湘南美容クリニック 池袋東口院
ショウナンビヨウクリニック イケブクロヒガシグチイン
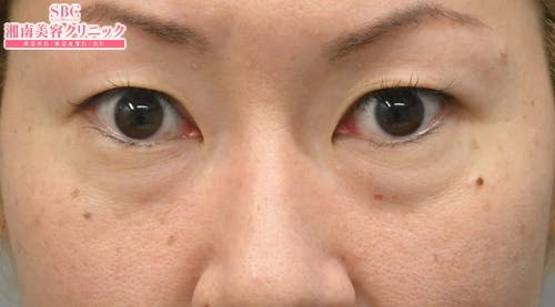
1/3
2/3
3/3
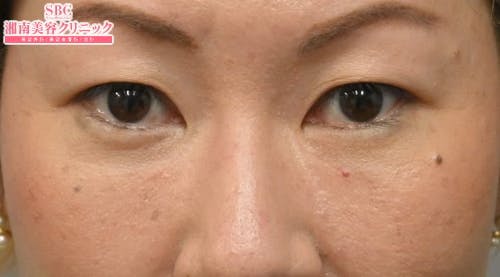
1/3
2/3
3/3
1/3
2/3
3/3
湘南美容クリニック池袋東口には埋没法二重整形の執刀数全国No.1(SBC内2021年上半期・下半期)である赤尾健院長が在籍。また医療脱毛や医療ハイフ・ダーマペンといった小顔や美容皮膚科治療(メンズ美容含む)や脂肪吸引や豊胸術など幅広い施術を取り扱っております。 都内では取り扱いの少ない最新テクノロジーを使用した黒色系の刺青(タトゥー)除去、外傷性刺青などの施術もおこなっております。
湘南美容クリニック 池袋東口院の 症例 50件
湘南美容クリニック 池袋東口院の 口コミ・評判 (レポ) 178件
| 5 | 107件 | |
| 4 | 54件 | |
| 3 | 16件 | |
| 2 | 1件 | |
| 1 | 0件 |
人気の施術の口コミTOP5
よく見られている口コミ
- 満足度が高い口コミ
ぱっちり二重で大満足です!
5.01年前
理想の二重を目指して以前二重埋没をした際にカウンセリングで蒙古襞がある為目頭切開と二重全切開した方が二重の幅を広げられると言われ、より理想の二重に近づくように二重全切開をしようと思いました。二重切開のお客様満足度がとても高い先生がいる湘南美容池袋東口院を選びました。
手術の体験と痛み
最初のうちは埋没で満足していたのですが、私はアメリカ人のような二重がとても好みなのでそれに近づけられるようにしたいと思いました。湘南美容池袋東口院は駅から近くわかりやすい場所にありました。
担当してくださったカウンセラーの女性はとても親身に二重の悩みを聞いてくださり、すぐに手術日の予約をとりました。初めに目頭切開から行ったのですが目頭切開は静脈麻酔で寝ている間に終わった為手術中の記憶はありません。
二重全切開は途中で麻酔の効果が弱まったのか少し痛みを感じました。
帰りは家族に車で迎えにきてもらい帰宅したのですが、帰宅途中麻酔の効果が切れて激痛だった事を鮮明に覚えています。恐らく当日がダウンタイムの中で一番痛みが強かったです。1週間後に抜糸予定でしたがそれまでは傷口に保湿クリームを塗って過ごしました。
人生で初めての抜糸は笑気麻酔を使用しました。傷口が瘡蓋になっていた為かとても痛かったです。
そこでダウンタイム中は傷口をしっかり消毒するなどケアが大事なんだな。と思いました。抜糸した日からは腫れが一気にひき馴染んできました。
抜糸が終わるとコンタクトやメイクが可能となりました。手術前よりは明らかに二重幅が広くなっており今でも凄く気に入ってます!!!
眼瞼下垂の手術も同時に行った為その効果ですごくぱっちりと黒目が見えるようになりました。ですが、目を閉じると二重切開している感が出る為バレたくない方やナチュラルな感じが良いという方には向いていないかもしれないです。
支払金額¥600000施術日2019/11/02
uni20代後半|女性| 3件のレポ (ガチレポ認定 3件) - 期待との差を感じた口コミ
少し薄くなった
ヒゲ脱毛:医療脱毛 鼻下(口ひげ)+あご+あご下 6回コース(1回目)3.02ヶ月前毎朝の髭剃りが面倒くさい 私は髭が濃い方ではなかったですが、毎朝の髭剃りに面倒くささを感じていました。脱毛をして毎朝の髭剃りの時間をなくされば良いなと言う思いでふと施術をきめました。 ## 意外と痛くないヒゲ脱毛 初回の来店で診察をし、施術機器が空いていなかったので翌日予約して施術しました。予約は取りにくいと思っていましたが、平日昼間だと意外とすぐでも予約できました。受付とスマホのSBCのサイトからも予約できるみたいでした。施術内容についてですが、事前に調べヒゲ脱毛は痛いと聞いていましたが、無料で塗り麻酔をくれ塗布したところ耐えられない痛さはありませんでした。使用機器はアレクサンドルレーザー?やヤグレーザーなど種類があるようですが自分では選べずその人の濃さにあった機械を使用するようです。部位に関してはほうれい線の内側から顎下までやってもらい、そのなかでは鼻下が一番痛みを感じました。痛みを感じたと言っても前述した通り耐えられないものでもなく、パチンと言う音と共に輪ゴムで弾かれたくらいの痛さでした。事前に調べた意見でもそのような表現があり嘘ではなかったなぁと思った記憶です。 ## 術後の様子 1回では薄くならないとは事前に聞いていたので初回の効果はあまり期待はしていませんでしたが、目に見えて薄くはなっていないです。私が選んだコースは全部で6回コースで複数回通う前提なので3回目くらいで見てわかるくらいになればいいなぁと思っています。ただ術後1週間ほど経過したころ、ポロポロと髭が何本か落ちました。毛が生え変わる周期がバラバラで、抜ける周期に施術をしたものだけが脱毛できると説明を受けていました。6回通って毎朝髭を剃らなくて済めば良いなと言う気持ちです。支払金額¥16,800施術日2025/08/08
ひげおじ20代後半|男性| 1件のレポ
湘南美容クリニック 池袋東口院の 医師
赤尾 健ゾーン統括ドクター/池袋東口院 院長
口コミ20件・Q&A回答-件美容医療は、 あなたを幸せにできる。 一般的に医療は、病気というマイナスをゼロへ近づけていくものです。しかし唯一、美容医療だけはマイナスやゼロをプラスにできる、素晴らしい分野です。 また、美容医療は全人類を対象にできる数少ない医療です。人生を変えるきっかけを、一人でも多くの方に提供できる。だから私は、美容外科医を志しました。 人は見た目の第一印象で人生が大きく変わります。アメリカの心理学者の研究でも、「人は初めて出会った相手を、最初の2秒で値踏みする」ということが明らかになっています。 コンプレックスが解消されて美しくなる。美しくなることで第一印象が良くなる。そして、第一印象が良くなると、自信が付いたり、信頼されて仕事を任されたり、恋人ができたり、より幸せな人生につながると思います。 「埋没法に始まり、埋没法に終わる」。 これは美容整形業界で知られる格言です。埋没法二重術は、針と糸だけを使った限りなくシンプルで、最もハードルの低い整形です。しかしその分、極めれば極めるほど技術力が試される整形でもあり、また最も人を幸せにできる特別な整形でもあります。 これまで、私はさまざまな手術を担当してきました。二重切開、鼻整形、脂肪吸引、豊胸…その数は数千件にも上ります。しかし、数多くの手術を経て、いまこの魅力的な埋没法二重術に行きつきました。 幸せな人を増やしたい。 ぜひ私の手で、埋没法二重術を体験してみてください。新明 康宏池袋東口院技術指導医
口コミ2件・Q&A回答-件正しい情報と安全・丁寧な施術を提供いたします。 私はカウンセリングを重視しています。 初めて美容医療の扉を開けカウンセリングにいらっしゃる方はもとよりリピーターの方でも、大なり小なり不安をお持ちの方がほとんどです。 漠然とした希望で自分ではどうしていいのか分からずにいらっしゃる方、明確な目的をもっていらっしゃる方、と様々ですが、本当のところ自分にとってどんな施術が適切なのか分からないのが現状と思います。 あなたの想いに対し、可能な施術の効果・限界を率直にご説明いたします。 お互いの意識をすりあわせ、より適切な美容医療を提供いたします。 美容医療に不安・興味のある方、一般外科、形成外科歴22年、形成外科専門医の私にご相談下さい。阿南 健太郎医師
口コミ-件・Q&A回答-件皆様こんにちは! 湘南美容クリニックの阿南健太郎と申します。 今日では、とても美しい女性や男性がテレビや雑誌、SNSで数多く見かけられる時代です。そんな中で、自分の外見に100%の自信を持つことができている人はどれほどいるでしょうか。また誰もが「もっとここが良くなれたら」「もっと若々しく見えたら」と思うことがあるはずです。 自分の顔は自分が一番多く見つめる部分であり、他人からは最初に見られる部分です。そして、時とともにその人の年齢が刻まれる場でもあります。服装や髪型、メイクなどは自分ですぐに変えることができますが、コンプレックスのある場所や老化を治療するにはどうしても医療的なアプローチが必要となってしまいます。 自分の外見にコンプレックスを感じている人が、少しでも自信が持てて毎日を過ごすことができるように、形成外科として培ってきた技術を是非皆様に提供したいと思って美容医療の道を選びました。 美しさをより引き立てることも、コンプレックスを解消して心を軽くすることも、人生を豊かにするひとつの原動力となります。もちろん、人の幸せは外見だけで決まるものではありませんが、より理想の自分に近づくことは幸せに近づく一歩であると思っています。 私は、皆さんがより素敵な笑顔を手に入れ自信に満ちた人生を歩めるよう、全力でお手伝いをしていきます。 ご来院を心よりお待ちしております。
湘南美容クリニック 池袋東口院の 施術メニューを検索・予約する 268件
通常メニュー268件
二重埋没法
Teen二重 2点留め 両目
¥39,000(税込)Teen二重 3点留め 両目
¥58,000(税込)
二重埋没法(自然癒着法)
2点 片目
¥54,600(税込)2点 両目
¥91,000(税込)
自然癒着セット(上眼瞼脱脂)
両目
¥55,270(税込)
SBCデカ目術/切らないまぶたのリフトアップ
SBC『デカ目』術
¥116,320(税込)切らないまぶたのリフトアップ・線留めクロス 両目
¥148,000(税込)
切る二重術(切開法)
両目
¥250,000(税込)
タルミ取り併用全切開法二重術
両目
¥320,000(税込)
湘南美容クリニック 池袋東口院の基本情報
住所 東京都豊島区南池袋1-19-6 オリックス池袋ビル 2F | 地図を見る | |
| アクセス | JR池袋駅東口 徒歩1分 | |
| 診療時間 |
| |
| 支払い方法 | 現金可 カード可 (デビットカード・VISA・MasterCard・JCB・American Express・Diners・Discover) 電子マネー不可 QRコード支払い不可 | |
| 公式サイト | クリニック公式サイトを見る | |
| クリニック 紹介 | 湘南美容クリニック池袋東口には埋没法二重整形の執刀数全国No.1(SBC内2021年上半期・下半期)である赤尾健院長が在籍。また医療脱毛や医療ハイフ・ダーマペンといった小顔や美容皮膚科治療(メンズ美容含む)や脂肪吸引や豊胸術など幅広い施術を取り扱っております。 都内では取り扱いの少ない最新テクノロジーを使用した黒色系の刺青(タトゥー)除去、外傷性刺青などの施術もおこなっております。 | |
| 院長情報 | 赤尾 健 院長 慶應義塾大学医学部卒業 ハーバード大学医学部 Global Academy Course 修了 東京歯科大学市川総合病院(麻酔科・救急科・形成外科・外科) 慶應義塾大学病院 麻酔科 済生会横浜市東部病院 麻酔科 済生会中央病院 麻酔科 さいたま私立病院 麻酔科 立川病院 麻酔科 複数の有名美容外科や眼科でも勤務 湘南美容クリニック 入職 湘南美容クリニック柏院 院長就任 湘南美容クリニック池袋東口院 院長就任 | |
湘南美容クリニック 池袋東口院と 近隣のクリニックを比較
クリニック情報
アクセス
おすすめポイント
人気施術の口コミTOP3
今見ているクリニック

