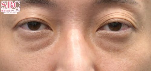
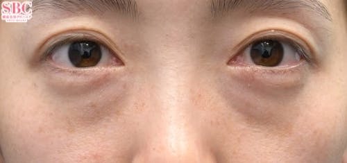
1/4
2/4
3/4
4/4
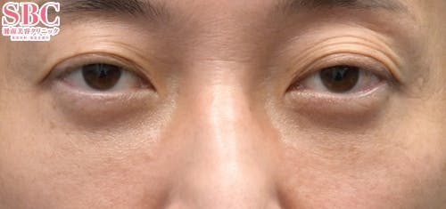
1/4
2/4
3/4
4/4
1/4
2/4
3/4
4/4
おすすめポイント
痛みを抑えた医療脱毛で安心して美肌を手に入れる
ケミカルピーリングで肌荒れを改善しトーンアップ
日本橋駅から徒歩2分、通いやすい立地で便利
DMTC美容皮膚科 日本橋院の 口コミ・評判 (レポ) 28件
| 5 | 18件 | |
| 4 | 8件 | |
| 3 | 1件 | |
| 2 | 1件 | |
| 1 | 0件 |
人気の施術の口コミTOP5
よく見られている口コミ
- 満足度が高い口コミ
脇汗を気にしない最高な夏を過ごせました!
脇汗治療(ボトックス)5.04週間前制汗剤を持ち歩かないと不安な日々小学生の頃から自分の脇汗の匂いが気になるようになり、友達からも何度か言われたことがありました。オールシーズン制汗剤を常に持ち歩き、夏場は特にお手洗いに行く度につけ直していました。服の素材によっては汗が染みてしまうこともあったため、着る服には気をつけていました。職場の先輩が脇ボトックス注射を経験したことがあり、私も気になって調べてみたことが今回の施術のきっかけでした。## はじめての注射でドキドキ平日の仕事終わりの夜遅くまで営業しているDMTCクリニックさんに決めました。まずはカウンセリングを受けました。悩みを伝えたところメディトックス社製イノトックス200単位を勧められ、施術を行いました。私自身が痛みに弱いこともあり、オプションで麻酔をつけました。先生が気を遣って冷却時間を長めにとる等と工夫していただき、とてもありがたかったです。痛みとしては少しチクっとした痛みがある程度でしたが我慢できるほどでした。施術日は入浴や激しい運動は控えるよう言われましたが、体自体に特に違和感などはありませんでした。## 汗を全くかかない過ごしやすい夏!施術した1?2週間後くらいから効果を感じるようになりました。暑い中歩いても顔から汗はかいていたものの、脇からは一切汗をかかなかったです。脇汗が本当に出ないため、長年ずっと気にしていた臭いも一切ありませんでした。制汗剤を持ち歩かないと不安になる私が、制汗剤を持ち歩かずに、脇の臭いも気にせずに過ごせるなんて、夢にも思いませんでした。カバンの中身も減らせたので、小さいカバンを使う機会も増えました!本当に素敵な夏を過ごすことができました!施術して本当に良かったです!支払金額¥20,000施術日2025/06/24
E214件のレポ (ガチレポ認定 197件) - 期待との差を感じた口コミ
ジュベルック手打ちモニター
ジュベルック手打ち2.89ヶ月前JMTC美容皮膚科。日本橋院。
東京駅から徒歩圏内、日本橋高島屋の近くにある、ビル地下1階にあるクリニックです。
クリニックは広めで綺麗です。いつも混んでいます。男性も少なくなく、人気のクリニックのようです。今回はジュベルック手打ち3cc4回でモニター10万円で1回目の施術をしました。麻酔代、針代、診察費込の代金です。有効期限はありません。とのことでした。
クーポン割引やポイント利用もあり、さらに安くなりました。
※モニターといっても、施術前後に写真を撮るだけ、施術以外の日に来院することはないそうです。代金支払いは各種クレジットカード可、PayPayは残高支払いのみ。支払い後にカウンセリング。
ジュベルックはPDLLAというボリ乳酸を成分、コラーゲン生成効果があり、肌のハリやニキビ跡、毛穴の開き、シワなど多くの悩みにアプローチできる、と一般的にされています。
カウンセリング時に聞かれたことは、一番気になることは何ですか、今回の施術の目的は何ですが、でした。即答して、手打ち部位を決めていきます。その跡、麻酔クリームで表面麻酔。30分くらい、ベットで待ちます。ドクター施術で、気になる部位に針で細かく打っていきます。とにかく痛い!痛い!!痛い!!!前回、他のクリニックでジュベルックを実施した時より痛みが強かったです。
麻酔クリームを拭いた後に、手打ちで打つ前に、どこに打つか、麻酔クリームを塗っていない箇所を聞かれた時には驚きました。
施術部位を予め決めておくためのカウンセリングでしょう。カウンセリングが不十分です。
ナースサイドで適切にフォローできないのでしょうか。なお、ダウンタイムは1週間程、炎症反応を助長する飲酒や運動は3日間控えた方が良いそうです。
期待される効果ですが、ジュベルック3回で1クール、効果実感は3ヶ月後、効果持続は長くて18ヶ月、らしいです。実際のところ、今は気持ち毛穴が小さくなったかなぁ、という変化です。数ヶ月後に期待しています。
施術の内容は今回は残念ながら不満が残りました。2回目以降の施術はまだ先になりますが、改善されていることを願い、投稿した次第です。
支払金額¥100000施術日2025/02/08
ひこたん40代前半|女性| 24件のレポ (ガチレポ認定 24件)
DMTC美容皮膚科 日本橋院の 医師
DMTC美容皮膚科 日本橋院の 施術メニューを検索・予約する 75件
通常メニュー75件
- (3件)4.8
都度払い価格
¥28,380(税込)都度プラン定価
¥37,800(税込)
医療脱毛(女性)全身+VIO
(1件)4.0都度払い価格
¥21,780(税込)都度プラン定価
¥31,800(税込)
医療脱毛(女性)全身+顔
都度払い価格
¥21,780(税込)都度プラン定価
¥29,800(税込)
医療脱毛(女性)全身
都度払い価格
¥19,580(税込)都度プラン定価
¥25,800(税込)
医療脱毛(女性)顔+VIO
都度払い価格
¥17,380(税込)都度プラン定価
¥25,800(税込)
医療脱毛ジェントルマックスプロ(女性)全身+顔+VIO
都度払い価格
¥66,880(税込)都度プラン定価
¥75,000(税込)
DMTC美容皮膚科 日本橋院の 紹介されている記事
DMTC美容皮膚科 日本橋院の基本情報
住所 東京都中央区日本橋3-6-2日本橋フロント B1 | 地図を見る | |
| アクセス | 日本橋駅より徒歩2分、東京駅 徒歩5分 | |
| 診療時間 |
| |
| 支払い方法 | 現金可 カード可 電子マネー不可 QRコード支払い不可 | |
| 公式サイト | クリニック公式サイトを見る | |
| 院長情報 | 山中 大介 院長 1989年3月 筑波大学附属高校卒業 1993年3月 東京大学工学部船舶海洋工学科中退 1999年3月 千葉大学医学部卒業 1999年4月 東京女子医科大学病院消化器病センター内科勤務 2001年4月 東京医科大学病院眼科勤務 2001年10月 医療法人青水会設立 語学留学のため中国語圏・英語圏を中心に世界各地を回る 2016年10月 美容皮膚科・AGAクリニック・脱毛クリニック勤務 2020年3月 DMTC美容皮膚科(旧脱毛の窓口Tokyo Clinic)オープン | |
DMTC美容皮膚科 日本橋院と 近隣のクリニックを比較
クリニック情報
アクセス
おすすめポイント
人気施術の口コミTOP3
今見ているクリニック

