湘南美容クリニック Regno銀座院
ショウナンビヨウクリニック レグノギンザイン
1/11
2/11
3/11
4/11
5/11
6/11
7/11
8/11
9/11
10/11
11/11
1/11
2/11
3/11
4/11
5/11
6/11
7/11
8/11
9/11
10/11
11/11
1/11
2/11
3/11
4/11
5/11
6/11
7/11
8/11
9/11
10/11
11/11
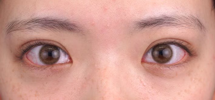
二重埋没法や涙袋のヒアルロン酸注入など、目元の美しさを引き出す施術に特化しています。特に、クイックコスメティークNEOを用いた二重埋没法は、腫れや内出血がほとんどなく、施術後すぐに理想的な仕上がりを実感できると評判です。実際に施術を受けた方からは、術後の仕上がりに驚き、周囲に整形をしたことがバレないほど自然な仕上がりだったとの声が寄せられています。
また、涙袋の施術においても、デザインの提案が的確で、施術後の痛みやダウンタイムがほとんどないため、安心して受けられると好評です。施術を受けた方は、ぷっくりとした涙袋ができ、目元が優しくなったと喜んでいます。
クリニックの雰囲気も良く、スタッフの対応が親切で安心感があるため、初めての方でもリラックスして施術を受けられる環境が整っています。患者様の希望をしっかりと理解し、丁寧にカウンセリングを行う姿勢が信頼を得ている要因の一つです。
※この紹介文はAIが生成しています。
湘南美容クリニック Regno銀座院の 症例 50件
湘南美容クリニック Regno銀座院の 口コミ・評判 (レポ) 35件
| 5 | 24件 | |
| 4 | 10件 | |
| 3 | 1件 | |
| 2 | 0件 | |
| 1 | 0件 |
よく見られている口コミ
- 満足度が高い口コミ
横顔が良ても綺麗になりました!
顎ボトックスアラガン5.01年前
ボトックス施術のきっかけもともとボトックスの施術予定はなかったが、顔の脂肪吸引をモニターで受ける人は、写真撮影の時に顔のシワを無くして写りを良くするためにボトックスを打つのがが必須条件(その分の料金支払い必須)だったため、モニター価格で受けないよりはボトックスを追加しても安かったため受けることを決意しました。
初めは、視野に入れてない自分には必要のない施術だったためと、向こうの都合での必須条件だったので受け入れがたくモニター受けるなら強制だったため初めそれを聞いた時は嫌な気持ちになってしまいそこで顔の脂肪吸引の施術を受けるのをやめようかなとも考えたりしました。
しかし先程も書いたように、ボトックス料金を追加してもモニター価格で受ける方が断然安いためやりました。
顎ボトックスアラガンの効果結果、やってかなり良かったと思ってます!!!
一体どんな効果が出るのか不思議でしたが、横顔のEラインがやる前とやったあとで断然違いますしなんだか顔もスッキリしました。
こんなに綺麗な横顔を手に入れられたのは初めてで嬉しかったです。
ボトックスの効果を初めて実感でき、良い体験だだったと思います。
効果がずっと続いて欲しいなとも思いましたが、また効果がなくなったら受けては見たいなと思っています!
アラガンを打ったあとは1ヶ月目くらいまで顎に少し違和感があったくらいで今はなんともありません。顎の痛みもなかったし気軽に受けられる施術だなと思いました。
Regno銀座院はとても綺麗で居心地がいいです。
ダウンタイムは特になかったと思います。
施術当日のスタッフさん、看護師さんとても親切で不安なく受けられる本当に良かったと思ってます。
終わったあとも優しく声をかけてくれて助かりました。
支払金額¥8,000
マカロン20代後半|女性| 2件のレポ (ガチレポ認定 2件) - 期待との差を感じた口コミ
少しだけ髭の量が減りました
髭の医療脱毛3.06ヶ月前髭の脱毛への挑戦!初めての脱毛で緊張、どれぐらい痛いのか不安もあったけど、思い切って挑戦してみました!
結構痛い!店員さんが優しい!思ったより痛い!けど店員さんが優しくゆっくり少しずつ進めてなんとか最後までやり切ることができました!
効果はどうか!最初は真っ赤になったけど、やってから1週間ぐらいで効果を実感!髭が減ってきた!髭剃りも楽に!全部で6回やったけど少しずつ薄くなってきました。
もっとやるとより効果を感じられるらしい!全体を通してお店の予約をとるところから店員さんのヒアリング、実際の脱毛までサポートが手厚く安心して脱毛することができました。ただやっぱり痛い!痛みには慣れることがなかなかなできずに途中から痛み止めを肌に塗りました。これの効果も少しだけあって、痛みがきつい人は痛み止めを肌に塗るのも検討してみてください。塗らないよりはマシだと思います。
髭は薄くなるけど、2ヶ月ぐらい経つと少しずつ普通に生えるようになってくるので、根気強く何回もやっていく必要があると感じました。
今回は6回コースでやりましたが、もう一回同じコースを予約してやったら、より効果も感じられて良いのかなと思いました。あと、日焼けには注意!日焼けをしてしまうと肌が黒くなってしまってなかなかな効果が出ない可能性があります。
実際に夏に日焼けをし過ぎて一度やってもらえないことがあったので、真夏に予約をすると日焼けしていないか要確認が必要だと思います。
自分は可能な限り夏を避けて冬に一気に脱毛するように心がけていました。
日焼けをあまりしないような薬も売っていてそれを買うのも一つのやり方だと思います。脱毛は痛いけど効果あり!
支払金額¥20,000
たかたか30代後半|男性| 1件のレポ
湘南美容クリニック Regno銀座院の 医師
大谷 悠輔高田馬場院 院長
口コミ-件・Q&A回答-件ご覧いただきありがとうございます。高田馬場院・院長の大谷悠輔です。 目元の整形のみならず、脂肪吸引や脂肪豊胸でも多くのお客様にご満足いただいており、豊富な経験からハイクオリティな美容医療を提供いたします。Instagramでは日々の症例を公開しておりますので、ぜひご覧ください。 僕が美容外科を志したのは、僕の磨いた技術力で提供する美容医療を誰でも平等に受けていただき喜んで貰いたいからです。 保険診療科ではあなたが病気でなければ外科医はなかなか役に立つことが出来ません。一方で、美容医療は誰にでも受ける権利があり、なりたい自分に近づくことができます。 このページを見ておられる方はきっと、自分のコンプレックスやこうなりたいという理想、美容医療への不安や偏見など様々なことが頭の中を渦巻いていて、沢山悩んでおられると思います。誰に相談すれば良いのか分からない、という声もよく聞きます。 その悩み、僕に少しだけ話していただけせんか。 ちょっと医師から話を聞いてみたい、そんな気持ちで構いません。誰にでも自分を変えるチャンスがあり、それをお手伝いし喜んでいただけることが僕の喜びです。僕を信じて訪れていただいた方の気持ちに誠心誠意とことん向き合います。 あなたの力になれることを楽しみにクリニックでお待ちしております。仁木 友也医師
口コミ-件・Q&A回答-件皆様、初めまして! 湘南美容クリニック 仁木友也です。 プロフィールページをご覧いただき、ありがとうございます。 人は、美容医療によって外見をより理想的なものとする事で内面的にも前向きになれます。 そうして、その後の長い人生においてより良い影響を与え続けることができる、という点にやりがいを感じながら、日々勤務しております。 自分はこれまで、都内の大学病院、市中病院、米国Johns Hopkins 大学に在籍経験があり、米国医師国家試験であるUSMLE step1 の資格も有しております。 そういった中で得た豊富な経験と知識を活かして、 常に“最先端”かつ“安全“な美容医療をお客様それぞれにベストな形で提供いたします。 また、昨今の美容医療の普及によって 男性の美容医療への需要も高まっていると実感しております。 その需要に応えるべく、メンズ美容にも注力していきたいと思っております。 僕自身、年間400杯食べるほどのラーメンオタクですので、美容と健康には人1番気を遣っております。身近な事から手術の事まで、何でもご気軽にご相談ください。 人生を変える為に一歩踏み出したいという方のご来院を、心よりお待ちしております。
湘南美容クリニック Regno銀座院の 施術メニューを検索・予約する 245件
通常メニュー245件
二重埋没法
Teen二重 2点留め 両目
¥39,000(税込)Teen二重 3点留め 両目
¥58,000(税込)
二重埋没法(自然癒着法)
2点 片目
¥54,600(税込)2点 両目
¥91,000(税込)
自然癒着セット(上眼瞼脱脂)
両目
¥55,270(税込)
SBCデカ目術/切らないまぶたのリフトアップ
SBC『デカ目』術
¥116,320(税込)切らないまぶたのリフトアップ・線留めクロス 両目
¥148,000(税込)
切る二重術(切開法)
両目
¥250,000(税込)
タルミ取り併用全切開法二重術
両目
¥320,000(税込)
湘南美容クリニック Regno銀座院の基本情報
住所 東京都中央区銀座5-10-2 GINZA MISS PARIS 3階 | 地図を見る | |
| アクセス | 東銀座駅A1徒歩1分 銀座駅A5徒歩1分 | |
| 診療時間 |
| |
| 支払い方法 | 現金可 カード可 (デビットカード・VISA・MasterCard・JCB・American Express・Diners・Discover) 電子マネー不可 QRコード支払い不可 | |
| 公式サイト | クリニック公式サイトを見る | |
| クリニック 紹介 | 湘南美容クリニックRegno銀座院ではピコレーザー・ヒゲ脱毛・ニキビ治療など、それぞれの肌質や毛質に寄り添った施術法を提案しています。 東京メトロ日比谷線・都営地下鉄浅草線「東銀座駅」A1出口より徒歩約1分です♪ まずはお気軽に、お電話もしくはメールにてお問い合わせください。 | |
| 院長情報 | 大谷 悠輔 院長 2020年3月 群馬大学医学部卒業 石心会 川崎幸病院 (麻酔科、形成外科、救急科など) 2023年9月 湘南美容クリニック高田馬場院 院長就任 | |
湘南美容クリニック Regno銀座院と 近隣のクリニックを比較
クリニック情報
アクセス
おすすめポイント
人気施術の口コミTOP3
今見ているクリニック