湘南美容クリニック 池袋東口院
(178件)
症例
(50件)
JR池袋駅東口 徒歩1分
- ・
顔の脂肪吸引で小顔を実現する
- ・
ヒアルロン酸注入で理想の鼻筋を手に入れる
- ・
池袋駅から徒歩1分のアクセス便利な立地
- 1.
ボトックス注射
- 2.
韓国製ボトックス・ボツリヌストキシン
- 3.
アラガン製ボトックス
JR池袋駅「東口」徒歩約3分 東京メトロ丸の内線池袋駅「43番出口」徒歩約3分 東京メトロ有楽町線池袋駅「43番出口」徒歩約3分
- ・
ボトックスで自然な若返りを実現する
- ・
フラクショナルCO2レーザーで毛穴悩みを解消
- ・
池袋駅から徒歩3分で通いやすい
- 1.
ボトックス注射
- 2.
韓国製ボトックス・ボツリヌストキシン
- 3.
アラガン製ボトックス
池袋駅 東京メトロ副都心線 C6出口より 徒歩1分 池袋駅 西口より徒歩4分
- ・
リバウンドなしの部分痩せを実現するクールスカルプティング
- ・
痛みを最小限に抑えた安心の施術体験
- ・
池袋駅から徒歩1分の好立地で通いやすい
- 1.
医療脱毛(全身+顔+VIO)
- 2.
医療脱毛
JR池袋駅「東口」徒歩約3分 東京メトロ丸の内線池袋駅「43番出口」徒歩約3分 東京メトロ有楽町線池袋駅「43番出口」徒歩約3分
- ・
ボトックスが1部位約¥3,000で受けられる
- ・
清潔感あふれる院内で安心施術
- ・
池袋駅から徒歩約3分の好立地
- 1.
ボトックス注射
- 2.
ヒアルロン酸注射・注入
- 3.
ほうれい線ヒアルロン酸
JR 池袋駅東口から徒歩3分
- ・
ダウンタイムなしで目元をすっきりさせる施術
- ・
安心のカウンセリングで不安を解消
- ・
JR池袋駅東口から徒歩3分の好立地
湘南美容クリニック 池袋東口院と併せて 人気のクリニック
- 美容クリニック・美容皮膚科・美容外科(美容整形)・医療脱毛クリニック・レディースクリニック・美容内科・再生医療クリニック・再生医療クリニック・医療ダイエット・痩身クリニック・医療ダイエット・痩身クリニック / JR線・東京メトロ(丸の内線・有楽町線・副都心線)・西武池袋線・東武東上線 池袋駅東口 徒歩3分ファンデーション少なめでもお肌が綺麗に見えます。- Wamo









すべて見るおすすめポイント
- ニキビ改善に特化したピーリング施術を体験
- ダーマペン4で肌質改善を実感
- 池袋駅から徒歩3分の通いやすさ
月,火,水,木,金,土,日,祝東京都豊島区南池袋2-27-8 第10野萩ビル 6F - 美容クリニック・美容皮膚科・美容外科(美容整形)・医療脱毛クリニック・AGAクリニック・メンズクリニック・レディースクリニック・美容内科・再生医療クリニック・再生医療クリニック・医療ダイエット・痩身クリニック・医療ダイエット・痩身クリニック / JR池袋駅「東口」徒歩約3分 東京メトロ丸の内線池袋駅「43番出口」徒歩約3分 東京メトロ有楽町線池袋駅「43番出口」徒歩約3分不機嫌顔じゃなくなった!- はちわれ






すべて見るフォトシルクプラス(顔)
¥ 8,640 (税込)フォトシルクプラス(手の甲)
¥ 1,300 (税込)レーザートーニング(メドライトC6)全顔
¥ 5,190 (税込)コラーゲンピール(全顔)
¥ 10,800 (税込)コラーゲンピール(その他部位)
¥ 10,800 (税込)
施術メニューをもっと見るおすすめポイント
- ボトックスで自然な若返りを実現する
- フラクショナルCO2レーザーで毛穴悩みを解消
- 池袋駅から徒歩3分で通いやすい
月,火,水,木,金,土,日,祝東京都豊島区東池袋1-13-6 ロクマルゲート池袋8F - 美容クリニック・美容皮膚科・美容外科(美容整形)・審美歯科・医療脱毛クリニック・AGAクリニック・メンズクリニック・レディースクリニック・美容内科・再生医療クリニック・再生医療クリニック・医療ダイエット・痩身クリニック・医療ダイエット・痩身クリニック / 池袋駅 東京メトロ副都心線 C6出口より 徒歩1分 池袋駅 西口より徒歩4分口コミ通り- ち









すべて見る二重埋没法
¥ 29,880 (税込)二重埋没法(自然癒着法)
¥ 54,600 (税込)自然癒着セット(上眼瞼脱脂)
¥ 55,270 (税込)SBCデカ目術/切らないまぶたのリフトアップ
¥ 116,320 (税込)切る二重術(切開法)
¥ 250,000 (税込)
施術メニューをもっと見るおすすめポイント
- リバウンドなしの部分痩せを実現するクールスカルプティング
- 痛みを最小限に抑えた安心の施術体験
- 池袋駅から徒歩1分の好立地で通いやすい
月,火,水,木,金,土,日,祝東京都豊島区池袋 2-6-1 KDX池袋ビル 3F - 美容クリニック・美容皮膚科・美容外科(美容整形)・医療脱毛クリニック・メンズクリニック・レディースクリニック・美容内科・医療ダイエット・痩身クリニック・医療ダイエット・痩身クリニック / 高田馬場駅下車 徒歩3分