DMTC美容皮膚科 日本橋院
(28件)
症例
(0件)
日本橋駅より徒歩2分、東京駅 徒歩5分
- ・
痛みを抑えた医療脱毛で安心して美肌を手に入れる
- ・
ケミカルピーリングで肌荒れを改善しトーンアップ
- ・
日本橋駅から徒歩2分、通いやすい立地で便利
- 1.
医療脱毛
- 2.
医療脱毛(全身+顔+VIO)
- 3.
ボトックス注射
銀座駅C6出口から徒歩約0分 有楽町駅A0(東側)出口から徒歩約1分 日比谷駅A1出口から徒歩約2分
- ・
血管を目立たなくする注射で自信を取り戻す
- ・
モイストショットで肌の艶を即実感
- ・
銀座駅から徒歩0分の好立地
①メトロ銀座駅 A1出口 徒歩1分 ②JR有楽町駅 銀座口 徒歩5分
- ・
毛穴汚れを徹底的に除去するハイドラフェイシャル
- ・
シミ取りレーザーで肌を明るく変身
- ・
メトロ銀座駅から徒歩1分の好立地
東京メトロ日比谷線 銀座駅B3出口より徒歩2分 東京メトロ銀座線 銀座駅B3出口より徒歩2分 東京メトロ丸の内線 銀座駅 B3出口より徒歩2分
「銀座駅」C8出口直結 「有楽町駅」徒歩5分
- ・
全身VIO脱毛を20分で完了するスピード施術
- ・
リーズナブルな価格で効果を実感
- ・
銀座駅C8出口直結、アクセス抜群
- 1.
医療脱毛
DMTC美容皮膚科 日本橋院と併せて 人気のクリニック
糸リフト・二重埋没・ハイフ(HIFU)などが好評
美容クリニック・美容皮膚科・美容外科(美容整形)・AGAクリニック・美容内科・再生医療クリニック・再生医療クリニック・医療ダイエット・痩身クリニック・医療ダイエット・痩身クリニック / 東京メトロ:各線「銀座駅」A5出口より徒歩2分Vラインがしっかり形成されました!- みんと








すべて見る- ピックアップ
糸リフト | PDO 8本
¥ 60,000 (税込) - ピックアップ
二重自然癒着法 | 韓国式7点留め二重埋没法
¥ 100,000 (税込) - ピックアップ
エラボトックス | 韓国製 | 40単位
¥ 8,800 (税込) - ピックアップ
ヒアルロン酸注入 | 1部位 | あご・ほうれい線 | 1cc ニューラミス
¥ 22,000 (税込) - ピックアップ
ポテンツァダイアモンドチップ | 300ショット
¥ 24,000 (税込)
施術メニューをもっと見る直近のご予約可能な日金土日月火水木5TEL67891011おすすめポイント
- 高いリフト効果×自然な仕上がりの糸リフト
- 持続力の高い二重整形「自然癒着法」
- 駅チカで通いやすい!銀座駅徒歩2分
月,火,水,木,金,土,日,祝東京都中央区銀座5-9-17 銀座あづまビル3階輪郭3点・上下顎骨切り術(両顎手術)ルフォー+SSRO・鼻フルなどが好評
美容クリニック・美容皮膚科・美容皮膚科・美容外科(美容整形)・美容外科(美容整形)・美容内科・美容内科・再生医療クリニック・再生医療クリニック・医療ダイエット・痩身クリニック・医療ダイエット・痩身クリニック / 東京駅八重洲口から徒歩5分 三越前駅から徒歩5分 日本橋駅から徒歩2分








すべて見る下顎骨切り術(矢状分割)
¥ 1,452,000 (税込)上顎骨切り術(ルフォー1)
¥ 2,057,000 (税込)上下顎骨切り術(両顎手術)
¥ 2,970,000 (税込)分節骨切り術(下顎/上顎/上下顎)
¥ 1,331,000 (税込)下顎角形成術
¥ 1,452,000 (税込)
施術メニューをもっと見る月,火,水,木,金,土,日,祝東京都中央区八重洲1-3-18 VORT東京八重洲maxim 3階- 美容クリニック・美容皮膚科・美容外科(美容整形)・医療脱毛クリニック・AGAクリニック・美容内科・再生医療クリニック・再生医療クリニック・医療ダイエット・痩身クリニック・医療ダイエット・痩身クリニック / JR / JR 京葉線「東京駅」から徒歩3分 JR 「有楽町駅」から徒歩6分 東京メトロ 銀座線 「京橋駅」



おすすめポイント
- 即効性抜群の幹細胞点滴で活力UP
- シワ・シミ改善のスネコス注射で美肌に
- 東京駅から徒歩3分の好立地で通いやすい
火,水,木,金,土,祝東京都千代田区丸の内1-11-1 パシフィックセンチュリープレイス丸の内 10F - 美容クリニック・美容皮膚科・美容外科(美容整形)・美容外科(美容整形) / 東京メトロ有楽町線 銀座一丁目 6番出口 徒歩1分