湘南美容クリニック Regno銀座院
(35件)
症例
(50件)
東銀座駅A1徒歩1分 銀座駅A5徒歩1分
- ・
笑気麻酔で安心!腫れなしの二重整形を実現
- ・
涙袋ヒアルロン酸注入で可愛さUP!
- ・
東銀座駅から徒歩1分の好立地
- 1.
二重埋没
- 2.
二重整形
- 3.
奥二重整形
有楽町線「銀座一丁目駅」(10出口)より徒歩1分 銀座線・日比谷線・丸の内線「銀座駅」(A13出口)より徒歩4分 銀座線「京橋駅」(2出口)より徒歩5分 浅草線「宝町駅」(A4出口)より徒歩6分、東銀座駅(A8出口)より徒歩7分 JR山手線・JR京浜東北線「有楽町駅」(中央口)より徒歩7分 東京駅よりタクシーで約4分(約850m)
- ・
短時間で効果を実感する光レーザー美肌施術
- ・
医療脱毛でつるつる肌を手に入れる
- ・
銀座駅から徒歩4分の好立地
- 1.
他院修正
- 2.
ヒアルロニダーゼ(ヒアルロン酸溶解・分解注射)
東京メトロ日比谷線 東銀座駅(A2出口 徒歩10秒)/銀座駅(A7出口 徒歩3分) 東京メトロ丸ノ内線 銀座駅 (A7出口 徒歩3分) 東京メトロ有楽町線 銀座一丁目駅 (11番出口 徒歩6分)
- ・
ダウンタイムが短い目頭切開で理想の目元を実現
- ・
清潔感あふれる院内で安心のカウンセリング
- ・
東銀座駅から徒歩10秒の好立地
東銀座駅4番出口すぐ (銀座駅A5出口徒歩4分)
- ・
リーズナブルなフォトフェイシャルで美肌を実感する
- ・
ダウンタイムが少ないヴェルヴェットスキンで安心施術
- ・
東銀座駅から徒歩1分の好立地で通いやすい
- 1.
顎下のインモード
- 2.
頬のインモード
- 3.
インモードFORMA
湘南美容クリニック Regno銀座院と併せて 人気のクリニック
糸リフト・二重埋没・ハイフ(HIFU)などが好評
美容クリニック・美容皮膚科・美容外科(美容整形)・AGAクリニック・美容内科・再生医療クリニック・再生医療クリニック・医療ダイエット・痩身クリニック・医療ダイエット・痩身クリニック / 東京メトロ:各線「銀座駅」A5出口より徒歩2分Vラインがしっかり形成されました!- みんと








すべて見る- ピックアップ
糸リフト | PDO 8本
¥ 60,000 (税込) - ピックアップ
二重自然癒着法 | 韓国式7点留め二重埋没法
¥ 100,000 (税込) - ピックアップ
エラボトックス | 韓国製 | 40単位
¥ 8,800 (税込) - ピックアップ
ヒアルロン酸注入 | 1部位 | あご・ほうれい線 | 1cc ニューラミス
¥ 22,000 (税込) - ピックアップ
ポテンツァダイアモンドチップ | 300ショット
¥ 24,000 (税込)
施術メニューをもっと見る直近のご予約可能な日水木金土日月火10TEL111213141516おすすめポイント
- 高いリフト効果×自然な仕上がりの糸リフト
- 持続力の高い二重整形「自然癒着法」
- 駅チカで通いやすい!銀座駅徒歩2分
月,火,水,木,金,土,日,祝東京都中央区銀座5-9-17 銀座あづまビル3階輪郭3点・上下顎骨切り術(両顎手術)ルフォー+SSRO・鼻フルなどが好評
美容クリニック・美容皮膚科・美容皮膚科・美容外科(美容整形)・美容外科(美容整形)・美容内科・美容内科・再生医療クリニック・再生医療クリニック・医療ダイエット・痩身クリニック・医療ダイエット・痩身クリニック / 東京駅八重洲口から徒歩5分 三越前駅から徒歩5分 日本橋駅から徒歩2分








すべて見る下顎骨切り術(矢状分割)
¥ 1,452,000 (税込)上顎骨切り術(ルフォー1)
¥ 2,057,000 (税込)上下顎骨切り術(両顎手術)
¥ 2,970,000 (税込)分節骨切り術(下顎/上顎/上下顎)
¥ 1,331,000 (税込)下顎角形成術
¥ 1,452,000 (税込)
施術メニューをもっと見る月,火,水,木,金,土,日,祝東京都中央区八重洲1-3-18 VORT東京八重洲maxim 3階ボトックス注射・ジャルプロスーパーハイドロ・ヒアルロン酸注射・注入などが好評
美容クリニック・美容皮膚科・美容外科(美容整形)・美容内科・再生医療クリニック・再生医療クリニック・医療ダイエット・痩身クリニック・医療ダイエット・痩身クリニック / 六本木一丁目駅から徒歩7分 六本木駅から徒歩10分 麻布十番駅から徒歩10分 神谷町駅から徒歩11分二の腕の脂肪溶解注射(カベリン)は効果ないはウソ!安くてダウンタイムも隠せる冬の治療がおすすめ!- mikicom




すべて見る- ピックアップ
❣️キレイレポ限定❣️ ヒアルロン酸 1cc~ | Dr.手打ちでふっくらかわいく👶
¥ 12,000 (税込) - ピックアップ
❣️キレイレポ限定小顔セット❣️ エラボトックス (60単位)+カベリン (~16cc)
¥ 29,000 (税込) - ピックアップ
❣️キレイレポ限定❣️ スキンボトックス(マイクロボトックス) | 肌育・毛穴対策ならまずはコレから🩵
¥ 16,000 (税込) - ピックアップ
ジャルプロ スーパーハイドロ
¥ 66,000 (税込) - ピックアップ
スネコス (SUNEKOS®) | Dr.手打ち💉
¥ 20,000 (税込)
施術メニューをもっと見る直近のご予約可能な日水木金土日月火10TEL111213141516おすすめポイント
- “小顔 x 肌育“を専門に満足度を追求!
- ドクター手打ち×リーズナブルを追求
- 初心者でも安心できる優しい雰囲気
月,火,水,木,金,土,日,祝東京都港区麻布台3-1-6-3F- 美容クリニック・美容皮膚科・美容外科(美容整形)・医療脱毛クリニック・AGAクリニック・美容内科・再生医療クリニック・再生医療クリニック・医療ダイエット・痩身クリニック・医療ダイエット・痩身クリニック / JR / JR 京葉線「東京駅」から徒歩3分 JR 「有楽町駅」から徒歩6分 東京メトロ 銀座線 「京橋駅」