女性医療脱毛 全身脱毛
¥ 19,800 (税込)女性医療脱毛 全身脱毛+ VIO
¥ 25,300 (税込)女性医療脱毛 全身脱毛+うなじ
¥ 25,300 (税込)女性医療脱毛 全身脱毛+全顔
¥ 25,300 (税込)女性医療脱毛 全身脱毛+うなじ+全顔
¥ 30,800 (税込)
施術メニューをもっと見るおすすめポイント
- ピコフラクショナルで肌トーンをアップする
- カウンセリング重視で安心の施術体験
- 高田馬場駅から徒歩3分の好立地
月,火,水,木,金,土,日,祝東京都豊島区高田3-11-19 ヴィラオートヴァーグ 2F - 美容クリニック・美容皮膚科・美容外科(美容整形)・AGAクリニック・メンズクリニック・レディースクリニック・美容内科・再生医療クリニック・再生医療クリニック・医療ダイエット・痩身クリニック・医療ダイエット・痩身クリニック / 各線「池袋駅」西口C6出口徒歩1分



引用元:
みずほクリニック 公式サイトACRS注入療法(肌育注射)
¥ 66,000 (税込)プルリアルデンシファイ(肌育注射)
¥ 55,000 (税込)ジュベルック(肌育注射)
¥ 44,000 (税込)スネコス注射(肌育注射)
¥ 33,000 (税込)プロファイロ(肌育注射)
¥ 88,000 (税込)
施術メニューをもっと見るおすすめポイント
- スピーディーな施術で理想の二重を実現
- 傷跡が残らないほくろ除去で自信を取り戻す
- 池袋駅から徒歩1分の通いやすさ
月,火,水,木,金,土,日,祝東京都豊島区池袋2-2-1ウイックスビル4階 - 美容クリニック・美容皮膚科・美容外科(美容整形)・審美歯科・医療脱毛クリニック・AGAクリニック・メンズクリニック・レディースクリニック・美容内科・再生医療クリニック・再生医療クリニック・医療ダイエット・痩身クリニック・医療ダイエット・痩身クリニック / 「池袋駅」メトロポリタン口より徒歩2分 「池袋駅」西口(南)より徒歩2分









すべて見る二重埋没法
¥ 29,880 (税込)二重埋没法(自然癒着法)
¥ 54,600 (税込)自然癒着セット(上眼瞼脱脂)
¥ 55,270 (税込)SBCデカ目術/切らないまぶたのリフトアップ
¥ 116,320 (税込)切る二重術(切開法)
¥ 250,000 (税込)
施術メニューをもっと見るおすすめポイント
- シミ・そばかすを徹底ケアする医療レーザー
- 安心のカウンセリングで自分に合った施術を選べる
- 池袋駅から徒歩2分の好立地
月,火,水,木,金,土,日,祝東京都豊島区西池袋1丁目10-8 サン・グロウビル 7階 








すべて見る女性医療脱毛 全身+うなじ
¥ 19,800 (税込)女性医療脱毛 全身+うなじ+顔全体
¥ 26,800 (税込)女性医療脱毛 全身+うなじ+VIO
¥ 29,600 (税込)女性医療脱毛 全身+うなじ+顔全体+VIO
¥ 36,600 (税込)女性医療脱毛 VIOライン
¥ 9,800 (税込)
施術メニューをもっと見るおすすめポイント
- お手頃価格で受ける医療ハイフ
- ダウンタイムほぼゼロで安心
- 池袋駅から徒歩1分の好立地
月,火,金,土,日,祝東京都豊島区東池袋1-1-2 高村ビル 6F- 美容クリニック・美容皮膚科・美容外科(美容整形)・医療脱毛クリニック・レディースクリニック・美容内科・再生医療クリニック・再生医療クリニック・医療ダイエット・痩身クリニック・医療ダイエット・痩身クリニック / JR池袋駅 東口(北)より徒歩3分 地下鉄 池袋駅 32番出口より徒歩2分




すべて見る女性医療脱毛 全身パーフェクト(顔・VIOを除く)
¥ 37,950 (税込)女性医療脱毛 顔(単部位眉下を含めた全顔・首までの範囲)
¥ 16,500 (税込)女性医療脱毛 VIO
¥ 28,600 (税込)男性医療脱毛 全身パーフェクト(顔・VIOを除く)
¥ 56,100 (税込)男性医療脱毛 顔(単部位眉下を含めた全顔・首までの範囲)
¥ 18,700 (税込)
施術メニューをもっと見るおすすめポイント
- 安心のカウンセリングで理想の鼻を実現する
- 30分でシミを一掃!即効性のある施術
- 池袋駅から徒歩3分!通いやすい立地
月,火,水,木,金,土,日,祝東京都豊島区東池袋1-9-1 セイコーサンシャインビルXI 6階 - 美容クリニック・美容皮膚科・美容外科(美容整形)・AGAクリニック・メンズクリニック・レディースクリニック・美容内科・医療ダイエット・痩身クリニック・医療ダイエット・痩身クリニック / JR「池袋駅」西口 徒歩1分 東京メトロ丸の内線、有楽町線「池袋駅」 徒歩1分 東武東上線「池袋駅」 徒歩1分 西武池袋線「池袋駅」 徒歩3分


二重埋没法
¥ 69,800 (税込)二重切開法
¥ 348,000 (税込)睫毛上切開
¥ 198,000 (税込)目頭切開
¥ 298,000 (税込)目上切開
¥ 198,000 (税込)
施術メニューをもっと見る月,火,水,木,金,土,日,祝東京都豊島区池袋2-1-1 千野ビル 4階 - 美容クリニック・医療脱毛クリニック / JR各線 池袋駅東⼝(北)より徒歩2分



すべて見る女性医療脱毛 全身
¥ 86,100 (税込)女性医療脱毛 全身+VIO
¥ 52,800 (税込)女性医療脱毛 全身+顔
¥ 123,690 (税込)女性医療脱毛 全身+VIO+顔
¥ 151,200 (税込)女性医療脱毛 VIO脱毛
¥ 37,800 (税込)
施術メニューをもっと見る月,火,水,木,金,土,日,祝東京都豊島区東池袋1丁目41-4 池袋とうきゅうビル 5階 - 美容クリニック・美容皮膚科・美容外科(美容整形)・AGAクリニック・美容内科・医療ダイエット・痩身クリニック・医療ダイエット・痩身クリニック / R池袋駅東口 徒歩1分 池袋駅35番出口すぐ 有楽町線 東池袋駅 徒歩7分 都電荒川線 東池袋四丁目駅 徒歩8分 副都心線 雑司が谷駅 徒歩12分 JR目白駅 徒歩14分 都電荒川線 向原駅 徒歩15分いつも綺麗に除去してもらっています!- 熊野ゆうき









すべて見る引用元:
池袋駅前のだ皮膚科 公式サイトトライフィルプロ
¥ 99,000 (税込)キュアジェット
¥ 33,000 (税込)キュアジェット/頭皮中空照射モード
¥ 44,000 (税込)ポテンツァ
¥ 55,000 (税込)ポテンツァ/肝斑
¥ 44,000 (税込)
施術メニューをもっと見るおすすめポイント
- プラセンタ注射で美肌と健康を手に入れる
- Vビームレーザーで赤みを改善する
- 池袋駅から徒歩1分の好立地
月,火,水,木,金,土,日,祝東京都豊島区東池袋1丁目2-2 東池ビル 3階 - 美容クリニック・美容皮膚科・美容外科(美容整形)・医療脱毛クリニック・AGAクリニック・メンズクリニック・レディースクリニック・美容内科・再生医療クリニック・再生医療クリニック・医療ダイエット・痩身クリニック・医療ダイエット・痩身クリニック / JR・西武線・東上線・地下鉄 池袋駅より徒歩3分こんなに早く終わるとは思いませんでした- ころさん








すべて見る引用元:
城本クリニック池袋院 公式サイト二重埋没
¥ 66,000 (税込)二重切開
¥ 220,000 (税込)目頭切開
¥ 275,000 (税込)経結膜脱脂
¥ 330,000 (税込)目尻切開
¥ 275,000 (税込)
施術メニューをもっと見るおすすめポイント
- 短時間で効果を実感!脇ボトックス施術
- 切開なしで自然な仕上がり!二重埋没法
- 池袋駅から徒歩3分!通いやすい立地
月,火,水,木,金,土,日,祝東京都豊島区南池袋2-27-5 共和ビル 5F - 美容クリニック・美容皮膚科・医療脱毛クリニック / JR池袋駅 東口より徒歩3分