すべて見る二重埋没法
¥ 67,980 (税込)二重抜糸(当院)
¥ 14,190 (税込)二重抜糸(他院)
¥ 24,200 (税込)二重埋没法+涙袋のヒアルロン酸注入セット
¥ 95,700 (税込)二重全切開法
¥ 273,900 (税込)
施術メニューをもっと見るおすすめポイント
- ナチュラルな二重を実現する埋没法
- 安心の笑気麻酔で痛みを軽減
- 銀座一丁目駅から徒歩1分の好立地
月,火,水,木,金,土,日,祝東京都中央区銀座2-5-4 ファサード銀座 4F - 美容クリニック・美容皮膚科・美容外科(美容整形)・医療脱毛クリニック・AGAクリニック / JR京浜東北線・山手線 「有楽町」駅 より徒歩1分 東京メトロ有楽町線 「有楽町」駅 より徒歩5分 東京メトロ銀座線 「銀座」駅 より徒歩7分








すべて見る医療脱毛 ワキ
¥ 3,520 (税込)医療脱毛 上腕
¥ 2,640 (税込)医療脱毛 前腕
¥ 2,640 (税込)女性医療脱毛 Vライン
¥ 3,520 (税込)男性医療脱毛 Vライン
¥ 4,400 (税込)
施術メニューをもっと見る月,火,水,木,金,土,日,祝東京都千代田区有楽町2丁目7-1 - 美容クリニック・美容皮膚科・美容外科(美容整形)・医療脱毛クリニック・医療ダイエット・痩身クリニック・医療ダイエット・痩身クリニック / 地下鉄有楽町線「銀座一丁目駅」7番出口より徒歩1分 地下鉄銀座線「京橋駅」2番出口より徒歩2分 JR線「有楽町駅」京橋口より徒歩5分 JR線「有楽町駅」中央口より徒歩5分





すべて見る引用元:
銀座高須クリニック 公式サイト二重まぶた・埋没法/埋没法(二針固定)/連続埋没法/当日からメイクができる裏留め埋没法
¥ 55,000 (税込)切開法(全切開法・ミニ切開法)
¥ 148,500 (税込)目頭切開
¥ 148,500 (税込)目尻切開
¥ 148,500 (税込)眼瞼下垂(デカ目整形)
¥ 385,000 (税込)
施術メニューをもっと見るおすすめポイント
- 短時間で理想の二重を実現する埋没法
- 高い技術力で満足度の高い施術を提供
- 銀座駅から徒歩5分の好立地
月,火,水,木,金,土,日,祝東京都中央区銀座一-8-19 キラリトギンザ 11F - 美容クリニック・美容皮膚科・美容外科(美容整形)・審美歯科・医療脱毛クリニック・AGAクリニック・メンズクリニック・レディースクリニック・美容内科・再生医療クリニック・再生医療クリニック・医療ダイエット・痩身クリニック・医療ダイエット・痩身クリニック / 有楽町線 銀座一丁目駅 7番出口 徒歩1分 銀座線 京橋駅 3番出口 徒歩1分 銀座線・丸の内線・日比谷線 銀座駅 A9番出口 徒歩6分 JR有楽町駅 徒歩7分糸リフトだけじゃ微妙かも- まき









すべて見るクマ取り・目の下のたるみ(クマ治療) 経結膜脱脂法
¥ 198,000 (税込)クマ取り・目の下のたるみ(クマ治療) 経結膜脱脂法+コンデンスリッチ注入
¥ 498,000 (税込)クマ取り・目の下のたるみ(クマ治療) クマ取りフルコース (経結膜脱脂法+脂肪注入2種(コンデンスリッチ+マイクロナノファット))
¥ 648,000 (税込)切開ハムラ法・裏ハムラ法
¥ 498,000 (税込)裏ハムラ+マイクロナノファット(目の下)
¥ 748,000 (税込)
施術メニューをもっと見る月,火,水,木,金,土,日,祝東京都中央区銀座1-2-4 サクセス銀座ファーストビル 8F - 美容クリニック / 東京メトロ銀座線・丸の内線・日比谷線「銀座駅」A13出口より徒歩2分 都営浅草線「東銀座駅」A8番出口より徒歩5分









すべて見るヒアルロン酸 アラガンジュビダームビスタボラックス 1㏄
¥ 109,800 (税込)ヒアルロン酸 アラガンジュビダームビスタボリューマ 1㏄
¥ 99,800 (税込)ヒアルロン酸 アラガンジュビダームビスタボリフト 1㏄
¥ 99,800 (税込)ヒアルロン酸 アラガンジュビダームビスタボルベラ 1㏄
¥ 99,800 (税込)ヒアルロン酸 アラガンジュビダームビスタボライトXC 1㏄
¥ 59,800 (税込)
施術メニューをもっと見る月,火,水,木,金,土,日,祝東京都中央区銀座3丁目7-2オーク銀座 4F - 美容クリニック・美容皮膚科・美容外科(美容整形)・医療脱毛クリニック・レディースクリニック・美容内科・再生医療クリニック・再生医療クリニック・医療ダイエット・痩身クリニック・医療ダイエット・痩身クリニック / 東銀座駅 4番出口徒歩1分 銀座駅 A5出口徒歩6分









すべて見るリジュランHB
¥ 48,400 (税込)ピュアアイズ
¥ 39,600 (税込)水光注射(リジュラン)
¥ 88,000 (税込)水光注射
¥ 68,200 (税込)プレミアムFGF注入
¥ 66,000 (税込)
施術メニューをもっと見るおすすめポイント
- モザイクレーザーでニキビ跡を改善する
- 30分無制限脱毛で自由に選べる
- 東銀座駅から徒歩1分の好立地
月,火,水,木,金,土,日,祝東京都中央区銀座5-14-5 光澤堂GINZAビル 2F - 美容クリニック・美容皮膚科・美容外科(美容整形)・医療脱毛クリニック・メンズクリニック・レディースクリニック・美容内科・医療ダイエット・痩身クリニック・医療ダイエット・痩身クリニック / JR、東京メトロ、ゆりかもめ新橋駅 徒歩6分 東京メトロ銀座駅 徒歩8分 東京メトロ東銀座駅 徒歩8分 都営地下鉄大江戸線、ゆりかもめ汐留駅 徒歩8分