おすすめポイント
- 即効性抜群の幹細胞点滴で活力UP
- シワ・シミ改善のスネコス注射で美肌に
- 東京駅から徒歩3分の好立地で通いやすい
火,水,木,金,土,祝東京都千代田区丸の内1-11-1 パシフィックセンチュリープレイス丸の内 10F - 美容クリニック・美容皮膚科・美容外科(美容整形)・美容外科(美容整形) / 東京メトロ有楽町線 銀座一丁目 6番出口 徒歩1分









すべて見る二重埋没法
¥ 67,980 (税込)二重抜糸(当院)
¥ 14,190 (税込)二重抜糸(他院)
¥ 24,200 (税込)二重埋没法+涙袋のヒアルロン酸注入セット
¥ 95,700 (税込)二重全切開法
¥ 273,900 (税込)
施術メニューをもっと見るおすすめポイント
- ナチュラルな二重を実現する埋没法
- 安心の笑気麻酔で痛みを軽減
- 銀座一丁目駅から徒歩1分の好立地
月,火,水,木,金,土,日,祝東京都中央区銀座2-5-4 ファサード銀座 4F - 美容クリニック・美容皮膚科・美容外科(美容整形)・医療脱毛クリニック・AGAクリニック / JR京浜東北線・山手線 「有楽町」駅 より徒歩1分 東京メトロ有楽町線 「有楽町」駅 より徒歩5分 東京メトロ銀座線 「銀座」駅 より徒歩7分








すべて見る医療脱毛 ワキ
¥ 3,520 (税込)医療脱毛 上腕
¥ 2,640 (税込)医療脱毛 前腕
¥ 2,640 (税込)女性医療脱毛 Vライン
¥ 3,520 (税込)男性医療脱毛 Vライン
¥ 4,400 (税込)
施術メニューをもっと見る月,火,水,木,金,土,日,祝東京都千代田区有楽町2丁目7-1 - 美容クリニック・美容皮膚科・美容外科(美容整形)・医療脱毛クリニック・医療ダイエット・痩身クリニック・医療ダイエット・痩身クリニック / 地下鉄有楽町線「銀座一丁目駅」7番出口より徒歩1分 地下鉄銀座線「京橋駅」2番出口より徒歩2分 JR線「有楽町駅」京橋口より徒歩5分 JR線「有楽町駅」中央口より徒歩5分





すべて見る引用元:
銀座高須クリニック 公式サイト二重まぶた・埋没法/埋没法(二針固定)/連続埋没法/当日からメイクができる裏留め埋没法
¥ 55,000 (税込)切開法(全切開法・ミニ切開法)
¥ 148,500 (税込)目頭切開
¥ 148,500 (税込)目尻切開
¥ 148,500 (税込)眼瞼下垂(デカ目整形)
¥ 385,000 (税込)
施術メニューをもっと見るおすすめポイント
- 短時間で理想の二重を実現する埋没法
- 高い技術力で満足度の高い施術を提供
- 銀座駅から徒歩5分の好立地
月,火,水,木,金,土,日,祝東京都中央区銀座一-8-19 キラリトギンザ 11F - 美容クリニック・美容皮膚科・美容外科(美容整形)・審美歯科・医療脱毛クリニック・AGAクリニック・メンズクリニック・レディースクリニック・美容内科・再生医療クリニック・再生医療クリニック・医療ダイエット・痩身クリニック・医療ダイエット・痩身クリニック / 有楽町線 銀座一丁目駅 7番出口 徒歩1分 銀座線 京橋駅 3番出口 徒歩1分 銀座線・丸の内線・日比谷線 銀座駅 A9番出口 徒歩6分 JR有楽町駅 徒歩7分糸リフトだけじゃ微妙かも- まき









すべて見るクマ取り・目の下のたるみ(クマ治療) 経結膜脱脂法
¥ 198,000 (税込)クマ取り・目の下のたるみ(クマ治療) 経結膜脱脂法+コンデンスリッチ注入
¥ 498,000 (税込)クマ取り・目の下のたるみ(クマ治療) クマ取りフルコース (経結膜脱脂法+脂肪注入2種(コンデンスリッチ+マイクロナノファット))
¥ 648,000 (税込)切開ハムラ法・裏ハムラ法
¥ 498,000 (税込)裏ハムラ+マイクロナノファット(目の下)
¥ 748,000 (税込)
施術メニューをもっと見る月,火,水,木,金,土,日,祝東京都中央区銀座1-2-4 サクセス銀座ファーストビル 8F - 美容クリニック / 東京メトロ銀座線・丸の内線・日比谷線「銀座駅」A13出口より徒歩2分 都営浅草線「東銀座駅」A8番出口より徒歩5分









すべて見るヒアルロン酸 アラガンジュビダームビスタボラックス 1㏄
¥ 109,800 (税込)ヒアルロン酸 アラガンジュビダームビスタボリューマ 1㏄
¥ 99,800 (税込)ヒアルロン酸 アラガンジュビダームビスタボリフト 1㏄
¥ 99,800 (税込)ヒアルロン酸 アラガンジュビダームビスタボルベラ 1㏄
¥ 99,800 (税込)ヒアルロン酸 アラガンジュビダームビスタボライトXC 1㏄
¥ 59,800 (税込)
施術メニューをもっと見る月,火,水,木,金,土,日,祝東京都中央区銀座3丁目7-2オーク銀座 4F - 美容クリニック・美容皮膚科・美容外科(美容整形)・医療脱毛クリニック・レディースクリニック・美容内科・再生医療クリニック・再生医療クリニック・医療ダイエット・痩身クリニック・医療ダイエット・痩身クリニック / 東銀座駅 4番出口徒歩1分 銀座駅 A5出口徒歩6分









すべて見るリジュランHB
¥ 48,400 (税込)ピュアアイズ
¥ 39,600 (税込)水光注射(リジュラン)
¥ 88,000 (税込)水光注射
¥ 68,200 (税込)プレミアムFGF注入
¥ 66,000 (税込)
施術メニューをもっと見るおすすめポイント
- モザイクレーザーでニキビ跡を改善する
- 30分無制限脱毛で自由に選べる
- 東銀座駅から徒歩1分の好立地
月,火,水,木,金,土,日,祝東京都中央区銀座5-14-5 光澤堂GINZAビル 2F - 美容クリニック・美容皮膚科・美容外科(美容整形)・医療脱毛クリニック・メンズクリニック・レディースクリニック・美容内科・医療ダイエット・痩身クリニック・医療ダイエット・痩身クリニック / JR、東京メトロ、ゆりかもめ新橋駅 徒歩6分 東京メトロ銀座駅 徒歩8分 東京メトロ東銀座駅 徒歩8分 都営地下鉄大江戸線、ゆりかもめ汐留駅 徒歩8分









すべて見る肌診断機による肌診断
¥ 2,200 (税込)KOトーニング
¥ 11,000 (税込)KOフラクショナル
¥ 22,000 (税込)KOダブル(トーニング+1064フラクショナル)
¥ 16,500 (税込)ピコトーニング
¥ 11,000 (税込)
施術メニューをもっと見る月,火,水,木,金,土,日,祝東京都中央区銀座8-9-16 長崎センタービル 9階 - 美容クリニック・美容皮膚科・美容外科(美容整形)・医療脱毛クリニック・AGAクリニック・美容内科・再生医療クリニック・再生医療クリニック・医療ダイエット・痩身クリニック・医療ダイエット・痩身クリニック / 日本橋駅から徒歩3分 電車東京駅から徒歩8分
- 美容クリニック・美容皮膚科・美容外科(美容整形)・医療脱毛クリニック・AGAクリニック・美容内科・再生医療クリニック・再生医療クリニック・医療ダイエット・痩身クリニック・医療ダイエット・痩身クリニック / JR各線「新橋」駅 銀座口徒歩4分 東京メトロ各線「銀座」駅 A3出口徒歩5分



すべて見る白玉点滴
¥ 4,400 (税込)白玉点滴+ビタミンCウルトラ
¥ 9,900 (税込)プラセンタ注射
¥ 1,650 (税込)ニンニク注射
¥ 2,200 (税込)マイヤーズカクテル点滴
¥ 5,500 (税込)
施術メニューをもっと見る月,火,水,木,金,土,日,祝東京都中央区銀座7-9-11 モンブラン銀座ビル 9階 - 美容クリニック・美容皮膚科・美容外科(美容整形)・レディースクリニック・美容内科・再生医療クリニック・再生医療クリニック・医療ダイエット・痩身クリニック・医療ダイエット・痩身クリニック / ■JR山手線・京浜東北線 浜松町駅北口から 徒歩約3分 ■都営大江戸線・浅草線 大門駅A1出口からほぼ直結