すべて見る医療脱毛 全身+うなじ
¥ 21,560 (税込)医療脱毛 全身+うなじ+顔
¥ 27,060 (税込)医療脱毛 全身+うなじ+VIO
¥ 27,060 (税込)医療脱毛 全身+うなじ+VIO+顔
¥ 32,560 (税込)医療脱毛 VIO
¥ 10,780 (税込)
施術メニューをもっと見るおすすめポイント
- 医療脱毛で早く効果を実感する
- 手軽に受けられるヴェルベットスキン
- 池袋駅から徒歩3分の好立地
月,火,水,木,金,土,日,祝東京都豊島区東池袋1-13-6 ロクマルゲート池袋 4F(GIGO 総本店のビル) - 美容クリニック・美容皮膚科・美容内科・医療ダイエット・痩身クリニック・医療ダイエット・痩身クリニック / 東京メトロ 「池袋駅」より徒歩2分 JR「池袋駅」より徒歩2分 東武東上線「池袋駅」より徒歩2分 西武池袋線「池袋駅」より徒歩2分









すべて見るライムライト
¥ 11,858 (税込)リバースピール
¥ 11,858 (税込)アキュチップ
¥ 1,210 (税込)ジェネシス
¥ 11,858 (税込)タイタンエックスエル
¥ 19,118 (税込)
施術メニューをもっと見るおすすめポイント
- シミ・小じわを徹底改善するXEO施術
- 無痛で快適な高速美肌脱毛を体験
- 池袋駅から徒歩2分のアクセス便利な立地
月,火,水,木,金,土,日,祝東京都豊島区南池袋2-26-6 島倉ビル 5F - 美容クリニック・美容皮膚科・医療脱毛クリニック / 西武池袋線「池袋駅」西武南口より徒歩1分 地下鉄「池袋駅」38番出口より徒歩4分 JR山手線「池袋駅」東口より徒歩5分 東武東上線「池袋駅」東口より徒歩5分 都電荒川線「都電雑司が谷駅」より徒歩8分



すべて見るメンズ医療脱毛 ヒゲ脱毛(3部位)
¥ 9,800 (税込)メンズ医療脱毛 ヒゲ脱毛(全部位)
¥ 16,800 (税込)メンズ医療脱毛 顔全体オプション
メンズ医療脱毛 全身脱毛
¥ 35,800 (税込)メンズ医療脱毛 全身+VIO脱毛
¥ 319,800 (税込)
施術メニューをもっと見る月,火,水,木,金,土,日,祝東京都豊島区南池袋1-16-18 フェイス池袋 5F - 美容クリニック・美容皮膚科・美容外科(美容整形)・医療脱毛クリニック・AGAクリニック・レディースクリニック・美容内科・再生医療クリニック・再生医療クリニック・医療ダイエット・痩身クリニック・医療ダイエット・痩身クリニック / ・JR「横浜駅」みなみ西口を出て交番と蕎麦屋の間の道を左折。 その先を右折し橋を左に渡るとビックカメラがあります。 そのまま直進し花屋と青果店の間の道を進んで頂きます。 2つ目の十字路の右側のビル7F。 ・ビル1Fは居酒屋店「相席屋」





すべて見る女性医療脱毛 スターター(ワキ)セット(ワキ+ヒジ下+ヒザ下)
¥ 60,610 (税込)女性医療脱毛 スターター(Vライン)セット(Vライン+ヒジ下+ヒザ下)
¥ 60,610 (税込)女性医療脱毛 腕&脚すっきりセット(ヒジ上+ヒジ下+ヒザ上+ヒザ+ヒザ下)
¥ 133,760 (税込)女性医療脱毛 エチケットセット/ハイジニーナセット/VIO
¥ 9,800 (税込)女性医療脱毛 ハイジニーナセット+小陰唇縮小術
¥ 165,000 (税込)
施術メニューをもっと見るおすすめポイント
- 全身医療脱毛でスピーディに美肌を実現
- ケミカルピーリングで肌トラブルを早期解決
- JR「横浜駅」から徒歩10分の好立地
月,火,水,木,金,土,日,祝東京都豊島区南池袋2-27-8 南水ビル7F - 美容クリニック・美容皮膚科・美容外科(美容整形)・審美歯科・レディースクリニック・美容内科・医療ダイエット・痩身クリニック・医療ダイエット・痩身クリニック / JR線・西武池袋線・東武東上線・東京メトロ副都心線・丸ノ内線 池袋駅 徒歩3分



脂肪吸引 フェイスライン
¥ 217,800 (税込)脂肪吸引 フェイスライン・メーラーファット・ジョールファット・アゴ下・エラ下
¥ 437,800 (税込)脂肪吸引 フェイスライン・メーラーファット・ジョールファット・アゴ下・エラ下
¥ 327,800 (税込)脂肪注入 眼窩底・ゴルゴライン
¥ 327,800 (税込)脂肪注入 眼窩底・ゴルゴライン
¥ 217,800 (税込)
施術メニューをもっと見る月,火,水,木,金,土,日,祝東京都豊島区東池袋1-21-13 aune池袋 3階 - 美容クリニック・美容皮膚科・美容外科(美容整形)・医療脱毛クリニック・メンズクリニック・レディースクリニック・美容内科・医療ダイエット・痩身クリニック・医療ダイエット・痩身クリニック / 池袋駅より徒歩2分


女性医療脱毛 全身脱毛
¥ 19,800 (税込)女性医療脱毛 全身脱毛+ VIO
¥ 25,300 (税込)女性医療脱毛 全身脱毛+うなじ
¥ 25,300 (税込)女性医療脱毛 全身脱毛+全顔
¥ 25,300 (税込)女性医療脱毛 全身脱毛+うなじ+全顔
¥ 30,800 (税込)
施術メニューをもっと見るおすすめポイント
- スピーディな医療脱毛で安心感を得る
- 都度払いでお手頃な価格設定
- 池袋駅から徒歩2分の好立地
月,火,水,木,金,土,日,祝東京都豊島区南池袋2-27-8 第10野萩ビル 5F - 美容クリニック・美容皮膚科・美容外科(美容整形)・医療脱毛クリニック・AGAクリニック・メンズクリニック・レディースクリニック・美容内科・再生医療クリニック・再生医療クリニック・医療ダイエット・痩身クリニック・医療ダイエット・痩身クリニック / JR池袋駅「東口」徒歩約3分 東京メトロ丸の内線池袋駅「43番出口」徒歩約3分 東京メトロ有楽町線池袋駅「43番出口」徒歩約3分効果を実感するためには回数が必要- junjun






すべて見る引用元:
品川美容外科 池袋院 公式サイトフォトシルクプラス(顔)
¥ 8,640 (税込)フォトシルクプラス(手の甲)
¥ 1,300 (税込)レーザートーニング(メドライトC6)全顔
¥ 5,190 (税込)コラーゲンピール(全顔)
¥ 10,800 (税込)コラーゲンピール(その他部位)
¥ 10,800 (税込)
施術メニューをもっと見るおすすめポイント
- ボトックスが1部位約¥3,000で受けられる
- 清潔感あふれる院内で安心施術
- 池袋駅から徒歩約3分の好立地
月,火,水,木,金,土,日,祝東京都豊島区東池袋1-13-6 ロクマルゲート池袋8F - 美容クリニック・美容皮膚科・美容外科(美容整形)・レディースクリニック・美容内科・医療ダイエット・痩身クリニック・医療ダイエット・痩身クリニック / 池袋駅東口 徒歩5分 池袋西武南口・西武池袋本店書籍館出口 徒歩1分きれいな肌に!- コンテンポラリー


二重埋没法(自然癒着法)
¥ 49,800 (税込)二重切開法 切開重瞼術
¥ 298,000 (税込)二重切開法 眼瞼下垂
¥ 448,000 (税込)目頭切開
¥ 254,000 (税込)目尻切開
¥ 388,000 (税込)
施術メニューをもっと見るおすすめポイント
- 即効性抜群のフォトフェイシャルで肌悩み解消
- 短時間で完了!肩ボトックスで美しいラインを実現
- 池袋駅から徒歩5分の通いやすさ
月,火,水,木,金,土,日,祝東京都豊島区南池袋1-18-1 池袋三品ビル 7F
湘南美容クリニック 池袋東口院と併せて よく一緒に見られているクリニック
- ------美容クリニック・美容皮膚科・美容外科(美容整形)・美容内科・再生医療クリニック・再生医療クリニック / 都営新宿線「小川町」駅 徒歩2分 B5出口すぐ 東京メトロ千代田線「新御茶ノ水」駅 徒歩4分 B5出口すぐ 東京メトロ丸ノ内線「淡路町」駅 徒歩5分 B5出口すぐ JR中央線「御茶ノ水」駅 聖橋口 徒歩7分 東京メトロ半蔵門線・都営三田線「神保町」駅 徒歩10分 A5出口 JR山手線「神田」駅 徒歩10分



引用元:
聖文堂医院 公式サイト幹細胞培養上清液治療 静脈注射
¥ 330,000 (税込)幹細胞培養上清液治療 フェイシャル
¥ 440,000 (税込)幹細胞培養上清液+ヒアルロン酸注入(膝関節)
¥ 330,000 (税込)ボトックス注射 額のシワ
¥ 33,000 (税込)ボトックス注射 眉間と眉毛
¥ 33,000 (税込)
施術メニューをもっと見る月,火,水,木,金,祝東京都千代田区神田小川町2-2-8 天下堂ビル 3F - 美容クリニック・美容皮膚科・美容外科(美容整形)・医療脱毛クリニック / 新宿駅(南口より徒歩3分)