すべて見る肌診断機による肌診断
¥ 2,200 (税込)KOトーニング
¥ 11,000 (税込)KOフラクショナル
¥ 22,000 (税込)KOダブル(トーニング+1064フラクショナル)
¥ 16,500 (税込)ピコトーニング
¥ 11,000 (税込)
施術メニューをもっと見る月,火,水,木,金,土,日,祝東京都中央区銀座8-9-16 長崎センタービル 9階 - 美容クリニック・美容皮膚科・美容外科(美容整形)・医療脱毛クリニック・AGAクリニック・美容内科・再生医療クリニック・再生医療クリニック・医療ダイエット・痩身クリニック・医療ダイエット・痩身クリニック / 日本橋駅から徒歩3分 電車東京駅から徒歩8分
- 美容クリニック・美容皮膚科・美容外科(美容整形)・医療脱毛クリニック・AGAクリニック・美容内科・再生医療クリニック・再生医療クリニック・医療ダイエット・痩身クリニック・医療ダイエット・痩身クリニック / JR各線「新橋」駅 銀座口徒歩4分 東京メトロ各線「銀座」駅 A3出口徒歩5分



すべて見る白玉点滴
¥ 4,400 (税込)白玉点滴+ビタミンCウルトラ
¥ 9,900 (税込)プラセンタ注射
¥ 1,650 (税込)ニンニク注射
¥ 2,200 (税込)マイヤーズカクテル点滴
¥ 5,500 (税込)
施術メニューをもっと見る月,火,水,木,金,土,日,祝東京都中央区銀座7-9-11 モンブラン銀座ビル 9階 - 美容クリニック・美容皮膚科・美容外科(美容整形)・レディースクリニック・美容内科・再生医療クリニック・再生医療クリニック・医療ダイエット・痩身クリニック・医療ダイエット・痩身クリニック / JR山手線「御徒町駅」徒歩1分 都営大江戸線「上野御徒町駅」(A7出口直結) 東京メトロ日比谷線「仲御徒町駅」(A7出口直結) 東京メトロ銀座線「上野広小路駅」(A7出口直結) 京成本線「京成上野駅」徒歩7分 つくばエクスプレス「新御徒町駅」徒歩8分 JR山手線「上野駅」徒歩9分もっと早くクマ取りすればよかった!- カイ









すべて見る二重埋没法(1年保証)
¥ 99,000 (税込)埋没糸除去 他院
¥ 55,000 (税込)埋没糸除去 自院
¥ 33,000 (税込)二重切開法(全切開)
¥ 330,000 (税込)目頭切開
¥ 220,000 (税込)
施術メニューをもっと見るおすすめポイント
- 丁寧なカウンセリングで安心施術を実現
- 自然な仕上がりで長持ちする効果を体感
- 御徒町駅から徒歩1分の好立地で通いやすい
月,火,水,木,金,土,祝東京都台東区上野6-2-14 喜久屋ビル 9F - 美容クリニック・美容皮膚科・美容外科(美容整形)・美容内科・医療ダイエット・痩身クリニック・医療ダイエット・痩身クリニック / JR 山手線 新橋駅 徒歩4分 地下鉄 都営大江戸線 汐留駅 徒歩1分 地下鉄 都営浅草線 新橋駅 徒歩3分 地下鉄 東京メトロ銀座線 新橋駅 徒歩5分 ゆりかもめ 汐留駅 徒歩2分









すべて見るおすすめポイント
- 最新機器ウルトラセルZiで引き上げる
- 患者想いの丁寧なカウンセリング
- 新橋駅から徒歩4分の好立地
月,火,水,木,金,土,日,祝東京都港区東新橋1丁目8-1 カレッタ汐留 47階 - 美容クリニック・美容皮膚科・医療脱毛クリニック・医療脱毛クリニック・レディースクリニック / JR東京駅 八重洲口からのアクセス 東京駅 八重洲中央口を出ます。 八重洲口を出てすぐの大通り(外堀通り)の横断歩道を渡ります 椿屋珈琲の交差点を左に曲がり、 八重洲仲通りを進みます。 「産地直送Gekokujo」という居酒屋と中山眼科医院の間の道を右手に曲がります。 日本橋アルガビル右手のエレベーターを利用して2Fまでお上がりください 日本橋駅 B0出口からのアクセス 日本橋駅 B0出口を出ます。 左手に進みます。 1つ目の路地を左に曲がり30mほど歩くとクリニックに到着します。 日本橋アルガビル右手のエレベーターを利用して2Fまでお上がりください。





すべて見るインモード リフティング
¥ 30,000 (税込)インモード フォーマ
¥ 15,000 (税込)インモード ミニFX
¥ 15,000 (税込)シルファーム X
¥ 33,000 (税込)デュオタイト
¥ 35,100 (税込)
施術メニューをもっと見るおすすめポイント
- インモードで脂肪を引き締める
- 高品質なスタッフによる安心施術
- 東京駅から徒歩圏内の好立地
月,火,水,木,金,土,日,祝東京都中央区日本橋2-2-5 日本橋アルガビル 2F - 美容クリニック・美容皮膚科・美容外科(美容整形)・メンズクリニック・美容内科・再生医療クリニック・再生医療クリニック・医療ダイエット・痩身クリニック・医療ダイエット・痩身クリニック / 日比谷線・千代田線・都営三田線 「日比谷駅」より徒歩3分 有楽町駅・丸の内線・日比谷線 「有楽町」より徒歩5分普通になれました- ちゃ









すべて見るポテンツァ ダイヤモンドチップ(500shot)
¥ 29,800 (税込)ポテンツァ ドラッグデリバリー(4周:1600~2000shot)/ジュベルック
¥ 45,000 (税込)ポテンツァ ドラッグデリバリー(4周:1600~2000shot)/マックーム/スネコス
¥ 39,800 (税込)ポテンツァ ドラッグデリバリー(4周:1600~2000shot)/ボトックス
¥ 37,800 (税込)医療HIFU(ハイフ) ウルトラセルZi(ドット照射)
¥ 36,000 (税込)
施術メニューをもっと見るおすすめポイント
- ピコスポットでシミを簡単に解消する
- 多汗症治療で快適な日常を取り戻す
- 日比谷駅から徒歩3分の好立地
月,火,水,木,金,土,日,祝東京都千代田区有楽町1-2-14 紫ビル 3階 - 美容クリニック・美容皮膚科・美容外科(美容整形)・医療脱毛クリニック・AGAクリニック・メンズクリニック・レディースクリニック・美容内科・再生医療クリニック・再生医療クリニック・医療ダイエット・痩身クリニック・医療ダイエット・痩身クリニック / 東京メトロ銀座線/日比谷線「銀座駅【A13出口】」から徒歩3分 東京メトロ有楽町線「銀座一丁目駅【8番出口】」から徒歩2分 JR「有楽町駅」から徒歩4分