すべて見るダーマペン本体×エクソソーム(麻酔代込)
¥ 33,000 (税込)ダーマペン本体
¥ 22,000 (税込)ヴェルベットスキン
¥ 38,500 (税込)サブシジョン
¥ 22,000 (税込)ニキビ面皰圧出
¥ 3,300 (税込)
施術メニューをもっと見る月,火,水,木,金,土,日,祝東京都港区浜松町2丁目1-20 SVAX大門ビル5階 - 美容クリニック・美容皮膚科・美容外科(美容整形)・美容内科・医療ダイエット・痩身クリニック・医療ダイエット・痩身クリニック / JR 山手線 新橋駅 徒歩4分 地下鉄 都営大江戸線 汐留駅 徒歩1分 地下鉄 都営浅草線 新橋駅 徒歩3分 地下鉄 東京メトロ銀座線 新橋駅 徒歩5分 ゆりかもめ 汐留駅 徒歩2分









すべて見るおすすめポイント
- 最新機器ウルトラセルZiで引き上げる
- 患者想いの丁寧なカウンセリング
- 新橋駅から徒歩4分の好立地
月,火,水,木,金,土,日,祝東京都港区東新橋1丁目8-1 カレッタ汐留 47階 - 美容クリニック・美容皮膚科・医療脱毛クリニック・医療脱毛クリニック・レディースクリニック / JR東京駅 八重洲口からのアクセス 東京駅 八重洲中央口を出ます。 八重洲口を出てすぐの大通り(外堀通り)の横断歩道を渡ります 椿屋珈琲の交差点を左に曲がり、 八重洲仲通りを進みます。 「産地直送Gekokujo」という居酒屋と中山眼科医院の間の道を右手に曲がります。 日本橋アルガビル右手のエレベーターを利用して2Fまでお上がりください 日本橋駅 B0出口からのアクセス 日本橋駅 B0出口を出ます。 左手に進みます。 1つ目の路地を左に曲がり30mほど歩くとクリニックに到着します。 日本橋アルガビル右手のエレベーターを利用して2Fまでお上がりください。





すべて見るインモード リフティング
¥ 30,000 (税込)インモード フォーマ
¥ 15,000 (税込)インモード ミニFX
¥ 15,000 (税込)シルファーム X
¥ 33,000 (税込)デュオタイト
¥ 35,100 (税込)
施術メニューをもっと見るおすすめポイント
- インモードで脂肪を引き締める
- 高品質なスタッフによる安心施術
- 東京駅から徒歩圏内の好立地
月,火,水,木,金,土,日,祝東京都中央区日本橋2-2-5 日本橋アルガビル 2F - 美容クリニック・美容皮膚科・美容外科(美容整形)・メンズクリニック・美容内科・再生医療クリニック・再生医療クリニック・医療ダイエット・痩身クリニック・医療ダイエット・痩身クリニック / 日比谷線・千代田線・都営三田線 「日比谷駅」より徒歩3分 有楽町駅・丸の内線・日比谷線 「有楽町」より徒歩5分普通になれました- ちゃ









すべて見るポテンツァ ダイヤモンドチップ(500shot)
¥ 29,800 (税込)ポテンツァ ドラッグデリバリー(4周:1600~2000shot)/ジュベルック
¥ 45,000 (税込)ポテンツァ ドラッグデリバリー(4周:1600~2000shot)/マックーム/スネコス
¥ 39,800 (税込)ポテンツァ ドラッグデリバリー(4周:1600~2000shot)/ボトックス
¥ 37,800 (税込)医療HIFU(ハイフ) ウルトラセルZi(ドット照射)
¥ 36,000 (税込)
施術メニューをもっと見るおすすめポイント
- ピコスポットでシミを簡単に解消する
- 多汗症治療で快適な日常を取り戻す
- 日比谷駅から徒歩3分の好立地
月,火,水,木,金,土,日,祝東京都千代田区有楽町1-2-14 紫ビル 3階 - 美容クリニック・美容皮膚科・美容外科(美容整形)・医療脱毛クリニック・AGAクリニック・メンズクリニック・レディースクリニック・美容内科・再生医療クリニック・再生医療クリニック・医療ダイエット・痩身クリニック・医療ダイエット・痩身クリニック / 東京メトロ銀座線/日比谷線「銀座駅【A13出口】」から徒歩3分 東京メトロ有楽町線「銀座一丁目駅【8番出口】」から徒歩2分 JR「有楽町駅」から徒歩4分





すべて見るピコレーザー(シミ取りスポット)
¥ 12,100 (税込)ピコレーザー(ADM治療)
¥ 12,100 (税込)ピコトーニング+イオン導入
¥ 14,300 (税込)ピコフラクショナル
¥ 14,300 (税込)顔のシミ取り放題(シミの大きさ問わず何個でも)
¥ 55,000 (税込)
施術メニューをもっと見るおすすめポイント
- 埋没法で理想の二重を実現する
- ボトックスで目力アップを叶える
- 銀座駅から徒歩3分の好立地
月,火,水,木,金,土,日,祝東京都中央区銀座2-5-11 V88ビルディング 5階 - 美容クリニック・美容皮膚科・美容外科(美容整形)・メンズクリニック・レディースクリニック・美容内科・再生医療クリニック・再生医療クリニック・医療ダイエット・痩身クリニック・医療ダイエット・痩身クリニック / 地下鉄銀座駅A3出口を出て、中央通りを新橋方面へ直進します。3つ目の信号「銀座7丁目交差点」左角のモンブラン銀座ビル6Fです。




すべて見る引用元:
東京美容外科 銀座院 公式サイト埋没二重
¥ 33,000 (税込)埋没糸抜去(自院)
¥ 55,000 (税込)埋没糸抜去(他院)
¥ 110,000 (税込)切開二重
¥ 220,000 (税込)眼瞼下垂
¥ 298,000 (税込)
施術メニューをもっと見るおすすめポイント
- ボトックスで手軽に多汗症改善
- 二重埋没手術で自信を取り戻す
- 地下鉄銀座駅から徒歩5分の好立地
月,火,水,木,金,土,日,祝東京都中央区銀座7-9-11 モンブラン銀座ビル 6F - 美容クリニック・美容皮膚科・美容外科(美容整形)・審美歯科・医療脱毛クリニック・AGAクリニック・メンズクリニック・レディースクリニック・美容内科・再生医療クリニック・再生医療クリニック・医療ダイエット・痩身クリニック・医療ダイエット・痩身クリニック / 東京メトロ有楽町線 銀座一丁目駅 3番出口 徒歩1分 東京メトロ有楽町線 有楽町駅 D9番出口 徒歩2分 JR有楽町駅 徒歩5分 東京メトロ銀座線・丸ノ内線・日比谷線 銀座駅C8出口 徒歩5分ニキビ顔におすすめ- はなはな









すべて見る二重埋没法
¥ 29,880 (税込)二重埋没法(自然癒着法)
¥ 54,600 (税込)自然癒着セット(上眼瞼脱脂)
¥ 55,270 (税込)SBCデカ目術/切らないまぶたのリフトアップ
¥ 116,320 (税込)切る二重術(切開法)
¥ 250,000 (税込)
施術メニューをもっと見るおすすめポイント
- 笑顔に自信を!目尻のシワを解消するボトックス
- 安心のカウンセリングで不安を解消
- 銀座一丁目駅から徒歩1分の好立地
月,火,水,木,金,土,日,祝東京都中央区銀座1丁目3-9 マルイト銀座ビル 2階
湘南美容クリニック Regno銀座院と併せて よく一緒に見られているクリニック
- 美容クリニック・美容皮膚科・美容外科(美容整形)・医療脱毛クリニック・AGAクリニック / JR新宿駅「中央東口」徒歩約3分 東京メトロ丸の内線新宿三丁目駅 新宿駅地下連絡通路「B6」出口より直結継続必須- りり









すべて見る女性医療脱毛 全身+うなじ
¥ 19,800 (税込)女性医療脱毛 全身+うなじ+顔全体
¥ 26,800 (税込)女性医療脱毛 全身+うなじ+VIO
¥ 29,600 (税込)女性医療脱毛 全身+うなじ+顔全体+VIO
¥ 36,600 (税込)女性医療脱毛 VIOライン
¥ 9,800 (税込)
施術メニューをもっと見るおすすめポイント
- 都度払いで安心!手軽に医療脱毛を体験する
- 最新機器で痛みを軽減!選べる脱毛機
- JR新宿駅から徒歩3分!アクセス抜群
月,火,金,土,日,祝東京都新宿区新宿3-17-5 T&TⅢビル 8F - 美容クリニック・美容皮膚科・医療脱毛クリニック・美容内科・医療ダイエット・痩身クリニック・医療ダイエット・痩身クリニック / JR横浜線 町田駅徒歩5分