顎ヒアルロン
¥ 88,000 (税込)顎ヒアルロン
¥ 69,800 (税込)ほうれい線貴族ヒアル
¥ 88,000 (税込)ほうれい線貴族ヒアル
¥ 69,800 (税込)亀頭ヒアルロン酸
¥ 88,000 (税込)
施術メニューをもっと見るおすすめポイント
- 短時間で実感!サリチル酸ピーリング
- リーズナブルな価格で通いやすい
- 新宿駅南口から徒歩3分の好立地
月,火,水,木,金,土,日,祝東京都渋谷区代々木2-7-3 第七荒井ビル 8階 - 美容クリニック・美容皮膚科・美容外科(美容整形)・AGAクリニック・美容内科・再生医療クリニック・再生医療クリニック・医療ダイエット・痩身クリニック・医療ダイエット・痩身クリニック / 東京メトロ千代田線「赤坂」駅 1番又は2番出口を出てすぐ 東京メトロ丸ノ内線「赤坂見附」駅 徒歩約5分 東京メトロ南北線「溜池山王」駅 徒歩約6分



おすすめポイント
- 理想の眉毛を実現するアートメイク
- 肌トーンを均一にするトーニング施術
- 赤坂駅から徒歩すぐの好立地
月,火,水,木,金,土,日,祝東京都港区赤坂3-13-10 新赤坂ビル 6F~7F - 美容クリニック・AGAクリニック / 東京メトロ渋谷駅-20a出口 徒歩1分 JR線渋谷駅-宮益坂口 徒歩4分費用は高いが効果は十分にあります- アマ




すべて見る内服薬
¥ 1,600 (税込)スマイル発毛処方
¥ 14,400 (税込)メソセラピー
¥ 980 (税込)メソセラピー+スマイル発毛処方
¥ 24,300 (税込)
施術メニューをもっと見る月,火,水,木,金,土,日,祝東京都渋谷区渋谷1-17-14 ACN渋谷ビル 4F - ------美容クリニック・美容皮膚科・医療脱毛クリニック・美容内科 / 渋谷駅新南口より明治通り沿いを恵比寿方面に徒歩7分


引用元:
渋谷国際皮膚科医院 公式サイトケミカルピーリング
¥ 3,300 (税込)イオン導入
¥ 7,700 (税込)超音波導入
¥ 9,900 (税込)超音波イオン導入
¥ 13,200 (税込)女性医療脱毛 わき
¥ 13,200 (税込)
施術メニューをもっと見る月,火,水,木,金,土東京都渋谷区東1-27-10 東海ビル1階 - ------美容クリニック・美容皮膚科・美容外科(美容整形)・審美歯科・医療脱毛クリニック・メンズクリニック・レディースクリニック・再生医療クリニック・再生医療クリニック / 広尾駅徒歩1分


小陰唇 インティマレーザー
¥ 110,000 (税込)小陰唇 サーミVA
¥ 132,000 (税込)小陰唇縮小手術
¥ 275,000 (税込)DVL レーザーによる小陰唇縮小
¥ 385,000 (税込)陰核/クリトリス包茎除去手術
¥ 165,000 (税込)
施術メニューをもっと見る月,火,水,木,金,土,日,祝東京都渋谷区広尾5-16-2 KITAMURA65KAN 3階 - ------美容クリニック・美容皮膚科・美容外科(美容整形)・医療脱毛クリニック / JR国分寺駅北口 徒歩2分

引用元:
ひまわり皮膚科 公式サイトレーザーによる医療脱毛|わき
¥ 3,300 (税込)レーザーによる医療脱毛|ビキニ
¥ 6,600 (税込)レーザーによる医療脱毛|肘上・下
¥ 22,000 (税込)レーザーによる医療脱毛|太もも
¥ 44,000 (税込)レーザーによる医療脱毛|膝下
¥ 33,000 (税込)
施術メニューをもっと見る月,火,水,金,土東京都国分寺市本町2-9-12 オリエント丹野ビル 2F - 美容クリニック・再生医療クリニック・再生医療クリニック / 東京メトロ 東銀座駅 徒歩3分 東京メトロ 銀座駅 徒歩1分 銀座・三越から徒歩1分と、銀座の一等地にクリニックがございます。 東京メトロ銀座駅A3出口から徒歩1分、GInza Sixからも徒歩1分です。




すべて見る引用元:
幹細胞クリニック東京 公式サイト再生医療で 疲労回復・二日酔い改善|幹細胞培養上清液 (エクソソーム)点滴
¥ 33,000 (税込)幹細胞培養上清|注射コース
¥ 38,500 (税込)
月,火,水,木,金,土,日東京都中央区銀座5丁目-9-15銀座清月堂ビル5F - 美容クリニック・美容皮膚科・美容外科(美容整形)・審美歯科 / 南北線・三田線「白金高輪」駅 4番出口徒歩1分
- 美容クリニック・美容皮膚科・美容外科(美容整形)・AGAクリニック・レディースクリニック・美容内科・再生医療クリニック・再生医療クリニック・医療ダイエット・痩身クリニック・医療ダイエット・痩身クリニック / 東京メトロ「渋谷駅」B1番出口正面 JR各線・東急各線・京王線「渋谷駅」より明治通りを原宿方面に 徒歩4分シミが剥がれました!!!- akane









すべて見る二重 埋没法2点留め(6M保証有)
¥ 165,000 (税込)二重 埋没抜去1点(当院)
¥ 10,000 (税込)二重 埋没抜去1点(他院)
¥ 33,000 (税込)二重 切開法
¥ 330,000 (税込)上眼瞼たるみ取り切除 眉毛下切開(ROOF眼窩前脂肪除去含む)
¥ 440,000 (税込)
施術メニューをもっと見るおすすめポイント
- 韓国風の可愛い顔を実現するヒアルロン酸施術
- ダーマペン4で肌質改善を実感
- 渋谷駅から徒歩4分のアクセス便利なクリニック
月,火,水,木,金,土,日,祝東京都渋谷区渋谷1-23-16 cocoti 3F - 美容クリニック・美容皮膚科・美容外科(美容整形)・医療脱毛クリニック・AGAクリニック・医療ダイエット・痩身クリニック・医療ダイエット・痩身クリニック / 東京メトロ各線「銀座駅」C4出口より右方向へ徒歩1分 JR「有楽町駅」銀座口より徒歩3分









すべて見るマクロファージ治療+幹細胞治療
¥ 3,000,000 (税込)iPSエクソソーム治療
¥ 200,000 (税込)PRP治療
¥ 500,000 (税込)
施術メニューをもっと見るおすすめポイント
- 短時間で効果を実感するHIFU施術
- お手頃価格でVIO脱毛が可能
- 銀座駅から徒歩1分の好立地
月,火,水,木,金,土,日,祝東京都中央区銀座4-1番先 北数寄屋ビル B1F - ------美容クリニック・美容皮膚科・医療脱毛クリニック・AGAクリニック・美容内科 / 都営大江戸線「光が丘駅」A1出口から徒歩5分


引用元:
光が丘皮フ科 公式サイトシミ治療(YAGレーザー)
¥ 11,000 (税込)YAGレーザートーニング
¥ 8,800 (税込)Vビーム
¥ 13,200 (税込)マッサージピール
¥ 8,800 (税込)サリチル酸マクロゴールピーリング
¥ 3,300 (税込)
施術メニューをもっと見る月,火,水,木,金,土東京都練馬区田柄5-28-6 - ------美容クリニック・審美歯科・再生医療クリニック・再生医療クリニック / 東京メトロ銀座線「銀座」駅から徒歩3分、JR、東京メトロ有楽町線「有楽町」駅から徒歩8分、東京メトロ日比谷線 「日比谷」 駅から徒歩4分というアクセスの良い場所にございます。





すべて見る引用元:
銀座KU歯科 公式サイトクリーニング
インプラント
セラミッククラウン
ラミネートベニア
セラミックインレー
施術メニューをもっと見る月,火,水,木,金,土,日,祝東京都中央区銀座6-2-3 Daiwa銀座アネックスビル 3Fメディカル&アンチエイジングモール内 - 美容クリニック / JR 浜松町駅徒歩4分 都営浅草線 大門駅徒歩1分 都営大江戸線 大門駅徒歩1分 東京モノレール 浜松町駅徒歩5分 都営三田線 御成門駅徒歩8分



すべて見る早田ゆりこ鼻フルセット
¥ 800,000 (税込)鼻中隔延長術 肋軟骨/耳軟骨/保存軟骨
¥ 650,000 (税込)鼻中隔延長術 鼻中隔
¥ 550,000 (税込)鼻尖形成術/鼻尖挙上術
¥ 354,000 (税込)鼻尖部軟骨移植術 耳珠耳介/耳珠耳介 ストラット法
¥ 276,000 (税込)
施術メニューをもっと見る月,火,水,木,金,土,日,祝東京都港区浜松町1-27-13 VORT浜松町Ⅳ 3階 - 美容クリニック・美容皮膚科・美容外科(美容整形)・医療脱毛クリニック・AGAクリニック・美容内科 / 「春日駅」A8出口直結 徒歩1分 「後楽園駅」徒歩2分免疫力高めたい時におすすめです- みお





