカイン点滴(歯髄)・エクソソーム点滴
¥ 55,000 (税込)脂肪燃焼ダイエット点滴・αリポ酸ダイエット点滴
¥ 6,600 (税込)
施術メニューをもっと見る月,火,水,木,金,土東京都港区新橋2-19-4-1F - 美容クリニック・美容皮膚科・美容外科(美容整形)・医療脱毛クリニック・AGAクリニック・メンズクリニック・レディースクリニック・美容内科・再生医療クリニック・再生医療クリニック・医療ダイエット・痩身クリニック・医療ダイエット・痩身クリニック / JR有楽町駅京橋口より徒歩2分ボトックス‐継続的に必要なので価格重視- えいな








すべて見るフォトシルクプラス(顔)
¥ 8,640 (税込)フォトシルクプラス(手の甲)
¥ 1,300 (税込)レーザートーニング(メドライトC6)全顔
¥ 5,190 (税込)コラーゲンピール(全顔)
¥ 10,800 (税込)コラーゲンピール(その他部位)
¥ 10,800 (税込)
施術メニューをもっと見るおすすめポイント
- ダーマペンで毛穴を改善し、若々しい肌を手に入れる
- ボトックスで小顔を実現、リーズナブルな価格で継続可能
- JR有楽町駅から徒歩2分、アクセス良好で通いやすい
月,火,水,木,金,土,日,祝東京都中央区銀座1-3-9 マルイト銀座ビル 4F - 美容クリニック・美容皮膚科・美容外科(美容整形)・医療脱毛クリニック・AGAクリニック・メンズクリニック・レディースクリニック・美容内科・再生医療クリニック・再生医療クリニック・医療ダイエット・痩身クリニック・医療ダイエット・痩身クリニック / R武蔵野線・京葉線・東京メトロ日比谷線「八丁堀」駅 B4出口より徒歩6分 東京メトロ東西線・日比谷線「茅場町」駅1番出口より徒歩11分 東京メトロ有楽町線「新富町」駅7番出口より徒歩11分 JR「東京」駅八重洲口より都営バスにて11分 (※30分毎運行) ※東16系統「住友ツインビル前」下車 ・都営バス「住友ツインビル前」行き 終点 ・都営バス「豊洲駅前」行き「住友ツインビル前」下車 ・都営バス「東京ビッグサイト」行き「住友ツインビル前」下車 ・都営バス「深川車庫」行き「住友ツインビル前」下車綺麗な院内と丁寧な説明に感動- Kato Yuri





すべて見るほくろ・イボ除去
¥ 3,300 (税込)ピアス 耳たぶ(イヤーロブ)
¥ 6,490 (税込)軟骨ピアス
¥ 9,790 (税込)ヘソピアス
¥ 13,200 (税込)鼻ピアス
¥ 13,200 (税込)
施術メニューをもっと見るおすすめポイント
- 女性スタッフによる安心の施術体験
- エラボトックスで若返りを実感
- 八丁堀駅から徒歩6分の好立地
月,火,水,木,金,土,日,祝東京都中央区新川2-28-2 メディカルプライム新川 4階 - 美容クリニック・美容皮膚科・医療脱毛クリニック・美容内科 / 立川駅から徒歩4分



すべて見る医療脱毛 男性 ひげ脱毛(選べる3部位)
¥ 38,500 (税込)医療脱毛 男性 ひげ脱毛(5部位)
¥ 61,800 (税込)医療脱毛 男性 ひげ脱毛(6部位)
¥ 78,000 (税込)医療脱毛 男性 セレクト全身脱毛10部位
¥ 189,200 (税込)医療脱毛 男性 全身脱毛
¥ 206,800 (税込)
施術メニューをもっと見る月,火,水,木,金,土,日,祝東京都立川市曙町1丁目-14-17 籏野ビル 5階 - 美容クリニック・美容皮膚科・美容外科(美容整形)・AGAクリニック・美容内科・再生医療クリニック・再生医療クリニック・医療ダイエット・痩身クリニック・医療ダイエット・痩身クリニック / 東京メトロ千代田線『乃木坂駅』3番出口より徒歩4分 都営大江戸線『六本木駅』8番出口より徒歩5分