すべて見る女性医療脱毛 全身+VIO 6回
¥ 44,550 (税込)女性医療脱毛 全身+VIO+顔 6回
¥ 88,110 (税込)女性医療脱毛 全身 6回
¥ 44,550 (税込)女性医療脱毛 全身+顔 6回
¥ 88,110 (税込)医療ダイエット(機械施術・内服薬・食生活改善サポート)
¥ 1,540,000 (税込)
施術メニューをもっと見るおすすめポイント
- 圧倒的にお手頃な全身医療脱毛
- 効果を実感できるスピード施術
- 町田駅から徒歩5分の好立地
月,火,水,木,金,土,日,祝東京都町田市原町田6-7-8 ティップス町田ビル 3階 - 美容クリニック・美容皮膚科・メンズクリニック・レディースクリニック・美容内科 / JR山手線、東京メトロ南北線・三田線 東急目黒線「目黒」駅 徒歩4分



すべて見る低用量ピル
¥ 2,200 (税込)アフターピル
¥ 13,100 (税込)月経移動
¥ 4,400 (税込)インティマレーザー(腹圧性尿失禁/GSM)
¥ 55,000 (税込)腟引き締め
¥ 88,000 (税込)
施術メニューをもっと見る月,火,木,金,土,日東京都目黒区目黒1丁目6−17 Daiwa目黒スクエア 1階 - 美容クリニック・美容皮膚科 / 東横線・日比谷線 中目黒駅 徒歩1分



女性医療脱毛(ソプラノチタニウム)|顔orVIO/顔+VIO
¥ 25,000 (税込)女性医療脱毛(ソプラノチタニウム)|顔単部位
¥ 12,000 (税込)女性医療脱毛(ソプラノチタニウム)|口周り(鼻下+唇下1列)
¥ 17,000 (税込)女性医療脱毛(ソプラノチタニウム)|わき+ひじ下+ひざ下(手背・足甲指)
¥ 36,000 (税込)女性医療脱毛(ソプラノチタニウム)|うなじ除く全身(顔、VIO除く)
¥ 44,000 (税込)
施術メニューをもっと見る月,火,水,木,金,土,日,祝東京都目黒区上目黒1-26-1 中目黒アトラスタワー 3F - ------美容クリニック・審美歯科 / JR新宿駅 西口徒歩8分 JR大久保駅 徒歩2分 JR新大久保駅 徒歩5分、西武線西新宿駅、大江戸線新宿西口駅 各駅より 徒歩5分。









すべて見る引用元:
橋本歯科医院 公式サイトかぶせ物
オールジルコニアアンレー・オールジルコニアインレー・グラディアダイレクト
入れ歯(義歯)
矯正歯科治療
施術メニューをもっと見る月,火,水,木,金東京都新宿区北新宿1-4-8 - ------美容クリニック / 千歳船橋駅から5分
- 美容クリニック・美容皮膚科・美容内科・再生医療クリニック・再生医療クリニック・医療ダイエット・痩身クリニック・医療ダイエット・痩身クリニック / JR渋谷駅から徒歩1分 JR武蔵小杉駅から徒歩6分



ボトックス注射|しわ(目尻・眉間・額)
¥ 6,490 (税込)ボトックス注射|脇(多汗・臭い)・肩こり肩やせ
¥ 24,090 (税込)ボトックス注射|小顔(エラ)
¥ 30,140 (税込)マイクロボトックス
¥ 65,000 (税込)脂肪溶解注射(あご下)
¥ 5,500 (税込)
施術メニューをもっと見るおすすめポイント
- 脂肪溶解注射でナチュラルなフェイスラインを実現
- リーズナブルなエラボトックスで小顔効果を実感
- 駅近で通いやすい、清潔感あふれるクリニック
月,火,水,木,金,土,日,祝東京都渋谷区渋谷2-22-11 渋谷フランセ奥野 7F - 美容クリニック・美容皮膚科・美容外科(美容整形)・メンズクリニック・レディースクリニック・医療ダイエット・痩身クリニック・医療ダイエット・痩身クリニック / 日比谷線八丁堀駅 A2出口より徒歩1分 (JR東京駅より徒歩15分)
- 美容クリニック / 丸の内線・副都心線・都営新宿線「新宿三丁目駅」より徒歩3分 C5出口のエスカレーターを上り、左手道路の横断歩道を渡った先にある「品川製麺所」があるビルの7Fです。







すべて見るシリコン豊胸
¥ 770,000 (税込)シリコン豊胸
¥ 660,000 (税込)豊胸シリコン抜去 当院
¥ 220,000 (税込)豊胸シリコン抜去 当院
¥ 220,000 (税込)豊胸シリコン抜去 他院
¥ 363,000 (税込)
施術メニューをもっと見る月,火,水,木,金,土,日,祝東京都新宿区新宿2丁目12−4 アコード新宿ビル7F - 美容クリニック・美容外科(美容整形)・審美歯科・再生医療クリニック・再生医療クリニック / JR新橋駅 烏森口より徒歩5分









すべて見るインプラント
PMTC (クリーニング)
審美治療・詰め物
ホームホワイトニング
ホワイトニング
施術メニューをもっと見る月,火,水,木,金,土,日,祝東京都港区新橋5-8-3 代市ビル 6F - ------美容クリニック・メンズクリニック・レディースクリニック・美容内科 / 都営三田線「白山駅」徒歩6分 東京メトロ南北線「本駒込駅」徒歩6分 都営三田線「千石駅」徒歩7分 池袋駅東口からバス浅草寿町行き「東洋大学前」下車徒歩3分



すべて見るED治療薬
¥ 1,000 (税込)性病検査
¥ 6,000 (税込)疲労回復+美肌効果点滴(ビタミン注射)
¥ 2,500 (税込)
施術メニューをもっと見る月,火,木,金,土東京都文京区本駒込1-11-1 トラビ文京白山 2F-B - 美容クリニック・美容皮膚科・医療脱毛クリニック・美容内科 / 立川駅から徒歩4分



すべて見る医療脱毛 男性 ひげ脱毛(選べる3部位)
¥ 38,500 (税込)医療脱毛 男性 ひげ脱毛(5部位)
¥ 61,800 (税込)医療脱毛 男性 ひげ脱毛(6部位)
¥ 78,000 (税込)医療脱毛 男性 セレクト全身脱毛10部位
¥ 189,200 (税込)医療脱毛 男性 全身脱毛
¥ 206,800 (税込)
施術メニューをもっと見る月,火,水,木,金,土,日,祝東京都立川市曙町1丁目-14-17 籏野ビル 5階 




すべて見る引用元:
雫クリニック 公式サイト二重埋没法
¥ 69,800 (税込)二重埋没法
¥ 41,880 (税込)韓国式自然癒着法
¥ 298,000 (税込)韓国式自然癒着法
¥ 178,800 (税込)二重切開法
¥ 368,000 (税込)
施術メニューをもっと見るおすすめポイント
- ルメッカ施術で毛穴レス肌を実現
- 完全予約制でストレスフリーな施術
- 六本木駅・広尾駅から徒歩10分
月,火,水,木,金,土,日,祝東京都港区⻄⿇布3-6-1 六本⽊センチュリオンタワー 10F- ------美容クリニック・美容皮膚科・医療脱毛クリニック・AGAクリニック・メンズクリニック・美容内科・医療ダイエット・痩身クリニック・医療ダイエット・痩身クリニック / ●最寄り駅 JR線・東京メトロ銀座線・都営浅草線・ゆりかもめ「新橋駅」 都営三田線「内幸町駅」 都営大江戸線「汐留駅」 ●JR「新橋駅」日比谷口より徒歩2分 ●東京メトロ銀座線「新橋駅」⑦⑧番出口より徒歩2分 ●都営三田線「内幸町駅」A2出口より徒歩2分 ●ゆりかもめ「新橋駅」より徒歩6分 ●都営浅草線「新橋駅」より徒歩6分 ●都営大江戸線「汐留駅」より徒歩8分


引用元:
東京予防クリニック 公式サイト性病検査
¥ 2,200 (税込)ミノキシジル
¥ 5,500 (税込)フィナステリド
¥ 4,800 (税込)デュタステリド
¥ 6,000 (税込)シルデナフィル(バイアグラのジェネリック医薬品)
¥ 800 (税込)
施術メニューをもっと見る月,火,水,木,金東京都港区新橋1-17-2 ダイワロイネットホテル新橋地下1階 - ------美容クリニック・医療脱毛クリニック・美容内科 / JR中央線・京王井の頭線 吉祥寺駅北口徒歩3分
- 美容クリニック・美容皮膚科・医療脱毛クリニック・AGAクリニック・レディースクリニック・美容内科・医療ダイエット・痩身クリニック・医療ダイエット・痩身クリニック / 練馬駅徒歩1分