すべて見る引用元:
春日後楽園皮フ科 公式サイトピコスポット
¥ 1,430 (税込)ピコトーニング 全顔
¥ 33,000 (税込)ステラM22(IPL)フォトフェイシャル
¥ 22,000 (税込)ほくろ・イボ除去
¥ 1,100 (税込)フラクショナルレーザー
¥ 13,200 (税込)
施術メニューをもっと見るおすすめポイント
- ビタミン点滴で即効回復する
- フォトフェイシャルで美肌を実感
- 春日駅A8出口から徒歩1分
月,火,水,木,金,土,日,祝東京都文京区小石川1-5-1パークコート文京小石川ザタワー3階 - ------美容クリニック・AGAクリニック・美容内科 / 東京メトロ 丸の内線「茗荷谷駅」より徒歩1分

引用元:
こひなたクリニック 公式サイト院内化粧品| トラネキサム酸クリーム
¥ 2,750 (税込)院内化粧品|高濃度ビタミンCローション
¥ 4,400 (税込)院内化粧品|レチノイン酸クリーム
¥ 3,850 (税込)院内化粧品|ハイドロキノンクリーム
¥ 2,200 (税込)まつ毛育毛剤|ルミガン
¥ 4,400 (税込)
施術メニューをもっと見る月,火,水,金,土東京都文京区小日向4-6-22 アセント茗荷谷ビル 8階 - ------美容クリニック・美容皮膚科・AGAクリニック


引用元:
佐野ヒフ科クリニック 公式サイト薄毛治療内服薬|フィナステリド
¥ 5,500 (税込)薄毛治療内服薬|デュタステリド
¥ 7,000 (税込)薄毛治療外用薬|ミノキシジル
¥ 10,450 (税込)シミの治療|トランサミン
¥ 2,200 (税込)シミの治療|シナール
¥ 1,100 (税込)
施術メニューをもっと見る月,火,水,金,土 - ------美容クリニック・AGAクリニック・メンズクリニック・レディースクリニック・美容内科・医療ダイエット・痩身クリニック・医療ダイエット・痩身クリニック / JRご利用の際は南改札をご利用いただくとわかりやすいです。 ルミネのセンターエレベーター (センターエレベーターはルミネと東武デパートの間にあります。) メトロポリタンプラザビルのオフィスエレベータもご利用いただけます。(2Fからの直通エレベータ)

プラセンタ注射
¥ 3,300 (税込)美肌セット
¥ 4,400 (税込)パワーパワーUP(にんにく)
¥ 5,500 (税込)ダイエット内服薬
¥ 550 (税込)低用量ピル
¥ 2,000 (税込)
施術メニューをもっと見る月,火,水,木,金,土東京都豊島区西池袋1-11-1 ルミネ10F - ------美容クリニック・美容皮膚科 / JR昭島駅より徒歩1分



すべて見る引用元:
ながせ皮フ科 公式サイトIPL(光)治療
¥ 16,500 (税込)アレキサンドライトレーザー
¥ 1,100 (税込)エレクトロポレーション
¥ 11,000 (税込)ケミカルピーリング
¥ 8,800 (税込)
施術メニューをもっと見る月,火,水,金,土東京都昭島市田中町562-8 昭島昭和ビル北館 1F - ------美容クリニック・美容皮膚科・AGAクリニック・美容内科 / 本郷三丁目駅から徒歩5分・御茶ノ水駅から徒歩9分都営大江戸線「本郷三丁目駅」5番出口より徒歩5分 東京メトロ丸の内線「本郷三丁目駅」2番出口より徒歩6分 JR御茶ノ水・東京メトロ丸の内線「御茶ノ水駅」より徒歩9分 東京メトロ千代田線「新御茶ノ水駅」B1出口より徒歩11分



すべて見る眉アートメイク
¥ 33,000 (税込)アイラインアートメイク
¥ 33,000 (税込)リップアートメイク
¥ 60,500 (税込)アートメイク 傷あと修復
¥ 11,000 (税込)ほくろアートメイク
¥ 22,000 (税込)
施術メニューをもっと見る月,火,水,金,土東京都文京区本郷3-15-1 美工本郷ビル 4F
湘南美容クリニック 池袋東口院の 系列クリニック
- 美容クリニック・美容皮膚科・美容外科(美容整形)・審美歯科・医療脱毛クリニック・AGAクリニック・メンズクリニック・レディースクリニック・美容内科・再生医療クリニック・再生医療クリニック・医療ダイエット・痩身クリニック・医療ダイエット・痩身クリニック / 東京メトロ銀座線・東京メトロ千代田線・東京メトロ半蔵門線が通る「表参道駅」B2出口から徒歩1分効果に、感動- まきろん









すべて見る二重埋没法
¥ 29,880 (税込)二重埋没法(自然癒着法)
¥ 54,600 (税込)自然癒着セット(上眼瞼脱脂)
¥ 55,270 (税込)SBCデカ目術/切らないまぶたのリフトアップ
¥ 116,320 (税込)切る二重術(切開法)
¥ 250,000 (税込)
施術メニューをもっと見るおすすめポイント
- 理想の二重を実現するフォーエバー二重埋没法
- 痛みを感じないウルトラ美肌脱毛で全身スッキリ
- 表参道駅から徒歩1分のアクセス便利なクリニック
月,火,水,木,金,土,日,祝東京都港区北青山3-11-7 AOビル 7F - 美容クリニック・美容皮膚科・美容外科(美容整形)・審美歯科・医療脱毛クリニック・AGAクリニック・メンズクリニック・レディースクリニック・美容内科・再生医療クリニック・再生医療クリニック・医療ダイエット・痩身クリニック・医療ダイエット・痩身クリニック / 日比谷線・都営大江戸線「六本木駅」下車 3番出口より徒歩1分



すべて見るおすすめポイント
- 痛みを抑えた脱毛施術で安心
- 日焼け後も安心!ダウンタイムなしの施術
- 六本木駅から徒歩1分の好立地
月,火,水,金,土,日,祝東京都港区六本木6-1-24 ラピロス六本木 8F - 美容クリニック・美容皮膚科・美容外科(美容整形)・審美歯科・医療脱毛クリニック・AGAクリニック・メンズクリニック・レディースクリニック・美容内科・再生医療クリニック・再生医療クリニック・医療ダイエット・痩身クリニック・医療ダイエット・痩身クリニック / JR秋葉原駅/東京メトロ日比谷線秋葉原駅より徒歩7分本当に素晴らしい医師です- mito









すべて見る二重埋没法
¥ 29,880 (税込)二重埋没法(自然癒着法)
¥ 54,600 (税込)自然癒着セット(上眼瞼脱脂)
¥ 55,270 (税込)SBCデカ目術/切らないまぶたのリフトアップ
¥ 116,320 (税込)切る二重術(切開法)
¥ 250,000 (税込)
施術メニューをもっと見るおすすめポイント
- 顔の脂肪吸引でスッキリ小顔を実現
- お手頃価格で安心の医療脱毛
- 秋葉原駅から徒歩7分の好立地
月,火,水,木,金,土,日,祝東京都台東区秋葉原1-1 秋葉原ビジネスセンター 6階 - 美容クリニック・美容皮膚科・美容外科(美容整形)・審美歯科・医療脱毛クリニック・AGAクリニック・メンズクリニック・レディースクリニック・美容内科・再生医療クリニック・再生医療クリニック・医療ダイエット・痩身クリニック・医療ダイエット・痩身クリニック / JR札幌駅直結効果の実感は微妙- ケンケン









すべて見る二重埋没法
¥ 29,880 (税込)二重埋没法(自然癒着法)
¥ 54,600 (税込)自然癒着セット(上眼瞼脱脂)
¥ 55,270 (税込)SBCデカ目術/切らないまぶたのリフトアップ
¥ 116,320 (税込)切る二重術(切開法)
¥ 250,000 (税込)
施術メニューをもっと見るおすすめポイント
- ケミカルピーリングでつるつる卵肌を実現
- 二重埋没法で理想の目元を手に入れる
- JR札幌駅から徒歩5分の好立地
月,火,水,木,金,土,日,祝北海道札幌市中央区北5条西2-5 JRタワーオフィスプラザさっぽろ 13F - 美容クリニック・美容皮膚科・美容外科(美容整形)・審美歯科・医療脱毛クリニック・AGAクリニック・メンズクリニック・レディースクリニック・美容内科・再生医療クリニック・再生医療クリニック・医療ダイエット・痩身クリニック・医療ダイエット・痩身クリニック / ・チ・カ・ホ(札幌駅前通地下歩行空間)7番出口より徒歩1分 ・札幌市営地下鉄「大通」駅徒歩2分 ・地下鉄(南北線・東豊線)さっぽろ駅より徒歩3分