すべて見るピコレーザー(シミ取りスポット)
¥ 12,100 (税込)ピコレーザー(ADM治療)
¥ 12,100 (税込)ピコトーニング+イオン導入
¥ 14,300 (税込)ピコフラクショナル
¥ 14,300 (税込)顔のシミ取り放題(シミの大きさ問わず何個でも)
¥ 55,000 (税込)
施術メニューをもっと見るおすすめポイント
- 埋没法で理想の二重を実現する
- ボトックスで目力アップを叶える
- 銀座駅から徒歩3分の好立地
月,火,水,木,金,土,日,祝東京都中央区銀座2-5-11 V88ビルディング 5階 - 美容クリニック・美容皮膚科・美容外科(美容整形)・メンズクリニック・レディースクリニック・美容内科・再生医療クリニック・再生医療クリニック・医療ダイエット・痩身クリニック・医療ダイエット・痩身クリニック / 地下鉄銀座駅A3出口を出て、中央通りを新橋方面へ直進します。3つ目の信号「銀座7丁目交差点」左角のモンブラン銀座ビル6Fです。




すべて見る引用元:
東京美容外科 銀座院 公式サイト埋没二重
¥ 33,000 (税込)埋没糸抜去(自院)
¥ 55,000 (税込)埋没糸抜去(他院)
¥ 110,000 (税込)切開二重
¥ 220,000 (税込)眼瞼下垂
¥ 298,000 (税込)
施術メニューをもっと見るおすすめポイント
- ボトックスで手軽に多汗症改善
- 二重埋没手術で自信を取り戻す
- 地下鉄銀座駅から徒歩5分の好立地
月,火,水,木,金,土,日,祝東京都中央区銀座7-9-11 モンブラン銀座ビル 6F - 美容クリニック・美容皮膚科・美容外科(美容整形)・審美歯科・医療脱毛クリニック・AGAクリニック・メンズクリニック・レディースクリニック・美容内科・再生医療クリニック・再生医療クリニック・医療ダイエット・痩身クリニック・医療ダイエット・痩身クリニック / 東京メトロ有楽町線 銀座一丁目駅 3番出口 徒歩1分 東京メトロ有楽町線 有楽町駅 D9番出口 徒歩2分 JR有楽町駅 徒歩5分 東京メトロ銀座線・丸ノ内線・日比谷線 銀座駅C8出口 徒歩5分ニキビ顔におすすめ- はなはな









すべて見る二重埋没法
¥ 29,880 (税込)二重埋没法(自然癒着法)
¥ 54,600 (税込)自然癒着セット(上眼瞼脱脂)
¥ 55,270 (税込)SBCデカ目術/切らないまぶたのリフトアップ
¥ 116,320 (税込)切る二重術(切開法)
¥ 250,000 (税込)
施術メニューをもっと見るおすすめポイント
- 笑顔に自信を!目尻のシワを解消するボトックス
- 安心のカウンセリングで不安を解消
- 銀座一丁目駅から徒歩1分の好立地
月,火,水,木,金,土,日,祝東京都中央区銀座1丁目3-9 マルイト銀座ビル 2階 - 美容クリニック・美容皮膚科・美容外科(美容整形)・審美歯科・医療脱毛クリニック・AGAクリニック・メンズクリニック・レディースクリニック・美容内科・再生医療クリニック・再生医療クリニック・医療ダイエット・痩身クリニック・医療ダイエット・痩身クリニック / ・JR上野駅 徒歩7分 ・JR御徒町駅 徒歩3分 ・都営地下鉄銀座線 上野広小路駅 徒歩1分 ・都営地下鉄大江戸線 上野御徒町駅 徒歩1分清潔で安心して通える- nao









すべて見る二重埋没法
¥ 29,880 (税込)二重埋没法(自然癒着法)
¥ 54,600 (税込)自然癒着セット(上眼瞼脱脂)
¥ 55,270 (税込)SBCデカ目術/切らないまぶたのリフトアップ
¥ 116,320 (税込)切る二重術(切開法)
¥ 250,000 (税込)
施術メニューをもっと見るおすすめポイント
- 理想の二重を実現するクイックコスメティーク法
- 通いやすい立地で安心の医療脱毛
- 明朗会計で安心の料金プラン
月,火,水,木,金,土,日,祝東京都台東区上野1-20-11 鈴乃屋本店ビル 8F
DMTC美容皮膚科 日本橋院と併せて よく一緒に見られているクリニック
- 美容クリニック・美容皮膚科・美容内科・医療ダイエット・痩身クリニック・医療ダイエット・痩身クリニック / 東京メトロ 「池袋駅」より徒歩2分 JR「池袋駅」より徒歩2分 東武東上線「池袋駅」より徒歩2分 西武池袋線「池袋駅」より徒歩2分









すべて見るライムライト
¥ 11,858 (税込)リバースピール
¥ 11,858 (税込)アキュチップ
¥ 1,210 (税込)ジェネシス
¥ 11,858 (税込)タイタンエックスエル
¥ 19,118 (税込)
施術メニューをもっと見るおすすめポイント
- シミ・小じわを徹底改善するXEO施術
- 無痛で快適な高速美肌脱毛を体験
- 池袋駅から徒歩2分のアクセス便利な立地
月,火,水,木,金,土,日,祝東京都豊島区南池袋2-26-6 島倉ビル 5F - 美容クリニック・美容皮膚科・美容外科(美容整形)・美容内科 / 東京メトロ:千代田線 / 銀座線 / 半蔵門線「表参道」駅A1出口より徒歩3分良かったです!- れん