すべて見る眉アートメイク
¥ 40,000 (税込)リップアートメイク
¥ 40,000 (税込)アイラインアートメイク
¥ 20,000 (税込)ヘアラインアートメイク
¥ 60,000 (税込)SMP(頭皮)アートメイク
¥ 50,000 (税込)
施術メニューをもっと見る月,火,水,木,金,土東京都練馬区豊玉北5丁目18-9 河野ビル 3F - ------美容クリニック・美容皮膚科・審美歯科 / 東京メトロ日比谷線「仲御徒町」駅 東京メトロ銀座線「上野広小路」駅 都営大江戸線「上野御徒町」駅からもアクセス可能



すべて見るホワイトニング・クリーニング
¥ 14,520 (税込)口角・エラ・あごボトックス
¥ 55,000 (税込)インレー(詰め物)
¥ 77,000 (税込)クラウン(被せ物)
¥ 132,000 (税込)ラミネートべニア
¥ 110,000 (税込)
施術メニューをもっと見る月,火,水,木,金,土,日,祝東京都台東区上野3-21-5-201 BINO御徒町 - ------美容クリニック・審美歯科 / JR「新宿」駅東南口/中央東口 より徒歩3分。 丸ノ内線・副都心線・都営新宿線「新宿三丁目」駅A1出口より徒歩1分という、各方面からアクセスの良い場所にございます。





すべて見る引用元:
新宿KU歯科 公式サイト歯列矯正
¥ 825,000 (税込)マウスピース矯正
¥ 385,000 (税込)クラウン(被せ物)
¥ 22,000 (税込)インレー(詰め物)
ラミネートべニア
施術メニューをもっと見る月,火,水,木,金,土,日,祝東京都新宿区新宿3-32-5 日原ビル 4階 - 美容クリニック・美容皮膚科・医療脱毛クリニック / 小田急小田原線「町田駅」東口より徒歩5分 JR横浜線「町田駅」中央北口より徒歩5分 神奈川中央交通「町田駅」6番下車 徒歩7分







すべて見る男性医療脱毛 ヒゲ脱毛(3部位)
¥ 9,800 (税込)男性医療脱毛 ヒゲ脱毛(全部位)
¥ 16,800 (税込)男性医療脱毛 顔全体オプション
男性医療脱毛 全身脱毛
¥ 35,800 (税込)男性医療脱毛 全身+ヒゲ脱毛
¥ 259,920 (税込)
施術メニューをもっと見る月,火,水,木,金,土,日,祝東京都町田市原町田4-11-14 コロンブスビル 8F - ------美容クリニック・美容皮膚科・AGAクリニック・美容内科 / 千歳烏山駅の南口(西口改札)から徒歩3分
湘南美容クリニック Regno銀座院の 系列クリニック
- 美容クリニック・美容皮膚科・美容外科(美容整形)・審美歯科・医療脱毛クリニック・AGAクリニック・メンズクリニック・レディースクリニック・美容内科・再生医療クリニック・再生医療クリニック・医療ダイエット・痩身クリニック・医療ダイエット・痩身クリニック / 東京メトロ銀座線・東京メトロ千代田線・東京メトロ半蔵門線が通る「表参道駅」B2出口から徒歩1分効果に、感動- まきろん









すべて見る二重埋没法
¥ 29,880 (税込)二重埋没法(自然癒着法)
¥ 54,600 (税込)自然癒着セット(上眼瞼脱脂)
¥ 55,270 (税込)SBCデカ目術/切らないまぶたのリフトアップ
¥ 116,320 (税込)切る二重術(切開法)
¥ 250,000 (税込)
施術メニューをもっと見るおすすめポイント
- 理想の二重を実現するフォーエバー二重埋没法
- 痛みを感じないウルトラ美肌脱毛で全身スッキリ
- 表参道駅から徒歩1分のアクセス便利なクリニック
月,火,水,木,金,土,日,祝東京都港区北青山3-11-7 AOビル 7F - 美容クリニック・美容皮膚科・美容外科(美容整形)・審美歯科・医療脱毛クリニック・AGAクリニック・メンズクリニック・レディースクリニック・美容内科・再生医療クリニック・再生医療クリニック・医療ダイエット・痩身クリニック・医療ダイエット・痩身クリニック / 日比谷線・都営大江戸線「六本木駅」下車 3番出口より徒歩1分



すべて見るおすすめポイント
- 痛みを抑えた脱毛施術で安心
- 日焼け後も安心!ダウンタイムなしの施術
- 六本木駅から徒歩1分の好立地
月,火,水,金,土,日,祝東京都港区六本木6-1-24 ラピロス六本木 8F - 美容クリニック・美容皮膚科・美容外科(美容整形)・審美歯科・医療脱毛クリニック・AGAクリニック・メンズクリニック・レディースクリニック・美容内科・再生医療クリニック・再生医療クリニック・医療ダイエット・痩身クリニック・医療ダイエット・痩身クリニック / JR秋葉原駅/東京メトロ日比谷線秋葉原駅より徒歩7分本当に素晴らしい医師です- mito









すべて見る二重埋没法
¥ 29,880 (税込)二重埋没法(自然癒着法)
¥ 54,600 (税込)自然癒着セット(上眼瞼脱脂)
¥ 55,270 (税込)SBCデカ目術/切らないまぶたのリフトアップ
¥ 116,320 (税込)切る二重術(切開法)
¥ 250,000 (税込)
施術メニューをもっと見るおすすめポイント
- 顔の脂肪吸引でスッキリ小顔を実現
- お手頃価格で安心の医療脱毛
- 秋葉原駅から徒歩7分の好立地
月,火,水,木,金,土,日,祝東京都台東区秋葉原1-1 秋葉原ビジネスセンター 6階 - 美容クリニック・美容皮膚科・美容外科(美容整形)・審美歯科・医療脱毛クリニック・AGAクリニック・メンズクリニック・レディースクリニック・美容内科・再生医療クリニック・再生医療クリニック・医療ダイエット・痩身クリニック・医療ダイエット・痩身クリニック / JR札幌駅直結効果の実感は微妙- ケンケン









すべて見る二重埋没法
¥ 29,880 (税込)二重埋没法(自然癒着法)
¥ 54,600 (税込)自然癒着セット(上眼瞼脱脂)
¥ 55,270 (税込)SBCデカ目術/切らないまぶたのリフトアップ
¥ 116,320 (税込)切る二重術(切開法)
¥ 250,000 (税込)
施術メニューをもっと見るおすすめポイント
- ケミカルピーリングでつるつる卵肌を実現
- 二重埋没法で理想の目元を手に入れる
- JR札幌駅から徒歩5分の好立地
月,火,水,木,金,土,日,祝北海道札幌市中央区北5条西2-5 JRタワーオフィスプラザさっぽろ 13F - 美容クリニック・美容皮膚科・美容外科(美容整形)・審美歯科・医療脱毛クリニック・AGAクリニック・メンズクリニック・レディースクリニック・美容内科・再生医療クリニック・再生医療クリニック・医療ダイエット・痩身クリニック・医療ダイエット・痩身クリニック / ・チ・カ・ホ(札幌駅前通地下歩行空間)7番出口より徒歩1分 ・札幌市営地下鉄「大通」駅徒歩2分 ・地下鉄(南北線・東豊線)さっぽろ駅より徒歩3分



二重埋没法
¥ 29,880 (税込)二重埋没法(自然癒着法)
¥ 54,600 (税込)自然癒着セット(上眼瞼脱脂)
¥ 55,270 (税込)SBCデカ目術/切らないまぶたのリフトアップ
¥ 116,320 (税込)切る二重術(切開法)
¥ 250,000 (税込)
施術メニューをもっと見るおすすめポイント
- 痛みを抑えた安心の医療脱毛で自信を取り戻す
- リーズナブルなシミ取り放題プランで美肌を手に入れる
- 札幌駅から徒歩1分の好立地で通いやすい
月,火,水,木,金,土,日,祝北海道札幌市中央区北一条西3-3-10 KOKOHOTEL札幌駅前 3階 - 美容クリニック・美容皮膚科・美容外科(美容整形)・審美歯科・医療脱毛クリニック・AGAクリニック・メンズクリニック・レディースクリニック・美容内科・再生医療クリニック・再生医療クリニック・医療ダイエット・痩身クリニック・医療ダイエット・痩身クリニック / JR仙台駅西口 徒歩約1分