二重埋没法
¥ 29,880 (税込)二重埋没法(自然癒着法)
¥ 54,600 (税込)自然癒着セット(上眼瞼脱脂)
¥ 55,270 (税込)SBCデカ目術/切らないまぶたのリフトアップ
¥ 116,320 (税込)切る二重術(切開法)
¥ 250,000 (税込)
施術メニューをもっと見るおすすめポイント
- 痛みを抑えた安心の医療脱毛で自信を取り戻す
- リーズナブルなシミ取り放題プランで美肌を手に入れる
- 札幌駅から徒歩1分の好立地で通いやすい
月,火,水,木,金,土,日,祝北海道札幌市中央区北一条西3-3-10 KOKOHOTEL札幌駅前 3階 - 美容クリニック・美容皮膚科・美容外科(美容整形)・審美歯科・医療脱毛クリニック・AGAクリニック・メンズクリニック・レディースクリニック・美容内科・再生医療クリニック・再生医療クリニック・医療ダイエット・痩身クリニック・医療ダイエット・痩身クリニック / JR仙台駅西口 徒歩約1分









すべて見る二重埋没法
¥ 29,880 (税込)二重埋没法(自然癒着法)
¥ 54,600 (税込)自然癒着セット(上眼瞼脱脂)
¥ 55,270 (税込)SBCデカ目術/切らないまぶたのリフトアップ
¥ 116,320 (税込)切る二重術(切開法)
¥ 250,000 (税込)
施術メニューをもっと見るおすすめポイント
- ニキビ跡改善に最適なケミカルピーリング
- 二重整形で理想の目元を実現
- JR仙台駅から徒歩1分の好立地
月,火,水,木,金,土,日,祝宮城県仙台市青葉区中央1‐2‐3 仙台マークワン 17階 - 美容クリニック・美容皮膚科・美容外科(美容整形)・審美歯科・医療脱毛クリニック・AGAクリニック・メンズクリニック・レディースクリニック・美容内科・再生医療クリニック・再生医療クリニック・医療ダイエット・痩身クリニック・医療ダイエット・痩身クリニック / 秋田駅 徒歩1分









すべて見る二重埋没法
¥ 29,880 (税込)二重埋没法(自然癒着法)
¥ 54,600 (税込)自然癒着セット(上眼瞼脱脂)
¥ 55,270 (税込)SBCデカ目術/切らないまぶたのリフトアップ
¥ 116,320 (税込)切る二重術(切開法)
¥ 250,000 (税込)
施術メニューをもっと見るおすすめポイント
- 20年の実績!安心の二重埋没施術
- 手軽に若返る!ボトックス施術
- 秋田駅から徒歩1分!アクセス抜群
月,火,水,木,金,土,日,祝秋田県秋田市千秋久保田町4-2 秋田オーパ 7階 - 美容クリニック・美容皮膚科・美容外科(美容整形)・審美歯科・医療脱毛クリニック・AGAクリニック・メンズクリニック・レディースクリニック・美容内科・再生医療クリニック・再生医療クリニック・医療ダイエット・痩身クリニック・医療ダイエット・痩身クリニック / JR福島駅 徒歩約1分艶のある額になれる「額ボトックス」!- mmm









すべて見る二重埋没法
¥ 29,880 (税込)二重埋没法(自然癒着法)
¥ 54,600 (税込)自然癒着セット(上眼瞼脱脂)
¥ 55,270 (税込)SBCデカ目術/切らないまぶたのリフトアップ
¥ 116,320 (税込)切る二重術(切開法)
¥ 250,000 (税込)
施術メニューをもっと見るおすすめポイント
- 安心のカウンセリングで施術を決断する
- 短時間で効果的な施術を実現
- JR福島駅から徒歩約1分で通いやすい
月,火,水,木,金,土,日,祝福島県福島市栄町6-1 メディアシティエスタ 4階 - 美容クリニック・美容皮膚科・美容外科(美容整形)・審美歯科・医療脱毛クリニック・AGAクリニック・メンズクリニック・レディースクリニック・美容内科・再生医療クリニック・再生医療クリニック・医療ダイエット・痩身クリニック・医療ダイエット・痩身クリニック / ・東京メトロ丸の内線西新宿駅直結 ・JR新宿駅西口徒歩10分 ・都営地下鉄大江戸線都庁前駅徒歩5分顔のトーンが明るくなりました。- POKE









すべて見る二重埋没法
¥ 29,880 (税込)二重埋没法(自然癒着法)
¥ 54,600 (税込)自然癒着セット(上眼瞼脱脂)
¥ 55,270 (税込)SBCデカ目術/切らないまぶたのリフトアップ
¥ 116,320 (税込)切る二重術(切開法)
¥ 250,000 (税込)
施術メニューをもっと見るおすすめポイント
- 西新宿駅直結で通いやすい
- 短時間で効果を実感できる施術
- 新宿駅から徒歩10分の好立地
月,火,水,木,金,土,日,祝東京都新宿区西新宿6-5-1 新宿アイランドタワー 24F - 美容クリニック・美容皮膚科・美容外科(美容整形)・審美歯科・医療脱毛クリニック・AGAクリニック・メンズクリニック・レディースクリニック・美容内科・再生医療クリニック・再生医療クリニック・医療ダイエット・痩身クリニック・医療ダイエット・痩身クリニック / ・JR新宿駅東南口 徒歩5分 ・新宿三丁目駅 徒歩1分 ・JR新宿駅新南改札 徒歩4分1回だとあまり効果を感じられず- pomme









すべて見る二重埋没法
¥ 29,880 (税込)二重埋没法(自然癒着法)
¥ 54,600 (税込)自然癒着セット(上眼瞼脱脂)
¥ 55,270 (税込)SBCデカ目術/切らないまぶたのリフトアップ
¥ 116,320 (税込)切る二重術(切開法)
¥ 250,000 (税込)
施術メニューをもっと見るおすすめポイント
- 涙袋を手軽に作るヒアルロン酸注入
- 医療脱毛で自己処理から解放される
- 新宿三丁目駅から徒歩1分の好立地
月,火,水,木,金,土,日,祝東京都新宿区新宿4丁目2-23 新四curumuビル 6階 - 美容クリニック・美容皮膚科・美容外科(美容整形)・審美歯科・医療脱毛クリニック・AGAクリニック・メンズクリニック・レディースクリニック・美容内科・再生医療クリニック・再生医療クリニック・医療ダイエット・痩身クリニック・医療ダイエット・痩身クリニック / 東京メトロ有楽町線 銀座一丁目駅 3番出口 徒歩1分 東京メトロ有楽町線 有楽町駅 D9番出口 徒歩2分 JR有楽町駅 徒歩5分 東京メトロ銀座線・丸ノ内線・日比谷線 銀座駅C8出口 徒歩5分ニキビ顔におすすめ- はなはな









すべて見る二重埋没法
¥ 29,880 (税込)二重埋没法(自然癒着法)
¥ 54,600 (税込)自然癒着セット(上眼瞼脱脂)
¥ 55,270 (税込)SBCデカ目術/切らないまぶたのリフトアップ
¥ 116,320 (税込)切る二重術(切開法)
¥ 250,000 (税込)
施術メニューをもっと見るおすすめポイント
- 笑顔に自信を!目尻のシワを解消するボトックス
- 安心のカウンセリングで不安を解消
- 銀座一丁目駅から徒歩1分の好立地
月,火,水,木,金,土,日,祝東京都中央区銀座1丁目3-9 マルイト銀座ビル 2階 - 美容クリニック・美容皮膚科・美容外科(美容整形)・審美歯科・医療脱毛クリニック・AGAクリニック・メンズクリニック・レディースクリニック・美容内科・再生医療クリニック・再生医療クリニック・医療ダイエット・痩身クリニック・医療ダイエット・痩身クリニック / 東銀座駅A1徒歩1分 銀座駅A5徒歩1分毎日が楽しくなりました!- るん









すべて見る二重埋没法
¥ 29,880 (税込)二重埋没法(自然癒着法)
¥ 54,600 (税込)自然癒着セット(上眼瞼脱脂)
¥ 55,270 (税込)SBCデカ目術/切らないまぶたのリフトアップ
¥ 116,320 (税込)切る二重術(切開法)
¥ 250,000 (税込)
施術メニューをもっと見るおすすめポイント
- 笑気麻酔で安心!腫れなしの二重整形を実現
- 涙袋ヒアルロン酸注入で可愛さUP!
- 東銀座駅から徒歩1分の好立地
月,火,水,木,金,土,日,祝東京都中央区銀座5-10-2 GINZA MISS PARIS 3階 - 美容クリニック・美容皮膚科・美容外科(美容整形)・審美歯科・医療脱毛クリニック・AGAクリニック・メンズクリニック・レディースクリニック・美容内科・再生医療クリニック・再生医療クリニック・医療ダイエット・痩身クリニック・医療ダイエット・痩身クリニック / 湘南美容クリニック新橋銀座口院ではSBCプロフェッショナルチームが在籍! 二重整形、脂肪吸引・骨切・豊胸・くま取り・美容皮膚科、医療脱毛など、各分野のエキスパートが実績豊富な医療技術で悩みを解決します! ■リバウンドしないダイエットを提案 ■中国語・英語対応可