ピコスポット(シミ取り)
¥ 4,400 (税込)ピコトーニング
¥ 8,800 (税込)ピコフラクショナル
¥ 14,300 (税込)ピココンビネーション(ピコフラクショナル+ピコトーニング)
¥ 21,000 (税込)ハイドラフェイシャル(顔)
¥ 11,000 (税込)
施術メニューをもっと見るおすすめポイント
- ポテンツァでニキビ跡を改善する
- ウルトラセルQ+でリフトアップを実感
- 表参道駅から徒歩3分の好立地
月,火,水,木,金,土,日,祝東京都渋谷区神宮前5-2-19 表参道山田ビル1F/2F - 美容クリニック・美容皮膚科・美容外科(美容整形)・レディースクリニック・美容内科 / 新大久保駅徒歩2分・大久保駅徒歩5分





すべて見るフェイスリフト
¥ 749,000 (税込)フェイスリフト|耳前部リフト(smas)
¥ 598,000 (税込)フェイスリフト|こめかみリフト
¥ 498,000 (税込)フェイスリフト|額リフト(フォーヘッドリフト)
¥ 598,000 (税込)スレッドリフト
¥ 24,800 (税込)
施術メニューをもっと見る月,火,水,木,金,土,日,祝東京都新宿区百人町2-9-14 ミズホアルファビル 3F - 美容クリニック・美容皮膚科・美容外科(美容整形)・審美歯科・医療脱毛クリニック・AGAクリニック・メンズクリニック・レディースクリニック・美容内科・再生医療クリニック・再生医療クリニック・医療ダイエット・痩身クリニック・医療ダイエット・痩身クリニック / 東京メトロ銀座駅 A3出口より徒歩5分やって後悔なし!顔の医療脱毛- ゆあちゃん









すべて見る引用元:
共立美容外科 銀座院 公式サイト二重埋没法(共立式二重P-PL 挙筋法/瞼板法)
¥ 46,200 (税込)二重埋没法(自然癒着法)
¥ 69,300 (税込)二重埋没法オプション(針/薬)
二重埋没法・逆さまつげ(子供)
¥ 143,000 (税込)切らない瞼の脂肪取り(共立式シェイプ法)
¥ 184,800 (税込)
施術メニューをもっと見るおすすめポイント
- 短時間で理想の二重を実現する埋没法
- 親身なカウンセリングで安心感を提供
- 東京メトロ銀座駅から徒歩5分の好立地
月,火,水,木,金,土,日,祝東京都中央区銀座7-9-11 モンブラン銀座ビル 7F 

引用元:
広尾スキンクリニック 公式サイトグロースファクター治療 ほうれい線
¥ 180,000 (税込)ボトックス注射 (目尻)
¥ 33,000 (税込)ボトックス注射 (眉間)
¥ 33,000 (税込)ボトックス注射 (額)
¥ 33,000 (税込)ボトックス注射 (鼻(バニーライン))
¥ 22,000 (税込)
施術メニューをもっと見るおすすめポイント
- グロースファクター治療でほうれい線を改善する
- 高級感あふれる清潔な院内で安心カウンセリング
- 広尾駅から徒歩9分、アクセス良好な立地
月,火,水,木,金,土,祝東京都渋谷区広尾1-9-19 FLEG HIROO FUSE 701- 美容クリニック・美容皮膚科・美容外科(美容整形)・医療脱毛クリニック・AGAクリニック・メンズクリニック・レディースクリニック・美容内科・再生医療クリニック・再生医療クリニック・医療ダイエット・痩身クリニック・医療ダイエット・痩身クリニック / JR西国分寺駅南口改札より徒歩1分 南口を出て(改札を出て左側)不二家(ケーキ屋さん)の手前の道を左に曲がり、高架下を通って横断歩道を渡った正面のビル2階(ルネサンススポーツクラブの手前)が当クリニックです。肌トーンが上がった!- mayuko



すべて見るM22
¥ 9,900 (税込)新美白コース M22+イオン導入 (トラネキサム酸)
¥ 28,600 (税込)イオン導入
¥ 4,400 (税込)ラクト(乳酸)ピーリング
¥ 8,800 (税込)リフテラV (ハイフ)
¥ 11,000 (税込)
施術メニューをもっと見るおすすめポイント
- くすみ改善に最適なピーリング施術
- リーズナブルな価格で高満足度
- JR西国分寺駅から徒歩1分の好立地
月,火,水,木,金,土,日,祝東京都国分寺市泉町2-9-3 ハートフルビル西晴 2F - 美容クリニック・美容皮膚科・医療脱毛クリニック / 都営新宿線大島駅A6出口より左に2,3分、都営バス 中の橋バス停前 JR亀戸駅からは、バス 北口より「亀24」「草24」 中の橋通り下車(15分位です)アトピー治療- 吉田





すべて見る引用元:
かわの皮膚科 公式サイト医療脱毛レディース 全身(顔・VIO除く)
¥ 87,560 (税込)医療脱毛レディース 全身+顔or VIO
¥ 107,800 (税込)医療脱毛レディース 全身+顔+VIO
¥ 137,500 (税込)医療脱毛レディース 脚セット(膝上・膝下・膝)
¥ 44,000 (税込)医療脱毛レディース 腕セット(肘上・肘下・肘)
¥ 33,000 (税込)
施術メニューをもっと見るおすすめポイント
- 専門知識で安心!アトピー治療をサポート
- シミ改善が実感できる!効果的な施術
- 大島駅から徒歩3分!アクセス良好
月,火,水,木,金,土,日,祝東京都江東区大島6-30-14 - 美容クリニック・美容皮膚科・AGAクリニック・メンズクリニック・美容内科 / 都営浅草線 戸越駅より徒歩3分 東急池上線 戸越銀座駅より徒歩5分 東急大井町線 戸越公園駅より徒歩11分



引用元:
戸越皮膚科クリニック 公式サイトおすすめポイント
- 安心の保険診療でシミ治療を実現
- ジェントルマックスプロで全身脱毛をスピーディに
- 戸越駅から徒歩3分の便利な立地
月,火,水,木,金,土,日,祝東京都品川区戸越3-1-2 イマールビル 3階 - 美容クリニック・美容皮膚科・医療脱毛クリニック・美容内科・医療ダイエット・痩身クリニック・医療ダイエット・痩身クリニック / 御徒町駅徒歩3分