すべて見る二重埋没法
¥ 29,880 (税込)二重埋没法(自然癒着法)
¥ 54,600 (税込)自然癒着セット(上眼瞼脱脂)
¥ 55,270 (税込)SBCデカ目術/切らないまぶたのリフトアップ
¥ 116,320 (税込)切る二重術(切開法)
¥ 250,000 (税込)
施術メニューをもっと見るおすすめポイント
- ニキビ跡改善に最適なケミカルピーリング
- 二重整形で理想の目元を実現
- JR仙台駅から徒歩1分の好立地
月,火,水,木,金,土,日,祝宮城県仙台市青葉区中央1‐2‐3 仙台マークワン 17階 - 美容クリニック・美容皮膚科・美容外科(美容整形)・審美歯科・医療脱毛クリニック・AGAクリニック・メンズクリニック・レディースクリニック・美容内科・再生医療クリニック・再生医療クリニック・医療ダイエット・痩身クリニック・医療ダイエット・痩身クリニック / 秋田駅 徒歩1分









すべて見る二重埋没法
¥ 29,880 (税込)二重埋没法(自然癒着法)
¥ 54,600 (税込)自然癒着セット(上眼瞼脱脂)
¥ 55,270 (税込)SBCデカ目術/切らないまぶたのリフトアップ
¥ 116,320 (税込)切る二重術(切開法)
¥ 250,000 (税込)
施術メニューをもっと見るおすすめポイント
- 20年の実績!安心の二重埋没施術
- 手軽に若返る!ボトックス施術
- 秋田駅から徒歩1分!アクセス抜群
月,火,水,木,金,土,日,祝秋田県秋田市千秋久保田町4-2 秋田オーパ 7階 - 美容クリニック・美容皮膚科・美容外科(美容整形)・審美歯科・医療脱毛クリニック・AGAクリニック・メンズクリニック・レディースクリニック・美容内科・再生医療クリニック・再生医療クリニック・医療ダイエット・痩身クリニック・医療ダイエット・痩身クリニック / JR福島駅 徒歩約1分艶のある額になれる「額ボトックス」!- mmm









すべて見る二重埋没法
¥ 29,880 (税込)二重埋没法(自然癒着法)
¥ 54,600 (税込)自然癒着セット(上眼瞼脱脂)
¥ 55,270 (税込)SBCデカ目術/切らないまぶたのリフトアップ
¥ 116,320 (税込)切る二重術(切開法)
¥ 250,000 (税込)
施術メニューをもっと見るおすすめポイント
- 安心のカウンセリングで施術を決断する
- 短時間で効果的な施術を実現
- JR福島駅から徒歩約1分で通いやすい
月,火,水,木,金,土,日,祝福島県福島市栄町6-1 メディアシティエスタ 4階 - 美容クリニック・美容皮膚科・美容外科(美容整形)・審美歯科・医療脱毛クリニック・AGAクリニック・メンズクリニック・レディースクリニック・美容内科・再生医療クリニック・再生医療クリニック・医療ダイエット・痩身クリニック・医療ダイエット・痩身クリニック / ・東京メトロ丸の内線西新宿駅直結 ・JR新宿駅西口徒歩10分 ・都営地下鉄大江戸線都庁前駅徒歩5分顔のトーンが明るくなりました。- POKE









すべて見る二重埋没法
¥ 29,880 (税込)二重埋没法(自然癒着法)
¥ 54,600 (税込)自然癒着セット(上眼瞼脱脂)
¥ 55,270 (税込)SBCデカ目術/切らないまぶたのリフトアップ
¥ 116,320 (税込)切る二重術(切開法)
¥ 250,000 (税込)
施術メニューをもっと見るおすすめポイント
- 西新宿駅直結で通いやすい
- 短時間で効果を実感できる施術
- 新宿駅から徒歩10分の好立地
月,火,水,木,金,土,日,祝東京都新宿区西新宿6-5-1 新宿アイランドタワー 24F - 美容クリニック・美容皮膚科・美容外科(美容整形)・審美歯科・医療脱毛クリニック・AGAクリニック・メンズクリニック・レディースクリニック・美容内科・再生医療クリニック・再生医療クリニック・医療ダイエット・痩身クリニック・医療ダイエット・痩身クリニック / ・JR新宿駅東南口 徒歩5分 ・新宿三丁目駅 徒歩1分 ・JR新宿駅新南改札 徒歩4分1回だとあまり効果を感じられず- pomme









すべて見る二重埋没法
¥ 29,880 (税込)二重埋没法(自然癒着法)
¥ 54,600 (税込)自然癒着セット(上眼瞼脱脂)
¥ 55,270 (税込)SBCデカ目術/切らないまぶたのリフトアップ
¥ 116,320 (税込)切る二重術(切開法)
¥ 250,000 (税込)
施術メニューをもっと見るおすすめポイント
- 涙袋を手軽に作るヒアルロン酸注入
- 医療脱毛で自己処理から解放される
- 新宿三丁目駅から徒歩1分の好立地
月,火,水,木,金,土,日,祝東京都新宿区新宿4丁目2-23 新四curumuビル 6階 - 美容クリニック・美容皮膚科・美容外科(美容整形)・審美歯科・医療脱毛クリニック・AGAクリニック・メンズクリニック・レディースクリニック・美容内科・再生医療クリニック・再生医療クリニック・医療ダイエット・痩身クリニック・医療ダイエット・痩身クリニック / 東京メトロ有楽町線 銀座一丁目駅 3番出口 徒歩1分 東京メトロ有楽町線 有楽町駅 D9番出口 徒歩2分 JR有楽町駅 徒歩5分 東京メトロ銀座線・丸ノ内線・日比谷線 銀座駅C8出口 徒歩5分ニキビ顔におすすめ- はなはな









すべて見る二重埋没法
¥ 29,880 (税込)二重埋没法(自然癒着法)
¥ 54,600 (税込)自然癒着セット(上眼瞼脱脂)
¥ 55,270 (税込)SBCデカ目術/切らないまぶたのリフトアップ
¥ 116,320 (税込)切る二重術(切開法)
¥ 250,000 (税込)
施術メニューをもっと見るおすすめポイント
- 笑顔に自信を!目尻のシワを解消するボトックス
- 安心のカウンセリングで不安を解消
- 銀座一丁目駅から徒歩1分の好立地
月,火,水,木,金,土,日,祝東京都中央区銀座1丁目3-9 マルイト銀座ビル 2階 - 美容クリニック・美容皮膚科・美容外科(美容整形)・審美歯科・医療脱毛クリニック・AGAクリニック・メンズクリニック・レディースクリニック・美容内科・再生医療クリニック・再生医療クリニック・医療ダイエット・痩身クリニック・医療ダイエット・痩身クリニック / 湘南美容クリニック新橋銀座口院ではSBCプロフェッショナルチームが在籍! 二重整形、脂肪吸引・骨切・豊胸・くま取り・美容皮膚科、医療脱毛など、各分野のエキスパートが実績豊富な医療技術で悩みを解決します! ■リバウンドしないダイエットを提案 ■中国語・英語対応可









すべて見る二重埋没法
¥ 29,880 (税込)二重埋没法(自然癒着法)
¥ 54,600 (税込)自然癒着セット(上眼瞼脱脂)
¥ 55,270 (税込)SBCデカ目術/切らないまぶたのリフトアップ
¥ 116,320 (税込)切る二重術(切開法)
¥ 250,000 (税込)
施術メニューをもっと見るおすすめポイント
- 形成外科専門医による安心の鼻整形
- ダウンタイムが少ない目頭切開
- 新橋駅から徒歩5分のアクセス便利なクリニック
月,火,水,木,金,土,日,祝東京都港区新橋1-12-9 A-PLACE新橋駅前 9F - 美容クリニック・美容皮膚科・美容外科(美容整形)・審美歯科・医療脱毛クリニック・AGAクリニック・メンズクリニック・レディースクリニック・美容内科・再生医療クリニック・再生医療クリニック・医療ダイエット・痩身クリニック・医療ダイエット・痩身クリニック / JR渋谷駅 ハチ公口より 徒歩3分