すべて見る二重埋没法
¥ 29,880 (税込)二重埋没法(自然癒着法)
¥ 54,600 (税込)自然癒着セット(上眼瞼脱脂)
¥ 55,270 (税込)SBCデカ目術/切らないまぶたのリフトアップ
¥ 116,320 (税込)切る二重術(切開法)
¥ 250,000 (税込)
施術メニューをもっと見るおすすめポイント
- 形成外科専門医による安心の鼻整形
- ダウンタイムが少ない目頭切開
- 新橋駅から徒歩5分のアクセス便利なクリニック
月,火,水,木,金,土,日,祝東京都港区新橋1-12-9 A-PLACE新橋駅前 9F - 美容クリニック・美容皮膚科・美容外科(美容整形)・審美歯科・医療脱毛クリニック・AGAクリニック・メンズクリニック・レディースクリニック・美容内科・再生医療クリニック・再生医療クリニック・医療ダイエット・痩身クリニック・医療ダイエット・痩身クリニック / JR渋谷駅 ハチ公口より 徒歩3分









すべて見る二重埋没法
¥ 29,880 (税込)二重埋没法(自然癒着法)
¥ 54,600 (税込)自然癒着セット(上眼瞼脱脂)
¥ 55,270 (税込)SBCデカ目術/切らないまぶたのリフトアップ
¥ 116,320 (税込)切る二重術(切開法)
¥ 250,000 (税込)
施術メニューをもっと見るおすすめポイント
- 短時間で実感!即効性のある美容施術
- リーズナブルな価格で充実のメニュー
- JR渋谷駅から徒歩3分の好立地
月,火,水,木,金,土,日,祝東京都渋谷区宇田川町20-11 渋谷三葉ビル 5階 - 美容クリニック・美容皮膚科・美容外科(美容整形)・審美歯科・医療脱毛クリニック・AGAクリニック・メンズクリニック・レディースクリニック・美容内科・再生医療クリニック・再生医療クリニック・医療ダイエット・痩身クリニック・医療ダイエット・痩身クリニック / 池袋駅 東京メトロ副都心線 C6出口より 徒歩1分 池袋駅 西口より徒歩4分口コミ通り- ち









すべて見る二重埋没法
¥ 29,880 (税込)二重埋没法(自然癒着法)
¥ 54,600 (税込)自然癒着セット(上眼瞼脱脂)
¥ 55,270 (税込)SBCデカ目術/切らないまぶたのリフトアップ
¥ 116,320 (税込)切る二重術(切開法)
¥ 250,000 (税込)
施術メニューをもっと見るおすすめポイント
- リバウンドなしの部分痩せを実現するクールスカルプティング
- 痛みを最小限に抑えた安心の施術体験
- 池袋駅から徒歩1分の好立地で通いやすい
月,火,水,木,金,土,日,祝東京都豊島区池袋 2-6-1 KDX池袋ビル 3F - 美容クリニック・美容皮膚科・美容外科(美容整形)・審美歯科・医療脱毛クリニック・AGAクリニック・メンズクリニック・レディースクリニック・美容内科・再生医療クリニック・再生医療クリニック・医療ダイエット・痩身クリニック・医療ダイエット・痩身クリニック / 「池袋駅」メトロポリタン口より徒歩2分 「池袋駅」西口(南)より徒歩2分









すべて見る二重埋没法
¥ 29,880 (税込)二重埋没法(自然癒着法)
¥ 54,600 (税込)自然癒着セット(上眼瞼脱脂)
¥ 55,270 (税込)SBCデカ目術/切らないまぶたのリフトアップ
¥ 116,320 (税込)切る二重術(切開法)
¥ 250,000 (税込)
施術メニューをもっと見るおすすめポイント
- シミ・そばかすを徹底ケアする医療レーザー
- 安心のカウンセリングで自分に合った施術を選べる
- 池袋駅から徒歩2分の好立地
月,火,水,木,金,土,日,祝東京都豊島区西池袋1丁目10-8 サン・グロウビル 7階 - 美容クリニック・美容皮膚科・美容外科(美容整形)・審美歯科・医療脱毛クリニック・AGAクリニック・メンズクリニック・レディースクリニック・美容内科・整形外科・整形外科・再生医療クリニック・再生医療クリニック・医療ダイエット・痩身クリニック・医療ダイエット・痩身クリニック / 【銀座線・丸ノ内線】赤坂見附駅 徒歩2分 【千代田線】赤坂駅 徒歩7分 【半蔵門線】永田町駅 徒歩8分目の周りがスッキリしました- えつこ






すべて見る各種麻酔
二重術埋没法
¥ 9,800 (税込)二重自然癒着法
¥ 59,400 (税込)眼瞼下垂
¥ 116,320 (税込)上瞼の脂肪・たるみ取り
¥ 55,270 (税込)
施術メニューをもっと見るおすすめポイント
- 自信を取り戻す眉下切開
- オンラインカウンセリングで安心
- 赤坂見附駅から徒歩2分の好立地
月,火,水,金,土,日,祝東京都港区赤坂3-21-13 キーストーン赤坂ビル 6F - 美容クリニック・美容皮膚科・美容外科(美容整形)・審美歯科・医療脱毛クリニック・AGAクリニック・レディースクリニック・美容内科 / JR高田馬場駅 徒歩3分 西武新宿線 高田馬場駅(早稲田口) 徒歩3分 東西線 高田馬場駅 6番出口 徒歩1分 副都心線 西早稲田駅 2番出口 徒歩3分






すべて見るおすすめポイント
- ダウンタイムほぼゼロのケミカルピーリングでニキビ跡を改善
- 理想の二重を30分で実現!痛みゼロの施術
- JR高田馬場駅から徒歩3分の好立地
月,火,水,金,土,日,祝東京都新宿区高田馬場2-13-2 プライムゲート高田馬場 5F - 美容クリニック・美容皮膚科・美容外科(美容整形)・審美歯科・医療脱毛クリニック・AGAクリニック・メンズクリニック・レディースクリニック・美容内科・再生医療クリニック・再生医療クリニック・医療ダイエット・痩身クリニック・医療ダイエット・痩身クリニック / ・JR品川駅 港南口から徒歩3分 ・京浜急行品川駅 港南口から徒歩3分梅干しジワがスッキリ- ぬのなの









すべて見る二重埋没法
¥ 29,880 (税込)二重埋没法(自然癒着法)
¥ 54,600 (税込)自然癒着セット(上眼瞼脱脂)
¥ 55,270 (税込)SBCデカ目術/切らないまぶたのリフトアップ
¥ 116,320 (税込)切る二重術(切開法)
¥ 250,000 (税込)
施術メニューをもっと見るおすすめポイント
- ダウンタイムが短い二重整形で自然な仕上がりを実現
- リーズナブルな価格で安心の医療脱毛を提供
- JR品川駅から徒歩3分の通いやすさ
月,火,水,木,金,土,日,祝東京都港区港南2-4-3 三和港南ビル 3F - 美容クリニック・美容皮膚科・美容外科(美容整形)・審美歯科・医療脱毛クリニック・AGAクリニック・メンズクリニック・レディースクリニック・美容内科・再生医療クリニック・再生医療クリニック・医療ダイエット・痩身クリニック・医療ダイエット・痩身クリニック / ・JR上野駅 徒歩7分 ・JR御徒町駅 徒歩3分 ・都営地下鉄銀座線 上野広小路駅 徒歩1分 ・都営地下鉄大江戸線 上野御徒町駅 徒歩1分清潔で安心して通える- nao









すべて見る二重埋没法
¥ 29,880 (税込)二重埋没法(自然癒着法)
¥ 54,600 (税込)自然癒着セット(上眼瞼脱脂)
¥ 55,270 (税込)SBCデカ目術/切らないまぶたのリフトアップ
¥ 116,320 (税込)切る二重術(切開法)
¥ 250,000 (税込)
施術メニューをもっと見るおすすめポイント
- 理想の二重を実現するクイックコスメティーク法
- 通いやすい立地で安心の医療脱毛
- 明朗会計で安心の料金プラン
月,火,水,木,金,土,日,祝東京都台東区上野1-20-11 鈴乃屋本店ビル 8F
湘南美容クリニック 池袋東口院の よくある質問
湘南美容クリニック 池袋東口院の人気な施術は?
湘南美容クリニック 池袋東口院で取り扱いが多い施術は?
湘南美容クリニック 池袋東口院の診療開始時間・診療終了時間は?
湘南美容クリニック 池袋東口院の支払い方法は?
湘南美容クリニック 池袋東口院の行き方は?
出来るだけ正確な情報掲載に努めておりますが、内容を完全に保証するものではありません。
当サービスによって生じた損害について、株式会社シアンではその賠償の責任を一切負わないものとします。
情報に誤りがある場合には、お手数ですがキレイレポ編集部までご連絡をいただけますようお願いいたします。
