すべて見る女性医療脱毛 全身+VIO 6回
¥ 44,550 (税込)女性医療脱毛 全身+VIO+顔 6回
¥ 88,110 (税込)女性医療脱毛 全身 6回
¥ 44,550 (税込)女性医療脱毛 全身+顔 6回
¥ 88,110 (税込)医療ダイエット(機械施術・内服薬・食生活改善サポート)
¥ 1,540,000 (税込)
施術メニューをもっと見る月,火,水,木,金,土,日,祝東京都台東区上野4-2-6 上野西田ビル 5F - ------美容クリニック・美容皮膚科・AGAクリニック・レディースクリニック・美容内科・医療ダイエット・痩身クリニック・医療ダイエット・痩身クリニック / 【有楽町駅】JR線 日比谷方面出口/東京メトロ有楽町線 D6出口より徒歩3分 【日比谷駅】東京メトロ 日比谷線・千代田線・都営三田線 A4出口より徒歩30秒 【銀座駅】東京メトロ 銀座線・丸の内線・日比谷線 C1出口より徒歩1分




すべて見るメソアクティス
¥ 3,300 (税込)生クリームピーリング
¥ 15,000 (税込)サリチル酸ピーリング
¥ 8,800 (税込)サリチル酸ピーリング/ボディ
¥ 7,700 (税込)マッサージピール・メイクアップピール
¥ 11,000 (税込)
施術メニューをもっと見る月,火,水,木,金,土,日,祝東京都千代田区有楽町1-6-1 第2日比谷ビル8F - 美容クリニック・美容皮膚科・医療脱毛クリニック・AGAクリニック・メンズクリニック・美容内科 / 東京メトロ銀座駅、東銀座駅、銀座1丁目駅などの銀座主要駅から徒歩5分


男性医療脱毛 全身(ヒゲ・VIO以外)
¥ 30,000 (税込)男性医療脱毛 VIO
¥ 15,000 (税込)男性医療脱毛 ヒゲ全体
¥ 13,000 (税込)男性医療脱毛 ヒゲ3部位
¥ 6,500 (税込)男性医療脱毛 腕
¥ 10,000 (税込)
施術メニューをもっと見る水,木,金,土,日,祝東京都中央区銀座2丁目10-8 マニエラ銀座ビル 7階 - ------美容クリニック / 渋谷駅 東口目の前 渋谷ヒカリエすぐ隣り



ED内服 バイアグラ/シルデナフィル(オンライン診療あり)
¥ 400 (税込)ED内服 レビトラ/バルデナフィル錠(オンライン診療あり)
¥ 1,100 (税込)ED内服 シアリス/タダラフィル錠(オンライン診療あり)
¥ 1,000 (税込)AGA治療薬 プロペシア(オンライン診療あり)
¥ 8,200 (税込)AGA治療薬 プロペシア/ フィナステリド錠(オンライン診療あり)
¥ 3,800 (税込)
施術メニューをもっと見る月,火,水,木,金,土,日,祝東京都渋谷区渋谷2-22-13 渋谷東口マイアミビル9階 - ------美容クリニック / ・渋谷駅マークシティ 道玄坂上方面 裏渋谷通りをまっすぐお進み下さい。 ・車で来られる方は、旧山手通り 神泉駅入口を曲がって下さい。



すべて見る引用元:
文化村通りクリニック 公式サイトシブやせ|渋谷の瘦せる定額コース
¥ 8,800 (税込)食欲抑制剤
低用量ピル|アンジュ/トリキュラー
¥ 2,200 (税込)
施術メニューをもっと見る月,火,水,木,金,土,日,祝東京都渋谷区道玄坂2-25-10 小田原屋ビル4階 - 美容クリニック・美容皮膚科・美容外科(美容整形)・医療脱毛クリニック・AGAクリニック・レディースクリニック・美容内科・医療ダイエット・痩身クリニック・医療ダイエット・痩身クリニック / JR御茶ノ水駅・千代田線新御茶ノ水駅から徒歩1分、また丸ノ内線御茶ノ水駅から徒歩2分



すべて見るカスタマイズ肌治療
¥ 38,500 (税込)ピコトーニング
¥ 8,800 (税込)ピコトーニング(手背)
¥ 7,700 (税込)ピコフラクショナル
¥ 8,800 (税込)ピコスポット(ピンポイントのしみ取り)
¥ 2,200 (税込)
施術メニューをもっと見るおすすめポイント
- 糸リフトで若々しい印象を実現する
- リーズナブルなフォトフェイシャルで透明感をアップ
- JR御茶ノ水駅から徒歩1分の好立地
月,火,水,木,金,土,日,祝東京都千代田区神田駿河台2-2-4 MPR御茶ノ水駅前ビル 9階 - ------美容クリニック・美容皮膚科・美容外科(美容整形)・医療脱毛クリニック・AGAクリニック・美容内科・再生医療クリニック・再生医療クリニック / JR中央線、JR総武線、東京メトロ丸の内線 荻窪駅 西口・南口より徒歩1分
- 美容クリニック・美容皮膚科・美容外科(美容整形)・AGAクリニック・美容内科・医療ダイエット・痩身クリニック・医療ダイエット・痩身クリニック / 電車でお越しの方へ 学芸大学駅西口を直進して徒歩3分。 左側の円形ビル3階です。 バスでお越しの方へ 駒沢中学校バス停留所より徒歩2分。 向天神橋バス停留所より徒歩2分。 駒沢三丁目バス停留所より徒歩4分。



二重目元外科治療 埋没法 Mare'sスクエア/Mare'sスクエアダブル
¥ 98,000 (税込)二重目元外科治療 切開法 目頭切開
¥ 220,000 (税込)二重目元外科治療 切開法 眉下切開
¥ 260,000 (税込)二重目元外科治療 切開法 全切開二重
¥ 300,000 (税込)二重目元外科治療 目の下のたるみ取り
¥ 250,000 (税込)
施術メニューをもっと見るおすすめポイント
- 理想の仕上がりを実現する丁寧なカウンセリング
- プライベート空間でリラックスしながら施術
- 学芸大学駅から徒歩3分の好立地
月,火,水,木,金,土,日,祝東京都目黒区鷹番3-21-21野本ビル 301 - ------美容クリニック・メンズクリニック・美容内科 / 東池袋駅の6・7番出口から徒歩3分