ヒアルロン酸注入(アラガン社ジュビダームビスタ)ボライト
¥ 99,000 (税込)ヒアルロン酸注入(アラガン社ジュビダームビスタ)ボルベラ
¥ 99,000 (税込)ヒアルロン酸注入(アラガン社ジュビダームビスタ)ボリフト
¥ 99,000 (税込)ヒアルロン酸注入(アラガン社ジュビダームビスタ)ボリューマ
¥ 99,000 (税込)ヒアルロン酸注入(アラガン社ジュビダームビスタ)ボラックス
¥ 110,000 (税込)
施術メニューをもっと見るおすすめポイント
- 完全個室で安心施術を受ける
- 短時間で効果を実感する美容点滴
- 乃木坂駅から徒歩4分の好立地
月,火,水,木,金,土,日,祝東京都港区六本木7-4-8 ウインドビル 2階 - 美容クリニック・美容皮膚科・美容外科(美容整形)・医療脱毛クリニック・AGAクリニック・美容内科 / 「春日駅」A8出口直結 徒歩1分 「後楽園駅」徒歩2分免疫力高めたい時におすすめです- みお





すべて見る引用元:
春日後楽園皮フ科 公式サイトピコスポット
¥ 1,430 (税込)ピコトーニング 全顔
¥ 33,000 (税込)ステラM22(IPL)フォトフェイシャル
¥ 22,000 (税込)ほくろ・イボ除去
¥ 1,100 (税込)フラクショナルレーザー
¥ 13,200 (税込)
施術メニューをもっと見るおすすめポイント
- ビタミン点滴で即効回復する
- フォトフェイシャルで美肌を実感
- 春日駅A8出口から徒歩1分
月,火,水,木,金,土,日,祝東京都文京区小石川1-5-1パークコート文京小石川ザタワー3階 - 美容クリニック・審美歯科



引用元:
麻布十番クレールデンタルクリニック 公式サイト
ホワイトニング
¥ 5,500 (税込)セラミック
¥ 11,000 (税込)矯正(マウスピース)
¥ 308,000 (税込)
施術メニューをもっと見る月,火,水,木,金,土,日,祝東京都港区麻布十番2-7-14azabu275 303号室 - 美容クリニック・美容皮膚科・医療脱毛クリニック・AGAクリニック・美容内科・再生医療クリニック・再生医療クリニック / JR総武線 浅草橋駅東口 徒歩30秒 都営浅草線 浅草橋駅A4出口 出てすぐ目の前 都バス 浅草橋駅前(東42甲1番のりば)下車 徒歩1分



ハイフ(HIFU)|全顔/頬リフト/首
¥ 22,000 (税込)HIFUシャワー/HIFUディープシャワー
¥ 33,000 (税込)HIFUアイシャワー
¥ 16,500 (税込)ヒアルロン酸注入|ボリューマー2XC/ボリフト
¥ 77,000 (税込)ヒアルロン酸注入|ボライト
¥ 59,400 (税込)
施術メニューをもっと見るおすすめポイント
- ビタミンC点滴で肌荒れ改善
- 額ボトックスでシワを予防
- 浅草橋駅から徒歩30秒の好立地
月,火,水,木,金,土,日,祝東京都台東区浅草橋1-30-9ヒューリック浅草橋江戸通5階 - ------美容クリニック・メンズクリニック・レディースクリニック・美容内科 / 東急田園都市線「南町田グランベリーパーク駅」グランベリーモール口下車。徒歩2分。



すべて見るブライダルチェック・性感染症検査
¥ 26,400 (税込)低容量ピル処方
¥ 2,750 (税込)アフターピル緊急避妊薬
¥ 11,000 (税込)子宮内避妊用具挿入・抜去・交換・超音波込み
¥ 12,100 (税込)月経移動、相談料(薬処方込)
¥ 4,950 (税込)
施術メニューをもっと見る月,火,木,金,土東京都町田市鶴間三丁目3-1 グランベリーパーク ステーションコート 2階
鶴木クリニック医科・歯科 三田分院の よくある質問
鶴木クリニック医科・歯科 三田分院の診療開始時間・診療終了時間は?
鶴木クリニック医科・歯科 三田分院の休診日は?
鶴木クリニック医科・歯科 三田分院の行き方は?
出来るだけ正確な情報掲載に努めておりますが、内容を完全に保証するものではありません。
当サービスによって生じた損害について、株式会社シアンではその賠償の責任を一切負わないものとします。
情報に誤りがある場合には、お手数ですがキレイレポ編集部までご連絡をいただけますようお願いいたします。






