すべて見る二重埋没法
¥ 29,880 (税込)二重埋没法(自然癒着法)
¥ 54,600 (税込)自然癒着セット(上眼瞼脱脂)
¥ 55,270 (税込)SBCデカ目術/切らないまぶたのリフトアップ
¥ 116,320 (税込)切る二重術(切開法)
¥ 250,000 (税込)
施術メニューをもっと見るおすすめポイント
- 短時間で実感!即効性のある美容施術
- リーズナブルな価格で充実のメニュー
- JR渋谷駅から徒歩3分の好立地
月,火,水,木,金,土,日,祝東京都渋谷区宇田川町20-11 渋谷三葉ビル 5階 - 美容クリニック・美容皮膚科・美容外科(美容整形)・審美歯科・医療脱毛クリニック・AGAクリニック・メンズクリニック・レディースクリニック・美容内科・再生医療クリニック・再生医療クリニック・医療ダイエット・痩身クリニック・医療ダイエット・痩身クリニック / JR池袋駅東口 徒歩1分自身が持てる二重になれました!- にゃんにゃんこ









すべて見る二重埋没法
¥ 29,880 (税込)二重埋没法(自然癒着法)
¥ 54,600 (税込)自然癒着セット(上眼瞼脱脂)
¥ 55,270 (税込)SBCデカ目術/切らないまぶたのリフトアップ
¥ 116,320 (税込)切る二重術(切開法)
¥ 250,000 (税込)
施術メニューをもっと見るおすすめポイント
- 顔の脂肪吸引で小顔を実現する
- ヒアルロン酸注入で理想の鼻筋を手に入れる
- 池袋駅から徒歩1分のアクセス便利な立地
月,火,水,木,金,土,日,祝東京都豊島区南池袋1-19-6 オリックス池袋ビル 2F - 美容クリニック・美容皮膚科・美容外科(美容整形)・審美歯科・医療脱毛クリニック・AGAクリニック・メンズクリニック・レディースクリニック・美容内科・再生医療クリニック・再生医療クリニック・医療ダイエット・痩身クリニック・医療ダイエット・痩身クリニック / 池袋駅 東京メトロ副都心線 C6出口より 徒歩1分 池袋駅 西口より徒歩4分口コミ通り- ち









すべて見る二重埋没法
¥ 29,880 (税込)二重埋没法(自然癒着法)
¥ 54,600 (税込)自然癒着セット(上眼瞼脱脂)
¥ 55,270 (税込)SBCデカ目術/切らないまぶたのリフトアップ
¥ 116,320 (税込)切る二重術(切開法)
¥ 250,000 (税込)
施術メニューをもっと見るおすすめポイント
- リバウンドなしの部分痩せを実現するクールスカルプティング
- 痛みを最小限に抑えた安心の施術体験
- 池袋駅から徒歩1分の好立地で通いやすい
月,火,水,木,金,土,日,祝東京都豊島区池袋 2-6-1 KDX池袋ビル 3F - 美容クリニック・美容皮膚科・美容外科(美容整形)・審美歯科・医療脱毛クリニック・AGAクリニック・メンズクリニック・レディースクリニック・美容内科・再生医療クリニック・再生医療クリニック・医療ダイエット・痩身クリニック・医療ダイエット・痩身クリニック / 「池袋駅」メトロポリタン口より徒歩2分 「池袋駅」西口(南)より徒歩2分









すべて見る二重埋没法
¥ 29,880 (税込)二重埋没法(自然癒着法)
¥ 54,600 (税込)自然癒着セット(上眼瞼脱脂)
¥ 55,270 (税込)SBCデカ目術/切らないまぶたのリフトアップ
¥ 116,320 (税込)切る二重術(切開法)
¥ 250,000 (税込)
施術メニューをもっと見るおすすめポイント
- シミ・そばかすを徹底ケアする医療レーザー
- 安心のカウンセリングで自分に合った施術を選べる
- 池袋駅から徒歩2分の好立地
月,火,水,木,金,土,日,祝東京都豊島区西池袋1丁目10-8 サン・グロウビル 7階 - 美容クリニック・美容皮膚科・美容外科(美容整形)・審美歯科・医療脱毛クリニック・AGAクリニック・メンズクリニック・レディースクリニック・美容内科・整形外科・整形外科・再生医療クリニック・再生医療クリニック・医療ダイエット・痩身クリニック・医療ダイエット・痩身クリニック / 【銀座線・丸ノ内線】赤坂見附駅 徒歩2分 【千代田線】赤坂駅 徒歩7分 【半蔵門線】永田町駅 徒歩8分目の周りがスッキリしました- えつこ






すべて見る各種麻酔
二重術埋没法
¥ 9,800 (税込)二重自然癒着法
¥ 59,400 (税込)眼瞼下垂
¥ 116,320 (税込)上瞼の脂肪・たるみ取り
¥ 55,270 (税込)
施術メニューをもっと見るおすすめポイント
- 自信を取り戻す眉下切開
- オンラインカウンセリングで安心
- 赤坂見附駅から徒歩2分の好立地
月,火,水,金,土,日,祝東京都港区赤坂3-21-13 キーストーン赤坂ビル 6F - 美容クリニック・美容皮膚科・美容外科(美容整形)・審美歯科・医療脱毛クリニック・AGAクリニック・レディースクリニック・美容内科 / JR高田馬場駅 徒歩3分 西武新宿線 高田馬場駅(早稲田口) 徒歩3分 東西線 高田馬場駅 6番出口 徒歩1分 副都心線 西早稲田駅 2番出口 徒歩3分






すべて見るおすすめポイント
- ダウンタイムほぼゼロのケミカルピーリングでニキビ跡を改善
- 理想の二重を30分で実現!痛みゼロの施術
- JR高田馬場駅から徒歩3分の好立地
月,火,水,金,土,日,祝東京都新宿区高田馬場2-13-2 プライムゲート高田馬場 5F - 美容クリニック・美容皮膚科・美容外科(美容整形)・審美歯科・医療脱毛クリニック・AGAクリニック・メンズクリニック・レディースクリニック・美容内科・再生医療クリニック・再生医療クリニック・医療ダイエット・痩身クリニック・医療ダイエット・痩身クリニック / ・JR品川駅 港南口から徒歩3分 ・京浜急行品川駅 港南口から徒歩3分梅干しジワがスッキリ- ぬのなの









すべて見る二重埋没法
¥ 29,880 (税込)二重埋没法(自然癒着法)
¥ 54,600 (税込)自然癒着セット(上眼瞼脱脂)
¥ 55,270 (税込)SBCデカ目術/切らないまぶたのリフトアップ
¥ 116,320 (税込)切る二重術(切開法)
¥ 250,000 (税込)
施術メニューをもっと見るおすすめポイント
- ダウンタイムが短い二重整形で自然な仕上がりを実現
- リーズナブルな価格で安心の医療脱毛を提供
- JR品川駅から徒歩3分の通いやすさ
月,火,水,木,金,土,日,祝東京都港区港南2-4-3 三和港南ビル 3F - 美容クリニック・美容皮膚科・美容外科(美容整形)・審美歯科・医療脱毛クリニック・AGAクリニック・メンズクリニック・レディースクリニック・美容内科・再生医療クリニック・再生医療クリニック・医療ダイエット・痩身クリニック・医療ダイエット・痩身クリニック / ・JR上野駅 徒歩7分 ・JR御徒町駅 徒歩3分 ・都営地下鉄銀座線 上野広小路駅 徒歩1分 ・都営地下鉄大江戸線 上野御徒町駅 徒歩1分清潔で安心して通える- nao









すべて見る二重埋没法
¥ 29,880 (税込)二重埋没法(自然癒着法)
¥ 54,600 (税込)自然癒着セット(上眼瞼脱脂)
¥ 55,270 (税込)SBCデカ目術/切らないまぶたのリフトアップ
¥ 116,320 (税込)切る二重術(切開法)
¥ 250,000 (税込)
施術メニューをもっと見るおすすめポイント
- 理想の二重を実現するクイックコスメティーク法
- 通いやすい立地で安心の医療脱毛
- 明朗会計で安心の料金プラン
月,火,水,木,金,土,日,祝東京都台東区上野1-20-11 鈴乃屋本店ビル 8F
湘南美容クリニック Regno銀座院の よくある質問
湘南美容クリニック Regno銀座院の人気な施術は?
湘南美容クリニック Regno銀座院で取り扱いが多い施術は?
湘南美容クリニック Regno銀座院の診療開始時間・診療終了時間は?
湘南美容クリニック Regno銀座院の支払い方法は?
湘南美容クリニック Regno銀座院の行き方は?
出来るだけ正確な情報掲載に努めておりますが、内容を完全に保証するものではありません。
当サービスによって生じた損害について、株式会社シアンではその賠償の責任を一切負わないものとします。
情報に誤りがある場合には、お手数ですがキレイレポ編集部までご連絡をいただけますようお願いいたします。






