にんにく注射 / ストロングにんにく注射
¥ 1,300 (税込)美肌注射
¥ 1,700 (税込)プラセンタ注射
¥ 1,300 (税込)総合ビタミン注射・点滴
¥ 2,380 (税込)高濃度ビタミンC点滴
¥ 4,800 (税込)
施術メニューをもっと見る月,火,水,木,金,土東京都豊島区東池袋3-1-1 サンシャイン60 7F - 美容クリニック・美容皮膚科・美容外科(美容整形)・医療脱毛クリニック・AGAクリニック・メンズクリニック・レディースクリニック・美容内科・再生医療クリニック・再生医療クリニック・医療ダイエット・痩身クリニック・医療ダイエット・痩身クリニック / 都営大江戸線新宿西口駅 徒歩30秒 「新宿駅」西口より徒歩5分 「西武新宿駅」正面口より徒歩3分



すべて見る二重埋没法
¥ 19,800 (税込)全切開法二重術
¥ 330,000 (税込)たるみ取り併用全切開法二重術
¥ 400,000 (税込)切らない眼瞼下垂
¥ 87,300 (税込)切らないタレ目術
¥ 87,300 (税込)
施術メニューをもっと見る月,火,水,木,金,土,日,祝東京都新宿区西新宿7-10-18 小滝橋パシフィカビル 6F - 美容クリニック・美容皮膚科・美容外科(美容整形)・医療脱毛クリニック・AGAクリニック・レディースクリニック・美容内科・再生医療クリニック・再生医療クリニック・医療ダイエット・痩身クリニック・医療ダイエット・痩身クリニック / 東急東横線「都立大学駅【南口】」徒歩2分 改札口出て右(南口)へ、「みずほ銀行」と「蜂の家」の間の道を進み、「旭湯」を通り過ぎてすぐの角を右へ、「佐瀬歯科」の2つ隣





すべて見るピコレーザー(シミ取りスポット)
¥ 12,100 (税込)ピコレーザー(ADM治療)
¥ 12,100 (税込)ピコトーニング+イオン導入
¥ 14,300 (税込)ピコフラクショナル
¥ 14,300 (税込)顔のシミ取り放題(シミの大きさ問わず何個でも)
¥ 55,000 (税込)
施術メニューをもっと見る月,火,水,木,金,土,日,祝東京都目黒区平町 1-23-14 EMON - 美容クリニック・審美歯科 / 【新宿駅南口から】甲州街道沿いを左方面へ進み、大塚家具を通り過ぎ、新宿四丁目の交差点を新宿御苑方面へ渡ります。そのまま直進すると新宿マルイアネックスス館(裏出入口)が見えてきます。当館2Fが銀座デンタルホワイト新宿マルイアネックスス院です。 【新宿駅東口から】新宿通りを左方面へ進み、ヨドバシカメラ、Gucci、ビックロ、新宿マルイ本館を通り過ぎ、新宿三丁目交差点を新宿御苑方面へ渡ります。そのまま直進すると右側に新宿マルイアネックス館(正面入口)が見えてきます。当館2Fが銀座デンタルホワイト新宿マルイアネックスス院です。 【東京メトロから】新宿三丁目駅C1出口、右側に新宿マルイアネックス館があります。当館2Fが 銀座デンタルホワイト新宿マルイアネックスス院です。 お気をつけてお越しくださいませ。思いのほか白くなりました- マサミ
ホワイトニング
¥ 2,200 (税込)クリーニング
¥ 8,800 (税込)エイジングケア
¥ 11,000 (税込)オプション
¥ 3,300 (税込)デュアルホワイトニング
¥ 45,650 (税込)
施術メニューをもっと見る月,火,水,木,金,土,日,祝東京都新宿区新宿3-1-26 新宿マルイアネックス 2F
DMTC美容皮膚科 日本橋院の 系列クリニック
- 美容クリニック・美容皮膚科・医療脱毛クリニック・医療ダイエット・痩身クリニック・医療ダイエット・痩身クリニック / 渋谷駅 徒歩4分顔に跡が付かないので時間帯、日程を気にせずに受けられる!- Okp




すべて見る医療脱毛(女性)全身+顔+VIO
¥ 28,380 (税込)医療脱毛(女性)全身+VIO
¥ 21,780 (税込)医療脱毛(女性)全身+顔
¥ 21,780 (税込)医療脱毛(女性)全身
¥ 19,580 (税込)医療脱毛(女性)顔+VIO
¥ 17,380 (税込)
施術メニューをもっと見るおすすめポイント
- お手頃価格で安心の脱毛施術を受ける
- 初回限定キャンペーンでお得に美肌を手に入れる
- 渋谷駅から徒歩4分のアクセス良好な立地
月,火,水,木,金,土,日,祝東京都渋谷区宇田川町32-7 HULIC&New UDAGAWA 10階 - 美容クリニック・美容皮膚科・医療脱毛クリニック・医療ダイエット・痩身クリニック・医療ダイエット・痩身クリニック / JR埼京線大宮駅西口徒歩1分



医療脱毛(女性)全身+顔+VIO
¥ 28,380 (税込)医療脱毛(女性)全身+VIO
¥ 21,780 (税込)医療脱毛(女性)全身+顔
¥ 21,780 (税込)医療脱毛(女性)全身
¥ 19,580 (税込)医療脱毛(女性)顔+VIO
¥ 17,380 (税込)
施術メニューをもっと見るおすすめポイント
- リーズナブルな全身脱毛でツルツル肌を実現
- 痛みを軽減した丁寧な施術で安心
- JR埼京線大宮駅西口から徒歩1分の好立地
月,火,水,木,金,土,日,祝埼玉県さいたま市大宮区桜木町1-1-27 小暮ビル 3階
DMTC美容皮膚科 日本橋院の よくある質問
DMTC美容皮膚科 日本橋院の人気な施術は?
DMTC美容皮膚科 日本橋院で取り扱いが多い施術は?
DMTC美容皮膚科 日本橋院の診療開始時間・診療終了時間は?
DMTC美容皮膚科 日本橋院の支払い方法は?
DMTC美容皮膚科 日本橋院の行き方は?
出来るだけ正確な情報掲載に努めておりますが、内容を完全に保証するものではありません。
当サービスによって生じた損害について、株式会社シアンではその賠償の責任を一切負わないものとします。
情報に誤りがある場合には、お手数ですがキレイレポ編集部までご連絡をいただけますようお願いいたします。









